4/18: Deep Caries Removal Considerations Flashcards

(110 cards)

1
Q

What is a sensitive part of the tooth?

A

The dentino-enamel junction (DEJ)

How well did you know this?
1
Not at all
2
3
4
5
Perfectly
2
Q

Where do enamel and dentin meet?

A

At the dentino-enamel junction

How well did you know this?
1
Not at all
2
3
4
5
Perfectly
3
Q

What is the most accepted theory of pain transmission?

A

Hydrodynamic theory of pain transmission

How well did you know this?
1
Not at all
2
3
4
5
Perfectly
4
Q

What are dentinal tubules filled with?

A

Odontoblastic processes

How well did you know this?
1
Not at all
2
3
4
5
Perfectly
5
Q

What are odontoblastic processes wrapped in?

A

Afferent nerves and dentinal fluid

How well did you know this?
1
Not at all
2
3
4
5
Perfectly
6
Q

What happens when enamel or cementum are removed during cavity preparation?

A

The external seal of dentin is lost

How well did you know this?
1
Not at all
2
3
4
5
Perfectly
7
Q

What happens when enamel or cementum are removed during cavity prep?

A

Small fluid movements in the tubules
Movement causes distortions in the afferent nerve endings, hence, pain

How well did you know this?
1
Not at all
2
3
4
5
Perfectly
8
Q

What do hydrostatic pressure changes within the tubules caused by external stimuli cause?

A

Pain to the pulp through fluid movements within the tubules

How well did you know this?
1
Not at all
2
3
4
5
Perfectly
9
Q

What are examples of external stimuli?

A

temperature change, high speed handpiece, air drying,
osmotic changes from various chemicals, caries

How well did you know this?
1
Not at all
2
3
4
5
Perfectly
10
Q

What must be treated with great care during restorative procedures?

A

Dentin

How well did you know this?
1
Not at all
2
3
4
5
Perfectly
11
Q

What must be used whenever cutting high speed handpieces?

A

Air water sprat

How well did you know this?
1
Not at all
2
3
4
5
Perfectly
12
Q

What does air water spray avoid?

A

Heat build up and the destruction of the odontoblastic processes in the dentin (dead tracts)

How well did you know this?
1
Not at all
2
3
4
5
Perfectly
13
Q

What should not be dehydrated by air blasts?

A

Dentin
- this could cause aspiration of odontoblasts into tubules

How well did you know this?
1
Not at all
2
3
4
5
Perfectly
14
Q

Caries control restorations are performed, as part of a larger caries control plan, when one or more of these conditions exist:

A
  1. Caries is extensive enough that pulpal complications are likely to occur soon.
  2. It is desirable to quickly eliminate large carious lesions that are a source for caries infection in the
    patient’s mouth.
  3. Time does not permit definitive restoration of one or many large lesions.
  4. The prognosis for the pulp is questionable, and definitive restoration should be deferred until the pulp’s condition can be better assessed.
  5. Removing the infected dentin
  6. Medicating the pulp, if necessary
  7. Restoring the defects with a temporary material. If a temporary material is used, undermined enamel can be
    left to better retain the temporary.
    THESE ARE NOT DONE OFTEN AT UMKC
How well did you know this?
1
Not at all
2
3
4
5
Perfectly
15
Q

What is infected dentin?

A

Microorganisms are present
Soft, leathery

How well did you know this?
1
Not at all
2
3
4
5
Perfectly
16
Q

What is affected dentin?

A

Dry, powdery

How well did you know this?
1
Not at all
2
3
4
5
Perfectly
17
Q

Its not always possible to tell with 100% certainty where __________________________________________________________

A

Affected dentin ends and infected dentin begins

How well did you know this?
1
Not at all
2
3
4
5
Perfectly
18
Q

When is an indirect pulp cap used?

A

when a deep carious lesion occurs and there is no clinical or radiographic evidence of irreversible pulp damage (such as a history of spontaneous pain, heat sensitivity relieved by cold, or a P. A. lesion)

How well did you know this?
1
Not at all
2
3
4
5
Perfectly
19
Q

What are the qualifications of a tooth for an indirect pulp cap?

