HIV opportunistic infections - what does each cause? PART 1
HIV opportunistic infections - what does each cause?
HIV opportunistic infections - what does each cause? PART 2
HIV opportunistic infections - what does each cause?
mycobacteria causes _______ granulomas
sarcoid causes ________ granulomas
mycobacteria causes caseating granulomas
sarcoid causes non-caseating granulomas
What is the likely pathology? Explain findings of gross specimen and histo slide

mycobacterial infection
Gross specimen = cavitations in R upper lobe (most common area for TB infection)
histology slide = granuloma with caseaous necrosis (cheese-like cell death - most commonly associated with TB infection)
Granulomas in sarcoid are _______
Describe the cells in the core and peripehery of a sarcoid granuloma
Granulomas in sarcoid are non-caseating granulomas
Central area contains epitheloid cells, giant cells, and macrophages.
Peripheral area contains lymphocytes

Sarcoid - how to diagnose it?
Sarcoid is a diagnosis of exclusion as it does not have any specific tests. Must rule out all other differential diagnoses
IgG4 related disease - condition per system affected:
IgG4 related disease - condition per system affected:

Describe what IgG4 related disease is
It is a non-infectious inflammatory disease in which inflamation is dominated by IgG4 abs produced by plasma cells
What is the pathophysiology of IgG4 related disease?
Excessive IgG4 ab production and infiltration into tissues => causing fibrosis and obliteration of veins
Alcoholic systemic disease - describe conditions per system affected:
Alcohol as causing systemic disease - describe conditions per system affected:
Cystic fibrosis as a genetic disease that affects multiple systems - describe effect on each system below:
Cystic fibrosis as a genetic disease that affects multiple systems - describe effect on each system below:
Amyloidosis - describe what this condition is
Amyloidosis is the deposition of an abnormal proteinaceous substance in non-branching fibrils in various organs
The proteins in amyloidosis are non-resistant/resistant to enzymatic degradation?
The proteins in amyloidosis are RESISTANT to enzymatic degradation
The proteins in amyloidosis are in what structural format - alpha helix or beta pleated sheets?
Beta pleated sheets
Amyloid - Classification I
Name the classes
Amyloid - Clasification I
AA - derived from serum amyloid A
=> i.e. Crohn’s Disease, Rheumatoid arthritis
AL - derived from light chains
=> i.e. multiple myeloma, B cell lymphoma
Who is at increased risk of developing AA amyloidosis? Name 2 conditions
Crohn’s disease, rheumatoid arthritis
Who is at increased risk of developing AL amyloidosis? Name 2 conditions
Multiple myeloma (MM), B cell lymphoma
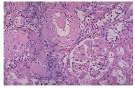
H&E slide of kidney - what does it show? What staining would you do next?

thickened vascular walls => protein deposition?
Stain with Congo Red for amyloidosis
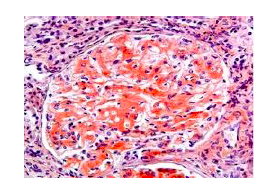
Kidney histo slide stained with congo red - what disease is likely present?

Amyloidosis
There are certain proteins that can arise in certain conditions, giving rise to amyloidosis.
Name the protein associated with each of the following:
Amyloid staining:
Amyloid staining:
Amyloidosis - clinical features:
Amyloidosis - clinical features: