Haematology Flashcards

(18 cards)

1
Q

DIC:
- causes
- diagnsosis

A

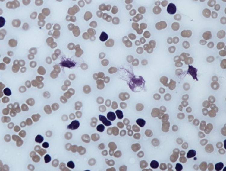
Causes: sepsis, trauma, obstetric complications (HELLP), malignancy

Diagnosis:
- ↓ platelets
- ↓ fibrinogen
- ↑ PT & APTT
- ↑ fibrinogen degradation products
- schistocytes due to microangiopathic haemolytic anaemia

How well did you know this?
1
Not at all
2
3
4
5
Perfectly
2
Q

Epistaxis: management

A

**- Sit with torso forward and mouth open
- Pinch cartilaginous (soft) area for 20 minutes, breathe through mouth
- naseptin (chlorhexidine and neomycin) to reduce crusting and the risk of vestibulitis
- cautery if it does not stop 10-15 minutes
- packing if cautery not available

All failed: spehnopalatine ligation

How well did you know this?
1
Not at all
2
3
4
5
Perfectly
3
Q

Beta-thalassaemia major:
- features
- Mx
- difference with beta-thalassaemia trait

A

Features:
- failure to thrive in first year of life
- hepatosplenomegaly
- microcytic anaemia
- HbA2 & HbF raised, HbA absent

Mx:
transfusion + iron chelation therpay with desferrioxamine

Beta-thalassaemia trait: more non-specific anaemia and doesn’t require treatment

How well did you know this?
1
Not at all
2
3
4
5
Perfectly
4
Q

Haemophillia: blood tests

A
  • prolonged APTT
  • bleeding time, thrombin time, prothrombin time normal
How well did you know this?
1
Not at all
2
3
4
5
Perfectly
5
Q

Hyposplenism: blood film

A

Howell-Jolly bodies
Siderocytes

How well did you know this?
1
Not at all
2
3
4
5
Perfectly
6
Q

Acute lymphoblastic leukaemia:
* who does it affect?
* features
* poor prognostic factors

A

Acute lymphoblastic leukaemia (ALL) is the most common malignancy affecting children and accounts for 80% of childhood leukaemias.

Features:
- anaemia
- neutropenia
- thrombocytopenia: easy bruising
- hepatomegaly, splenomegaly

Poor prognostic factors:
- age < 2 years or > 10 years
- WBC > 20 * 109/l at diagnosis
- T or B cell surface markers
- non-Caucasian
- male sex

How well did you know this?
1
Not at all
2
3
4
5
Perfectly
7
Q

Acute myeloid leukaemia
- features
- poor prognostic factors
- acute promyelocytic leukaemia

A

Adult form of leukaemia

Features:
- anaemia
- neutropenia
- thrombocytopenia
- splenomegaly
- bone pain

Poor prognosis:
- > 60 years
- > 20% blasts after first course of chemo
- cytogenetics: deletions of chromosome 5 or 7

Acute promyelocytic leukaemia M3
- associated with t(15;17)
- fusion of PML and RAR-alpha genes
- presents younger than other types of AML (average = 25 years old)
- Auer rods (seen with myeloperoxidase stain)
- DIC or thrombocytopenia often at presentation
- good prognosis

How well did you know this?
1
Not at all
2
3
4
5
Perfectly
8
Q

Chronic lymphocytic leukaemia:
features
investigations
complications

A

Features: often none, incidental

Investigations:
- FBC: lymphocytosis, anaemia, thrombocytopenia
- smear: smudge cells (see pic)

Main complication: Richters transformation into a fast growing non-Hodgkin lymphoma

How well did you know this?
1
Not at all
2
3
4
5
Perfectly
9
Q

Chronic myeloid leukaemia:
- presentation
- management

A

Presentation:
- anaemia
- weight loss & sweating
- splenomegaly

Investigation:
- neutrophilia
- increased granulocytes at different stages of maturation +/- thrombocytosis

Management
- imatinib
- hydroxyurea
- interferon-alpha
- allergic bone marrow transplant

How well did you know this?
1
Not at all
2
3
4
5
Perfectly
10
Q

Burkitts lymphoma
- cell type & association
- diagnosis
- management
- complication of management

A

B cell neoplasm which is associated with EBV

Diagnosis:
- microscopy: ‘starry sky’ appearance

Management: chemotherapy

Complication: tumour lysis syndrome
Rasburicase given before chemo to reduce chance of TLS!!

