Anatomy/Physiology Flashcards

(129 cards)

1
Q

What is the function of the GJB2 gene?

A

It encodes a gap junction protein that transmits ions

How well did you know this?
1
Not at all
2
3
4
5
Perfectly
2
Q

The gradient across the stria vascular is is maintained by:

A

Na-K pumps

How well did you know this?
1
Not at all
2
3
4
5
Perfectly
3
Q

A 23yo w/late-onset congenital syphilis presents to clinic after a hearing test that showed b/l symmetric moderate SNHL. He reports experiencing vertigo when he was next to the stage at a rock concert the previous week. In regard to middle ear anatomy, which of the following have to be present for him to experience this phenomenon?

A

Tullio phenomenon - inflammatory lesions of the labyrinth (gummas) lead to labyrinthine fistulas, endolymphatic hydrops w/eventual degeneration of the membranous labyrinth. Also loss of type II hair cells in the semicircular canals and otoliths in otosyphilis.

How well did you know this?
1
Not at all
2
3
4
5
Perfectly
4
Q

Aminoglycoside ototoxicity is most commonly associated with damage to which ofc the following sites within the inner ear?

A

Outer hair cells

How well did you know this?
1
Not at all
2
3
4
5
Perfectly
5
Q

Aspirin and other salicylate use can cause severe tinnitus and reversible SNHL, however, it is expected to recover within __.

A

72hrs (3d)

How well did you know this?
1
Not at all
2
3
4
5
Perfectly
6
Q

Describe the acoustic reflex.

A

Upon exposure to a loud noise (typically w/in the 70-100dB range, there is contraction of b/l stapedius muscles, innervated by the facial nerve.

(Stapes bones are shown as a stirrup-shaped stick figure).

How well did you know this?
1
Not at all
2
3
4
5
Perfectly
7
Q

A patient undergoes acoustic reflex threshold testing as part of a possible retrocochlear pathology workup. A 70dB click is applied to activate the afferent limb of the reflex. The efferent limb is measured by:

A

Assessing changes in TM compliance - contraction of the stapedius muscle decreases the TM compliance as a protective measure.

How well did you know this?
1
Not at all
2
3
4
5
Perfectly
8
Q

Two types of nerve cells comprise the cochlear nerve afferents ___.

A

Type I (95%) and Type II (5%).

How well did you know this?
1
Not at all
2
3
4
5
Perfectly
9
Q

Type I cochlear nerve afferent cells are ___ and synapse directly on ___.

A

Type I cochlear nerve afferent cells are Bipolar and synapse directly on the body of a single Inner hair cell.

How well did you know this?
1
Not at all
2
3
4
5
Perfectly
10
Q

Type II cochlear nerve afferent cells are ___ and branch to synapse onto ___.

A

Type II cochlear nerve afferent cells are Pseudounipolar and branch to synapse onto multiple Outer hair cells..

How well did you know this?
1
Not at all
2
3
4
5
Perfectly
11
Q

Streptomycin and Gentamicin are known as mostly ___ agents compared to Neomycin, Amikacin, Tobramycin and Kanamycin that are primarily ___.

A

Streptomycin and Gentamicin are known as mostly Vestibulotoxic agents compared to Neomycin, Amikacin, Tobramycin and Kanamycin that are primarily Cochleotoxic.

How well did you know this?
1
Not at all
2
3
4
5
Perfectly
12
Q

An intact sound transmission mechanism (__) must be present to test for the Tullio phenomenon.

A

Intact TM, ossicular chain, and mobile footplate

How well did you know this?
1
Not at all
2
3
4
5
Perfectly
13
Q

Describe recruitment in the setting of SNHL.

A

Recruitment = increase in perception of loudness of sound in an ear with SNHL (damaged/ineffective hair cells “recruit” adjacent hair cells w/normal fxn., which then respond to that signal - resulting in narrowing range btwn. softest sound a person can hear and loudest sound a person can tolerate). B/c the defect is with the hair cells, recruitment is a sign of cochlear pathology.

How well did you know this?
1
Not at all
2
3
4
5
Perfectly
14
Q

The absence of recruitment in the setting of an ear w/sensorineural HL suggests a ___.

