knee Flashcards

(207 cards)

1
Q

Meniscal Tears:
higher risk in?
medial tears vs lateral tears?
degen tears in older patients occur in?
oblique/parrot beak tears occur at? tx?
root tear is association?
radial tear?
most sensistive PE findings?

A
  • Higher risk in ACL deficient knee
  • Medial tears more common than lateral tears, except in ACL tear when lateral meniscus tears
  • degen tear: posterior horn medial meniscus
  • oblique tears: junction of posterior horn, bodyof meniscus, mechanical symtoms, repair impossible, tx with partial excision to stable rim
  • root tear: functionally a total meniscectomy, lateral root tears ACL, medial root tears chondral injuries
  • radial tear: complete radial tear disrupts the circumferential fibers of the meniscus, creating the functional equivalent of a total meniscectomy
  • complete disruption of the circumferential meniscal fibers and resultant hoop stresses
  • exam: jt line ttp most sensitive

lateral tears 4x more likely than median with an acute ACL injury
medial tears more common degen tear 2/2 its function as secondary restraint

How well did you know this?
1
Not at all
2
3
4
5
Perfectly
2
Q

An 18-year-old man sustains a twisting injury to the left knee while playing football. An MRI scan is shown in Figure 48. What is the most likely diagnosis?

A

lateral mensicus tear

MRI scan shows a displaced, bucket-handle lateral meniscus tear. The sagittal view shows the typical “large anterior horn” sign, or “double meniscus” sign in which the displaced bucket-handle fragment appears just anterior to the native anterior horn of the lateral meniscus. The presence of the fibula on the sagittal view confirms this as the lateral compartment. The image is lateral and the cruciate ligaments are not visualized. The articular cartilage shown does not demonstrate an osteochondral lesion.

How well did you know this?
1
Not at all
2
3
4
5
Perfectly
3
Q

partial meniscectomy:
indications?
outcomes?

A
  • tears not amenable to repair (complex, degenerative, radial tear patterns) repair failure >2 times
  • > 80% satisfactory function at minimum follow-up
  • 50% have Fairbanks radiographic changes. (osteophytes, flattening, joint space narrowing)
  • predictors of success age less than 40 yo normal alignment minimal or no arthritis single tear
How well did you know this?
1
Not at all
2
3
4
5
Perfectly
4
Q

best candidate for meniscal repair? outcomes?

A
  • peripheral (red-red)
  • lower rim width: better ability to heal. distance from tear to peripheral meniscocapsular junction (better blood supply)
  • vertical and longitudinal tears (rather than horizontal, radial, or degen)
  • 1-cm in length
  • root tear
  • acute repair combined w/ ACL recont

ouctomes: 70-95%, highest success when done w/ concomittant acl recon (90%), modest w/ intact acl 60, poor results untreated acl deficiency 30%

How well did you know this?
1
Not at all
2
3
4
5
Perfectly
5
Q

standard treatment for bucket handle tears

A

the standard for bucket-handle tears is an inside-out repair. Vertical mattress sutures
have been found to be the strongest suture configuration.

How well did you know this?
1
Not at all
2
3
4
5
Perfectly
6
Q

total meniscectomy:
? have significant arthritic lesions and ? have radiographic changes three years after surgery
? have arthrosis at 20 years
severity of degenerative changes is proportional to ? of the meniscus that was removed

A

20% have significant arthritic lesions and 70% have radiographic changes three years after surgery
100% have arthrosis at 20 years
severity of degenerative changes is proportional to % of the meniscus that was removed

How well did you know this?
1
Not at all
2
3
4
5
Perfectly
7
Q

Meniscal repair:
inside-out technique: approach?
all-inside:
outside in repair useful for?
strongest suture?
healing enhanced by?
risks?

A

inside-out technique: gold standard,
- medial approach to capsule, incise sartorius fascia retract pes/semimembranous posterior, plane b/t medial gastroc and capsule
- lateral approach: IT band/biceps tendon, retract lateral head of gastroc posteriorly

all-inside: most common, allows for tensioning device breakage/iatrogenic chondral injury

outside in repair useful for anterior horn tears
strongest suture? vertical mattress suture capture circumfrential fibers
healing enhanced by rasping
risks? saphenous n/v w. medial approach; peroneal nerve lateral approach

complications? Saphenous neuropathy (7%)
Arthrofibrosis (6%)
Sterile effusion (2%)
Peroneal neuropathy (1%)
Superficial infection (1%)
Deep infection (1%)

How well did you know this?
1
Not at all
2
3
4
5
Perfectly
8
Q

inside out lateral approach

A

splliting b/t IT band and biceps tendon then retract gastrocs posteriorly

posterior-lateral capsular exposure needed to protect the neurovascular structures and allow suturing for an inside-out lateral meniscal repair is performed by developing the interval between the iliotibial band and biceps tendon. The lateral gastrocnemius is then retracted posteriorly and medially where it helps protect the neurovascular structures. Splitting below the biceps tendon puts the peroneal nerve at risk.

How well did you know this?
1
Not at all
2
3
4
5
Perfectly
9
Q

meniscal transplant:
indications
most common cause of failure?

A

Isolated meniscal allograft transplantation has been shown to be most effective in patients with prior total meniscectomy, age less than 50 years, BMI 30 kg/m2, clinical symptoms of pain in the involved tibiofemoral compartment, 2 mm or more of tibiofemoral joint space on a 45-degree weight-bearing AP radiograph, ligamentous stability, neutral mechanical alignment, absence of articular cartilage loss, and no radiographic evidence of advanced arthritis. In the presence of lower extremity malalignment, a high tibial osteotomy (HTO) is often considered before or in conjunction with meniscal transplantation to correct the malalignment.

Graft failure that results from meniscal graft tears is thought to be related to the acellularity of graft tissue

How well did you know this?
1
Not at all
2
3
4
5
Perfectly
10
Q

mcmurrary test

A

McMurray’s test for medial meniscal pathology consists of: flexing the knee, applying a valgus force, placing a hand on the medial joint line of the knee, and finally bringing the knee from flexion to extension while rotating the tibia. A palpable pop or click, or more commonly the elicitation of pain during this maneuver is considered a positive test and can correlate with a meniscal tear.

How well did you know this?
1
Not at all
2
3
4
5
Perfectly
11
Q

discoid meniscus
* radiographic findings of discoid meniscus
* mri
* tx

A

most common cause of a symptomatic clicking or clunking in the knee in a young child.
* * discoid lateral meniscus. Radiographic findings can include lateral joint space widening, squaring of the lateral condyle, cupping of lateral tibial plateau and hypoplasia of the lateral tibial spine.
* Discoid menisci occur in 3-5% of the population. They are usually lateral and may be bilateral in 25-50%.
* Sagittal MRI images showing meniscal continuity in three 5mm sagittal images (“bow-tie sign”) is diagnostic.
* If there is pain, mechanical symptoms, meniscal tear or detachment, arthroscopic debridement and saucerization is indicated. The aim is to preserve a rim of normal meniscus.

How well did you know this?
1
Not at all
2
3
4
5
Perfectly
12
Q

PCL injury:
most common mechanism?
bundles?
blood supply?
grading injury?
exam: varus/valgus stress laxity at 0° indicates
most accurate manuever for testing?
tx:
untreated PCL deficiency most commonly results in?

Arthroscopic image of a knee shows the posterior cruciate ligament bundle origins. The anterolateral bundle (ALB) and the posteromedial bundle (PMB) are observed at their origin on the lateral side of the medial femoral condyle (MFC), or the medial intercondylar notch.

A
  • direct blow to the proximal aspect of the tibia, w/ flexed knee (dashboard).
  • The most common mechanism of PCL injury in athletes is a fall onto the flexed knee with the foot in plantarflexion, which places a posterior force on the tibia and leads to rupture of the PCL.
  • primary restraint to posterior tibial translation, greatest instability at 90 of flexion.
  • AL tight in flexion, strongest/most important for stability at 90 “PAL” PCL
  • PM tight in extension.
  • middle geniculate artery and fat pad
    grade 1: partial, 1-5 mm of posterior translation, tibia anterior to fem condyle
    grade 2: complete, 6-10 mm of posterior translation, anterior tibia flush with fem condyle
    grade 3: combine pcl+capsuloligamentous, >10 mm translation, often associated with ACL injury.
  • varus/valgus stress laxity at 0° indicates MCL/LCL and PCL injury. (30 deg is just mcl/lcl)
  • ** posterior drawer test (90 deg flexion) most accurrate**
  • tx: Grade I and II (isolated) nonop w/ quad rehab w/ focus on knee extensor strengthening, proctected wb. Grade III (isolated) extension bracing 4 weeks w/ limited ROM followed by qaud strengthening
  • surgery: pcl repair of bony avulsion or recon for PCL+ACL/PLC; PCL + MCL/LCL
  • Untreated PCL deficiency most commonly results in increased degenerative changes to the medial and patellofemoral compartments

posterior sag sign: patient lies supine with hips and knees flexed to 90°, examiner supports ankles and observes for a posterior shift of the tibia as compared to the uninvolved knee
the medial tibial plateau of a normal knee at rest is 10 mm anterior to the medial femoral condyle an absent or posteriorly-directed tibial step-off indicates a positive sign

How well did you know this?
1
Not at all
2
3
4
5
Perfectly
13
Q

dial test: what indicates plc and pcl

A

10° ER asymmetry at 30° & 90° consistent with PLC and PCL injury
10° ER asymmetry at 30° only consistent with isolated PLC injury

How well did you know this?
1
Not at all
2
3
4
5
Perfectly
14
Q

Posterolateral corner injuries:
missed dx is common cause of?
structures?
function?
where does biceps tendon attach?
exam:
tx?
complications?

A
  • only 28% of PLC are isloated, usually combined PLC>ACL
  • missed PLC injury diagnosis is common cause of ACL reconstruction failure
  • static: LCL, popliteus tendon, politeofibular ligament
    -lateral capsule thickening, arcuate ligament, biceps, politeus muscle, ITB, lateral GH
  • popliteus works synergistically with the PCL to control external tibial rotation, varus, and posterior tibial translatio
  • popliteus and popliteofibular ligament function maximally in knee flexion to resist external rotation
  • LCL is primary restraint to varus stress at 5° (55%) and 25° (69%) of knee flexion
  • varus alginment, gait, dial test more 10 ER assymettry at 30 deg only is isolated PLC, if 30 at 90 then PLC and PCL
  • biceps inserts on the posterior aspect of the fibula posterior to LCL
  • complications: peroneal nerve injury, arthrofibrosis, missed PLC injury
  • tx: nonop KI in full extension then rehab grade I, PLC repair vs hybrid recon and repair for acute avulsions and tears
How well did you know this?
1
Not at all
2
3
4
5
Perfectly
15
Q
A

avulsion fracture of the fibula (arcuate fracture ) or femoral condyle

How well did you know this?
1
Not at all
2
3
4
5
Perfectly
16
Q

ACL injuries: what predisposed female athletes

A

Different neuromuscular recruitment patterns (high quadriceps-to-hamstring activity ratio) and landing/cutting biomechanics (decreased hip and knee flexion, increased knee external rotation with subsequent dynamic knee valgus) contribute most to the increased incidence of anterior cruciate ligament (ACL) tears in female athletes.

How well did you know this?
1
Not at all
2
3
4
5
Perfectly
17
Q

ACL
AM bundle
AL bundle
2 ridges?
blood supply?
exam: lachmans vs pivot

A

AM tight in flexion, primary restraint to anterior tibia translation (drawer)
PL greater length changes, tightest in extension, rotational stability (pivot shift test)
lateral intercondylar ridge demarcates anterior edge of acl
bifurcate ridge seperates AM and PL bundle attachment
middle geniculate
lachmans: most sensitive (pcl false positive due to posterior subluxation)
- A firm endpoint, B no endpoint: I 3-5 mm translation, II A/B 5-10mm, II a/b >10 mm
- pivot shift: knee brought from extension (anteriorly subluxated) to flexion (reduced) with valgus and internal rotation of tibia reduces at 20-30° of flexion due to IT band tension. evaluates the posterolateral bundle of the ACL, which controls rotational stability
- pivot shift better measure of “functional instability” than instrumented knee laxity or Lachman examination following anterior cruciate ligament reconstruction.

How well did you know this?
1
Not at all
2
3
4
5
Perfectly
18
Q

what is this finding called? association?

A

Segund fx
bony aculsion of anterolateral ligament
pathognominic for acl tear
associated with acl tear 75-100 percent of the time.

How well did you know this?
1
Not at all
2
3
4
5
Perfectly
19
Q

where do you see bone bruising w/ ACL injuries?

A

middle 1/3 of LFC (sulcus terminalis) posterior 1/3 of the lateral tibial plateau subchondral changes on MRI can persist years after injury, may contribute to long-term chondral damage

How well did you know this?
1
Not at all
2
3
4
5
Perfectly
20
Q

why must you have full ROM (except meniscal tear causing block) for ACL recon?

A

lack of pre-operative motion risk factor for post-operative arthrofibrosis

How well did you know this?
1
Not at all
2
3
4
5
Perfectly
21
Q

ACL recon
femoral tunnel placement
tibial tunnel placement
Graft failure due to tunnel malposition

A

Femoral tunnel:
* need 1-2 mm rim of bone between the tunnel and posterior cortex of the femur
* drilling tunnel in over 70 degrees of flexion will prevent posterior wall blowout
* lateral wall 10/2 oclock

tibial tunnel:
sagittal plane: 10-11mm in front of the anterior border of PCL insertion, 6mm anterior to the median eminence, 9mm posterior to the inter-meniscal ligament
coronal plane: tunnel trajectory of less than 75 degrees from horizontal

Graft failure due to tunnel malposition 70 percent of failures

How well did you know this?
1
Not at all
2
3
4
5
Perfectly
22
Q

ACL tunnel malpositioning can cause graft failure:
On the femur, vertical tunnel placement causes ? and is best seen on what exam? Anterior tunnel placement leads to? and occurs from ?
Posterior misplacement?

tibial malposition:
too anterior placement? posterior placement?

