GIT Flashcards

(85 cards)

1
Q

What are the (purpose of) relationship between GIT structure and function?

A

There is continuous communication between the external (lumen) and internal environment to optimise conditions for digestion and absorption.

How well did you know this?
1
Not at all
2
3
4
5
Perfectly
2
Q

What are the 4 factors regulating functions of GIT?

A
  1. autonomous smooth muscle function
  2. intrinsic nerve plexus
  3. extrinsic nerve
  4. GI hormone (enteroendocrine)
How well did you know this?
1
Not at all
2
3
4
5
Perfectly
3
Q

Describe the function processes of autonomous smooth muscle function.

A
  1. non-contractile interstitial cells of Cajal are “pacemakers” establishing rhythmic, slow wave potentials (basic electric rhythm) that spread to SM via gap junctions.
  2. If wave reaches threshold at depolarisation peak then a volley of AP is triggered, causing muscle contraction - basis for peristalsis.
How well did you know this?
1
Not at all
2
3
4
5
Perfectly
4
Q

What are the two structures of the intrinsic nerve plexus? and what are their functions?

A
  1. Myenteric plexus - located between the longitudinal and circular layers of muscle and exerts control primarily over digestive tract motility.
  2. Submucosal plexus - main role of sensing the luminal environment, regulating gastrointestinal blood flow and controlling epithelial cell function.

They function together to control local activities.,

How well did you know this?
1
Not at all
2
3
4
5
Perfectly
5
Q

What are the functioning mechanisms of extrinsic nerves?

A
  1. formed by autonomic nervous system divisions
  2. influences the digestive system by acting on intrinsic nerves, hormone secretion and directly on GI cells.
  3. coordinates activity between different regions of the tract.
How well did you know this?
1
Not at all
2
3
4
5
Perfectly
6
Q

What does Gastrointestinal Hormones do?

A

Enteroendocrine cells in the mucosa of the GIT release hormones into the blood where they exert effects on smooth muscle and glands.
They secrete:
Gastrin
Secretin
Cholecystokinin
Glucose-Dependent Insulinotropic Peptide
Motilin

How well did you know this?
1
Not at all
2
3
4
5
Perfectly
7
Q

Please provide an example of how the 4 factors work together to control digestion.

A
  1. ASMF - pacemaker cells are causing muscle contraction in stomach antrum (mixing and propulsion).
  2. Intrinsic nerves - myenteric reflex increasing motility (mixing and emptying).
  3. Extrinsic nerves - Vagal signalling leading to motility and secretion.
  4. GI hormones - release of gastrin leads to increased acid secretion (chemical digestion).
How well did you know this?
1
Not at all
2
3
4
5
Perfectly
8
Q

Describe the basic structure and functions of the GIT.

A
How well did you know this?
1
Not at all
2
3
4
5
Perfectly
9
Q

What are the tissue layers that make up the GIT and their specific roles.

A

Lumen
Mucosa (epithelium, lamina propria, muscularis propria)
Submucosa (LCT and submucosal (Meissner’s) nerve plexus)
Muscularis Externa (SKM, SM, myenteric (Auerbach’s) nerve plexus)
Serosa (Adventia)

How well did you know this?
1
Not at all
2
3
4
5
Perfectly
10
Q

Can describe the main control mechanisms that regulate function.

A
How well did you know this?
1
Not at all
2
3
4
5
Perfectly
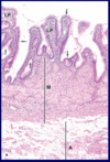
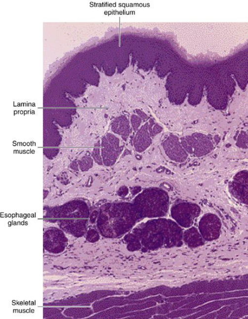
11
Q

Oesophagus S->F

A
  1. muscular tube -> transport from pharynx to stomach
  2. non-keratinised stratified squamous -> tough for protection.
  3. submucosa contains oesophagus glands -> transport & protects mucosa.
  4. lamina propria near stomach -> oesophageal cardiac glands -> secrete mucus.
  5. proximal end - SKM
    distal end - SMM
    mid oesophagus - mix of SKM and SMM.
  6. Upper is covered by adventia while the lower is covered by serosa.
How well did you know this?
1
Not at all
2
3
4
5
Perfectly
12
Q