A

Retrocochlear lesion

How well did you know this?
1
Not at all
2
3
4
5
Perfectly
15
Q

The basic pathway for cochlear afferent fibers is:

A

Inner/Outer hair cells -> cochlea -> cochlear nerve -> cochlear nuclei -> superior of ovary complex -> lateral lemniscus -> inferior colliculus -> auditory cortex

How well did you know this?
1
Not at all
2
3
4
5
Perfectly
16
Q

A 70dB click is applied to activate the afferent limb of the acoustic reflex. The efferent limb is measured by ___.

A

Assessing changes in the TM compliance.

(The contraction of the stapedius muscle decreases TM compliance as a protective measure).

How well did you know this?
1
Not at all
2
3
4
5
Perfectly
17
Q

Patient states “she hears her footsteps loudly when she walks,” name this finding.

A

Autophony

How well did you know this?
1
Not at all
2
3
4
5
Perfectly
18
Q

-
- aural pressure
- hyperacusis
- unstable gait
- sound or pressure evoked vertigo

A

Vestibular manifestations of Superior SSCD include:
- autophony
- pulsatile tinnitus
- aural pressure
- hyperacusis
- unstable gait
- sound or pressure evoked vertigo

How well did you know this?
1
Not at all
2
3
4
5
Perfectly
19
Q

Vestibular manifestations of Superior SSCD include:
- autophony
- pulsatile tinnitus
-
-
- unstable gait
- sound or pressure evoked vertigo

A

Vestibular manifestations of Superior SSCD include:
- autophony
- pulsatile tinnitus
- aural pressure
- hyperacusis
- unstable gait
- sound or pressure evoked vertigo

How well did you know this?
1
Not at all
2
3
4
5
Perfectly
20
Q

Vestibular manifestations of Superior SSCD include:
- autophony
- pulsatile tinnitus
- aural pressure
- hyperacusis
-
-

A

Vestibular manifestations of Superior SSCD include:
- autophony
- pulsatile tinnitus
- aural pressure
- hyperacusis
- unstable gait
- sound or pressure evoked vertigo

How well did you know this?
1
Not at all
2
3
4
5
Perfectly
21
Q

Pulsatile tinnitus can occur due to ___.

A

Exposure of the canal to changes in CSF pressure, or to the flow of adjacent blood vessels.

How well did you know this?
1
Not at all
2
3
4
5
Perfectly
22
Q

Audiogram results of a patient w/SSCD:

A

Most commonly: symmetric hearing

Also: Conductive HL w/larger low-frequency air-bone gaps and supranormal bone conduction

How well did you know this?
1
Not at all
2
3
4
5
Perfectly
23
Q

Acoustic reflex testing in a patient w/SSCD:

A

Acoustic reflex testing is normal.

How well did you know this?
1
Not at all
2
3
4
5
Perfectly
24
Q

A patient with SSCD will have ___ ECOG and ___ VEMP testing results.

A

Elevated ECOG, SP/AP ratio >0.4.

Low threshold VEMP w/high amplitudes.