A

Graft failure due to tunnel malposition: 70% of failures
vertical tunnel placement: 12oclock position in the notch as opposed to lateral wall 10/2 oclock, causes rotational instability, positive pivot shift
Anterior tunnel placement, tight in flexion loose in extension, failure to clear resident ridge

posterior tunnel (over the top) leads to lax in flexion and tight in extension

Tibial malposition:
too anterior, knee that is tight in flexion w/ roof impingement in extension
too posterior, acl will impingement w/ PCL

How well did you know this?
1
Not at all
2
3
4
5
Perfectly
23
Q

LCL:
origin, insertion, blood supply
biomechanics
how to test for isolated LCL injury?

A
  • origin: posterior(3.1 mm) and proximal 1.4mm to lateral epicondyle, posterior and proximal to origin of popliteus
  • insertion: anterolateral head of fibula, most anterior on fibula. LCL → popliteofibular ligament → biceps femoris
  • anterior tibial recurrent arteries and inferolateral geniculate arteries
  • primary restraint to varus stress at 5° and 30° of knee flexion, provides 55/69% of restraint at 5/30°
  • located behind axis of knee rotation: tight in extension and lax in flexion
  • varus instability at 30° flexion only - isolated LCL injury
  • varus instability at 0° and 30° flexion - combined LCL +/- ACL/PCL injuries
How well did you know this?
1
Not at all
2
3
4
5
Perfectly
24
Q

LCL injury classification:
treatment?
prognosis?

A

Grade 1: 0-5 mm lateral joint opening, MRI Subcutaneous fluid surrounding the midsubstance of the ligament at one or both insertions
Grade 2: 6-10 mm lateral joint opening, MRI Partial tearing of ligament fibers at either the midsubstance or one of the insertions
Grade 3: > 10 mm lateral joint opening without a firm endpoint, MRI Complete tearing of ligament fibers at either the midsubstance or one of the insertions

TX: non-op grades I-II if isolated, ROS at 6-8 weeks
- isolated repair if acute gradeIII lcl w/ avulsion from fibula
- isolated recon if subacute/chronic more than 2 weeks grade 2, best results w/ semitendinosis autograft

complications: **persistent varus or hyperextension laxity (non opped grade III injuries missed/concomintant PCL or PLC injury. **
peroneal nerve injury upp to 44% of multi ligs involving the lcl/pcl

Prognosis: LCL healing unrealible depends on degree of injury, does not heal as well as MCL

