
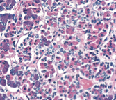
anterior pituitary:



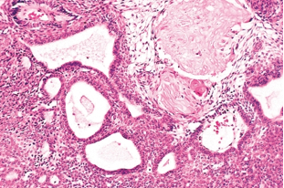
Craniopharyngioma
Adamantinomatous: children, squamous epithelium, wet keratin and calcification, cysts contain “machine oil”

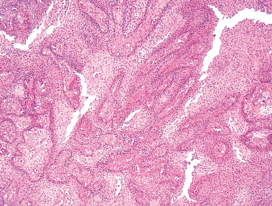
Craniopharyngioma
Papillary: found in adults; lack keratin, calcification and cysts

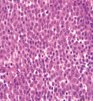
parathyroid gland H&E stain:

PRIMARY HYPERPARATHYROIDISM:

more on primary hyperparathyroidism, showing hyperplasia (sporadic/component of MEN syndrome)

skeletal changes seen in PRIMARY HYPERPARATHYROIDISM;

Thyroid
what disease?

Graves disease
which disease?

HASIMOTO THYROIDITIS
what pathology?

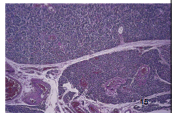
MULTINODULAR GOITER - on the RIGHT
what pathology?

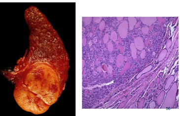
FOLLICULAR ADENOMA
what carcinoma?
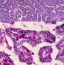
papillary carcinoma of thyroid gland

what type of carcinoma?
FOLLICULAR CARCINOMA of thyroid gland

what type of carcinoma?
medullary carcinoma of thyroid gland

type of tissue?

Adrenal gland:
what pathology?

diffuse adrenocortical hyperplasia
what pathology?

adrenocortical adenoma:
what pathology?

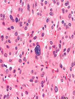
adrenocortical CARCINOMA
what pathology

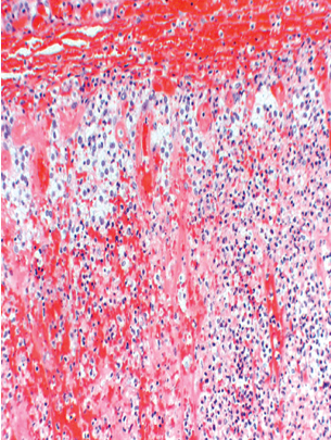
primary hypoadrenalism
what pathology?

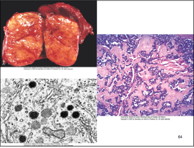
pheochromocytoma:
–Small circumscribed lesions confined to adrenal to large hemorrhagic masses
–Composed of polygonal to spindle cells clustered with sustentacular cells into small nests or alveoli (zellballen) by a rich vascular network.
what pathology

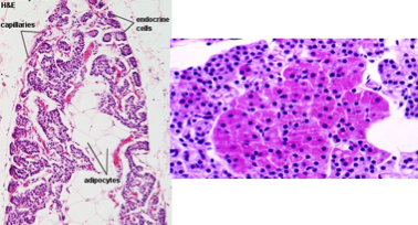
Insulinoma (type of pancreatic endocrine neoplasm)