How well did you know this?
1
Not at all
2
3
4
5
Perfectly
25
The utricle senses ___.
Linear acceleration in a horizontal plane.
26
The saccule senses ___.
Linear acceleration in a vertical plane.
27
Displacement of the ___ towards the ___ causes depolarization.
Displacement of the steriocillia towards the kinocillium causes depolarization.
28
In the Utricle, the kinocillia are oriented ____ the striola. In the Saccule, the kinocillia are oriented ____ from the striola.
In the Utricle, the kinocillia are oriented TOWARD the striola. In the Saccule, the kinocillia are oriented AWAY from the striola.
29
The vestibulo-ocular-reflex (VOR) senses __ movement and creates an equal and opposite ___ movement to maintain visual fixation.
The vestibulo-ocular-reflex (VOR) senses head movement and creates an equal and opposite eye movement to maintain visual fixation. (As you move head to the right, VOR beats to the left)
30
If a lesion involved the structure displayed by the arrow, which of the following will be the pathophysiologic result?
Superior SCC deficit on impulse testing (The superior vestibular n. controls function of the superior and lateral SCC, as well as the utricle).
31
What structure is shown at the arrow?
The superior vestibular n. is in the posterior superior quadrant
32
The superior vestibular n. controls function of the ___ SCCs.
The superior vestibular n. controls function of the superior and lateral SCC.
33
The inferior vestibular n. controls function of the ___ SCC and the ___.
Posterior SCC and Saccule.
34
If a lesion involved the structure displayed by the arrow, which of the following will be the pathophysiologic result?
Posterior SCC deficit on impulse testing.
35
Nystagmus beats towards the ___ ear, thus suggesting a lesion on the ___ side.
Nystagmus beats towards the Healthy ear, thus suggesting a lesion on the Contralateral side.
36
The ___ artery supplies the utricle, superior and horizontal SCC and a small portion of the saccule.
Anterior vestibular artery
37
The ___ supplies the majority of the saccule and a small segment of the utricle are body.
Posterior vestibular artery
38
What malformation describes membranous aplasia of the cochlea and saccule (pars inferior)?
Scheibe aplasia
39
Through what nerve pathway is the cVEMPS potential illicited?
Inferior vestibular n. (Acoustic signal stimulates the saccule, signal is carried through the inferior vestibular n. To the vestibular nucleus, which gets transmitted to the vestibulospinal tract and on to the ipsilateral SCM).
40
With the Dix-Hallpike maneuver used to diagnose BPPV, the Fast phase of the nystagmus will beat upward and roll toward the ___ side.
With the Dix-Hallpike maneuver used to diagnose BPPV, the Fast phase of the nystagmus will beat Upward and roll toward the Ipsilateral side.
41
The bony labyrinth is a series of bony cavities w/in the petrous part of the temporal bone that is composed of: 1) 2) vestibule 3) semi-circular canals
The bony labyrinth is a series of bony cavities w/in the petrous part of the temporal bone that is composed of: 1) cochlea 2) vestibule 3) semi-circular canals
42
The bony labyrinth is a series of bony cavities w/in the petrous part of the temporal bone that is composed of: 1) cochlea 2) 3) semi-circular canals
The bony labyrinth is a series of bony cavities w/in the petrous part of the temporal bone that is composed of: 1) cochlea 2) vestibule 3) semi-circular canals
43
The bony labyrinth is a series of bony cavities w/in the petrous part of the temporal bone that is composed of: 1) cochlea 2) vestibule 3)
The bony labyrinth is a series of bony cavities w/in the petrous part of the temporal bone that is composed of: 1) cochlea 2) vestibule 3) semi-circular canals
44
The membranous labyrinth lies within the bony labyrinth and consists of the: 1) 2) semi-circular ducts 3) utricle and saccule
The membranous labyrinth lies within the bony labyrinth and consists of the: 1) cochlear duct 2) semi-circular ducts 3) utricle and saccule
45
The membranous labyrinth lies within the bony labyrinth and consists of the: 1) cochlear duct 2) 3) utricle and saccule
The membranous labyrinth lies within the bony labyrinth and consists of the: 1) cochlear duct 2) semi-circular ducts 3) utricle and saccule
46
The membranous labyrinth lies within the bony labyrinth and consists of the: 1) cochlear duct 2) semi-circular ducts 3)
The membranous labyrinth lies within the bony labyrinth and consists of the: 1) cochlear duct 2) semi-circular ducts 3) utricle and saccule
47
The bony labyrinth is lined with ___ and contains ___.
The bony labyrinth is lined with periosteum and contains perilymph.
48
The membranous labyrinth is filled with ___.
The membranous labyrinth is filled with endolymph.
49