How well did you know this?
1
Not at all
2
3
4
5
Perfectly
25
open vs closed chain exercises
Open chain exercises are those in which the distal limb segment is not fixed. In closed chain exercises, the foot remains fixed to the ground or a base plate. Co-contraction of hamstring and quadriceps is easier to achieve in closed chain exercise, resulting in a more balanced application of force across the knee.
26
Lateral Patellar compression syndrome mechanism? what is the miserable triad? exam/clinicl symptons tx?
* tight retinaculum, leas to excessive lateral tilt * associated with Miserable triad: - anatomic characteristics that lead to an increased Q angle and an exacerbation of patellofemoral dysplasia. - femoral anteversion, genu valgum, external tibial torsion/pronated feet * pain w. stair climbing, pain w/ sitting for long periods * pain w. compression of patella and moderate facet ttp * Tx: nsaids, PT w/ vastus medialis strengthening and closed chain short arc quadriceps exercises * arthroscopic lateral release * patelar realignment surgery
27
Idiopathic Chondromalacia Patellae what is it? how does it present? tx? rehab? surgery?
* idiopathic articular changes of the patella leading to anterior knee pain. * anterior knee pain made worse with squatting, prolonged sitting or ascending stairs and pain on patellar compression in knee extension. * Treatment is generally nonoperative with resting, ice, activity modifications and physical therapy to focus on hamstring, quadriceps and core strengthening. * rehabilitation with emphasis on vastus medialis obiquus strengthening core strengthening closed chain short arc quadriceps exercises strengthening of hip external rotators * arthroscopic debridement: outerbridge 2-3 chondromalaxia of PF jt * lateral retinacular rlease if tight lateral ret capsule, loose medial capsule and lateral patellar tilt * patellar realignment surgery: severe symptoms that have failed to improve with extensive physical therapy
28
Pain receptors of the knee
* subchondral bone has weak potential to generate pain signals * **anterior fat pad** and **joint capsule** have** highest potential for pain signals**
29
Outerbridge MRI Classification of Chondromalacia
Grade 0 Normal Cartilage Grade I Surface intact and heterogenous; high signal intensity, arthroscopically: softening or swelling of cartilage Grade II Fissures and fragmentation extending down to the articular surface arthroscopically: fragmentation and fissuring within soft areas of articular cartilage Grade III Partial thickness defect, with focal ulceration, arthroscopically: partial thickness cartilage loss with fibrillation (crab-meat appearance) Grade IV Exposed subchondral bone: arthroscopically: cartilage destruction with exposed subchondral bone
30
patellar tendon rupture Risk factors, systemic vs local? mechanism? most ruptures occur w/ knee in what position? exam? tx:
* *quadriceps tendon rupture is more common* than patella tendon rupture (2:1 ratio) * bilateral ruptures associated w. DM, SLE, RA, and CKD * Patellar degeneration most common RF * tensile overload of exensor mechanism**, sudden quadriceps contraction with knee in a flexed position** (e.g., jumping sports, missing step on stairs * most ruptures occur with knee in flexed position greatest forces on tendon when knee flexion > 60 degrees * 3 patterns of injury: *** avulsion with or without bone from the proximal insertion/inferior pole of patella (most common); strain at tendon-bone interface is 3-4x strain at midsubstance**; midsubstance, distal avulsion from tibial turbercle * unable to perform active SLR or maintain passively extended knee * tx: primary repair, **KI locked in extension 6 weeks, WBAT immediately, early motion protcol 7-10 days passive extension and active flexion** * tendon reconstruction: chronic tears, severely degenerative tears, allograft or autograft ## Footnote radiograph shows patella alta consistent with a rupture of the patellar tendon. The MRI scan confirms disruption of the patellar tendon from the inferior pole of the patella. ratio of patellar tendon force to quads tendon force >1 at <45° and <1 at >45° at smaller flexion angle, patellofemoral contact point is at distal pole of patella, giving quads tendon a mechanical advantage
31
imaging for patellar tendon rupture: Insall salvation ratio > Blackburn-peel ration > caton-dechamps ration > ## Footnote "BIC 1,2,3"
Blackburne-Peel ratio > 1.0 Insall-Salvati ratio is > 1.2 Caton Deschamps ratio > 1.3 ## Footnote Insall-Salvati ratio is > 1.2, normal between 0.8 and 1.2 Blackburne-Peel ratio > 1.0 normal between 0.5 and 1.0 Caton Deschamps ratio > 1.3 normal between 0.6 and 1.3
32
patellar tendon rupture repair options and outcomes, most common complication, most important prognostic factor
*Suture anchor tendon repair*: atleast 2 achors, **higher ultimate load to failure and less gap formation compared to transosseus fixation.** Transosseus repair: not as good, see image outcomes biomechanical studies have shown **less gap formation with suture anchor repair** compared to transosseous repair; clinical studies have shown** a significant decrease in re-rupture rate with use of suture anchor compared to transosseous repair.** complication: #1 **knee stiffness** MUA if flexion less than 120 at 6-12 weeks post op Lyssis of adhesion if less than 120 after 12 weeks post op #2 Quadatrophy: does not compromise return of strength most important prognostic factor for complete tears is ** timing of repair**
33
Patellar instability RF? anatomic factors? MPFL femoral origin-insertion? primary restraint in first? stability in deep flexion? exam: MPFL tenderness, +/- hemarthrosis, increased passive patellar translation can be measured how? what is the J sign? ## Footnote Clinical photograph with the knee in flexion (A) and in extension (B). The dotted line delineates the inverted “J” path taken by the patella
RF: ligamentous laxity, previous instability event, miserable malalignment " fem anterversion, genu valgum, ext tibial torsion, led to increased Q angle anatomic: patella alta (patella doesn't articulate w/ sulcus), trochlear dysplasia, excssive lateral patellar tilt, lateral femoral condyle hypoplasia muscle: dysplastic VMO, overpull of IT band and vastus lateralis **MPFL b/t medial epicondyle and duuctor tubercle, primary restraint in 1st 20-30 degrees of flexion** trochlear groove, patella height, and patellar tracking give stability in deep flexion. dynamic stability provided by **vastus medialis** patellar translation: normal less than 2, neutral is 0. lateral transtion of medial morder of patella to lateral edge of trochlear groove is consider 2 quadrants and is abnormal J sign: excessive lateral translation in extension which "pops" into groove as the patella engages the trochlea early in flexion associated with patella alta ## Footnote Schottle's point which can be reliably found radiographically just anterior to the posterior femoral cortex, and proximal to Blumensaat's line on a lateral radiograph. 1 mm anterior to a line extending from the posterior femoral cortex, 2.5 mm distal to the posterior origin of the femoral condyle, and proximal to Blumensaat's line, which is the anatomic femoral insertion of the medial patellofemoral ligament (MPFL).
34
trochlear dysplasia on lateral view: what 3 signs to look for?
**crossing sign trochlear groove** lies in same plane as anterior border of lateral condyle represents flattened trochlear groove **double contour sign anterior border** of lateral condyle lies anterior to anterior border of medial condyle representsconvex trochlear groove/hypoplastic medial condyle **supratrochlear spur** arises in proximal aspect of trochlea
35
TT-TG what does it measure and whats abnormal
measures the distance between 2 perpendicular lines from the posterior cortex to the tibial tubercle and the trochlear groove >20mm usually considered abnormal
36
treatment for patellar instability? 1st time w/o loose bodies or articular damage
1st time w/o loose bodies or articular damage: NSAIDS, activity modification, and physical therapy emphasis on strengthening closed chain short arc quadriceps exercises Quad strengthening core and hip strengthening to improve limb positioning and balance (hip abductors, gluteals, and abdominals) patellar stabilizing sleeve or "J" brace consider knee aspiration for tense effusion positive fat globules indicates fracture
37
Operative tx for patellar instability? arthroscopic debridement? MPFL repair? MPFL recon? Fulkerson? Distalization? when is a lateral release ok?
* Arthroscopic debridement (removal of loose body) vs Repair with or without stabilization * MPFL repair indications acute first time dislocation with bony fragment, direct repair performed in a few days * MPFL reconstruction with autograft vs allograft for recurrent instability * Fulkerson-type osteotomy (anterior and medial tibial tubercle transfer) TTTG>20 with MPFL recon * tibial tubrcle distalization for patellar alta *** lateral release/lengthening:** isolated release no longer indicated for instability, lateral lengthening has shown better outcomes, less quadriceps atrophy, and lower incidence of medial patellar instability. only indicated if there is excessive lateral tilt or tightness after medialization ## Footnote gracilis or semitendinosus commonly used (stronger than native MPFL) femoral origin can be reliably found radiographically (Schottle point) a femoral tunnel positoined too proximally results in graft that is too tight ("high and tight")
38
patellar instability MPFL reconstruction outcomes:
* severe trochlear dysplasia is the most important predictor of residual patellofemoral instability after isolated MPFL reconstruction * rate of recurrent instability does not differ with regard to graft choice (allograft vs. autograft vs. synthetic graft)
39
patellar instability complications: recurrent dislocation rates w/ non op?
* redislocation rates with nonoperative treatment may be high **(15-50%) at 2-5 years **recurrence rate is highest in those patients who sustain a primary dislocation under the** age of 20** * Medial patellar dislocation and medial patellofemoral arthritis almost exclusively iatrogenic as a result of prior patellar stabilization surgery
40
Microfracture * generates a much higher concentration of * function * best used for * limitations?
* relies on formation of type 1 and 2 cartilage * type I fibrocartilage than type II hyaline cartilage. * penetrate the subchondral plate and recruit mesenchymal cells to form fibrocartilage. * smaller lesions less than 2 cm2, where the subchondral bone is penetrated by a sharp awl which helps to release marrow elements in order to stimulate new cartilage formation * best results for acute, contained cartilage lesions less than 2 cm x 2cm * poor results for larger defects >2 cm x 2cm, does not address bone defects, requires limitation of WB 6-8 weeks ## Footnote protected weight bearing and continuous passive motion (CPM) are used while mesenchymal stem cells mature into mainly fibrocartilage
41
Osteochondritis dissecans (OCD) more commonly involves in what knee location in catchers and adolescents? How are they managed in skeletally immature?
* **posterior femoral condyle** in catchers compared to position players, likely due to the repetitive and persistent loading of the knees in a hyper-flexed position. "catchers knee" * Overall, OCD lesions of the knee most commonly involve the** posterolateral aspect of the medial femoral condyle** * Stable lesions in skeletally immature patients should initially be managed non-operatively * Unstable juvenile lesions (fluid or cyst underneath lesion), as well as, stable lesions that fail to heal with non-operative treatment require surgical treatment.
42
# osteochondral allografts OCA is helpful for what kind of lesions
* OCA is helpful in cases where cartilage lesions are **large (>4cm^2), uncontained**, or when there is **significant involvement of the underlying subchondral bone** * Involvement of the patellofemoral joint (PFJ) places this patient at increased risk of failure after an osteochondral allograft transfer * Patella instability and mechanical alignment should be addressed before or at the time of the cartilage procedure to improve the overall outcome. * fresh, refrigerated grafts are used which retain chondrocyte viability * The chondrocytes in the graft remain viable, the transferred cartilage heals, and biopsy reveals articular cartilage composed primarily of type II collagen.
43
only FDA approved cell therapy for cartilage in the USA and when successful, results in a healed lesion consisting of both Type I and Type II collagen, with type II collagen predominating
Matrix-associated autologous chondrocyte implantation (MACI) ## Footnote Type I collagen is the most common collagen in the body and is found in bones, ligaments, tendons etc, whereas, type II collagen is found in articular (hyaline) cartilage. MACI is a two-stage procedure which uses autologous chondrocytes cultured on a porcine collagen membrane for the treatment of large chondral lesions in the knee. This is the third generation of chondrocyte implantation technology and is the first to utilize a scaffolding to grow chondrocytes. During the second stage of the procedure, the matrix can be secured with fibrin glue or sutures. Upon healing of the lesion, both type I and type II collagen can be identified
44
# OATS Osteochondral allograft transplantation is performed with the goal of replacing cartilage defect with
* live chondrocytes in mature matrix along with underlying bone * theoretical advantage of autologous chondrocyte implantation is the development of hyaline-like cartilage rather than fibrocartilage in the defect, which presumably leads to better long-term outcomes and longevity of the healing tissue. ## Footnote intact, viable articular cartilage and its underlying subchondral bone offers the ability to address large osteochondral defects of the knee,
45
chronic ACL tear, most common location of osteochondral lesion
anterior aspect of lateral femoral chondyle and posterolateral tibial plateau
46
osteochondritis dissecans 70% of lesions found where
70% of lesions found in **posterolateral aspect of medial femoral condyle**
47
impaction forces greater than ? will disrupt normal cartilage
impaction forces greater than ** 24 MPa** will disrupt normal cartilage
48
MRI is most sensitve for evaluating focal osteochondral lesions, what sequences offer improved sensitivity and specifity over standard sequences?
most sensitive for evaluating focal defects - Fat-suppressed T2 - proton density - T2 fast spin-echo (FSE) offer improved sensitivity and specificity over standard sequences
49
Fixation of unstable ocd fragements: what do you need? best results for? limitations?
* need osteochondral fragment with adequate subchondral bone * best results for unstable osteochondritis dissecans (OCD) fragments in patients with open physis * nonabsorbable fixation (headless screws) should be removed at 3-6 months * lower healing rates in skeletally mature patients
50
MACI overview
* cells are cultured and embedded in a matrix or scaffold results in Type I and Type II collagen * matrix secured with fibrin glue/sutures * results in type I and II collagen * only FDA approved stem cell therapy for cartilage * 2stage, expesive
51
ACI overview: technique: benefits: limitatins ## Footnote ACI for patellar chondral defect
* cell therapy with goal of forming autologous "hyaline-like" cartilage *technique: arthroscopic harvest of cartilage from a lesser weight bearing area in the lab, chondrocytes are released from matrix and are expanded in culture defect is prepared, and chondrocytes are then injected under a periosteal patch sewn over the defect during a second surgery benefits may provide better histologic tissue than marrow stimulation long term results comparable to microfracture in most series include regeneration of autologous tissue, can address larger defects * benefits may provide better histologic tissue than marrow stimulation long term results comparable to microfracture in most series include regeneration of autologous tissue, can address larger defects * limitations must have full-thickness cartilage margins around the defect open surgery 2-stage procedure prolonged protection necessary to allow for maturation
52
Spontaneous osteonecrosis of the knee (SONK) is an idiopathic condition that leads to the development of ? location? pathophysiology?
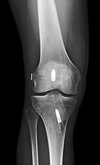
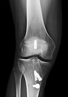
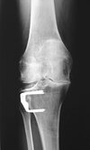
* crescent shaped osteonecrosis lesion, mostly commonly in the **epiphysis of the medial femoral condyle** * *99% only 1 jt involved* * may represent subchonral insuffieiency fx, meniscal root tear, post arthroscopy meniscectomy * acute onset of kneee pain, effusion * tx;Treatment is generally nonoperative as most cases are self-limiting. Surgical management is indicated for progressive cases that fail conservative management.  * UKA for SONK has demonstrated reliable long-term functional outcomes and is the treatment of choice for severe localized disease. ## Footnote Progression of osteoarthritis is the most common reason for revision arthroplasty in patients with spontaneous osteonecrosis of the knee (SONK) treated with unicompartmental knee arthroplasty (UKA).
53
# Osgood-Schlatter * **traction apophysitis of the tibial tubercle** RF? pathophysiology? tibial tubercle is a secondary ossification center, what are the ages of ossification? tx and outcomes? who gets an ossicle excision?
* Bilateral in 20-30% * Jumpers (basketball volley ball * stress from extensor mechanism * cartilage less than 11, **11-14 aphosysis forms**, 14-18 apophysis fusions with tibial epiphysis, 18+ fused * **NSAIDS, rest, ice, activity modification, strapping/sleeves to decrease tension on the apophysitis and quadriceps stretching** * 90% have complete resolution * cast for 6 weeks for severe * ossicle excision for refractory cases (10% of patients) in skelatally mature patiens w/ persisent symptoms ## Footnote prognosis: Self-limiting but does not resolve until growth has halted
54
Sinding-Larsen-Johansson syndrome
* chronic apophysitis or minor avulsion injury of inferior patella pole * occurs in 10-14yr old children, especially children with cerebral palsy
55
AIIS avulsion how does it occur? what attaches there? tx?
* apophyseal avulsion injury seen in adolescent athletes * eccentric contraction of the rectus femoris (femoral n.) during kicking, males 14-17 * direct head of the rectus femoris * as hip extends and knee is flexed as hip extends and knee is flexed * tx: non op, keep hip flexion for 2 weeks lesses stretch of affected rectus and apophysis, guarded WB for 4 weeks
56
adolescent pelvic apophyseal fractures
**ischial tuberosity** 50% AIIS (25%), ASIS (20%), superior corner of pubic symphysis (4%) the iliac crest (1%).
57