A
  • Be completely asymptomatic
  • Show signs of reversible pulpitis
    Ex: moderate cold sensitivity, with pain subsiding within about 15 seconds
How well did you know this?
1
Not at all
2
3
4
5
Perfectly
20
Q

What should you remember when looking at caries on a radiograph?

A

Usually deeper than it appears on a radiograph

How well did you know this?
1
Not at all
2
3
4
5
Perfectly
21
Q

What is the object of an indirect pulp cap?

A

Avoid a direct pulp exposure

How well did you know this?
1
Not at all
2
3
4
5
Perfectly
22
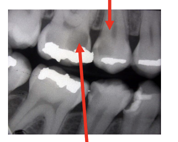
Q

Is this a candidate for a pulp cap?

A

Upper arrow: may be candidate
Lower arrow: certainly not a candidate for indirect cap - probably already a direct exposure

How well did you know this?
1
Not at all
2
3
4
5
Perfectly
23
Q

What are the two approaches that might be termed “indirect pulp cap”?

A

Two appt approach:
One appt approach

How well did you know this?
1
Not at all
2
3
4
5
Perfectly
24
Q

What pulp capping approach do we use at UMKC?

A

One appointment approach

How well did you know this?
1
Not at all
2
3
4
5
Perfectly
25
What happens during the first appointment of the two-appt approach?
* All caries are removed from all areas EXCEPT the deepest, nearest pulp * Leave the last bit of infected dentin to avoid exposing pulp * Cover remaining infected dentin with calcium hydroxide (Dycal or Life) then glass ionomer (Vitrbond) * Place a temporary restoration (IRM) * It may be acceptable to leave some undermined enamel temporarily to help hold in the temporary restoration
26
How long should you wait to allow the body to form reparative dentin in the site near exposure?
6-12 weeks
27
What is the desired result after waiting 6-12 weeks?
Dentin bridge formation
28
What happens at the end of 12 weeks in the two appt approach?
Confirm that the patient is asymptomatic and the tooth is vital
29
What is the traditional approach of the indirect pulp cap?
- Remove the temporary restoration, the glass ionomer, and the CaOH - Carefully remove the remaining infected dentin (soft, leathery caries) - Leave the affected dentin (dry, powdery caries) A #4 round bur on the slow speed just above stall speed, with a light, shaving touch is the best choice for this function. It is better than a spoon excavator, since the larger bur will put less force per unit area than the hand instrument would do, therefore making it less likely that one would break through into the pulp. Place a new liner of Dycal covered by Vitrebond. Remove all undermined enamel, modify the prep. to properly retain the restoration, and restore with your selected permanent material.
30
Research has suggested that if the cavity has been well sealed during the twelve-week interval, and that if the patient is asymptomatic and the tooth tests vital, the tooth ___________
May not need to be reentered - this avoids risking a pulp exposure at the second appt
31
What is the theory behind the cavity being well sealed?
the food supply to the bacteria is cut off by the well sealed restoration and that the bacteria will die or become dormant Caries progression will be arrested and the pulp will remain in good health
32
What is the single appt approach?
Remove infected (soft, leathery) dentin. Remove affected dentin (dry, powdery caries) from any areas where a pulp exposure is not likely to occur * The DEJ must be completely caries-free
33
Where can the dentin be left in the single appt approach?
*Leave the affected dentin only in the deepest area where the possibility of a direct pulp exposure is a concern. - You want to remove ALL affected dentin, if at all possible
34
What should you do in the single appt approach to avoid pulp exposure?
May be permissible to leave a small amount of affected dentin in deep areas * Place CaOH (Dycal or Life) over the deepest area close to the pulp * Place glass ionomer (Vitrebond) over the CaOH * There is fluoride release from the Vitrebond allowing possibility of remineralization of the affected dentin as long as restoration is well-sealed
35
What is no longer an option for pulp exposure?
Indirect pulp cap
36
When are direct pulp caps used?
When a small pulpal exposure occurs during cavity prep
37
What do you do during a direct pulp cap?
*A thin layer of calcium hydroxide is placed over the exposed pulp * A layer of glass ionomer is placed over the CaOH * stimulate the pulp to form secondary odontoblasts, which can produce a dentin bridge across the exposure site.
38
When is a direct pulp cap most successful?
