Histopathology of the Brain


Response to injury


Cerebrovascular Disease

Cerebrovascular Disease

Cerebrovascular Disease

Hypoxia, Ischemia, and Infarction

Hypoxia, Ischemia, and Infarction

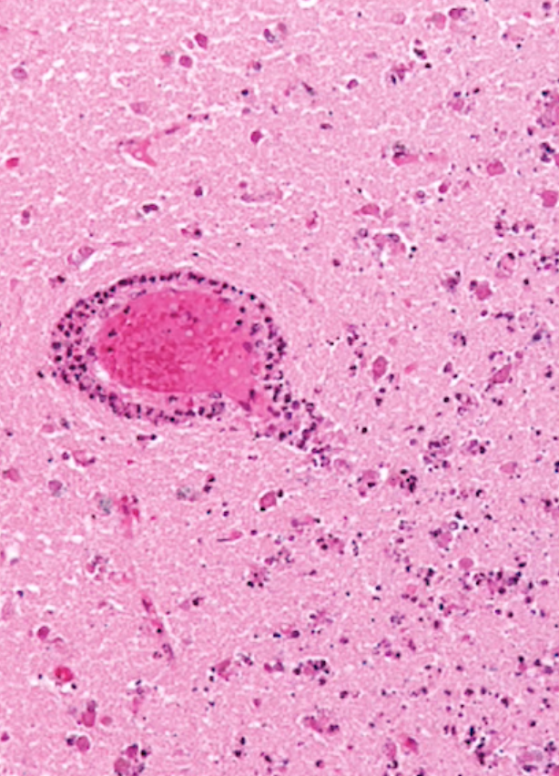
Global Cerebral Ischemia

Global Cerebral Ischemia

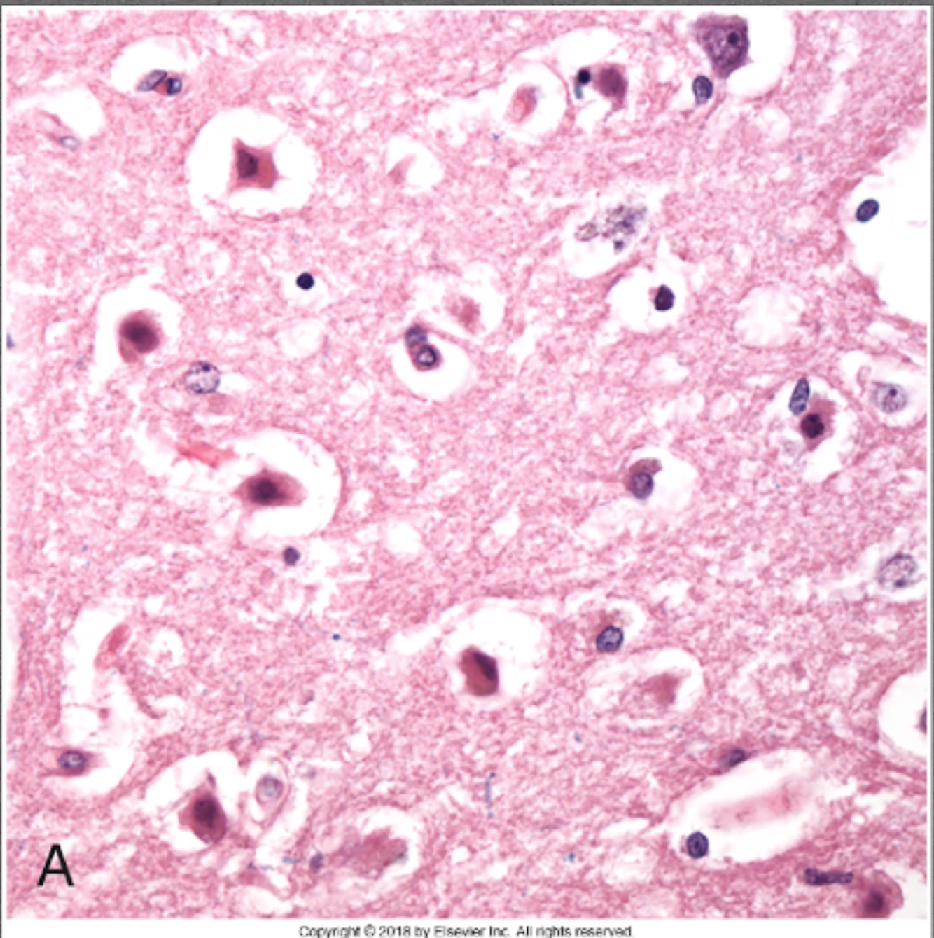
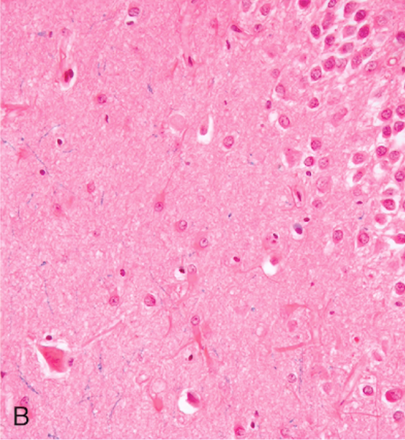
Global Cerebral Ischemia
Global Cerebral Ischemia