ASIS avulsion caused by? occurs during? what muscles attach here, what is the innervation?
* caused by **sudden and forceful contraction of sartorius and tensor fascia lata** * occurs during** hip extension (sprinting or swinging a baseball bat)** * tx: rest, protected weight bearing with crutches, and early ROM and stretching * ORIF if displaced > 3 cm ## Footnote sartorius (femoral n.) tensor fascia lata (superior gluteal n.)
58
meniscal anatomy
59
best describes bone?
Homeostatic, with elements of osteoid awaiting calcium deposition and resorptive activity from macrophage-like cells
60
screw-home mechanism which stabilizes the joint is partly a result of: how does the FCL contribute
**Screw-home mechanism** the** larger and more distal medial femoral condyle glides across the medial tibial plateau**, resulting in relative external rotation of the tibia with regard to the femur or internal rotation of the femur by approximately 15° during the last 20° of open-chain (non–weight-bearing) extension. During closed-chain extension, such as during the gait cycle, the femur internally rotates on the planted tibia. The net effect is posteriorly directed translational and rotatory stress restrained by the PCL ## Footnote FCL: Holds the lateral knee tight during gait relative to the MCL, contributing to the screw-home mechanism of internal femoral rotation. FCL is taut with the knee in extension and relaxes with the knee in approximately 30° of flexion. This tightness of the FCL with the knee in extension contributes to the greater excursion distance of the larger medial femoral condyle during gait extension, resulting in external rotation of the tibia or internal rotation of the femur observed with the screw-home mechanism
61
sulcus angle, normal vs abnormal why is it important
* A sulcus angle of 138° is normal, whereas a sulcus angle greater than 145° indicates a shallow groove and trochlear dysplasia. * large trochlear sulcus angle is an important predictor of patellar instability. * One of the most important considerations in whether to perform trochleoplasty or MPFL reconstruction or both
62
Meniscus is composed of ? what maintains its integrity? The anterior horn of the lateral meniscus (AHLM) overlaps with ? The posterior horn of the medial meniscus anchored? force transmission?
* water, proteoglycans, and type I collagen * Radial collagen fibers help maintain meniscal integrity; circumferential fibers translate joint pressure into circumferential hoop stress * The anterior horn of the lateral meniscus (AHLM) overlaps with the tibial footprint of ACL. * The posterior horn of the medial meniscus is anchored posteriorly distal to tibial plateau, augmented by shiny white fibers adjaent to pcl foot print * medial compartment transmits 50% of joint force, and the lateral compartment transmits 70% of joint force. ## Footnote Perfusion of menisci decreases from the outer red-red zone; to the middle red-white zone; to the avascular, diffusion-dependent inner white-white zone. Inner zone tears are associated with impaired healing. The shiny white fibers of the posterior horn of the medial meniscus are just anteromedial to the ALB,122 and a shallow bony groove called the medial groove runs along the medial border of the PMB.
63
The ACL has two bundles, the anteromedial and posterolateral. Which describes their relationship?
The PLB and AMB are parallel in extension
64
The PCL biomechanics: primary restraint? PMB is taught in? ALB taught in? Primary restraint against? seoncdary restraint against?
The PCL is the primary restraint against posterior tibial translation of the knee. PMB taut in extension ALB taut in flexion primary restraint against internal rotation and a secondary stabilizer against external rotation from 90° to full extension
65
bony fabella location?
* Lateral gastrocnemius tendon (LGT) first attaches to bony or cartilaginous fabella. * sesamoid bone that is variably present in the LGT, may or may not be ossified * 10% to 30% of the population, with bilateral incidence estimated to be as high as 80%
66
The posterior oblique ligament:
* POL arises from the distal aspect of the semimembranosus tendon and inserts on the femur approximately 1.4 mm distal and 6.4 mm posterior to the medial gastrocnemius tubercle (rather than to the adductor tubercle, which was commonly thought, from which the POL insertion is 7.7 mm distal and 6.4 mm posterior) * central arm, has connections to the medial meniscus and the meniscofemoral and meniscotibial portions of the deep MCL (reinforcing the posteromedial joint capsule) and the superficial MCL. * The central arm acts as the primary attachment to the femur and is an important restraint to internal rotation of the tibia with the knee in extension.
67
The Iliotibial band relationship to patella
Has an anterior extension to the lateral aspect of the patella ## Footnote Functions in the knee as a static restraint against internal tibia rotation, ATT during flexion Changes from extensor to flexor at 30° of flexion Deep aspect of the ITB attaches to the distal femur via two fibrous bundles known as the proximal and distal Kaplan fibers Distal attachments Superficial ITB attaches to the Gerdy tubercle Deeper capsulo-osseous layer connects the distal femur with the proximal tibia (from the femur just proximal to the LGT to the tibia, posteromedial to the Gerdy tubercle) Iliopatellar band inserts on the lateral patella and the patellar tendon
68
The FCL distal insertion can be found most easily:
By entering the biceps femoris bursa. biceps femoris bursa is an important landmark used to reliably locate the distal attachment point of the FCL. The remnant FCL within the bursa is identified distal to the fibular styloid in patients with an FCL tear and in patients undergoing PLC reconstruction. The proximal FCL usually can be identified via a longitudinal incision in the ITB
69
The ACL is intraarticular but ?
The ACL is intraarticular but **extrasynovial.**
70
Large knee effusion post op after ACL recontruction? ## Footnote A 22-year-old man reports anterior knee pain, swelling, and is unable to perform a straight leg raise after undergoing endoscopic anterior cruciate ligament (ACL) reconstruction with a bone-patellar tendon-bone autograft 1 week ago. He is afebrile. Examination reveals a clean incision, moderate effusion, a weak isometric quadriceps contraction, active knee range of motion of 5 degrees to 45 degrees, and the patella is ballottable. Knee radiographs show postoperative changes with good femoral and tibial tunnel placements, and normal patellar height. What is the next most appropriate step in management?
get knee aspirate **usually post op hemarthrosis, arthrocentesis** ## Footnote Knee pain and swelling in the first week after ACL reconstruction is usually related to a postoperative hemarthrosis. A large hemarthrosis creates capsular distension, which inhibits active quadriceps contraction by a neurologic reflex, the H. reflex. Kennedy and associates reported that an experimentally induced knee effusion at 60 mL was found to result in profound inhibition of reflexly evoked quadriceps contraction. Removal of the hemarthrosis by aspiration will improve strength and often instantaneously restore the ability to contract the quadriceps muscle. A large effusion will also limit knee flexion. EMG and NCVS are not necessary unless there is a high index of suspicion of a femoral neuropathy. Diagnostic ultrasonography is not necessary in this patient but can be useful in the assessment of patellar tendon integrity. MRI is not indicated and would most likely be limited by artifact and postoperative changes. Continuous passive motion is not indicated and would most likely worsen the patient's symptoms.
71
ACL + meniscus tear, which side most common in acute and chronic? ## Footnote A 20-year-old basketball player sustains a knee injury during a game and is seen in the orthopaedic clinic 3 days after injury. Examination reveals a positive Lachman, pivot shift, joint line tenderness, and moderate effusion. Which of the following tissue injuries is most likely causing the jointline tenderness?
The physical examination findings are consistent with an acute anterior cruciate ligament tear. In the acute setting, a lateral meniscus tear is a more common secondary injury than a medial meniscus tear. In one study of acute anterior cruciate ligament tears in alpine skiers, the incidence of lateral meniscus tears was over four times that of medial meniscus tears. Medial meniscus tears are more common in the chronic setting, most likely secondary to its role as a secondary restraint.
72
highest risk of a future anterior cruciate ligament (ACL) tear?
* Women with a knee valgus moment during landing * increased dynamic valgus and high abduction loads, were at increased risk of ACL injury ## Footnote Hewett and associates reported in a study of 205 female athletes that female athletes, with increased dynamic valgus and high abduction loads, were at increased risk of ACL injury. The same investigators in an earlier study of 81 high school basketball players reported that female athletes landed with greater total valgus knee motion and a greater maximum valgus knee angle than male athletes. Female athletes were also found to have significant differences between their dominant and nondominant side in maximum valgus knee angle. Lephart and associates reported that in single-leg landing and forward hop tasks that female athletes had significantly less knee flexion and lower leg internal rotation maximum angular displacement, and less knee flexion time to maximum angular displacement than males. Females with an adduction moment during landing should have a lower incidence of ACL tears. Males in general have a lower incidence of ACL tears.
73
A patient competing in a professional motocross race sustained a direct blow to the knee after falling off his bike at high speed. He sustained several lacerations as shown in Figure 60. He is able to actively extend his knee painlessly and his Lachman examination is negative. What is the most likely injury and mechanism?
It is important to recognize the injury pattern sustained by this motocross rider by inspection of his traumatic scars present anteriorly over the proximal tibia and the dorsum of the ankle and dorsum of the forefoot, indicating that his foot was in a plantar flexed position with a concomitant blow to the anterior tibia. This is a classic mechanism for a posterior cruciate ligament injury, and external clues (the scars) should not be overlooked when examining the knee. Occasionally, a posterior cruciate ligament injury is overlooked; however, putting together the patient's history, the examination (especially the posterior drawer and quadriceps active tests) provide a reliable diagnosis. Additional pathology should also be ruled out, such as a posterolateral corner injury and intra-articular pathology. Patella fracture, tibial tubercle avulsion, and patella tendon tears are unlikely because the patient can actively extend the knee. An anterior cruciate ligament tear is unlikely with a negative Lachman examination.
74
Kinematic testing of patellofemoral motion demonstrates that malalignment that produces increased Q angle causes a shift of the patella laterally in the trochlear groove and is most pronounced during what phase of the flexion arc?
**40-90** Dynamic patellofemoral joint contact measurements on cadaveric knees with simulated increased Q angle demonstrated that forces shifted to the lateral facet. The** lateral shift in the patella was most pronounced from 40 to 90 degrees of flexion.** At lower degrees of flexion, the lateral shift was significantly less. At higher degrees of flexion, the continued shift of the patella was not as pronounced.
75
what is the pathologic motion of a pivot shift exam?
With an ACL-deficient knee in full extension and internal rotation, the lateral tibial plateau subluxates anteriorly. When a valgus load is applied to the knee, the lateral plateau impinges on the lateral femoral condyle. As the knee is flexed, the lateral tibial plateau slides posteriorly into a reduced position, causing an audible clunk. Response 4 correctly describes the pathomechanics that result in the audible clunk heard during the pivot shift maneuver.
76
A 20-year-old basketball player reports a 6-month history of right groin pain that radiates into his testicles with activities of daily living. He denies any history of trauma. Examination reveals tenderness about the groin, and he has full hip range of motion. The abdomen is soft. Radiographs are normal. Nonsurgical management has consisted of rest and physical therapy, but he continues to have pain. What is the next step in management?
**Hernia repair** traditional or classic hernias can be readily detected on physical examination. Diagnostic imaging studies are not helpful and only serve to help exclude other diagnose ## Footnote Sports hernias may be one of the most common causes of groin pain in athletes. Resisted hip adduction is painful in the case of groin disruption. Radiation of pain into the testicles and/or adductor region is often present. Sports hernias are associated with weakening of the posterior inguinal wall. In contrast with sports hernias, traditional or classic hernias can be readily detected on physical examination. Diagnostic imaging studies are not helpful and only serve to help exclude other diagnoses. Systemic high-dose steroids or sacroiliac joint injections have no role in treatment. High success rates have been reported for laparoscopic hernia repair in athletes.
77
Discoid Meniscus, Radiographic findings that support your diagnosis would include
**radiographs with widening of the lateral joint space up to 11 mm and transverse meniscal diameter >15 mm between free margin and periphery of the meniscal body on coronal views.** ## Footnote Discoid meniscus is a variant found in roughly 3% to 5% of the population. Presentation usually occurs before the age of 10 and is associated with snapping of the knee with palpable fullness to the lateral aspect of the knee. Most occur unilaterally, however bilaterally has been reported to occur roughly 15% to 25%, typically not associated with ligamentous instability. Radiographic findings of discoid meniscus can be seen on both plain radiographs as well as MRI.** Plain radiographs will often show squaring of the lateral femoral condyle with widening up to 11 mm of the lateral joint space.** MRI criteria is based on** transverse meniscal diameter >15 mm between free margin and periphery of the meniscal body on coronal views** and **continuity of between the anterior and posterior horns of the meniscus on at least three sagittal cuts.**
78
phenomenon of tumors misdiagnosed as athletic injuries has been termed "sports tumors." Exam question: posterior knee pain. Examination reveals soft-tissue fullness and tenderness just above the popliteal fossa, trace knee effusion, full range of knee motion, no instability, and negative meniscal signs. Chronic symptoms. Radiographs normal, whats the most appropriate next step in management?
**MRI** Persistent symptoms warrant further diagnostic studies, not additional treatment such as physical therapy, corticosteroid injection, or an unloader brace ## Footnote The phenomenon of tumors misdiagnosed as athletic injuries has been termed "sports tumors." Lewis and Reilly presented a series of 36 patients who initially were thought to have a sports-related injury but ultimately were diagnosed with a primary bone tumor, soft-tissue tumor, or tumor-like condition. Muscolo and associates presented a series of 25 tumors that had been previously treated with an intra-articular procedure as a result of a misdiagnosis of an athletic injury. Initial diagnoses included 21 meniscal lesions, one traumatic synovial cyst, one patellofemoral subluxation, one anterior cruciate ligament tear, and one case of nonspecific synovitis. The final diagnoses were a malignant tumor in 14 patients and a benign tumor in 11 patients. The authors noted that oncologic surgical treatment was affected in 15 of the 25 patients. The most frequent causes of erroneous diagnosis were initial poor quality radiographs and an unquestioned original diagnosis despite persistent symptoms. Persistent symptoms warrant further diagnostic studies, not additional treatment such as physical therapy, corticosteroid injection, or an unloader brace. Although a bone scan may be helpful in this case and confirm arthrosis of the medial compartment, the suspicion of a soft-tissue mass makes MRI the imaging modality of choice.
79
Which of the following findings helps to distinguish between stress fractures of the tibia and shin splints?
**With shin splints, a bone scan shows the posterior tibial cortex in a diffuse, longitudinal orientation.** A bone scan showing the tibial cortex in a diffuse, longitudinal orientation is consistent with shin splints compared to a more discreet, localized uptake more commonly seen with a stress fracture. ## Footnote Anterior tibial pain can often be difficult to diagnose. Bone stress injuries are due to cyclical overuse of the bone. They are relatively common in athletes and military recruits but are also seem in otherwise healthy people who have recently started new or intensive physical activity. Diagnosis of bone stress injuries is based on the patient's history of increased physical activity and on imaging findings. The general symptom of a bone stress injury is stress-related pain. Bone stress injuries are difficult to diagnose based only on a clinical examination because the clinical symptoms may vary depending on the phase of the pathophysiological spectrum in the bone stress injury. Imaging studies are needed to ensure an early and exact diagnosis. If the diagnosis is made early, most bone stress injuries heal well without complications.
80
A 40-year-old man who is a manual laborer has had 3 years of worsening medial-sided left knee pain that has inhibited his ability to work. He reports undergoing a left subtotal medial menisectomy 10 years ago. He has been treated with nonsteroidal anti-inflammatory drugs and 2 different corticosteroids, with the most recent injection given 1 month ago. Each injection provided him with a few weeks of pain control. His medical history is unremarkable and he has smoked 20 cigarettes per day for the last 15 years. His body mass index (BMI) is 22. On examination, he has varus alignment of the involved leg and medial joint line tenderness and no lateral or patellofemoral pain. His knee range of motion is 3° shy of full extension to 130° of flexion. He has negative Lachman and posterior drawer test results. He demonstrates no lateral thrust with ambulation. What imaging study is most appropriate to determine treatment options for this patient? Based on his exam, what should be the next step in management after imaging?
