What parts of the conducting portion and respiratory portion of the respiratory tract are extrapulmonary and intrapulmonary?

What happens to the walls of the passageways as you enter further into the respiratory tract
The walls of the passageways become thinner as their lumens decrease in diameter.
What cells line the respiratory tract
Pseudostratified ciliated epithelium, with goblet cells, lines the airways from the nasal cavity to the largest bronchioles. Simple columnar epithelium with cilia and Club (Clara) cells but no goblet cells line the terminal bronchioles Simple cuboidal epithelium with a few sparsely scattered cilia and Club (Clara) cells line the respiratory bronchioles and alveolar ducts. Simple squamous/type 1 (+ septal/type 2) cells line the alveoli
How does the trachea divide and then how does it become different?
The TRACHEA (10 cm long; 2.5 cm wide) divides into two primary bronchi in the mid-thorax. Primary bronchi have a histology similar to that of the trachea, but their cartilage rings and spiral muscle completely encircle the lumen.
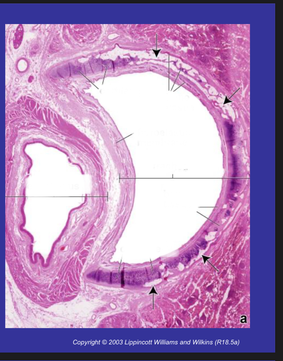
What is seen in the image?

Transverse section of TRACHEA and oesophagus, from an elderly person. The fibroelastic membrane contains the trachealis muscle The C-shaped cartilaginous tracheal ring has been transformed, in part, to bone, a process that occurs with ageing

Describe the wall of the trachea?

Pseudostratified ciliated epithelium?
Pseudostratified epithelium –All cells make contact with the basement membrane, but not all of the cells reach the epithelial cell surface. This results in nuclei lying at different levels giving the impression of multiple cell layers.

Mucociliary escalator

Secretions from the epithelium and submucosal glands of the trachea and bronchi
• Mucins, Water, • Serum proteins, • Lysozyme (destroys bacteria), • Antiproteases (inactivate bacterial enzymes • Lymphocytes contribute immunoglobulins (esp. IgA).
Secondary and tertiary bronchi compared to primary bronchi
Histology similar to primary bronchi except cartilages arranged as irregular crescent plates or islands, rather than rings.

Blood supply to bronchioles and alveoli

A BRONCHUS AND BRONCHIOLE
Small diameter bronchus with cartilage (C) reduced to small islands. Glands (G) in Submucosa. Bronchiole has no cartilage or glands. Pulmonary arteries (PA) carry deoxygenated blood. Bronchial arteries (BA) carry oxygenated blood.

Structure of bronchus compared to bronchiole

Bronchioles and asthma
Absence of cartilage in walls of bronchioles can be problematic because it allows these air passages to constrict and almost close down when smooth muscle contraction becomes excessive. Such bronchoconstriction can become excessive in asthma and cause more difficulty with expiration than inspiration (during expiration the bronchial walls are no longer held open by the surrounding alveoli).
Club (Clara) cell
As bronchioles get smaller, goblet cells give way to Club cells, interspersed between ciliated cuboidal cells. Club cells secrete a surfactant lipoprotein, which prevents the walls sticking together during expiration.
Why don’t the terminal bronchioles have goblet cells?
Terminal bronchioles are the smallest airways of the conducting portion (<0.5mm). Absence of goblet cells in these very narrow airways is important to prevent individuals from ‘drowning’ in their own mucus.
Alveoli
Alveoli can open into: - a respiratory bronchiole - an alveolar duct - an alveolar sac - another alveolus (via an alveolar pore) New alveoli continue to develop up to the age of 8 years when there are approximately 300 million. Alveolar walls: - have abundant capillaries - are supported by a basketwork of elastic and reticular fibres. - have a covering composed chiefly of type I pneumocytes. - have a scattering of intervening type II pneumocytes. Type I cells (squamous) cover 90% of surface area and permit gas exchange with capillaries. Type II cells (cuboidal) cover 10% of surface area and produce surfactant. Numerous macrophages line alveolar surface (phagocytose particles). Gas exchange occurs across blood-air barrier
EMPHYSEMA
Destruction of alveolar walls and permanent enlargement of air spaces which can result from smoking or alpha 1-antitrypsin deficiency. Alveolar walls normally hold bronchioles open, allowing air to leave the lungs on exhalation. When these walls are damaged, bronchioles collapse, making it difficult for the lungs to empty. Air becomes trapped in the alveoli.

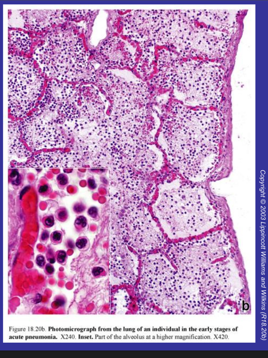
Pneumonia
Inflammation of the lung caused by bacteria. The lung consolidates as the alveoli fill with inflammatory cells. • Most common organism is Streptococcus pneumoniae. • Others are: Haemophilus influenzae Staphylococcus aureus Legionella pneumophila and Mycoplasma pneumoniae