The muscles of the upper face are under ___ cortical control, while the lower facial musculature is under ___ cortical control.
The muscles of the upper face are under bilateral cortical control, while the lower facial musculature is under contralateral cortical control.
50
A definitive diagnosis of Ménière’s disease according to 2020 CPG: 1. ___ 2. Audiometric confirmation of fluctuating low-to-mid frequency SNHL in the affected ear on at least 1 occasion before, during, or after 1 of the episodes of vertigo 3. At least 2 spontaneous episodes of rotational vertigo lasting 20mins - 12hrs 4. Causes excluded by other tests
Fluctuating aural symptoms (tinnitus, aural fullness, HL) in affected ear
51
A definitive diagnosis of Ménière’s disease according to 2020 CPG: 1. Fluctuating aural symptoms (tinnitus, aural fullness, HL) in affected ear 2. _____ 3. At least 2 spontaneous episodes of rotational vertigo lasting 20mins - 12hrs 4. Causes excluded by other tests
fluctuating low-to-mid frequency SNHL in the affected ear on at least 1 occasion before, during, or after 1 of the episode of vertigo
52
A definitive diagnosis of Ménière’s disease according to 2020 CPG: 1. Fluctuating aural symptoms (tinnitus, aural fullness, HL) in affected ear 2. Audio metric confirmation of fluctuating low-to-mid frequency SNHL in the affected ear on at least 1 occasion before, during, or after 1 of the episodes of vertigo 3. _____ 4. Causes excluded by other tests
At least 2 spontaneous episodes of rotational vertigo lasting 20mins - 12hrs
53
A definitive diagnosis of Ménière’s disease according to 2020 CPG: 1. Fluctuating aural symptoms (tinnitus, aural fullness, HL) in affected ear 2. Audio metric confirmation of fluctuating low-to-mid frequency SNHL in the affected ear on at least 1 occasion before, during, or after 1 of the episodes of vertigo 3. At least 2 spontaneous episodes of rotational vertigo lasting 20mins - 12hrs 4. _____
Causes excluded by other tests
54
57M w/NF2 is 24mo s/p L-sided microsurgical resection of a vestibular schwannoma via a retrosigmoid approach. The patient is found to have non-serviceable hearing on the side of resection and had non-serviceable hearing on the opposite side prior to the resection. A recent MRI confirms the patient to have an intact cochlear n. And no residual disease. What is the patient’s best option for optimal audiometric performance?
Cochlear implantation. (should be considered for NF2 patients w/non-serviceable hearing an an intact cochlear n.)
55
What is an alternative option for optimal audiometric performance for NF2 patients with non-serviceable hearing AND cochlear nerve loss?
Auditory brain stem implantation.
56
Dural tails are characteristic of _____, which on histology, and also can demonstrate cellular whorls.
Meningiomas
57
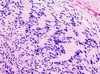
This slide displays traditional histological features of_____?
Vestibular schwannoma.
58
Hitselberger’s sign is _____.
Hypoesthesia of the EAC secondary to FN compression. (motor fibers of the FN are fairly resistant to compression, its sensory n. fibers are compromised early)
59
The Jahrsdoerfer grading system is used to assess candidacy for surgical correction of _____.
The Jahrsdoerfer grading system is used to assess candidacy for surgical correction of congenital aural atresia.
60
The parameters for the Jahrsdoerfer criteria are the presence of:
The parameters for the Jahrsdoerfer criteria are the presence of: - stapes - oval window - Middle ear space - FN position - status of the ossicles and round window - pneumatization of the mastoid - External ear
61
Under the Jahrsdoerfer scoring system, the scale is from 0-10 w/candidates scoring ___ being surgical candidates.
Under the Jahrsdoerfer scoring system, the scale is from 0-10 w/candidates scoring >6 being surgical candidates.
62
Under the Jahrsdoerfer scoring system, a score of ___ would indicate an “excellent” surgical candidate, and a score of ___ would suggest a “good/moderate” candidate.
Under the Jahrsdoerfer scoring system, a score of 10 would indicate an “Excellent” surgical candidate, and a score of 7-9 would suggest a “Good/Moderate” candidate.
63
Under the Jahrsdoerfer scoring system: A score of _____ cannot be aided w/atresia repair, and a _____ would be the more optimal choice of hearing augmentation.
Under the Jahrsdoerfer scoring system: A score of **6 or less** cannot be aided w/atresia repair (no middle ear function or poor cochlear ear function), and a **Bone-Anchored HA** would be the more optimal choice of hearing augmentation.
64
The mesoderm from the ___ and ___ branchial arches form the Hillocks of His.
1st and 2nd branchial arches.
65
The 1st three hillocks develop from the 1st branchial arch into the: 1. 2. 3.
The 1st three hillocks develop from the 1st branchial arch into the: 1. Tragus 2. Helical crus 3. Helix