This patient has a classic presentation of postmeniscectomy medial compartment arthritis. The appropriate diagnostic study is weight-bearing radiographs to confirm the diagnosis. An MRI scan will reveal medial compartment arthritis but will not provide information about alignment. A CT scan would be appropriate to detect an occult fracture; however, this condition is not suspected in this clinical scenario. Ultrasonography can provide information about fluid collection around the knee or a deep vein thrombosis; however, these conditions also are not suspected in this clinical scenario. Because the patient has a correctable deformity (gaps 3 mm with valgus stress), and his symptoms are localized to the involved compartment, a trial of a medial unloader brace is appropriate both diagnostically and therapeutically. If unloading the medial compartment resolves the patient's symptoms, he would be an excellent candidate for an osteotomy. An MRI scan may be obtained to evaluate ligamentous integrity or to evaluate degenerative involvement of the lateral and patellofemoral compartment for presurgical planning of an osteotomy; however, the integrity of the medial meniscus has no clinical importance in a patient with severe medial compartment arthritis. A repeat corticosteroid injection is not indicated within 1 month of his last injection, and referral to pain management is not appropriate with other options available to help this patient. A VPHTO is the appropriate intervention considering the patient's young age, high-functional occupation, examination, radiographic findings, and response to medial unloader bracing. A revision knee arthroscopy would be appropriate for a recurrent medial meniscus tear, but not appropriate in a patient with severe medial compartment arthritis. The patient's young age and high functional requirements are contraindications to TKA. The presence of severe arthritis is a contraindication to medial meniscus transplant. The patient is a candidate for a VPHTO. The technical options include a medial opening-wedge or a lateral closing-wedge osteotomy. Both techniques have advantages and disadvantages; however, a medial opening-wedge osteotomy is contraindicated in a smoker because of concern for nonunion. As a result, current smoking history is the only factor listed that would influence the technique used. The history of prior arthroscopy has no relevance in the decision about which type of osteotomy is appropriate. Normal BMI is between 18.5 and 24.9, so this patient's BMI is considered normal and would not affect the surgical technique (if this patient were obese, a lateral closing-wedge osteotomy would be considered, but this is controversial). His age of 40 years is an indication for HTO but does not influence technique.
81
**Snapping Hip** *Coxa saltans* What are the 3 causes? What imaging study should you get? Operative options for each?
External:** IT band sliding over greater troch**; can be seen from across the room. Palpate GT as hip is actively flexed, applying pressure will stop snapping, confirm diagnosis. Obers test: Tightness of tensor fascia Internal:** iliopsoas tendon** sliding over femoral head, prominent ilipectineal ridge, exotoses of lesser troch, iliopsoas bursa. Reproduced when moving hip from **Flexed+ER to Extended + IR position** Intra-articular snapping hip: loose bodies in the hip, synovial chrondromatosis, labral tears. **Dynamic U/S** can help visualize abnormal iliopsoas Tx: PT, CSI if persistent and painful Excision of GT bursa w/ Z plasty of IT band for painful snapping hip relase iliopsoas tendon for painful internal snapping hip failed nonop hip scope and removal of loose bodies or labral debridment repair if intra-articular pathology. ## Footnote Obers test hip: limited adduction when hip held in extension
82
Ober test
Ober test is positive with contracture of the tensor fascia lata or iliotibial band which limits adduction of the hip while in an extended position
83
A 21-year-old professional ballet dancer reports a painful popping sensation over her right hip joint. Examination reveals that symptoms are reproduced with hip flexion and external rotation. Which of the following studies will best confirm the diagnosis? Wht's the treatment?
It is caused by the **iliopsoas tendon gliding over the iliopectineal line or the femoral head** Snapping is reproduced by hip flexion and extension or flexion with external rotation and abduction. **Conventional and dynamic ultrasonography will confirm the snapping structure. ** ## Footnote iliopsoas tendon is located lateral to the iliopectineal eminence when the hip is in full flexion, and may "snap" medially as the hip is extended back to neutral position
84
# Hamstring injury most common site of rupture in adults? Skeletally immature? risk factors? Muscles/innervation? Sciatic nerve distance form origin? Non-op vs op: PrP injection?
Adults: myotendinous junction Skeletally immature: avulsion of ischial tuberosity RF: **previous hamstring injury (increases risk of reinjury by factor of 6** SM,ST, Long head of Biceps: **tibia branch** of sciatic Short head of biceps: **common peroneal** **sciatic nerve is 1.2 cm from lateral bony aspect of hamstring origin ** **Nonop: most; single tendon tears, 2 tendon , 2cm retraction, rupture at myotendinous junction, 6 weeks to healing, return when 90% strength** **Tendon repair: proximal avulsions, partial avulsions failed 6 months of non-op, 2 tendons w/ >2cm retractinon, 3 tendon tears** High level athlete, give PrP w/in 48 hrs ## Footnote Hip flexion, knee extension: eccentric contraction of hamstring at the end of swing phase when muscle fibers are at maximal elongation.
85
Hamstring injury prevention
**Nordic hamstring exercise: ** shown to reduce injuries by 50-70% in some studies isolated targeting of hamstrings long head of the biceps femoris and semimembranosus are more active during hip extension semitendinosus and short head of biceps femoris more active during knee flexion ## Footnote athlete kneels while heels are held on ground by an assistant; the athlete than leans forward until he is prone and then returns to original upright position
86
Hamstring tendon repair: incision? whats at risk?
transverse incision over gluteal crease sciatic nerve runs on average 1.2 cm lateral to the most lateral aspect of ischial tuberosity ## Footnote vertical fascial incision will often lead to encountering a hematoma or fluid collection
87
88
89
Treatment algorithm for hamstring ruptures
Untreated partial hamstring ruptures may present with residual pain, weakness and hamstring dysfunction. The mechanism is eccentric lengthening (sprinting or cutting) A proposed treatment algorithm is: (1) Nonoperative management for single tendon avulsion with <2cm retraction. The ruptured tendon scars to intact tendons. (2) Repair for acute 3-tendon rupture (semitendinosus, semimembranosus, biceps femoris) with retraction >= 2cm. (3) Surgery for young (<50y) patients with 2 tendon avulsion and retraction >= 2cm.
90
What is the primary role of satellite cells?
regenerate skeletal muscle after injury ## Footnote Satellite cells, also termed muscle satellite cells, are a population of cells within muscle who sit relatively dormant until muscle injury occurs. Satellite cells are then responsible for producing new muscle and new satellite cells in response to the injury. satellite cell, which has long been recognized as a quiescent muscle progenitor cell. Following skeletal muscle injury, it divides and fuses with other progenitors to form myofibers. When stimulated with the appropriate growth factors in vitro, satellite cells also have the capacity to differentiate down other lineages, such as osteoblastic, adipogenic, and chondrogenic cell line
91
Proximal hamstring avulsions occur as a result of
Hip flexion, knee extension eccentric contraction of hamstring at end of swing phase when muscle fibers are at max elongation.
92
Quad contusion ## Footnote MRI if concern for extensor mechanism.
* Direct blow to thigh * immobilization, cryotherapy, NSAIDs, physical therapy * 120 degrees of flexion using an ace wrap or hinged knee brace immediately after injury for 24-48 hours, frequent use of cold therapy * * myositis ossificans seen in chronic cases, 9-18% of cases. resection only for mature lesions w/o signs of continued growth. Maturation at 6-12 months.
93
Which of the following medications has been shown to improve skeletal muscle regeneration and decrease fibrosis following muscle injury in an animal model?
**Losartan** Administration of **angiotensin II receptor blockade medications** (e.g. losartan) after skeletal muscle injury has been shown to** decrease the apoptotic cascade response and the formation of fibrous tissue. ** The mechanism of benefit is thought to be associated with blockade of insulin-like growth factor ## Footnote PRP plus losartan combination therapy improved overall skeletal muscle healing by enhancing angiogenesis and follistatin expression as well as reducing the expression of phosphorylated Smad2/3 and the development of fibrosis.
94
# Skeletal muscle contusiuon: After sustaining a muscle contusion injury, prolonged immobilization leads to?
Increased granulation tissue production occurs with prolonged immobilization following contusion injury; this condition may lead to myositis ossificans ## Footnote Prolonged immobilization can lead to contraction of scar, poor structural organization of the regenerating muscle, and, ultimately, scar tissue. In a study by Jࢾrvinen and associates, muscles immobilized following contusion injury were pulled to failure at tensile strengths much lower than tolerated by mobilized limbs. In addition, there is a decrease in tensile stiffness.
95
# skeletal muscle contusion Histologic analysis of biopsy of healing in the mobilization sate at 4 weeks from injury would show?
time dependent response to post injury protocols of immobilization and mobilization. Mobilization initiated after a brief period of immobilization resulted in better **penetration of regenerative muscle through limited connective tissue scar in line with native surrounding muscle. ** earliy mobilization = progressive increase in myotubule, early nerve regen, reduced inflammation immobilization results in disorganized penetration of muscle fiber through dense conective scar tissue with immobilization. ## Footnote Skeletal muscle contusions are a common cause of morbidity from sports-related injuries. The healing response involves a complex balance among muscle repair, regeneration, and scar-tissue formation. Animal models of muscle contusion have demonstrated a time-dependent histological response to postinjury protocols of immobilization and remobilization. Mobilization initiated after a brief period of immobilization resulted in better penetration of regenerative muscle through limited connective tissue scar in line with native surrounding muscle. Early mobilization in an in vivo muscle contusion model resulted in a progressive increase in myotubule, early nerve regeneration, and reduced inflammation. Immobilization results in disorganized penetration of muscle fiber through dense connective scar tissue with immobilization.
96
# Femoral neck stress fractures What imaging? Who's at higher risk? Non-op tx for? Operative tx for?
**MRI** **Female athlete triad**: **2-4x increased risk.** dysregulation of HPG axis, decreased estrogen levels=no osteoblast maturation, increased osteoclast activity relative to OB activity FAI: 50% of FNF, 42% CAM, 78% pincer Nonoperative treatment is indicated for **compression sided fractures with  < 50% femoral neck width.** **Cannulated screw fixation is indicated for  tension sided stress fractures or compression sided fractures with > 50% width or hip effusion** ## Footnote * repetitive loading of femoral neck exceeds elastic properties of bone causing microscopic fracture * continuous microscopic fractures exceed osteoblastic activity resulting in stress fracture  * 3x risk with absent calcitonin receptor C allele, vitD receptor C-A halotype
97
# Femoral neck stress fractures biomechanics BW across femoral neck with jogging/running? Compressive vs tension sided fxs?
**Jogging 3-5x/Running 8.4x** Compressive= inferior femoral neck, microfracture propogates 45 degrees more stable oblique pattern Tension sided fx: bending forces of superior lateral neck stabilized by abductor forces, when abd fatigue fracture propogates at 90 deg, unstable transverse pattern ## Footnote Nonoperative treatment is indicated for compression sided fractures with  < 50% femoral neck width. Cannulated screw fixation is indicated for  tension sided stress fractures or compression sided fractures with > 50% width or hip effusion
97
# Femoral neck stress fractures imaging Xray early vs late findings?
* early: 90% initial, and 50% of repeat 4- 6 weeks normal * 6-8 weeks, grey cortex sign, lineral lucency, endosteal callous, scleortic line traversing trabeculae
98
# Femoral neck stress fractures imaging What to look for on MRI Hip effusion is associated with?
* periosteal or bone marrow edema on STIR or fat-suppressed T2 * line of decrease of intensity on T1 coronal corresponding with signal on T2 and STIR * hip fusion: 8x higher risk of propagation ## Footnote Compression-sided fractures are usually treated non-operatively, with protected weight-bearing until pain-free, and cessation of running until healed. Tension-sided fractures and fractures that involve more than 50% of the femoral neck are generally treated operatively with percutaneous screw placement. Bone scan: not necessary anymore, uptake due to increased metabolic activity secondary to bone remodeling
99
Tibia Stress Fx most common in? physical exam findings? imaging? Work up? When to operate? Highest likely hood of non-union
* athletes and military recruits, especially after a change in type, intensity, or duration of an activity. * limp or abnormal weight-bearing, with focal tenderness and a positive one-legged hop test * Xrays: Will be normal 2-3+ weeks. Cortical thickening will show up after several weeks. MRI: treatment of choice, high sensitivity and specificity. ○ Bone marrow edema: T2 weighted stress reaction, precursor to stress fx ○ Linear areas of low signal intensity: T1 weighted image, indicative of fx * Tx: activity modification, eval of vitD, osteoporosis/penia, female triad. Eval by endo. * IMN, for fx of anterior cortex, "dreaded black line" load sharing with an intramedullary tibial nail has been used to decrease the risk of delayed or nonunion of this tension-sided fracture. * fractures of anterior cortex of tibia have highest likelihood of delayed healing or non-union ## Footnote Tc-99m bone scan: increased uptake, less specific than MRI tibia is the most frequent stress fracture location in most series in both athletes and modern military training. The anterior midshaft region of the tibia may be at higher risk secondary to tensile forces and a relative paucity of blood supply.
100
# tib/fib stress fxs Specific F&A pearls: ? : medial tibial stress fx ?: repetitive subfibular stress abutment leading to fibular stress fx.
- **Rigid cavovarus**: medial tibial stress fx **Pes planus**: repetitive subfibular stress abutment leading to fibular stress fx.
101
Stinger: definition? most common symptoms? Cuased by 3 types of mechanisms? When to get a MRI/who are you worried about?
* transient brachial plexus neuropraxia * unilateral tingling in arm w/ transient weakness in **C5, 6 m (deltoid, biceps), resolution 1-2** mins, + spurling * traction, compression, or direct blow (see below) MRI for Bilateral symptoms, multiple stingers, reccuring symptoms ## Footnote * traction: downward displacement of arm+bedning of neck away from side of injury * compression, lateral head turning towards affected side * direct blow to erbs point superior to clavicle * Cervical spine hyperextension with or without concomitant lateral flexion is thought to compress or pinch the nerve root in the neuroforamen, thereby causing transient symptoms. It is generally accepted that the athlete may return to immediate play if complete symptomatic resolution is achieved with full motor strength and full painless cervical range of motion. However, if the player has two or more stingers in one game, it is recommended that he or she be withheld from the current sporting contest and re-revaluated at the end of the game
102
What is the most commonly involved level for brachial plexus stretch injuries or "stingers" in younger athletes involved in collision sports?
**C5-6** ## Footnote The most commonly involved level for brachial plexus traction injuries in young athletes is C5-6, ostensibly due to the greater mobility in the midcervical spine. "Stingers" in older athletes may be due to foraminal stenosis in combination with extension and nerve root compression
103
# Neck injuries in athletes * Spear tackling * What associate conditions put athletes at risk? * How to exam on the field (NATA guidelines) * what to look for on c-spine xray? * Who gets an MRI?
* Spearing: #1 mechanism of neck injury, can lead to gradual cervical stenosis and loss of cervical lordosis. Axial loading of subaxial spine occurs with this type of tackling * previous c-spine trauma, cervical stenosis, congenital os hypoplasia, os odontoideum, klippel feil anomolies * Stablize head/neck, log roll supine, **remove facemask, remove helmet and shoulder pads if done safely** * MRI if xray shows torg <.8 and or bilateral symptoms * presence of congenital stenosis (i.e., a Torg ratio < 0.80) does not preclude a player from returning to play in the absence of clinical, symptomatic instability. ## Footnote - canal diameter of < 13mm (normal is17mm) - Torg-Pavlo ratio (canal/vertebral body width) of < 0.8 (normal is 1.0 - congenital stenosis (Torg-Pavlov ratio <0.8) without instability (but patients should be counseled regarding the risks - incidence of spinal stenosis (using a Torg ratio of 0.8 as a definition) to be 49% in asymptomatic professional football players
104
Figure 1 is the MRI scan of a 15-year-old boy who has had knee pain with running for 5 months. What is the most appropriate treatment?
Arthroscopic or open reduction and internal fixation ## Footnote OCD is an acquired lesion of the subchondral bone. Patients with OCD initially report nonspecific pain and variable amounts of swelling. **Initial radiographs help identify the lesion and establish the status of the physes**. An MRI scan is useful for assessing the potential for the lesion to heal with nonsurgical treatment. **Nonsurgical treatment is appropriate for small, stable lesions in patients with open physes and focuses on activity restriction for 3 to 9 months**. Surgical treatment is necessary for unstable or detached lesions. Stable lesions with intact articular cartilage can be treated with subchondral drilling to stimulate vascular ingrowth, with radiographic healing at an average of 4.4 months. Fixation is indicated for unstable or hinged lesions, and stabilization of the fragment can be achieved using a variety of implants through an arthroscopic or open approach. The fragment should be salvaged and the normal articular surface restored whenever possible.