- When exposure is mechanical rather than carious - If bleeding at the site is easily controlled and there is no pus or serous exudate - if the area has not been contaminated by saliva, and - if there has been little or no mechanical damage to the pulp tissue - young patient
39
What is the exposure site size when the patient is young?
0.5mm
40
What is becoming more recommended at UMKC?
Direct pulp cap
41
What should you do on boards if there is need for a direct pulp cap?
Do NOT leave affected dentin, direct pulp cap is indicated
42
Whats this?
A Large Amalgam with a Liner of Calcium Hydroxide over the Pulp Horns and a Base of Glass Ionomer
43
Who are pulp caps most effective on?
young patients with large pulp chambers and open root canals that provide better circulation to the area where we are trying to induce dentin bridge formation
44
Where do direct pulp caps work better at?
the tips of pulp horns than they do on an exposure on the side of a pulp chamber (as from a class V lesion)
45
What can mild to moderate spontaneous pain for three days after a direct pulp cap indicate?
not indicate the need for endodontics, but after that, spontaneous pain is more ominous. Some cold sensitivity may linger for several weeks.
46
If the tooth will require a crown to adequately restore it, DO NOT RELY ON
A direct pulp cap - Complete root canal therapy before crowning teeth that have had direct exposures
47
Whether Doing an Indirect or Direct Pulp Cap, Temporary or “Permanent” Restoration,
Seal the cavity
48
What can a broken or leaky restoration cause?
Failure because bacteria will leak into the pulp and kill it
49
Why must all restorations adequately seal the cavity?
To avoid microleakage, bacterial penetration, and recurrent decay
50
Describe a pulp cavitys contour
A miniature of the external surface of the tooth
51
When does the size of a pulp cavity decrease?
With age - younger children have larger pulps than older adults and younger pulps are more reparative than older pulps
52
What is the defensive function of the pulp related to?
Its response to irritation by mechanical, thermal, chemical, or bacterial stimuli
53
What does the deposition of reparative dentin by the replacement odontoblasts lining the pulp cavity act as?
a protective barrier against caries and various other irritating factors
54
Describe the formation of reparative dentin
a continuous but slow process, taking 100 days to form a reparative dentin layer 0.12 mm thick
55
What happens to the pulp in cases of severe irritation?
the pulp responds by an inflammatory reaction similar to any other soft tissue injury
56
What happens in some cases of inflammation of the pulp?
The inflammation may become irreversible and can result in the death of the pulp because the confined, rigid structure of the dentin limits the inflammatory response and the ability of the pulp to recover
57
Why do many teeth have pulpal sensitivity?
Due to caries or following cavity preparation and restoration
58
What are symptoms of reversible pulpitis?
twinge of pain may be due to sugar, cold, or acid from caries first contacting dentin. Pain lasting a few seconds may be due to the irritant continuously present or applied repeatedly
59
What do twinges of pain due to reversible pulpitis cause?
An increased blood flow and volume (hyperemia) and inflammation of the pulp
60
What is reversible pulpitis?
As long as an irritant, such as touching an ice stick to the tooth causes pain that lingers no more than 10 to 15 seconds after removal, it’s called reversible pulpitis and can be treated with a restoration
61
What is irreversible pulpitis?
When pain is either spontaneous, or--if elicited by an irritant--lingers more than 15 seconds, infection of the pulp often has occurred and resolution by operative dentistry treatment is usually not possible
62
What is treatment for irreversible pulpitis?
root canal therapy
63
What is pulpal necrosis?
When irreversible pulpitis is left untreated
64
What is symptoms of pulpal necrosis?
spontaneous, continuous, throbbing pain or pain elicited by heat that can be relieved by cold, and then, later, with no response to any stimulus
65
What happens in pulpal necrosis as inflammation and infection move beyond the root apex?
The tooth becomes sensitive to percussion
66
What is treatment for pulpal necrosis?
Root canal therapy
67
What is the primary objective during operative procedures?
the preservation of the health of the pulp
68
All caries must be removed EXCEPT in the event of a?
Indirect pulp cap
