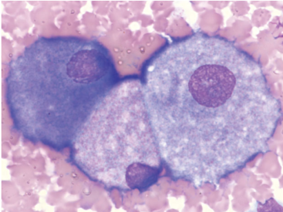
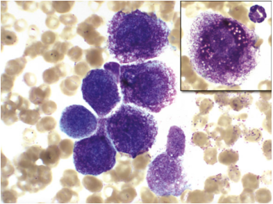
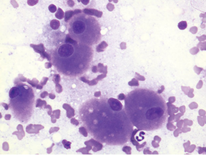
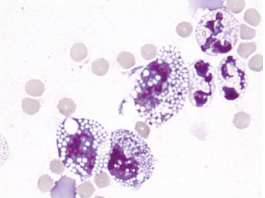
Cytocentrifuge preparation of thoracic fluid from a dog with dyspnea. Dx?

Mesothelioma with granular cell morphology
What is your diagnosis? Granules galore! Vet Clin Pathol 44/1 (2015) 165–166.
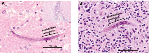
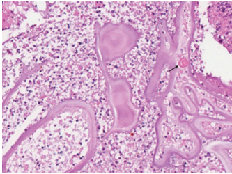
Photomicrographs of sections of the brain (A) and the heart (B) of a horse.Describe. Dx?

Infestation of the brain parenchyma (A) and myocardium of the left ventricle (B) by the Halicephalobus gingivalis larva is evident. The larva has a cylindrical body, with tapered (1) head and (5) tail, and a rhabditiform esophagus with the characteristic (2) corpus, (3) isthmus, and (4) valved bulb. Note the lymphohistiocytic inflammation in (A) inset and (B). (A and B) H&E stain
What is your diagnosis? Cerebrospinal fluid from a horse. Vet Clin Pathol 44/1 (2015) 171–172.
Direct smear from an ulcerated nasal lesion in a horse. Decribe. Dx?

Rhinosporidium seeberi infection, rare 20–30 um spherical thick-walled structures containing granular cytoplasm and a faint central nucleus consistent with juvenile sporangia
What is your diagnosis? Corneal scraping from an ulcerative lesion in a Quarter horse. Vet Clin Pathol 44/3 (2015) 455–456
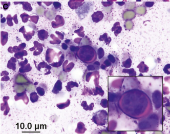
Wet mount of urine from cynomolgus monkey. Dx? What stage is this?

Incidental Balantidium coli microorganisms from fecal contamination of urine. Trophozoites.
What is your diagnosis? Urine from a cynomolgus monkey. Vet Clin Pathol 44/1 (2015) 169–170
Direct smear of peritoneal fluid (A) and transtracheal wash (B) from a horse. Describe. Dx?

Disseminated lymphoma with large granular lymphocyte morphology
(A) There are several large granular lymphocytes (LGL) with round nuclei, coarse chromatin, often one or more nucleoli, and a mild to moderate amount of lightly basophilic cytoplasm that contains a few to several azurophilic granules of different sizes. A small lymphocyte and a segmented neutrophil are also present in this field. (B) Mixed with abundant mucus are several LGL with identical morphology to the ones observed in the peritoneal fluid.
Disseminated lymphoma with large granular lymphocyte morphology diagnosed in a horse via abdominal fluid and transtracheal wash cytology. Vet Clin Pathol 44/3 (2015) 437–441.
Cytology of an impression smear of a cystic oral mucosal lesion in a dog. Give 2 differentials.

odontogenic cyst or epulis
What is your diagnosis? Oral soft tissue and cystic lesion in a dog. Vet Clin Pathol 44/2 (2015) 327–328.
Smear of mammary discharge of a dog. Dx? What are the patterns shown?

Micropapillary carcinoma (A) Clusters of epithelial cells in a micropapillary pattern. (B) Morule- like clusters of neoplastic cells.
Cytologic analysis of the mammary papillar discharge in a canine micropapillary carcinoma. Vet Clin Pathol 44/3 (2015) 448–451
Sediment smear of an aspirate from an abdominal mass from a dog. Dx?

Metacestode infection (Echinococcus multilocularis)
What is your diagnosis? Impression smear from an intracardiac mass in a dog. Vet Clin Pathol 44/1 (2015) 167–168
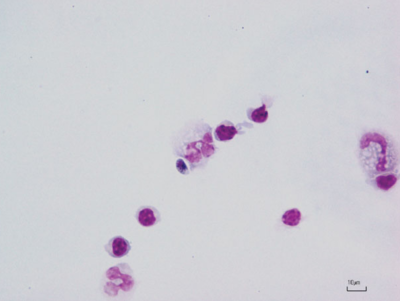
Cytocentrifuge concentrated smear of synovial fluid from the tibiotarsal joint of a heifer. Dx?

Mixed inflammation with intralesional protozoa, consistent with Trypanosoma sp
What is your diagnosis? Bovine synovial fluid. Vet Clin Pathol 44/3 (2015) 453–454
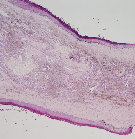
Histologic appearance of a cholesteatoma removed during bulla osteotomy in a dog. Describe. Dx?

There are fragments of highly keratinized squamous epithelium with marked thickening of all layers of the epithelium and orthokeratotic hyperkeratosis. Dx: cholesteatoma
Cholesteatoma and meningoencephalitis in a dog with chronic otitis externa. Vet Clin Pathol 44/1 (2015) 157–163
Microscopic pattern of pleural fluid on sediment smear after concentration. Dx?

Bile pleuritis due to bullet injury
What is your diagnosis? Pleural effusion in a dog with a gunshot wound. Vet Clin Pathol 44/2 (2015) 333–334.
Sediment smear of an aspirate from an abdominal mass from a dog. What is this material and what is it composed of?

Calcareous corpuscles are round to oval concretions composed of Ca, Mg, P, CO2, and organic components, Echinococcus multilocularis infection
What is your diagnosis? Impression smear from an intracardiac mass in a dog. Vet Clin Pathol 44/1 (2015) 167–168
Advia 120 cytogram of the peripheral blood of a dog. Dx? What do the different clouds represent?

Iron-deficiency anemia, after a blood transfusion and parenteral iron injection, depicting 3 distinct populations of erythrocytes. Arrow 1 = microcytic, hypochromic, iron-deficient erythrocytes. Arrow 2 = normocytic, normochromic, transfused erythrocytes. Arrow 3 = macrocytic, hypochromic reticulocytes.
What is your diagnosis? Cytogram triple threat. Vet Clin Pathol 44/3 (2015) 461–462.
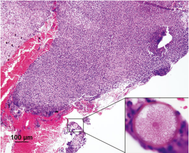
Histologic section of a nasal lesion biopsy from a horse. Dx? Describe.

Marked pyogranulomatous inflammation and a single Rhinosporidium seeberi sporangium is present. The juvenile sporangium has a thick cell wall, eosinophilic granulated cytoplasm, and an indistinct central nucleus (inset).
What is your diagnosis? Corneal scraping from an ulcerative lesion in a Quarter horse. Vet Clin Pathol 44/3 (2015) 455–456
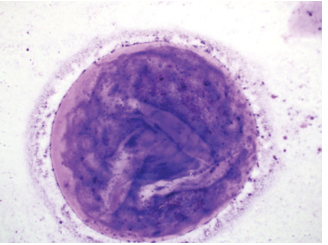
Cytocentrifuged preparation of cerebrospinal fluid from sheep. What are the differntials?

Sarcocystis, Toxoplasma,or Neospora sp. (ended up being Sarcocystis)
What is your diagnosis? Cerebrospinal fluid from a dog. Vet Clin Pathol 43/3 (2014) 467–468
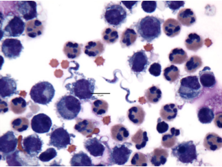
Cytocentrifuged preparation of CSF from a horse. Dx?

Larva migrans (Halicephalobus gingivalis) with marked mixed, predominantly neutrophilic and lymphocytic, pleocytosis.
What is your diagnosis? Cerebrospinal fluid from a horse. Vet Clin Pathol 44/1 (2015) 171–172.
Omental mass in a dog. Dx? Describe.

Degenerate alveolar parasitic cysts and hyaline membranes amidst granulomatous inflammation, Echinococcus multilocularis infection
What is your diagnosis? Impression smear from an intracardiac mass in a dog. Vet Clin Pathol 44/1 (2015) 167–168
Cytocentrifuged preparation of cerebrospinal fluid 2 sheep. Describe. Differentials?

Curved ellipsoid parasitic zoites (10.5–11.5 lm 9 4– 5 lm) are present in each image. They show granular basophilic cytoplasm with a clear area in one pole and an eosinophilic round nucleus in the other pole. Differentials: Sarcocystis, Toxoplasma,or Neospora sp. (ended up being Sarcocystis)
What is your diagnosis? Cerebrospinal fluid from a dog. Vet Clin Pathol 43/3 (2014) 467–468
Biopsy of a mass in the horizontal ear canal of a dog. Describe. Dx?

There is fibrous connective tissue lined by hyperplastic keratinized squamous epithelium with a central accumulation of cholesterol clefts surrounded by hemosiderin-laden macrophages and mixed inflammatory cells. The initial histopathologic diagnosis was a cholesterol granuloma with hemorrhage (final dx cholesteatoma)
Cholesteatoma and meningoencephalitis in a dog with chronic otitis externa. Vet Clin Pathol 44/1 (2015) 157–163
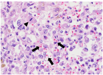
Histologic section of the liver of a dog with chylous effusion. Describe. Dx? What are these cells positive on IHC for?

Epithelioid hemangiosarcoma. Positive for endothelial markers CD31 and Factor VIII-related antigen. Neoplastic cells are polygonal and vasoformative, with numerous neoplastic cells forming single-cell vascular channels (arrows). These cells exhibit marked atypia, and a mitotic figure is seen (arrow head).
What is your diagnosis? Abdominal fluid from a dog. Vet Clin Pathol 44/3 (2015) 457–458.
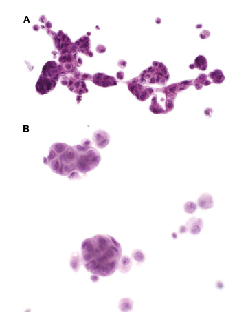
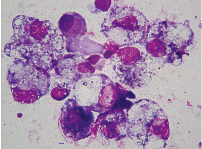
Fine-needle aspirate of a pleural mass in a dog with dyspnea. Dx?

Mesothelioma with granular cell morphology
What is your diagnosis? Granules galore! Vet Clin Pathol 44/1 (2015) 165–166.
Direct smear of abdominal fluid from a dog. Describe. Dx?

Macrophages were filled with crisp, clear, refractile vacuoles (suspected lipid) in a dog with chronic chylous ascites and malignant neoplasia (likely sarcoma) (sarcoma not shown)
What is your diagnosis? Abdominal fluid from a dog. Vet Clin Pathol 44/3 (2015) 457–458.
Wet mount of urine from cynomolgus monkey. Dx?

Incidental Balantidium coli microorganisms from fecal contamination of urine
What is your diagnosis? Urine from a cynomolgus monkey. Vet Clin Pathol 44/1 (2015) 169–170