105
locked knee that cannot be fully extended
mechanical block of a bucket-handle tear that has flipped into the notch. Also, the pain may be so severe that the muscle spasm prevents the knee from straightening out. When the patient is anesthetized, the muscle spasm relaxes and the meniscus can be reduced out of the notch. Arthroscopy is the treatment of choice. A meniscal repair is usually possible in large bucket-handle tears because the meniscus is torn in the red-red zone where most of the vascular supply is located. If the handle portion is badly frayed or damaged, a partial meniscectomy should be performed. The classic finding on MRI is a "double PCL sign." This is due to the flipped portion of the meniscus in the notch.
106
Which of the following complications is more likely with an inside-out repair technique compared to an all-inside techniques for a medial meniscus tear?
All of the answers are possible complications of meniscal repair. There are large volumes of literature evaluating the results of meniscal repair, both for the all-inside technique, as well as the inside-out technique. Failure rates are similar. Intra-articular synovitis occurs with absorbable sutures and absorbable implants. Peroneal nerve injuries are more common with the lateral-sided repairs. Saphenous nerve injuries are more common with medial-sided tears. Because of the incision required and the technique of tying over soft tissue, the risk of a saphenous nerve injury is greater with an inside-out technique than with an all-inside technique.
107
The use of knee arthroscopy following total knee arthroplasty is most effective in treating which of the following conditions?
Patellar clunk syndrome is associated with certain types of posterior stabilized knee arthroplasties. Arthroscopic resection of the band of inflammatory tissue inferior to the patellar component is effective in treating this condition.
108
A loose body is encountered during a left knee arthroscopy in the posterolateral compartment. In the arthroscopic photograph shown in Figure 1, the posterior aspect of the lateral femoral condyle is shown on the right and the posterolateral capsule is shown on the left. The arthroscope is placed in what anatomic interval to visualize this loose body?
The arthroscopic photo shows a grasper removing a loose body from the posterolateral compartment through an accessory posterolateral portal. The blunt arthroscopic trocar is placed through the intercondylar notch in the direction of the posterior horn of the lateral meniscus. The trocar passes between the ACL and the posterior aspect of the lateral femoral condyle into the posterolateral compartment.
109
During a knee arthroscopy on a 38-year-old patient with isolated medial knee pain and no lateral symptoms, a routine examination of the lateral compartment reveals a discoid lateral meniscus. The discoid lateral meniscus is not torn. Based on these findings, what is the most appropriate action?
**Do nothing surgically to the lateral meniscus** ## Footnote The most appropriate action is to note this finding in the surgical report but do nothing surgically in the lateral compartment. Multiple studies have shown that asymptomatic discoid lateral menisci seen on routine knee arthroscopies for other pathology need not be addressed surgically. They do not cause problems later in life and do not need to be treated prophylactically.
110
What is the primary function of the structure at the tip of the probe in Figure 1?
**Popliteus: dynamic internal rotator of the tibia** The structure shown in the figure is the popliteus tendon. This structure is a continuation of the popliteus muscle belly and attaches more proximally through its hiatus in the lateral meniscus onto the lateral femoral epicondyle anterior and distal to the insertion of the lateral collateral ligament. The popliteus is a dynamic internal rotator of the tibia. The popliteus complex reinforces the posterior third of the lateral capsule and plays a major role in the dynamic and static stabilization of the lateral tibia on the femur, including restriction of external tibial rotation, posterior tibial translation, and varus rotation of the tibia.
111
arthroscopic view of the intercondylar notch of a right knee from an anterolateral portal. What is the main function of the structure delineated by the black asterisks? After injury to the structure as indicated by the asterisks, which examination test most likely will demonstrate an abnormal finding?
**posterolateral bundle of the anterior cruciate ligament (ACL)**. This bundle is optimally positioned in the knee to **resist rotatory forces during terminal knee extension.** PL bundle is tightest in flexion "Resist anterior translation during knee flexion" best describes the anteromedial bundle.
112
Anterior cruciate ligament (ACL) injuries are notorious for blunt cartilage injuries and bone bruising. Typical bone bruising patterns in ACL injuries include the
middle third of the lateral femoral condyle and the posterior third of the lateral tibial plateau
113
most common location for osteochondritis dissecans? Wilson test to detect potential OCD lesion?
posterolateral aspect of the medial femoral condyle. Internally rotate the tibia while extending the knee from 90° to 30°. Positive if pain is present with internal rotation and extension that is relieved with external rotation ## Footnote Mixed evidence exists on the efficacy of arthroscopic drilling for stable symptomatic OCD lesions in skeletally immature patients or for stable lesions that did not healed after a 3-month trial of nonsurgical management. Consensus exists that surgical treatment be offered to symptomatic skeletally immature and mature patients with salvageable unstable or displaced OCD lesions. Inconclusive evidence exits regarding surgical technique.
114
histologic anatomy of articular cartilage superfiscial vs deep zone
The **superficial layer or lamina splendens contains a small amount of proteoglycan with collagen fibrils arranged parallel to the articular surface**. In contrast, the **deep zone** contains the largest-**diameter** collagen fibrils, oriented **perpendicular** to the joint surface, and the highest concentration of proteoglycans.
115
# unstable osteochondral lesion of the medial femoral condyle. OCA transplantation indicated for? What else needs to be addressed? Why would ACI be bad for this lesion depicted in the MRI? ## Footnote MR images clearly show deep subchondral bone involvement.
primary treatment of large cartilage lesions, osteochondral lesions, and salvage procedure from failed prior cartilage surgery. Correction of mechanical axis malalignment, ligamentous insufficiency, and meniscal deficiency should also be addressed. ACI alone or an arthroscopic microfracture procedure would not address the bone defect, leaving an uneven articular surface. ## Footnote MR images clearly show deep subchondral bone involvement.
116
Figure 1 is the radiograph of a 50-year old woman with lateral-sided left knee pain. She noticed the pain over the last few months and has had no new injury. She had a microfracture performed of her lateral femoral condyle 5 years ago. What is the likely cause of the finding noted on her radiograph?
Removal of the subchondral plate
117
realignment osteotomies: medial compartment osteoarthritis? lateral compartment osteoarthritis?
**Valgus-producing osteotomy for medial compartment osteoarthritis. ** Medial opening wedge high tibial osteotomy (HTO) is commonly used to manage medial knee osteoarthritis in patients with varus malalignment. or lateral closing wedge HTO Varus-producing osteotomy for lateral compartment osteoarthritis, Distal femur osteotomy (DFO). The goal is to relieve lateral compartment pain and slow the progression of osteoarthritis by shifting the mechanical axis into neutral or slight varus, which can be achieved via lateral opening wedge or medial closing wedge DFO. ## Footnote In patients with isolated medial compartment osteoarthritis, valgus-producing osteotomies are a well-proven surgical treatment option. Figure 2 AP full-length weight-bearing radiographs of bilateral lower extremities of a patient. A, Preoperative radiograph demonstrates the mechanical axis through the medial compartment. B, Radiograph obtained after high tibial osteotomy demonstrates that the mechanical axis has been shifted to the downslope of the lateral tibial spine.
118
what osteotomy do you perform for a lateral compartment OA?
Varus-producing osteotomy for lateral compartment osteoarthritis, Distal femur osteotomy (DFO). The goal is to relieve lateral compartment pain and slow the progression of osteoarthritis by shifting the mechanical axis into neutral or slight varus, which can be achieved via lateral opening wedge or medial closing wedge DFO. ## Footnote Illustrations of knees show posterior tibial slope correction based on plate shape and positioning. A, Medial placement of a plate with a rectangular wedge should not alter the slope. B, In an anterior cruciate ligament–deficient knee, posteromedial placement of a rectangular wedge plate or a tapered wedge plate results in decreased slope and reduced anterior tibial translation. C, In a posterior cruciate ligament–deficient knee, anteromedial placement of a rectangular wedge plate results in increased slope and reduced posterior tibial translation.
119
what kind of tibial slope is a risk factor for ACL injury and ACL graft failure. How does this affect an HTO?
**Elevated posterior tibial slope** is a risk factor for ACL injury and ACL graft failure. In performing HTO in an ACL-deficient knee, **a slope-reducing technique should be used for optimal result**
120
A 60-year-old patient had the procedure shown in Figure 1 performed 5 years ago. When converting this patient to a total knee arthroplasty (TKA), what patellar problem is commonly encountered intraoperatively?
**Patella baja** is commonly encountered when converting a high tibial osteotomy (HTO) to a TKA. **Patella baja most likely occurs because of scarring.** Meding and associates study did not show an increased rate of lateral release when converting a knee that had undergone a previous HTO.
121
# Whats Figure 1 shows the AP radiograph of a patient who underwent a previous upper tibial osteotomy (UTO). The patient may be at risk for which of the following during total knee arthroplasty (TKA)?
Instability results of TKA for patients with a prior UTO are reported to be slightly suboptimal. The major problems are patella baja, difficulty in exposure, and instability. Most of the patients exhibit some degree of instability prior to TKA, and ligamentous balancing may be difficult. Ligamentous structures are at risk of rupture during the difficult exposure. The problem of ligamentous balancing is exacerbated by the change in the joint slope that can occur after UTO.
122
Best option for ROM in unicompartment OA? UKA vs TKA vs HTO
UNI has better ROM Unicompartmental arthroplasty of the knee is associated with better range of motion than either total knee arthroplasty or high tibial osteotomy. In a prospective randomized trial of unicompartmental and total knee arthroplasty for patients with medial compartment osteoarthritis, patients with the unicompartmental prosthesis had better range of motion. The literature that compares range of motion in cruciate-retaining as opposed to posterior stabilized and fixed bearing as opposed to mobile-bearing total knees suggests relatively equivalent range of motion between these designs.
123
Figures 1 and 2 are the AP and lateral radiographs of a 32-year-old man 10 years after anterior cruciate ligament (ACL) reconstruction. The patient now has worsening medial knee pain and a failed ACL with instability. What is the best surgical option?
Closing wedge and slope neutralizing high-tibial osteotomy
124
What is the most frequent complication of both lateral closing wedge high tibial osteotomy and medial opening wedge osteotomy?
Patella baja ## Footnote Scuderi and associates reported on patellar height after a high tibial osteotomy. Eighty-nine percent of the patellae, as measured by the Insall-Salvati index, and 76.3 percent, as measured by the Blackburne-Peel index, were observed to be lowered. More recently, Wright and associates reported a 64% incidence of patella baja in patients undergoing a medial opening wedge osteotomy. The incidence of intra-articular fracture during medial opening wedge osteotomy has been reported to be as high as 11% by Hernigou and associates, whereas the incidence of intra-articular fracture during lateral closing wedge high tibial osteotomy has been reported to be 10% to 20% by Matthews and associates. The incidence of peroneal nerve palsy with a lateral closing wedge high tibial osteotomy ranges from 0% to 20%, according to Marti and associates, whereas the incidence of peroneal palsy following a medial opening wedge osteotomy has been reported to be 15.7% by Flierl and associates. The exact incidence of compartment syndrome after a high tibial osteotomy is not known; however, it does not reach the level of patella baja. The incidence of deep infection after a lateral closing wedge high tibial osteotomy ranges from 0% to 4% according to Billings and associates.
125
young patient with isolated lateral compartment OA, surgery?
**distal femoral varus osteotomy.** * medial closing/lateral opening wedge supracondylar femoral osteotomy ## Footnote The long-term outcome of a distal femoral varus osteotomy has been quite favorable and should remain the primary choice for this young active woman. Sharma and associates have shown that a 5-degree valgus malalignment has a five-fold chance of progressing at least one grade within 18 months, making a corrective osteotomy the most important surgical maneuver.
126
An active 38-year-old male carpenter reports activity-related medial knee pain. Arthroscopy performed 3 years ago revealed a torn medial meniscus that was debrided and mild condylar changes of the medial femoral condyle and medial tibial plateau. Current standing radiographs reveal Ahlback stage II changes with mild medial femoral joint space narrowing and a 5-degree varus deformity. What is the best treatment option?
HTO high tibial osteotomy is appropriate to correct a deformity that has a very high risk of leading to progressive arthritis. It should be more important than either the arthroscopic method or the osteoarticular transplantation, though one may also consider these options. Prosthetic choices are limited for a young active male in favor of less "end stage" options.
127
An 18-year-old man underwent open reduction and internal fixation of a tibial spine avulsion and a posterolateral corner repair. Two years later, he underwent lateral collateral ligament (LCL) and posterolateral corner reconstruction because of instability. Examination reveals a pronounced lateral varus knee thrust when ambulating. Varus stress in 30 degrees of flexion produces a 10-mm opening that is eliminated in extension. The Lachman's test is 2 mm with a firm end point, and the posterior drawer test is negative. Standing radiographs show widening of the lateral joint space and a 5-degree mechanical varus alignment. What is the most effective course of treatment?
Valgus-producing high tibial osteotomy (HTO) patient has chronic posterolateral instability with a varus knee alignment; therefore, the most effective treatment is a valgus-producing HTO. A repeat soft-tissue reconstruction without correction of the varus alignment will most likely fail. An ACL reconstruction is not indicated with a normal Lachman's test. Physical therapy and bracing will have little effect.
128
While obtaining informed consent for a lateral closing-wedge osteotomy, what complication should be discussed with the patient as exclusive to this procedure and not encountered in medial opening-wedge osteotomy?
Proximal tibiofibular joint disruption With lateral closing-wedge osteotomy, proximal tibiofibular disruption can occur. This is not seen in medial opening-wedge osteotomy. A technique has been developed to prevent this complication; a fibular osteotomy is performed at the same time as the tibial osteotomy. The other complications listed are seen in both techniques, with nonunion and plate breakage more common in opening-wedge high tibial osteotomy (HTO) and neurologic injury more common in closing-wedge HTO (with issues related to the common peroneal nerve most prevalent). Compartment syndrome is a devastating complication that can occur with any osteotomy, and a high index of suspicion should be maintained during the postsurgical course for patients who develop this condition.
129
A 25-year-old wrestler has been experiencing increasing left knee pain since his last professional cage fight. He complains of both pain and instability on the medial side of his left knee. Examination reveals a grade 3 Lachman and pseudolaxity with valgus stress. Dial test findings are normal. Radiographs show medial degenerative changes and 5 degrees of varus alignment. What is the most appropriate treatment?
HTO plus ACL reconstruction at the same time A young athlete with posttraumatic arthrosis of the knee isolated to the medial side poses a challenge. History and examination confirm key findings. Complaints of both pain and instability warrant concomitant HTO plus an ACL procedure, particularly in young athletes. ACL reconstruction or HTO in isolation would not be ideal for this young, active patient.
130
hx of ACL and PLC injury, On examination, the patient has medial joint line pain, a grade 2+ Lachman, and a slight varus thrust. His radiographs reveal mild-to-moderate medial compartment osteoarthritis with varus alignment. What surgical treatment strategy likely will alleviate his pain?
With chronic instability and osteoarthritis, the best option is **HTO with a decrease in the tibial slope to reduce anterior laxity**. The *lateral closing-wedge osteotomy would not allow for adequate correction of the tibial slope*. * Unicompartmental knee replacement is not indicated when there is ligament instability. If the patient continues to experience instability following correction of the varus malalignment, reconstruction of the ACL and posterolateral corner would be appropriate at that time.
131
anterior knee pain after HTO
**Patella Baja** * After HTO, particularly in patients who have been immobilized after a closing-wedge osteotomy, patella baja is a common finding. This can precipitate anterior knee pain or patellofemoral pain syndrome.
132
contraindications to valgus producing HTO
