Labs to order in multiple myeloma workup
Serum labs:
Urine
What is a Bence-Jones protein?
Light chain immunoglobulin found in multiple myeloma
can be kappa or lambda light chain
UPEP will show monoclonal light chains
Lifetime risk of malignant transformation for solitary osteochondroma?
1%
Most common benign tumour of childhood?
NOF
Two important differences between Maffucis and Olliers?
Maffucis has hemangiomas
Maffucis has higher risk of secondary malignant transformation (100% vs. 30%)
Which type of liposarcoma does not require adjuvant radiotherapy?
Well differentiated liposarcoma
Can you do limb salvage in osteosarcoma in a patient with a pathologic fracture?
Yes
However increased rates of local recurrence and decreased survival overall in these patients
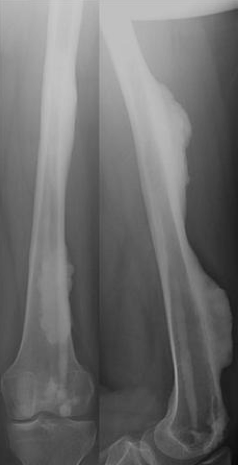
Adult Patient with osteochondrama has acute onset of pain at the location of lesion. What do you suspect?
Sarcomatous transformation
Treamtent for osteosclerotic myeloma
Chemo + radio+ plasmapheresis
Generally no surgery needed
(This is a form of MM associated with POEMS)
What is the multidrug resistance gene (MDR)
Pumps chemo out of cancer cells
Present in 25% of primaries
50% of mets
Very poor prognostic indicator
What primary is very vascular, requiring embolization of lesions primary to ORIF?
RCC
Thyroid
What does GCT look like on MRI?
Dark on T1 and T2
List 4 types of surgical resection in terms of margins.
Ddx for lytic lesion in greater than 40 year old
General treatment of soft-tissue sarcoma
En-bloc resection + adjuvant radiation
Diagnosis?

Melorheostosis
Periosteal formation of new bone
Looks like dripping candle wax
Benign but painful
Symptomatic treatment ± excision
Name these translocations!!
Who gets Ewing’s sarcoma?
White males aged 10-20
What blood markers can be used to measure bone turnover?
ALP, LDH
What is stone man’s disease?
Fibrodysplasia ossificans progressiva
Hallmarks:
Mutation in ACVR1 gene (activin A type I receptor)
Enchondromatosis is characterized by:
A) multiple enchondromas, hemangiomas, lymphangiomas
B) multiple enchondromas in a unilateral distribution
C) auto-dominant transmission, multiple enchondromas and osteochondromas
C
Poor prognostic indicators in Multiple myeloma (9)
Renal failure (worst)
hypercalcemia
Stage
Type (plasmacytoma has best prognosis)
chromosome 13 deletion or translocation (t4;14), 4(14;16)
circulating plasma cells
increased beta 2 microgloblulin (indicates elevated tumor burden)
decreased serum albumin
increased marrow microvessels
Surveillance of soft-tissue & osteosarcoma?
(They are the same)
Physical exam, CXR, CT Chest
1-2 years: 3 months
3-5 years: 6 months
5-10 years: yearly
Common locations of ABC?
Femur > tibia > spine