Stomach S->F

A
  1. begins at end of oesophagus and ends at pyloric sphincter.
  2. rugae - allows expansion
  3. holds ~ 50 mL when empty; and ~1-1.5L following normal meal.
How well did you know this?
1
Not at all
2
3
4
5
Perfectly
13
Q

Stomach Mucosa S->F

A
  1. surface epithelium invaginates into lamina propria -> forming gastric pits and glands.
  2. Lamina propria -> LCT with SMM & lymphoid cells.
  3. Separating mucosa from submucosa is muscularis mucossae.
  4. Simple columnar -> secrete alkaline mucus. -> protection and defence.
  5. Glands contain specialised cells - acid, enzyme and hormone producing.
How well did you know this?
1
Not at all
2
3
4
5
Perfectly
14
Q

Histological regions of the Stomach

A
  1. cardia
    - narrow circular band of 1.5 to 3 cm
    - cardiac glands are simple or branched.
    - most secretory cells produce mucous & lysozyme
    - few parietal cells
  2. fundus
    - LP has branched tubular gastric (fundic) glands
    - 3~7 gastric glands open into bottom of each gastric pit
    - Gastric glands has 3 distinct regions: isthmus, neck & base.
    - most acid producing cells in this region
  3. pylorus
    - LP has deep gastric pits with branched tubular pyloric glands. -> secrete mucus and lysozyme.
How well did you know this?
1
Not at all
2
3
4
5
Perfectly
15
Q

Mucous Cells in Stomach S->F

A
  1. nucleus at base of the cell + secretory granules near apical surface -> secrete mucus -> protects stomach wall from being digested by gastric juice (acid and enzyme-rich)
  2. Two types of mucous cells: Mucous surface cells and mucous neck cells.

Surface cells -> produce insoluble mucous -> thick gel layer adhered to epithelial surface.

Neck cells -> irregular shape + located at neck of gastric glands -> produce thinner and more soluble mucous -> mobile and mixes with lumen contents.

How well did you know this?
1
Not at all
2
3
4
5
Perfectly
16
Q

Parietal cells S->F

A
  1. mainly found in upper parts of gastric glands.
  2. round with intensely eosinophilic cytoplasm.

Functions:
1. secretes H+ and Cl- to form HCl.
2. secretory activity initiated through variety mechanisms:
- histamine and gastrin
- stretch
- neural (ACh)
3. secrete intrinsic factor - VitB 12 absorption.

How well did you know this?
1
Not at all
2
3
4
5
Perfectly
17
Q

What are the two types of parietal cells in stomach?

A

Resting cell:
1. Tubulovesicles (TV) -> sequestered proton pump H/K-ATPase
2. Few microvilli (MV)

Active cell:
1. increased surface area
2. Abundant mitochondria
3. deep circular invagination of the apical plasma membrane - intracellular canaliculus (IC).
3. TVs fuse with the cell membrane and MV projects into the canaliculi.

How well did you know this?
1
Not at all
2
3
4
5
Perfectly
18
Q

Chief (zymogenic) cells S->F

A
  1. found in lower regions of glands -> protein synthesising & exporting cell
  2. granules contain inactive pepsinogen -> pepsin in the presence of HCl.
  3. granules located luminal aspect -> produce lipase
How well did you know this?
1
Not at all
2
3
4
5
Perfectly
19
Q

Enteroendocrine (and paracrine) cells in stomach S-> F

A
  1. found in neck & base of gastric glands
  2. fundus of stomach -> serotonin.
  3. body of stomach -> histamine.
  4. pylorus of stomach -> gastrin and somatostatin.
  5. Granules located basolateral aspect.
How well did you know this?
1
Not at all
2
3
4
5
Perfectly
20
Q

Summary of Digestive activities in the Stomach

A
How well did you know this?
1
Not at all
2
3
4
5
Perfectly
21
Q

Small intestine S->F

A
  1. longest portion (~6m) of the alimentary canal and fills much of the peritoneal cavity. -> site of most enzymatic digestion & absorption)
  2. Position stabilised by mesentery (peritoneal membrane).
  3. three subdivisions:
    - Duodenum (~5%)
    - Jejunum (~40%)
    - Ileum (~60%)
How well did you know this?
1
Not at all
2
3
4
5
Perfectly
22
Q

Enterocytes S->F

A
  1. tall columnar cells
  2. Oval nucleus in basal half
  3. Apex contains brush border (Mv) -> protrusion of apical cytoplasm. -> absorb nutrients.
  4. secrete enzymes which bind to Mv aiding in breakdown into simple sugars for easy absorption.
How well did you know this?
1
Not at all
2
3
4
5
Perfectly
23
Q

Goblet cells in Small Intestine S->F

A
  1. interspersed between enterocytes -> increase as progress down tract
  2. produce mucins -> protection against acidic contents + lubrication of lining.
How well did you know this?
1
Not at all
2
3
4
5
Perfectly
24
Q

Paneth cells S in small intestine ->F

A
  1. located in base of crypts -> contain lysozyme -> antimicrobial activity.
How well did you know this?
1
Not at all
2
3
4
5
Perfectly
25
Enteroendocrine cells in small intestine
1. Located in crypts 2. two types: Open-type - apex of cell presents Mv & contacts lumen Closed-type - cellular apex covered by other epithelial cells 3. secretes a variety of hormones with a variety of actions.
26
Lamina propria to serosa in SI
1. composed LCT, BV, LV, NE, SM. 2. submucosa contains duodenal glands (brunner's glands) which protects duodenal mucous membrane from acidic juice. 3. LP has Peyer's Patches - MALT 4. muscularis allows for movement - 2 layers.
27
How does small intestine exert its motility?
1. segmentation - ring-like contraction and relaxation of muscularis causes mixing (controlled by pacemaker cells). 2. migrating motility complex - propagating contractions propel chyme forward (controlled by hormones).
28
Summary of SI
29
Anatomy of LI
1. Extends from ileocaecal junction to anus 2. consists of caecum, colon, rectum, anal canal and secretion of mucus 3. movements sluggish (18~24h) - chyme converted into faeces by absorption of water & salts with extensive action of microflora. 4. 1500 mL of chyme enters caecum; 90 % of volume reabsorbed = 80~150 mL of faecal matter excreted.
30
What is the main difference in the mucosal architecture of the large intestine compared to the small intestine.
Small Intestine: Contains villi and plicae circulares, maximizing surface area for nutrient absorption. Large Intestine: Lacks villi; has a smooth mucosa with deep crypts and numerous goblet cells, focusing on water absorption and mucus secretion.
31
Histology of LI
1. No villi or circular folds 2. Simple columnar epithelium (except anal canal: stratified squamous) with many goblet cells 3. Taeniae coli (longitudinal muscles) in muscularis form haustra (pouches) through contractions 4. Intestinal crypts in lamina propria 5. Absorptive cells: absorb water 6. Goblet cells: secrete mucus for lubrication
32
Describe the absorption & faeces formation in LI
1. Na and Cl ions 2. after 3-10 hours, 90% of water has been removed from chyme. 3. Faeces are semi-solid when reaches transverse colon. 4. faeces include: dead epithelial cells, undigested food such as cellulose, bacteria (live & dead).
33
Describe LI motility
1. important for storage, drying, and excretion. 2. 2 types of motility patterns: - non-propulsive - propulsive
34
Describe Haustral Contractions
1. colon's main motility 2. initiated by autonomous rhythmicity of colonic pacemakers. 3. segmental (one section that is relaxed gradually contracts while a previously contracted area relaxes to form a new sac). 4. slow and non-propulsive (1 per 30 mins). 5. moves chyme back and forth for absorption of salt and water.
35
Mass movement in LI
1. propulsive (ascending & transverse colon) 2. approx 3/day generally after a meal 3. occur when segments of the LI contract in a oral to anal direction (segmental activity ceases with loss of haustration, contraction then sweeps contents forward), driving faeces 1/3 to 3/4 way through colon in a few seconds.
36
Describe the defecation process
1. defecation reflex - distention of the rectal wall by faeces. 2. intrinsic and parasympathetic nerves contract muscles of the rectum & relax internal anal sphincter 3. External sphincter is voluntarily controlled.
37
Provide a summary for large intestine
38
What are the GIT accessory organs?
Salivary glands - secretion enter oral cavity. Liver Gallbladder Pancreas
39
What does liver, gallbladder, and pancreas do?
Release secretions into the small intestine to help facilitate chemical digestion and absorption.