66
The 2nd three hillocks develop from the 2nd branchial arch into the: 4. 5. 6.
The 2nd three hillocks develop from the 2nd branchial arch into the: 4. Antihelical crus 5. Antihelix 6. Antitragus/lobule
67
Microtia is more common among (sex)___.
Males (ratio 2.5:1)
68
At least ___% of patients w/microtia will have associated congenital abnormalities.
50%
69
For reasons unknown, the ___ ear is more commonly affected by Microtia than the ___ ear by a 3:2 ratio.
For reasons unknown, the R-ear is more commonly affected by Microtia than the L-ear by a 3:2 ratio.
70
Microtia repair is delayed until at least age _____, because: 1. The pinna is nearly 80% the size of an adult pinna 2. This is the age children will attend school and may be subject to the psychological effects of teasing.
Microtia repair is delayed until at least age 5-6, because: 1. The pinna is nearly 80% the size of an adult pinna 2. This is the age children will attend school and may be subject to the psychological effects of teasing.
71
Microtia repair is delayed until at least age 5-6, because: 1. The pinna is nearly ___% the size of an adult pinna 2. This is the age children will attend school and may be subject to the psychological effects of teasing.
Microtia repair is delayed until at least age 5-6, because: 1. The pinna is nearly 80% the size of an adult pinna 2. This is the age children will attend school and may be subject to the psychological effects of teasing.
72
_____ is an absolute contraindication to repair of ear canal atresia.
Malformed inner ear w/abnormal SNHL. (Repair would be futile as patient may not have serviceable hearing)
73
What is the most appropriate age or age-range for repair for the following condition displayed below using autologous rib cartilage?
6-9 years
74
Microtia I
(See Image)
75
Microtia II
(See Image)
76
Microtia III
(See Image)
77
Microtia IV or Anotia
(See Image)
78
The greater superficial petrosal nerve provides _____ to the lacrimal gland branches off of the FN at the geniculate ganglion.
The greater superficial petrosal nerve provides parasympathetic innervation to the lacrimal gland branches off of the FN at the geniculate ganglion.
79
32M w/severe to profound L-sided SNHL and mild R-sided SNHL presents w/cholesteatoma in R ear. He describes having vertigo in environments with loud noises. High resolution CT is pictured What does this patient have?
Labyrinthine fistula (extensive bony destruction forming one cavity resembling operative mastoidectomy).
80
32M w/severe to profound L-sided SNHL and mild R-sided SNHL presents w/cholesteatoma in R ear. He describes having vertigo in environments with loud noises. High resolution CT is pictured What is the procedure of choice?
Canal wall down mastoidectomy and leave matrix intact over fistula.
81
The structure in the image below is responsible for which of the following actions?
The cochlear aqueduct connects the perilymphatic space of the cochlea w/the subarachnoid space (runs parallel to the IAC).
82
32F presents to ED w/sudden b/l FN paralysis w/onset 2d ago. She reports fatigue, myalgias and arthralgias x2wks. Denies prior medical/surgical h/o prior Bell’s palsy. She reports working as a summer camp counselor in Conneticuit 2mos ago. Exam shows HB grade IV facial paralysis but otherwise normal exam. This patient is showing signs and symptoms of ___?
Stage II Lyme disease (also associated w/cardiac abnormalities, encephalitis and annular rashes).
83
What is the most common sites for a perilymphatic fistula to develop, in the absence of congenital abnormalities of the ossicles (perforated stapes footplate or absent posterior crus? 1) 2) 3)
1) anterior to the anterior crus 2) anteroinferior to the anterior crus 3) anterosuperior to the anterior crus More common of the oval window than round window
84
The footplate of the stapes is developmentally derived from ____.
Otic mesenchyme,
85
The ___ is the inferior part of the vestibule.
Saccule.
86
The ___ receives the crura of the SCC.
Vestibule.
87
Which structure of the medial wall of the tympanic cavity is most anterior?
The Pyramidal Process (remember tensor tympani muscles attach to the Cochleariform Process).
88
Donaldson’s line is a hypothetical line that runs parallel to the ___ and bisects the dome of the ___.
HSCC. PSCC.
89
Donaldson’s line marks the boundary of the ___.
Endolymphatic sac.
90
A 53M undergoes a CI. During the post-op period, there is spasm of the ipsilateral face. What is the appropriate mgmt?
Reprogram the electrode.
91
The scala media is located between the ___ and ___.
Scala tympani and scala vestibule.
92
Which inner ear structure terminates at the round window?
Scala Tympani (lower component of the cochlea).
93
The Scala Vestibuli abuts the ___.