69
What should you avoid during operative procedures?
Overheating the dentin- for instance, by using a high speed handpiece without water coolant
70
All restorations must be well _______
Sealed
71
What does maxillary sinusitis manifest as?
cold sensitivity, and sometimes spontaneous pain, in the maxillary posterior teeth Often hard to isolate to a single tooth.
72
What do cracked teeth manifest as?
Cold sensitivity, or a sudden unreproducible pain when chewing
73
What can a tooth sleuth do for a cracked tooth?
elicit the pain when placed between the teeth in the central groove areas or at the tips of individual cusps
74
Where can cracks progress into?
The pulp chamber and cause pulp necrosis, or cusps may eventually fracture off
75
What can cracks sometimes be seen externally with?
a fiber optic light, or it may be necessary to remove restorations to see them
76
What is treatment for cracked teeth?
Crowning
77
What does occlusal trauma manifest as?
cold sensitivity, or pain in chewing
78
What may be seen (not always) in occlusal trauma?
Slight tooth movements when the teeth are clenched and then moved from side to side
79
What is fremitis?
Slight tooth movements when the teeth are clenched and then moved from side to side
80
How is pain relieved for occlusal trauma?
Occlusal adjustments
81
What tissue is softer than dentin?
Cementum
82
What does cementum consist of?
45-50% inorganic material by weight
83
What does cementum cover?
Apical root
84
What is cementum permeable to?
Variety of materials
85
What is the color of cementum?
Yellow and slightly lighter in color than dentin
86
What has the highest fluoride content of all mineralized tissue?
Cementum
87
What happens in 10% of teeth where enamel and cementum do not meet?
Sensitive area
88
What does abrasion, erosion, caries, scaling, and the procedures of finishing and polishing result in?
Removing from the dentin its cementum covering, which can cause the dentin to be sensitive
89
What is tooth sensitivity caused by?
Exposed dentin
90
What is this?
Abrasion lesion
91
What is the form of an abrasion lesion?
Angular in form
92
What is the form of an erosion lesion?
Rounded in form
93
Why can abrasive and erosive lesions cause hypersensitivity?
because of exposed dentin
94
What should you do about root sensitivity?
* Gluma Topical desensitizer * Fluoride Varnish or prescription Fluoride toothpaste * Toothpaste Sensodyne, “sensitivity formula” in most brands Potassium nitrate
95
Describe these
A = Overcontouring is the worst. It results in flabby, red-colored, chronically inflamed gingiva and increased plaque retention. B = Undercontour results in trauma to the gingival tissues. C = just right
96
What do facial and lingual surface convexity do?
Protects and allows stimulation to gingival tissues during mastication
97
What do normal tooth contours do?
deflect food only to the extent that the passing food stimulates the gingival by gentle massage rather than by irritating it
98
What happens if tooth curvature is too great?
the tissues usually receive inadequate stimulation, and a potential plaque trap is created
99
What do closed gingival embrasures impinge on?
Papilla
100
When embrasures are properly open, where is contact?
At junction of occlusal and middle third
101
What can improper contacts result in?
food impaction, producing periodontal disease, carious lesions, and possible movement of the teeth
102
Where are contacts in max and mand central incisors?
Incisal third
103
Where is contact as it proceeds posteriorly?
Junction of the occlusal and middle thirds which creates a larger occlusal embrasure
104
Where should marginal ridges be?
Same height to prevent food impact
105
Where are proximal contact?
Slightly facial to the center of the proximal surface faciolingually
106
What happens when there is open contact between a restoration?
107
What is an important factor in restorative dentistry?
Level of the gingival attachment and gingival sulcus
108
How is soft tissue health maintained?
By teeth having correct form and position, if not, apical recession of gingiva and possible abrasion and erosion of roots can occur
109
Where should the margin of the cavity prep ideally not be?
positioned subgingivally (at levels between the marginal crest of the free gingival and the base of the sulcus) unless dictated by caries, previous restoration, or esthetics
110
It is extremely important to not destroy _________________ tissue in the restorative process
Attached keratinized tissue - this must be preserved