Abdomen Part 3 Flashcards

(40 cards)

1
Q

should you be able to see the adrenal glands normally on a radiograph?

A

NO, you may only see them if there is mineralization, neoplasia, or enlargement

How well did you know this?
1
Not at all
2
3
4
5
Perfectly
2
Q

what is going on here bruh??

A

there is a mineralized adrenal mass. on the VD the mass is seen just left to the spine, and on the lateral, you can see a crescent shape opacity adjacent to the left kidney.

How well did you know this?
1
Not at all
2
3
4
5
Perfectly
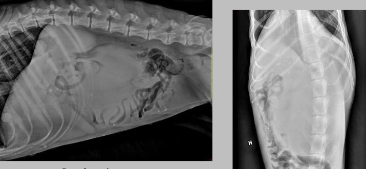
3
Q

can you normally see the pancreas on a radiograph?

A

no!

How well did you know this?
1
Not at all
2
3
4
5
Perfectly
4
Q

point out the pancreas on this radiograph

A
How well did you know this?
1
Not at all
2
3
4
5
Perfectly
5
Q

what are some reasons why you would examine the kidneys radiographically?

A
  • incontinence
  • hematuria, polyruia, oliguria
  • urolithiasis
  • urethral obstruction
  • abnormal on palpation
  • test for renal function
How well did you know this?
1
Not at all
2
3
4
5
Perfectly
6
Q

behold the normal kidneys. which is which?

A

left kidney more caudal, right kidney more cranial

How well did you know this?
1
Not at all
2
3
4
5
Perfectly
7
Q

what are 4 reasons you could have a big kidney with normal shape and margination?

A
  • compensatory hypertrophy
  • round cell neoplasia
  • hydronephrosis
  • amyloidosis
How well did you know this?
1
Not at all
2
3
4
5
Perfectly
8
Q

what are 4 reasons you could have a large kidney with an irregular shape and margin?

A
  • neoplasia
  • hematoma/trauma
  • cyst
  • abscess
How well did you know this?
1
Not at all
2
3
4
5
Perfectly
9
Q

what are two reasons you would have a small kidney with an irregular shape and margin?

A
  • end stage renal disease
  • dysplasia
How well did you know this?
1
Not at all
2
3
4
5
Perfectly
10
Q

what are 4 reasons for a kidney that is normal size, but with irregular shape and margin?

A
  • infarction
  • abscess
  • chronic pyelonephritis
  • polycystic renal disease
How well did you know this?
1
Not at all
2
3
4
5
Perfectly
11
Q

what is going on here?

A

enlarged kidney, renal carcinoma

How well did you know this?
1
Not at all
2
3
4
5
Perfectly
12
Q

what is going on here?

A

there is one tiny kidney and one huge kidney: compensatory hypertrophy

How well did you know this?
1
Not at all
2
3
4
5
Perfectly
13
Q

what is going on here?

A

the kidneys, both, are enlarged. this is lymphoma

How well did you know this?
1
Not at all
2
3
4
5
Perfectly
14
Q

what is going on here?

A

one of the kidneys appears large and absnormally shaped, very circular, and there are small white opacities which are probably stones. this is hydronephrosis secondary to obstructive uropathy

How well did you know this?
1
Not at all
2
3
4
5
Perfectly
15
Q

when doing an excretory urogram, when should you examine each part of the urinary tract?

A

nephrogram-2mins
pyelogram-20mins
cystogram-40mins

How well did you know this?
1
Not at all
2
3
4
5
Perfectly
16
Q

what are 4 things you should do to preapre for an excretory urogram?

A
  • correct any hydration deficits
  • enemas (no poo poo in the way)
  • fasting
  • maintaining the IV catheter in case renal function declines due to the contrast medium (this is rare but can happen)
How well did you know this?
1
Not at all
2
3
4
5
Perfectly
17
Q

what are some contraindications for an excretory urogram?

A

azotemia and dehydration

18
Q

you are doing an excretory urogram and you see this when you take rads at 40 minutes. what does this tell you?

A

the contrast medium is leaking into the retroperitoneal space, there is a ruptured ureter!

19
Q

you are doing an excretory urogram and you see this. what does this tell you?

A

it looks like the medium is going from the ureters and skipping the bladder. this is ectopic ureters

20
Q

why would you do a cystorgaphy with POSITIVE contrast medium?

A
  • to check for bladder rupture
  • to confirm the bladder’s location
  • to see if there is a space occupying luminal mass
21
Q

when would you do a cystography with negative contrast medium?

A
  • to check for ectopic ureters
  • honestly, this is rarely used
22
Q

are all urinary crystals visible on radiographs?

A

NO! some are not radiopague!

23
Q

does a normal radiographic bladder rule out a bladder mass or bladder stones?

24
Q

how many views do you need to assess the urethra?

A

multiple, NOT JUST ONE!

25
can you normally see the prostate?
in castrated dogs no
26
find the prostate and find the bladder :)
if I need to check, I have them both circled on slide 145
27
what are 4 general causes of an enlarged uterus?
- pyometra - mucometra - hydrometra - early pregnancy
28
what are some radiographical signs of pyometra?
- tubular soft tissue opacities along the caudal lateral body walls on VD - tubular soft tissue opacity between the colon and the bladder on lateral view (not always seen!) - displacement of the small intestines cranially - loss of serosal detail in the caudal abdomen
29
what is going on here?
you can see tubular soft tissue opacities along the caudal lateral body wall and loss of serosal detail caudally, this is pyometra
30
what is this?
pyometra apparently...I struggle seeing it
31
at what post breeding day is there mineralization of fetuses in the dog and in the cat?
cat: 38 days post breeding dog: 42 days post breeding
32
in the dog, uterine enlargement/pregnancy is detectable radiographically at approx ______ after ovulation
30 days
33
in the dog, the uterus becomes involuted and can be rechecked at_____
38-45 days
34
the gestational sacs are identifiable in the dog in the uterus _______
30 -40 days after ovulation
35
in the cat, uterine enlargement/pregnancy is identifiable on radiographs at ______
25-30 days of gestation
36
in general, the earliest time for an ultrasound assessment for pregnancy is
25-30 days of gestation, with heartbeats more likely to be heard closer to 30 days
37
in general, the fetal heart rate should be _____ times that of the bitch or queen
1.5-2
38
what are some radiographic signs of fetal death?
- small misshapen skull - fetuses are smaller than the others - straightening of the spine - emphysema and gas within the vasculature
39
are radiographs useful for identifying dystocia?
- not good for determining maternal factors BUT can be useful for fetal factors like: positioning relative to the pelvic canal
40
if you take a radiograph of a dog having difficulty giving birth, and there is NO fetus lodged in the pelvic canal, what should you consider?
uterine inertia: Failure of the uterus to contract with normal strength, duration, and intervals during childbirth