principal contraindications to valgus-producing HTO include (1) lateral compartment degenerative joint disease, (2) loss of a significant portion of the lateral meniscus, (3) symptomatic patellofemoral degenerative joint disease, (4) nonconcordant pain (ie, patellofemoral pain with medial compartment osteoarthritis), (5) smoking, (6) patient unwillingness to accept the anticipated cosmetic appearance of the desired amount of angular correction, and (7) inflammatory arthritis.
133
HTO indications, risk of baja 2/2?
* Isolated medial compartment osteoarthritis with varus alignment (5° to 15°) with intact lateral and patellofemoral compartment joint space. Preserved motion. stable ligaments. * PL laxity vs varus hyperext thrust, ACL deficiency w/ varus malalignment or thrust * Patella baja: Secondary to raising the tibiofemoral joint line with opening wedge technique proximal to the tibial tubercle
134
The patellar tendon requires a force of ?? a person’s body weight to rupture if ascending stairs; it can withstand forces of ?? the body weight in an upright position.The patellar tendon requires a force of 17 times a person’s body weight to rupture if ascending stairs
The patellar tendon requires a force of **5X **a person’s body weight to rupture if ascending stairs; it can withstand forces of **17x** the body weight in an upright position.
135
using the Insall-Salvati ratio in interpreting patellar height on plain radiography, which of the following correctly defines patella baja?
The Insall-Salvati ratio is calculated by the ratio between the patellar tendon length over the patellar length. An Insall-Salvati ratio <0.8 defines patella baja on plain radiography. A ratio of 0.8-1.2 is normal, and >1.2 is patella alta. On MRI, an Insall-Salvati ratio <0.74 is used as the threshold for patella baja, 0.74-1.5 is normal, and >1.5 is patella alta.
136
A 49-year-old female with no past medical history presents with knee pain. Initial evaluation suggests patellar tendon rupture, supported by imaging. Hemarthrosis is present and is subsequently evacuated with a needle, with significant swelling remaining. A straight leg test is intact, but weak. Which of the following is the best approach in this patient?
**Immobilization of the knee in full extension for 6 weeks followed by range of motion exercises** This patient likely has an incomplete tendon rupture, as evidenced by continuity of the extensor mechanism, as she was able to perform a straight leg test. Immobilization in full extension for 6 weeks followed by range of motion and strengthening exercises and NSAIDs are indicated for this patient. Patients with complete rupture require surgical intervention within two weeks if soft tissue swelling permits.
137
how to test the medial and lateral meniscus with mcmurray. Whats the most sensitive test?
* medial meniscus is tested by moving the knee from flexion to extension while applying a varus stress and external rotation, allowing the posterior medial meniscus to contact with the femoral condyle. Conversely, the lateral meniscus is tested by moving from flexion to extension with a valgus stress and internal rotation of the tibia, allowing the posterior horn of the lateral meniscus to contact the femoral condyle. * Jt line tenderness is most sensitive test
138
# meniscus injury A healthy, active 18-year-old man has acute-onset right knee pain and an inability to fully extend his knee following an attempt to stand from a seated position yesterday. He sustained a noncontact injury to his right knee while playing basketball 2 years ago and underwent primary anterior cruciate ligament (ACL) reconstruction with bone-patella-tendon-bone autograft and medial meniscus repair. He sustained another noncontact injury to the same knee 8 months later and underwent a revision ACL reconstruction using soft-tissue allograft and revision medial meniscus repair. He reports multiple episodes of “giving way” of his knee, but no pain prior to yesterday’s acute injury. The patient underwent a primary meniscal repair using a second-generation all-inside meniscal repair system. In the setting of concomitant ACL reconstruction, which medial meniscus repair healing rate is appropriate to quote when use of these devices is discussed?
This patient has a history of failed primary and revision ACL reconstructions, both times with medial meniscus repairs. The clinical scenario suggests a recurrent ACL injury with a recurrent medial meniscus tear that is now locked. The most critical risk factor for ACL reconstruction is age younger than 20 years. The** meniscal repair success rate using an all-inside device is between 80% and 90%. **Traditionally, it was believed that healing rates were higher in ACL reconstruction, but current literature demonstrates a similar rate of healing associated with ACL reconstruction and no reconstruction of stable knees. The images show a vertical femoral tunnel resulting from this patient’s prior reconstruction and revision. The MR images reveal a locked bucket-handle tear of the medial meniscus, and the examination shows a positive Lachman test finding attributable to ACL graft failure. In the setting of a young individual who has failed 2 meniscal repairs, a third repair is not indicated. In addition to a revision ACL reconstruction to stabilize the knee, a partial medial meniscectomy is indicated. An attempt at revision medial meniscus repair would be indicated if the technique were poor in the first attempt, but a failed repair otherwise should indicate the need for partial meniscectomy. The postsurgical images reveal a much more anatomic position of the femoral tunnel that should provide better rotational control of the knee, thereby improving the pivot shift (compared to the vertical femoral tunnel). This patient has an obvious postsurgical infection based on the timing, examination, and results of the aspiration. In multiple studies of septic arthritis following ACL reconstruction, the most common pathogen was coagulase-negative staph (Staphylococcus epidermidis), followed by S. aureus. If S. aureus is the causative pathogen, the rate of necessary graft removal is higher because of the aggressive nature of this specific bacteria.
139
A patient’s father is interested in possible surgical treatments for discoid meniscus. The most appropriate consultation is? MRI criteria?
Surgical intervention is based on symptomatic patients. Complete discoid menisci are typically stable, but are expected to have 4.5X greater incidence of surgical intervention. Saucerization of symptomatic discoid meniscus are associated with better results with younger patients with increase of poor outcomes in adult-aged patients. Meniscal transplant may be an option, although long term results are unknown. However, no difference of graft extrusion has been seen between discoid and non-discoid patients. ** MRI criteria is based on transverse meniscal diameter >15 mm between free margin and periphery of the meniscal body on coronal views and continuity of between the anterior and posterior horns of the meniscus on at least three sagittal cuts.**
140
# meniscus An 18-year-old woman injures her left knee playing soccer. At the time of anterior cruciate ligament (ACL) reconstruction, she was noted to have an irreparable posterior horn medial meniscus tear. Partial meniscectomy will have what primary effect?
**Increase medial compartment peak loads** ## Footnote The medial meniscus distributes force through the medial compartment. Peak loads in the affected compartment are increased by partial and complete meniscectomy. The posterior horn of the medial meniscus is also an important secondary restraint to anterior tibial translation in the ACL-deficient knee. In situ forces in the reconstructed ACL are increased with loss of the posterior horn of the medial meniscus.
141
Kinematic analysis of the medial and lateral menisci has demonstrated that the lateral meniscus has which of the following characteristics compared with the medial meniscus?
Kinematic analysis of both menisci demonstrates anterior movement with extension and posterior movement with flexion. The **lateral meniscus has more mobility** than the medial meniscus because of less soft-tissue attachments.
142
Which of the following factors is most critical to the success of a meniscal allograft transplantation? Contraindications?
Success of a meniscal allograft transplantation is strongly dependent on accurate graft sizing, typically within 5% of the native meniscus. Previous studies have established that donor cell viability is not mandatory for the survival of these grafts since they are replaced by the recipient's cells (at least peripherally) within several weeks. Thus, cryopreservation of the graft to ensure cell viability is not necessary. There is a limited immune response to musculoskeletal allografts; therefore, immunosuppression, as is required for visceral organ transplantation, is not indicated. Flattening of the femoral condyles indicates the onset of significant arthritis of the joint and is a contraindication to meniscus allograft transplantation. Criteria to proceed with allograft transplantation includes prior total meniscectomy, age of 50 years or younger, BMI of less than 30, clinical symptoms of pain in the involved tibiofemoral compartment, 2 mm or more of tibiofemoral joint space on a 45-degree weight-bearing AP radiograph, ligamentous stability, normal alignment, and no radiographic evidence of advanced arthrosis. Recurrent effusions are associated with chronic meniscus deficiency, and is one criteria for meniscal transplantation. High tibial osteotomy is often considered in conjunction with meniscal transplantation to correct tibiofemoral malalignment.
143
Which of the following statements best describes the anatomy of the sartorial branch of the saphenous nerve during medial meniscal repair?
The nerve is anterior to the semitendinosus with the knee in extension. ## Footnote Dunaway and associates reported that the nerve was extrafascial in only 43% of their cadaveric specimens. Therefore, in medial meniscal repair, the nerve may be present during deep dissection. The sartorial branch of the saphenous nerve is posterior to the sartorius; dissection should remain anterior to the sartorius. The branch becomes extrafascial between the gracilis and the sartorius. The nerve is anterior to the semitendinosus with the knee in extension. The infrapatellar branch of the saphenous nerve exits the adductor canal and travels to the anteromedial aspect of the knee.
144
In the anterior cruciate ligament-deficient knee, what structure provides an important secondary restraint to anterior tibial translation?
**posterior horn of the medial meniscus** stabilizes the anterior cruciate ligament-deficient knee with significantly greater resultant force in the medial meniscus when subjected to anterior tibial loads. The posterior horn of the medial meniscus is thought to limit anterior tibial translation by acting as a buttress by wedging against the posterior aspect of the medial femoral condyle. The other soft tissues mentioned do not play any significant role in prevention of anterior tibial translation in the anterior cruciate ligament-deficient knee.
145
Which of the following types of intra-articular pathology is associated with lateral meniscal cysts?
**middle 1/3rd lateral meniscal tears** Lateral meniscal cysts often arise from myxoid degeneration that progresses from the meniscal center and then outside the meniscus. Horizontal cleavage tears are commonly associated with the condition. Cysts of the lateral meniscus are most commonly the consequence of a tear located in the medial third. If the tear communicates with the joint, arthroscopic partial meniscectomy and cyst decompression are indicated. If the tear does not open into the joint, arthroscopy should be followed by an open cystectomy.
146
In the setting of anterior cruciate ligament (ACL) reconstruction, what factor is associated with a lower risk of graft rupture?
**Meniscus integrity** meniscal deficiency (medial > lateral) is the most significant risk factor associated with graft failure for single-bundle anatomic ACL reconstruction, with shallow, nonanatomic femoral tunnel placement and younger patient age being additional risk factors for failure. Patients with a Segond fracture are at no higher risk to require revision ACL reconstruction compared with patients without a Segond fracture.
147
effective rehab method as effective as surgery for patellar tendinopathy (jumpers knee)
eccentric training ## Footnote Common treatments for patellar tendinopathy include rest, ice, electrotherapy, massage, taping and injection. None has been demonstrated to be effective. Eccentric training has proven to be as effective as surgical treatment. Achilles insertional tendinopathy has also proven to respond to eccentric training.
148
# contra-indications to anteromedialization for tto A 17-year-old male soccer player sustains repeated lateral patellar dislocations refractory to physical therapy, bracing, and taping. After a workup including radiographs and MRI, the orthopaedic surgeon considers an isolated tibial tubercle osteotomy (TTO). A 60-degree anteromedialization is planned to address instability and to unload the patellofemoral joint. What is a relative contraindication to this procedure?
Grade III chondrosis of the proximal patella * Anterior tibial transfer will tilt the patella, shift the primary contact area proximally, and off-load the distal patellar cartilage. It should be avoided in patients with proximal patella chondral lesions. ## Footnote Indications include recurrent instability with an increased TT-TG distance, typically greater than 20 mm; patella alta; a Caton-Deschamps ratio greater than 1.4; and/or need to unload cartilage defects.
149
# mpfl reconstruction Figure 1 is the MRI scan of a patient with recurrent knee instability, which persists after a period of nonsurgical treatment. Anatomic reconstruction of the torn ligament is recommended. What radiographic finding is the most important independent predictor of recurrent instability following surgery? What is a possible complication of tunnel positioning with MPFL reconstruction being too distal?
Trochlear dysplasia Tightness in extension Tunnel malpositioning with MPFL reconstruction Too proximal: laxity in extension, tightness in flexion, resulting in anterior knee pain and failure Too distal: tightness in extension, resulting in extensor lag or inability to fully extend
150
mpfl primary repair vs recon? Isloated lateral retinaculum release
MPFL primary repair is associated with an increased risk of recurrent dislocation compared with MPFL reconstruction. Isolated lateral retinaculum release is ineffective in the management of patellar instability. The lateral retinaculum is a secondary stabilizer to lateral translation. Isolated release may exacerbate and worsen patella instability. Lateral retinaculum release or lengthening may be utilized as an adjunct to other stabilization procedures, especially if fixed patellar tilt and lateral retinaculum tightness prevent centering the patella on the trochlea.
151
TTO indications? altering angle of cut or transferring tubercle? direct medial? anterior transfer will? anterormedical transfer? distalization associated with?
Indications include recurrent instability with an increased TT-TG distance, typically greater than 20 mm; patella alta; a Caton-Deschamps ratio greater than 1.4; and/or need to unload cartilage defects. Altering the angle of the cut or transferring the tubercle proximally or distally may lead to a different effect on patellofemoral stability and patellofemoral joint cartilage loading. Direct medial tibial tubercle transfer can be performed in patients who have patellar instability without chondrosis to manage an increased TT-TG distance. Anterior tibial transfer will tilt the patella, shift the primary contact area proximally, and off-load the distal patellar cartilage. It should be avoided in patients with proximal patella chondral lesions. Anteromedial transfer can be performed to decrease the TT-TG distance and off-load distal and lateral chondral defects. The tibial tubercle can be distalized to manage extreme patella alta in patients with patellar instability or to unload distal patella chondral lesions. Distalization is associated with a higher complication profile than anteromedialization because an unhinged osteotomy is associated with higher rates of delayed union.
152
# Popliteus attachment? role? What is the anatomic relationship of the popliteus insertion of the femur relative to the lateral collateral ligament origin?
* continuation of the popliteus muscle belly * attaches more proximally through its hiatus in the lateral meniscus onto the **lateral femoral epicondyle anterior and distal to the insertion of the lateral collateral ligament.** * **Deep, Anterior, Distal** * dynamic internal rotator of the tibia * popliteus complex reinforces the posterior third of the lateral capsule and plays a major role in the dynamic and static stabilization of the lateral tibia on the femur, including restriction of external tibial rotation, posterior tibial translation, and varus rotation of the tibia.
153
A 24-year-old former high school wrestler had anterior cruciate ligament (ACL) reconstruction with hamstring autograft 6 years ago. He now experiences daily instability of his knee with routine activities including walking. Examination reveals a grade 3+ Lachman with a soft endpoint, varus laxity at 30 degrees, and a positive dial test at 30 degrees that dissipates at 90 degrees of knee flexion. He has mild medial joint line tenderness. When walking, there is a slight varus thrust. What treatment is most likely to lead to a successful outcome?
Revision ACL reconstruction and posterolateral corner reconstruction ## Footnote This patient underwent an ACL reconstruction that has now failed. Based on his examination, he also has a posterolateral corner injury. Because this concomitant injury was not treated, the patient had undue strain on his graft, resulting in ultimate failure. Hamstring grafts are as effective as other graft types for ACL reconstruction. The medial meniscus provides secondary stabilization to the knee; however, this patient has a missed lateral ligamentous injury, and meniscus tears do not result in the development of a varus thrust. An unrecognized PCL tear likely results in mild-to-moderate medial and patellofemoral osteoarthritis without significant lateral laxity and thrust.
154
An 18-year-old man underwent open reduction and internal fixation of a tibial spine avulsion and a posterolateral corner repair. Two years later, he underwent lateral collateral ligament (LCL) and posterolateral corner reconstruction because of instability. Examination reveals a pronounced lateral varus knee thrust when ambulating. Varus stress in 30 degrees of flexion produces a 10-mm opening that is eliminated in extension. The Lachman's test is 2 mm with a firm end point, and the posterior drawer test is negative. Standing radiographs show widening of the lateral joint space and a 5-degree mechanical varus alignment. What is the most effective course of treatment?
