What are the characteristics of nephrotic syndrome?
Hypoalbuminemia, edema, hyperlipidemia, lipiduria, and SEVERE proteinuria (> 3.5 g/day)
What is the most common cause of secondary nephrotic syndrome in adults?
Diabetic glomerulosclerosis
What is another name for glomerulonephritis?
Nephritic Syndrome
What is Nephritic Syndrome characterized by?
Hematuria, Proteinuria, decreased GFR
What conditions does Nephrotic Syndrome lead to?
Elevated BUN, Elevated Serum Creat., oliguria, salt/water retention, hypertension, edema
What causes decreased GFR in Nephritic Syndrome?
Inflmmatory damage that may impair glomerular flow and filtration
What is the only means of definitive Dx for most glomerular diseases?
Renal biopsy
Describe the differences betwixt NephrItic and NephrOtic syndrome
Nephritic vs Nephrotic Syndrome Table
What findings are observed (uscope, IF, Electron) in minimal-change nephropathy?
No lesions, no ICs, no ICs
What findings are observed (uscope, IF, Electron) in Focal Segmental Glomerulosclerosis?
Focal and Segmental Glomerular Consolidation, no ICs, no ICs
What findings are observed (uscope, IF, Electron) in Membranous Glomerulopathy?
Diffuse global capillary wall thickening, diffuse capillary wall Igs, and Diffuse subepithelial dense deposits
What findings are observed (uscope, IF, Electron) in Membranoproliferative Glomerulonephritis?
Capillary wall thickening and endopaillary hypercellularity, diffuse capillary wall complement and subendothelial (type I) dense deposits; intramembranous (type II) dense deposits
What are the 3 major pathogenetic forms of glomerulonephritis?
In situ IC formation, Deposition of ICs, and ANCA
What is IC formation in situ glomerulonephritis?
Abs bind to intrinsic antigens or foreign antigens within glomeruli
What is circulating IC glomerulonephritis?
Circulating IC deposit in glomeruli and incite inflammation
What is the mechanism of ANCA glomerulonephritis?
Circulating autoAbs to antigens within neutrophil cytoplasm (myeloperoxidase or proteinase-3). This activates the neutrophils causing endothelial damage especially in glomerulus
What lab tests are needed to diagnose glomerular disease?
Light uscopy, electron uscopy, and Immunofluorescence
What histologic finding is associated with a rapidly progressive course?
Glomerular Crescent Formation
What is Minimal-Change Glomerulopathy characterized by?
Effacement of podocyte foot processes
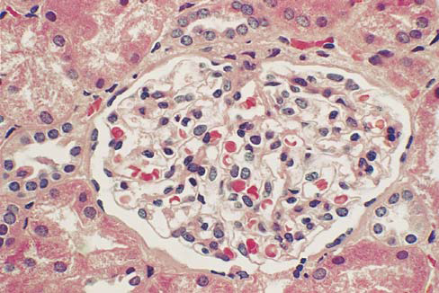
A biopsy of MCG is shown below. What are characteristic light microscopic findings?

No changes are observed on light uscopy
What does electron uscopy show in a patient with MCG?
Podocyte foot process obliteration
What condition does MCG cause?
Nephrotic Syndrome
A patient Dx with MCG has azotemia. What is the likely to true Dx?
Focal Segmental Glomerulosclerosis
What parts of the glomeruli are affected in Focal Segmental Glomerulosclerosis?
(Focal) Some glomeruli and initially only affects the glomerular tuft (segmental)