40
Describe the histological structures of the Gallbladder.
Hollow pear-shaped organ divided into 3 regions 1. Fundus 2. Body 3. Neck
41
Where is Gallbladder located? What duct does it have and where does it go?
1. located in fossa in posterior surface of liver's right lobe. 2. Cystic duct extends from gallbladder to union with common hepatic duct forms the common bile duct. 3. Joins with main pancreatic duct prior to emptying through duodenal papillae.
42
What is the main function of Gallbladders?
Bile storage & Bile secretion is highly regulated -> bile is continuously secreted by liver (~1 L daily). Between meals, the hepatopancreatic sphincter is closed so bile is redirected to gallbladder. During meals, bile is released into duodenum through open hepatopancreatic sphincter under stimulation by hormone CCK.
43
What are the control mechanisms of Bile secretion?
1. Neural: Vagal stimulation causes increased liver bile flow and gall bladder contraction. 2. Hormonal: Secretin (produced by the duodenum) is carried through the circulation to the liver and stimulates bile secretion by the liver. 3. Cholecystokinin is carried through the circulation to the gall bladder and stimulates gallbladder to contract the sphincters to relax, releasing bile into the duodenum. 4. Chemical: Bile salts also stimulate bile secretion. Over 90 % of bile salts are reabsorbed in the ileum and are returned to the liver where they stimulate additional secretion of bile salts.
44
How does the bile facilitate digestion?
1. Emulsification - triglycerides are insoluble in water -> aggregate in aqueous environment of S.I. 2. Micelles - Formation facilitates fat absorption -> 3-10 nm -> bile salts and lecithin aggregate in small clusters, with fat-soluble parts forming hydrophobic core -> are water soluble thanks to hydrophilic shell -> but able to dissolve lipid-soluble molecules in the core, e.g., monoglycerides, FFA, Vitamins, and cholesterol. These are released at the surface of enterocytes.
45
Gallbladder Physiology
Gallbladder functions in bile modification when full = ~40 mL and bile composition begins to change Water is absorbed and bile becomes concentrated (up to 20x) -> this is important since the liver produces about 1 L of bile per day. However, gallstones may form if bile components are unbalanced or if emptying is disrupted. Concentrated bile components can crystalise - the fusion of individual crystals of cholesterol is the beginning of 95 % of all gallstones. Gallstones can cause obstruction to the outflow of bile in any portion of the duct system. Treatment of gallstones consists of using gallstone-dissolving drugs, lithotripsy (shock waves), or surgery.
46
Gallbladder histology
simple columnar epithelium with an underlying lamina propria -> lining epithelial cells which are specialised for water uptake - they have abundant Mv and prominent mitochondria -> store bile, concentrate it by absorbing its water and release necessary into the gut. -> process depends on an active sodium-transporting mechanism. a muscular with fibres in all directions to facilitate the emptying of the organ either an adventia where it is against the liver or a serosa along exposed surfaces.
47
summary of gallbladder
48
anatomy of the pancreas
~ 13 cm long by 2.5 cm thick head close to curve in C-shaped duodenum Main pancreatic duct joins common bile duct from liver opens ~10 cm below pyloric sphincter
49
Functions of pancreas
both endocrine and exocrine 1. endocrine - pancreatic islets + produce insulin glucagon, and somatostatin. 2. exocrine - groups acini (grape-like clusters) form lobules separated by septa.
50
Histology of the pancreas
1. thin capsule of CT covers pancreas, sending septa into it, separating the pancreatic lobules. 2. digestive enzymes produced by exocrine portion - exocrine pancreas secretes 1.5-2 L fluid daily. 3. hormones produced by endocrine portion. 4. acini-dark clusters - 99 % of gland 5. Islet of langerhans - 1 % of glands - pale staining cells.
51
Pancreatic Acini
1. exocrine acinus is composed of serous cells around small lumen. 2. acinar cells are highly polarised, containing zymogen granules - protein secreting cell. 3. Centroacinar cells are an extension of the intercalated ducts into each acinus.
52
Describe the pancreatic duct system.