Oval window.
94
The cochlear aqueduct connects to the ___ at the ___.
Scala tympani. Basal turn of the cochlea.
95
The nervous intermedius contains _____ nerve fibers supplying innervation to the lacrimal, submandibular, sublingual, and minor salivary glands.
The nervous intermedius contains Pre-ganglionic parasympathetic nerve fibers supplying innervation to the lacrimal, submandibular, sublingual, and minor salivary glands.
96
The nervous intermedius contains Pre-ganglionic parasympathetic nerve fibers supplying innervation to the _____ glands.
Lacrimal, submandibular, sublingual, and minor salivary glands.
97
You encounter a persistent stapedial a. occupying the majority of the obturator foramen of the stapes during surgery. What is the most appropriate next step in management?
A large persistent stapedial a. should be left alone. (smaller vessels occupying <50% of the obturator space could be amenable to bipolar vs. laser cautery or prosthesis placement in experienced hands).
98
What major landmark is Donaldson’s line based off of?
Horizontal SCC.
99
Within the IAC, what structure is superior to the transverse crest and anterior to Bill’s bar?
Facial nerve.
100
What two nerves make up the Nerve of the Pterygoid Canal?
Deep petrosal n. + Greater Superficial Petrosal n. (GSPN)
101
Which nerve is part of the pathway of sympathetic innervation to the Nerve of the Pterygoid Canal, proximal to the sphenopalatine ganglion?
Deep petrosal nerve.
102
Sound intensity (dB) measures the ratio of a given ___/___.
Intensity/a given Hearing Threshold (aka reference sound).
103
Scheibe’s anomaly describes a dysplasia of the ___ and ___.
Cochlea + Saccule. (malformation limited to the membranous portion of the pars inferior).
104
The superior olivary nucleus is the primary generator of which wave(s) in an ABR? (Remember E COLI)
IV E - eighth nerve (distal = I proximal = II) C - cochlear nucleus (III) O - superior Olivary nucleus (IV) L - lateral lamniscus (V) I - inferior colliculus (VI-VII)
105
What is the noise exposure limit set by OHSA?
Scale begins at 8hrs of 90 dB noise exposure, and for every 5dB increase in sound level, the allowed number of hours at that level is half. (eg 4hrs at 95dB, 2hrs at 100db)
106
The cochlear aqueduct contains the ___.
Periotic duct (Perilymphatic duct)..
107
Where does the chorda tympani travel within the middle ear?
Btwn. the manubrium of the malleus and long process of the incus.
108
Innervation of the TM?
X V3 Vii
109
Innervation of the External ear/EAC: (see image)
C2/C3
110
Innervation of the External ear/EAC: (see image)
VII
111
Innervation of the External ear/EAC: (see image)
C2/C3
112
Innervation of the External ear/EAC: (see image)
V3
113
Innervation of the External ear/EAC: (see image)
See image
114
The stapedial a. Is derived from which branchial arch?
2nd Branchial Arch.
115
What is the structure (blurred)?
(See image)
116
What is the structure (blurred)?
(See image). *(posterior sinus is one of the 3 sinuses in which cholesteatoma, granulation tissue, and retracted epithelium may occur)*
117
What are the structures (blurred)?
(See image)
118
What is the structure (blurred)?
(See Image) *ponticulus = bridge of bone from pyramidal eminence to the promontory
119
What are the structures (blurred)?
(See image)
120
What is the structure (blurred)?
(See image)
121
What is the structure (blurred)?
(See image)
122
What is the structure (blurred)?
(See image)
123
What is the structure (blurred)?
(See image)
124
What is the structure (blurred)?
(See image).
125
What are the 4 Parasympathetic ganglia within the head and neck?
1. Ciliary ganglion 2. Pterygopalatine ganglion 3. Submandibular ganglion 4. Otic ganglion
126
What branch(es) of the FN run distal to the N to Stapedius?
1. Chorda tympani 2. Extratemporal branches of FN
127
Within the IAC, the nervous intermedius runs as a separate n between the facial and superior vestibular nerves and carries ____ fibers.
1. Parasympathetic general visceral efferent (GSPN + fibers to sublingual gland + submandibular) 2. Special visceral afferent fibers (chorda tympani and sensation to posterior wall of EAC)
128
Firing rates for each ampulla (R/L) are excitatory w/___ acceleration in the direction of the leading canal, and inhibitory in the lagging (coplanar) canal.
Firing rates for each ampulla (R/L) are excitatory w/angular acceleration in the direction of the leading canal, and inhibitory in the lagging (coplanar) canal.
129
Firing rates for each ampulla (R/L) are excitatory w/angular acceleration in the direction of the leading canal, and inhibitory in the ____ canal.
Firing rates for each ampulla (R/L) are excitatory w/angular acceleration in the direction of the leading canal, and inhibitory in the lagging (coplanar) canal.