Global Cerebral Ischemia

Global Cerebral Ischemia


Global Cerebral Ischemia


Global Cerebral Ischemia


Global Cerebral Ischemia

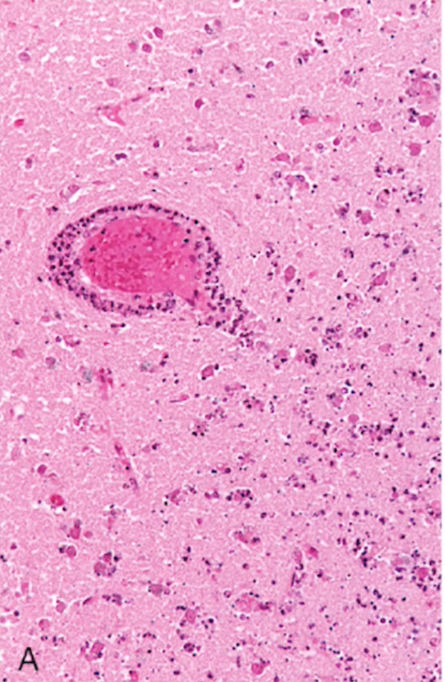
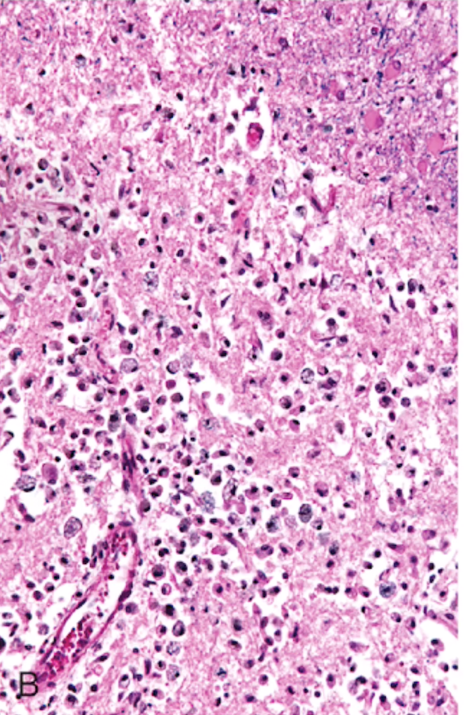
Focal Cerebral Ischemia

Focal Cerebral Ischemia

Focal Cerebral Ischemia

Focal Cerebral Ischemia

Focal Cerebral Ischemia

Focal Cerebral Ischemia

Focal Cerebral Ischemia

Focal Cerebral Ischemia