1. acini drained vai an intercalated duct - intralobular duct - interlobular duct - main pancreatic duct. 2. The main pancreatic duct is lined by tall columnar epithelium. 3. Opens into duodenum at major duodenal papilla.
53
pancreatic acini
1. pancreatic juice contains bicarbonate ions & digestive enzyme including proteases, amylase, and lipase. 2. proteases stored and released as inactive zymogens 3. activated in small intestine - preventing autodigestion of pancreas (-> pancreatitis).
54
pancreatic secretion
controlled predominantly by 2 hormones 1. secretin and cholecystokining (CCK) both released from the duodenum. 2. stimulus for CCK release is presence of triglycerides in the duodenum. 3. Stimulus for secretin release is acid in the duodenum. -> Vagus nerve also stimulates pancreatic secretion.
55
Describe the regulation of pancreatic exocrine secretions
56
How does pancreas contribute to digestion?
PNS stimulation from the vagus nerve causes pancreas to release a secretion rich in digestive enzymes Pancreatic endocrine secretions are non-digestive.
57
Describe Insulin
Anabolic hormone - lowers blood concentration fo glucose, fatty acids, and amino acids by promoting cellular uptake. - enhances their conversion into glyucogen & triglycerides Secretion is increased during absorptive state. primary stimulus for secretion is increase in blood glucose concentration.
58
Describe Glucagon
1. Secreted during post-absorptive state in response to a fall in blood glucose. 2. mobilises energy-rich molecules from their stores. 3. increases blood glucose levels. 4. in general opposes the action of insulin.
59
Give a summary of glucagon and insulin
60
give a summary for pancreas
61
What are the taste and smell chemical senses?
1. interaction of molecules with receptor cells which genearte neural signals. 2. olfaction (smell) and gustation (taste) 3. both project to cerebral cortex, & limbic system - evokes strong emotional reactions.
62
Describe taste sense (gustation).
1. Five current primary taste sensations: - Salty (mostly contributed by sodium ions) - sweet (e.g., glucose, alcohols, ketones) - sour (related to acid, e.g., hydrogen ions) - bitter (alkaloids, nitrogen) - umami (foods containing L-glutamate) 2. taste linked to chemical receptors present on the taste cells.
63
Describe the transmission of taste signals into CNS
64
Describe the Taste Buds
~ 10, 000 taste buds found on tongue, soft palate, & larynx Found on papillae - 4 types of papillae
65
Describe the Vallate papillae
1. largest papillae 2. 8~12 in V along border between ant&post tongue 3. have taste buds
66
Describe the fungiform
mushroom-shaped scattered irregularly on sup surface of tongue small red dots have taste buds
67
Describe the foliate
leaf-shaped found on sides of tongue contain most sensitive taste buds decrease with age
68
Filiform
1. filament-shaped 2. most numerous 3. no taste buds
69
Describe the anatomy of taste buds
3 cell types: gustatory (receptor), supporting, & basal cells Oval body consisting ~50 receptor cells surrounded by supporting cells. Gustatory hairs (Mv) project upwards through the taste pore. Basal cells develop into new receptor cells every 10 days.
70
What is the mechanism of taste?
1. Tastant binds to gustatory receptor cell 2. causes a depolarising receptor potential (with calcium entry via voltage-gated channels). 3. Neutrotransmitter release from receptor cell. 4. Detected by afferent nerve fibres that synapse with receptor cell. 5. Initiates AP in terminal endings.
71
Discuss taste
Influenced by food texture, aroma, temperature, and appearance. Different tastes have different thresholds: bitter is more sensitive and many alkaloids (bitter) are poisonous. Taste influences lots of olfaction!
72
Discuss smell (Olfaction)
1. the olfactory mucosa is responsible for smell - 3 cm^2 patch located in ceiling of nasal cavity. 2. For something to be "smelled" it needs two properties: - sufficiently volatile (easily vaporised) - sufficient water-soluble (dissolves in mucus)
73
Describe the anatomy of olfactory epithelium
1. ~ 5 million receptors within an area called olfactory epithelium. 2.covers superior nasal cavity, inferior cribriform plate & extends along superior nasal concha. 3. 3 types of cells: olfactory receptor cells, supporting cells and basal cells.