How well did you know this?
1
Not at all
2
3
4
5
Perfectly
11
Q

Hodgkins lymphoma:
- histological classification
- presentation
- investigation
- staging and management

A

Histology - see table

Presentation:
- lymphadenopathy (worsens with alcohol)
- assymetrical spreading lymphadenopathy
- B Sx: weight loss, night sweats

Investigation:
- normocytic anaemia
- eosinophillia
- LDH raised
- Reed-Sternberg cells

Ann-Arbor Staging:
I: single lymph node
II: 2 or more lymph nodes/regions on the same side of the diaphragm
III: nodes on both sides of the diaphragm
IV: spread beyond lymph nodes

Management: chemo

How well did you know this?
1
Not at all
2
3
4
5
Perfectly
12
Q

Myelofibrosis
- what is it?
- Sx
- lab findings

A

Scarring of bone marrow makes it more difficult for RBCs to be produced

Sx: elderly person with anaemia, massive splenomegaly and other generic Sx like weight loss & night sweats

Lab findings:
- anaemia
- ‘tear drop’ poikilocytes
- high urate and LDH

How well did you know this?
1
Not at all
2
3
4
5
Perfectly
13
Q

Thrombocytosis:
- what is it?
- causes
- features
- management

A

Thrombocytosis is an abnormally high platelet count, usually > 400 * 109/l.

Causes:
- reactive e.g. infection, post-op
- malignancy
- essential
- hyposplenism

Essential features:
- platelet count > 600 * 109/l
- both thrombosis (venous or arterial) and haemorrhage can be seen
- burning sensation in the hands
- a JAK2 mutation is found in around 50% of patients

Management:
- hydroxyurea (hydroxycarbamide) is widely used to reduce the platelet count
- interferon-α is also used in younger patients
- low-dose aspirin may be used to reduce the thrombotic risk

How well did you know this?
1
Not at all
2
3
4
5
Perfectly
14
Q

Polycythaemia rubra vera
- what is it?
- features
- management

A

Increase number of red blood cells

Features:
- pruitus
- splenomegaly
- HTN and hyperviscosity (thrombi)
- haemorrhage
- low ESR

Management:
- aspirin (reduce thrombi)
- venesecion
- chemotherapy with hydroxyurea

How well did you know this?
1
Not at all
2
3
4
5
Perfectly
15
Q

Sickle cell anaemia:
- crises
- management

A

Thrombotic: painful crisis
- prevent with hydroxyurea

Acute chest syndrome: pain relief, resp support and ABX

Aplastic crises: parovirus

Sequestration crises: pooling of blood in lungs or spleen

Requires the pneumococcal vaccine every 5 years.

How well did you know this?
1
Not at all
2
3
4
5
Perfectly
16
Q

Transfusion-related complications:
- non-haemolytic febrile reaction
- minor allergic reaction
- anaphylaxis
- acute haemolytic reaction
- TACO
- TRALI

A

non-haemolytic febrile reaction:
- fever, chills
- stop or slow transfusion, paracetamol & monitor

minor allergic reaction:
- pruitus, urticaria
- temporarily stop transfusion, antihistamine, monitor

anaphylaxis:
- hypotensions, dyspnoea, wheeze, angioedema
- stop transfusion, IM adrenaline, ABC

acute haemolytic reaction:
- fever, abdo pain, hypotension
- stop transfusion, confirm diagnosis, supportive care

TACO
- pul oedema, HTN
- slow/stop transfusion, consider loop diuretic (furosemide) and O2

TRALI:
- hypoxia, pul infiltrates on CXR, hypotension
- stop transfusion, O2 and supportive

17
Q

Warfarin management
1. major bleeding
2. INR>8.0 minor bleeding
3. INR>8.0 no bleeding
4. INR 5.0-8.0 minor bleeding
5. INR 5.0-8.0 no bleeding

A

major bleeding
- stop warfarin
- give vit K and prothrombin complex concentrate (FFP if not available)

INR>8.0 minor bleeding
- stop warfarin
- give IV vit K and repeat after 24h if still high
- restart warfarin when INR <5.0

INR>8.0 no bleeding
- stop warfarin
- vit K orally, repeat after 24h if INR still high
- restart <5.0

INR 5.0-8.0 minor bleeding
- Stop warfarin
- Give intravenous vitamin K 1-3mg
- Restart when INR < 5.0

INR 5.0-8.0 no bleeding
- withold 1 or 2 doses of warfarin
- reduce subsequent maintenance

18
Q

DOACs: MOA, excretion, reversal
- dabigatran
- rivaroxaban
- apixaban
- edoxaban