74
Discuss olfactory receptor cells
1. bipolar neuron with cilia or olfactory hairs 2. apexes are dilated & have 6~8 cilia 3. cilia are long & non-motile -> increases SA 4. respond to odoriferous substances by generating a receptor potential. 5. Synapse with neurons of the brain olfactory bulb.
75
Discuss the mechanism of olfaction.
1. olfactory receptor cells synapse with mitral cells in glomeruli - each glomeruli only contains a terminus of receptor cells dealing with a single scent component. 2. Mitral cells project to: - limbic system - primary olfactory cortex (links smell with behaviour) - cerebral cortex - orbitofrontal cortex (links smell with conscious perception).
76
Describe supporting cells
1. have broad cylindrical apexes & narrow bases. 2. free surface contains microvilli which are submerged in fluid layer 3. junctional complexes bind them to olfactory cells 4. contain light yellow pigment, lipofucin (gives mucosa colour).
77
Describe basal cells
1. stem cells 2. continually undergo division to replace receptors (which live for 2 months) 3. olfactory receptors are neurons & neurons are generally not replaced (but these endings are renewable).
78
describe olfactory glands
1. found in CT 2. produce mucus which moistens the surface & dissolves odorants so that transduction can occur.
79
Describe olfaction
1. perceived by olfactory epithelium 2. dendrites have olfactory vesicles 3. cilia extend from vesicles and are embedded in mucus 4. odorants dissolve in mucus & detected by cilia 5. cilia depolarise initiating AP in olfactory neurons
80
Describe swallowing
1. required smell to taste fully (think back to having a blocked nose). 2. useful when needing to swallowing poor tasting things (e.g., medicines, least favourite veg) 3. highly regulated - each day we swallow ~ up to 2400 times!!! (less in older and disease setting) 4. movement of food from mouth to stomach occurs vai deglutition. 5. Facilitated by secretion of saliva and mucous. 6. 3 key regions of GIT involved: mouth, pharynx and oesophagus.
81
Describe the phases of deglutition.
1. the buccal phase - bolus is passed into the oropharynx (voluntary). 2. the pharyngeal phase - involuntary passage of bolus through the pharynx and into the oesophagus. 3. the oesophageal phase - involuntary passage of bolus through the oesophagus into the stomach.
82
Describe the buccal stage
1. Begins with compression of the bolus against hard palate. 2. retraction of the tongue forces bolus into the oropharynx. 3. there is elevation of the soft palate which effectively seals off the nasopharynx. 4. buccal phase is strictly voluntary. 5. once bolus enters the oropharynx, reflex response are initiated and the bolus is moved towards the stomach.
83
Describe the pharyngeal stage
1. begins when tactile receptors on palatal arches & uvula are stimulated. 2. motor commands from the swallowing centre in the medulla oblongata then direct a coordinated pattern of muscle contraction in the pharyngeal muscles. 3. elevation of the larynx & folding of the epiglottis results from contractions of the pharyngeal muscles 4. palatal muscles elevate the uvula & soft palate to block entrance to the nasopharynx. 5. pharyngeal constrictors then force the bolus through the pharynx, past the closed glottis and into oesophagus.
84
Describe the oesophageal stage
1. begins as teh contraction of pharyngeal muscles forces the bolus through the entrance to the oesophagus. 2. once in the oesophagus, the bolus is pushed towards the stomach by peristaltic waves. 3. approach of bolus triggers the opening of the lower oesophageal sphincter. 4. bolus continues into the stomach.
85
What's dysphagia
* Dysphagia is a Greek word that means disordered eating * A serious threat to health * Problem can occur at any stage of swallowing * Can range from total inability to swallow -> to slight coughing or choking due to fluid aspiration * Most common in elderly (up to 50% of nursing home residents) may have some degree of swallowing difficulty * Associated with neurological conditions (commonly stroke), rarely obstructive (eg, oesophageal cancer) * Medications that cause dry mouth can also impair swallowing * Primary concern is the risk of aspiration during dental treatment which may lead to choking or aspiration pneumonia