Valgus-producing high tibial osteotomy (HTO) ## Footnote chronic posterolateral instability with a varus knee alignment; therefore, the most effective treatment is a valgus-producing HTO. A repeat soft-tissue reconstruction without correction of the varus alignment will most likely fail. An ACL reconstruction is not indicated with a normal Lachman's test. Physical therapy and bracing will have little effect.
155
where is the origin of popliteofibular ligament?
Myotendinous junction of the popliteus tendon
156
A 27 y/o active-duty soldier presents to your clinic 8 months following a quadriceps tendon ACL reconstruction. The post-operative course was uncomplicated and following completion of structured physical therapy he had resumed normal activity. Today he complains of continued instability symptoms. On exam the ACL graft is intact on Lachman testing and there is grade III laxity to varus stress test. What is the best next step in management?
Obtain standing alignment radiographs
157
A 17 y/o high school soccer player comes to your clinic two days following a varus blow to a planted left knee. On exam there is swelling and ecchymosis with varus grade III laxity most notable at 30 degrees of knee flexion and positive dial testing at 30 degrees of knee flexion and corrects when moved to 90 degrees of flexion. Following MRI the patient is diagnosed with an isolated grade III posterolateral corner injury with a mid-substance tear of the lateral collateral ligament. Which treatment is associated with the best long-term outcomes?
Posterolateral corner reconstruction acutely
158
What is the most common concomitant injury associated with a medial collateral ligament tear? Where is the femoral origin of the superficial medial collateral ligament relative to the medial epicondyle?
* Anterior Cruciate Ligament tear * Posterior and proximal
159
Which of the following accurately describes the Pellegrini-Stieda lesion?
Heterotopic ossification adjacent to the medial femoral condyle indicative of a chronic medial collateral ligament injury
160
What ligament in the knee is most commonly injured?
Medial collateral ligament
161
# POL What positive exam finding is consistent with injury to the posterior oblique ligament? What are the 2 main functions
Valgus laxity at 0
162
# non-op for mcl tears A 21- year -old recreational hockey player sustains a direct valgus type impact and presents to your clinic with medial sided knee pain two days later. On exam he has grade III laxity at 30 degrees with valgus stress and subsequently undergoes an MRI. In which of the following scenarios could non-operative management be considered?
* Isolated Grade III MCL injury with valgus laxity at 30 degrees * Resists valgus primarily in extension and internal rotation ## Footnote Contra-indications to non-op: Gross laxity to valgus stress at 0° and 30° of flexion, which implies concurrent ligamentous and/or capsular damage to the ACL or PCL (combined injury) Grade III injury with the ligament displaced into the joint Grade III injury with a Stener lesion, in which the pes anserine tendons are obstructing the displaced ligament and its tibial insertion
163
PCL outcomes double vs single bundle?
Biomechanical studies comparing double-bundle and single-bundle PCL reconstruction techniques reported that double-bundle reconstruction is preferable for decreasing posterior tibial translation and improving rotational control.22-26 Although this outcome may be preferred in high-demand athletes, biomechanical advantages were not associated with superior clinical outcomes. Conversely, isolated, single-bundle reconstruction yielded good long-term results without functional differences ## Footnote A PCL injury is considered an injury of disability rather than instability.
164
postoperative radiograph of a patient who underwent an anterior cruciate ligament (ACL) reconstruction (with bone-patella tendon-bone autograft) that failed. He initially had **loss of flexion postoperatively.** What is the most likely cause of this failure?
Anterior placement of the femoral tunnel. The key to this question is the fact that the patient initially lost flexion postoperatively and this relates to anterior placement of the femoral tunnel, thus capturing the knee. The bone plug seen on the radiograph is actually from the tibial tunnel, but this occurred as the patient forced flexion until failure of the ACL graft and pullout of the plug from the tunnel. Although it could be argued that better tibial fixation would have prevented this failure, poor placement of the femoral tunnel led to the failure of this ACL reconstruction
165
When reconstructing the anterior cruciate ligament (ACL), what is the most common source of potential autograft failure?
Tunnel position ## Footnote Technical failure is the most common reason for ACL reconstruction failure. Tunnel position is the most frequent cause for technical failure. Malpositioning of the tunnel affects the length of the graft, causing either decreased range of motion or increased graft laxity. Although graft choice is an important factor when planning an ACL reconstruction, overall outcomes with autograft tissues are fairly similar. Fixation of the graft at the femoral or tibial end is not as important as tunnel position.
166
What is the incidence and significance of anterior cruciate ligament laxity following tibial eminence fractures in skeletally immature individuals?
Common and infrequently symptomatic ## Footnote Measurable anterior cruciate ligament laxity, while frequently seen after tibial eminence fractures, usually does not cause symptoms. It is found even in patients whose fractures have been anatomically reduced and fixed, leading to speculation that it is due to stretching of the ligament at the time of injury.
167
What is the maximum acceptable amount of divergence of the interference screw in the femoral tunnel from the bone plug of a bone-patellar tendon-bone graft in anterior cruciate ligament (ACL) reconstruction before pull-out strength is statistically decreased?
15 degrees ## Footnote In the early 1990s, a transition was made from a two-incision ACL reconstruction to a single-incision ACL reconstruction, and there was concern over divergence of the femoral screws. It was shown radiographically that approximately 5% of the time, divergence of the screw was greater than 15 degrees from the bone plug. In a bovine model, there was significant loss of pull-out strength with an increase in divergence from 15 degrees to 30 degrees. Therefore, attempts should be made to minimize divergence to 15 degrees or less.
168
What is the effect on knee kinematics following placement of an anterior cruciate ligament (ACL) graft at the 12 o'clock position?
Decreased rotational stability ## Footnote Endoscopic ACL reconstructive techniques may result in a vertical graft placement. The reconstructed ligament will resist anterior translation of the tibia but the graft will not restore rotatory stability. Decreased flexion and extension are caused by placement of the femoral tunnel too anterior and posterior, respectively. Impingement of the graft on the femoral notch is caused by anterior placement of the tibial tunnel or inadequate notchplasty.
169
When performing a posterior cruciate ligament reconstruction with a tibial inlay-type approach, what is the approximate anatomic distance of the popliteal artery from the screws used for fixation of the bone block?
20 mm ## Footnote Miller and associates reported the results of a cadaveric study of the vascular risk of a posterior approach for posterior cruciate ligament reconstruction using the tibial inlay technique. The average distance from the screw to the popliteal artery was 21.1 mm (range, 18.1 mm to 31.7 mm). Other approaches, such as the transtibial tunnel technique which involves drilling an anterior-posterior tunnel, have also been studied in cadavers. Matava and associates noted that increasing flexion reduces but does not completely eliminate the risk of arterial injury during arthroscopic posterior cruciate ligament reconstruction. However, this study did not use the small, medial utility incision recommended by Fanelli and associates, which creates an interval for the surgeon's finger between the medial gastrocnemius and the posteromedial capsule so that any migration of the guidepin can be palpated and changed prior to any injury to the posterior neurovascular bundle.
170
A favorable outcome following nonsurgical management of a partial tear of the posterior cruciate ligament (PCL) is best associated with
quad strength ## Footnote Rehabilitation of the quadriceps muscle following a partial tear of the PCL has been associated with a favorable outcome. The quadriceps acts an antagonist to the PCL because its contraction results in anterior tibial translation, which reduces the tensile stress on the injured ligament. Strengthening of the hamstring musculature increases posterior tibial translation and is contraindicated during the early rehabilitative phase following a PCL injury. Brace use has not been found to significantly alter the outcome following nonsurgical management of PCL tears.
171
Tension force in the anterior cruciate ligament during passive range of motion is highest at
Tension forces in the healthy, as well as the reconstructed, anterior cruciate ligament were measured and found to be highest with the knee in **full extension** and decreased as the flexion increased.
172
A collegiate division I football player ruptures his anterior cruciate ligament (ACL). After counseling him, you agree to perform a double-bundle ACL reconstruction. Which of the following is a correct statement for this technique?
The anteromedial (AM) bundle limits translation and the posterolateral (PL) bundle controls rotation. ## Footnote The ACL is composed of two anatomic bundles: the anteromedial (AM) and the posterolateral (PL). They are both considered important to the stability of the knee. Although they work in concert, the AM bundle controls translation, especially in flexion, whereas the PL bundle prevents rotation.
173
Why are women at increased risk for ACL injury?
Hewett and associates reported in a study of 205 female athletes that female athletes, with increased dynamic valgus and high abduction loads, were at increased risk of ACL injury. The same investigators in an earlier study of 81 high school basketball players reported that female athletes landed with greater total valgus knee motion and a greater maximum valgus knee angle than male athletes. Female athletes were also found to have significant differences between their dominant and nondominant side in maximum valgus knee angle. Lephart and associates reported that in single-leg landing and forward hop tasks that female athletes had significantly less knee flexion and lower leg internal rotation maximum angular displacement, and less knee flexion time to maximum angular displacement than males. Females with an adduction moment during landing should have a lower incidence of ACL tears. Males in general have a lower incidence of ACL tears.
174
Which of the following is considered an advantage of the tibial inlay fixation compared to transtibial tunnel technique when used in posterior cruciate ligament reconstruction?
Elimination of the critical 90-degree turn at the tibial aperture of the tunnel. One of the most difficult aspects of posterior cruciate ligament reconstruction is placement of the tibial tunnel and passing of the graft through this tunnel. The tibial inlay technique requires a posteromedial approach to the tibia whereby the graft is directly fixed to the posterior aspect of the tibia. This obviates the need for a tibial tunnel. This technique has never been shown to be less invasive, more cosmetic, or require decreased surgical time. It has also never been shown in a published level I study to have superior clinical results. However, it does eliminate the need for the 90-degree critical "killer" turn and passing of the tibial graft through the tibial tunnel which may lead to graft failure.
175
An otherwise healthy 25-year-old man underwent a right anterior cruciate ligament reconstruction with a bone-patellar tendon-bone allograft. Routine preimplantation cultures of the allograft taken by the surgeon were positive for coagulase-negative Staphylococcus 5 days postoperatively. The patient has exhibited no evidence of clinical infection and his postoperative course has been uncomplicated during this time. What is the ideal management of this patient?
Observation ## Footnote The incidence of preimplantation positive cultures of musculoskeletal allografts used for anterior cruciate ligament reconstruction has varied between 4.8% and 13.3%. Interestingly, in none of the studies evaluating this issue did any of the patients implanted with a "contaminated" graft develop a clinical infection. The results of the current literature suggest that the treatment of low-virulence organisms is unnecessary if no evidence of clinical infection exists. Preimplantation cultures do not appear to correlate with clinical infection. Therefore, the routine culture of allograft tissue is not recommended.
176
What allograft has the highest antigenicity when used for ligament reconstruction about the knee?
Although theoretically the intra-articular environment is slightly more immune privileged, the role of immunogenicity is related more to bone than soft tissue. Therefore, the **bone-patellar tendon-bone used for ACL reconstruction would have the highest risk of immunogenicity if storage techniques and harvest techniques were similar.** This also is true for bone plugs associated with meniscal allografts.
177
The athlete is taken to the operating room for arthroscopic evaluation and treatment. While the patient is under anesthesia, the knee is found to have full motion with a grade 2B Lachman examination, a positive pivot shift, 1+ posterior drawer, and equivalent external rotation of the tibia in 30 degrees and 90 degrees of flexion. The examination is consistent with what injury?
Complete ACL rupture
178
When reconstructing the anterior cruciate ligament (ACL), what is the most common source of potential autograft failure?
Technical failure is the most common reason for ACL reconstruction failure. Tunnel position is the most frequent cause for technical failure. Malpositioning of the tunnel affects the length of the graft, causing either decreased range of motion or increased graft laxity. Although graft choice is an important factor when planning an ACL reconstruction, overall outcomes with autograft tissues are fairly similar. Fixation of the graft at the femoral or tibial end is not as important as tunnel position.
179
What is the maximum acceptable amount of divergence of the interference screw in the femoral tunnel from the bone plug of a bone-patellar tendon-bone graft in anterior cruciate ligament (ACL) reconstruction before pull-out strength is statistically decreased?
In the early 1990s, a transition was made from a two-incision ACL reconstruction to a single-incision ACL reconstruction, and there was concern over divergence of the femoral screws. It was shown radiographically that approximately 5% of the time, divergence of the screw was greater than 15 degrees from the bone plug. In a bovine model, there was significant loss of pull-out strength with an increase in divergence from 15 degrees to 30 degrees. Therefore, attempts should be made to minimize divergence to 15 degrees or less.
180
What is the effect on knee kinematics following placement of an anterior cruciate ligament (ACL) graft at the 12 o'clock position?
Endoscopic ACL reconstructive techniques may result in a vertical graft placement. The reconstructed ligament will resist anterior translation of the tibia but the graft will not restore rotatory stability. Decreased flexion and extension are caused by placement of the femoral tunnel too anterior and posterior, respectively. Impingement of the graft on the femoral notch is caused by anterior placement of the tibial tunnel or inadequate notchplasty.
181
A favorable outcome following nonsurgical management of a partial tear of the posterior cruciate ligament (PCL) is best associated with
Rehabilitation of the quadriceps muscle following a partial tear of the PCL has been associated with a favorable outcome. The quadriceps acts an antagonist to the PCL because its contraction results in anterior tibial translation, which reduces the tensile stress on the injured ligament. Strengthening of the hamstring musculature increases posterior tibial translation and is contraindicated during the early rehabilitative phase following a PCL injury. Brace use has not been found to significantly alter the outcome following nonsurgical management of PCL tears.
182
Tension force in the anterior cruciate ligament during passive range of motion is highest at
Tension forces in the healthy, as well as the reconstructed, anterior cruciate ligament were measured and found to be highest with the knee in full extension and decreased as the flexion increased.
183
risk factors for acl injury
knee valgus moment, smaller notch width index, hormonal and neuromuscular differences in females versus males, increased tibial slope and meniscal deficiency. ## Footnote In addition, hyperlaxity/recurvatum, young age, prior ACL rupture, familial/genetic predisposition, quadriceps dominance, and altered landing mechanics may be contributing factor
184
tibial eminence avulsion vs acl tear outcomes?
Tibial eminence avulsion fracture fixation versus ACL reconstruction has been shown to result in lower mean clinical outcome scores compared in patients with an ACL tear at a minimum follow-up of 2-years. In addition, more postoperative anterior laxity and a higher rate of postoperative arthrofibrosis have been noted. No difference in subsequent ACL injury rate has been observed
185
after acl tear, when should the patient go to surgery?
After an acute injury, patients should not undergo surgical treatment until the effusion is controlled and full range of motion (especially extension), good quadriceps function, and normal gait have been regained. **Patients who undergo ACL reconstruction prematurely may have a higher risk for postoperative arthrofibrosis.** Advanced osteoarthritis is a relative contraindication. Patients with osteoarthritis may have substantial pain, swelling, and limited motion postoperatively despite a stable knee. Therefore, they may not experience a satisfactory outcom
186
autograft options for acl.
In comparing various autograft options, numerous considerations should be discussed with patients. BTB is associated with less creep and a slightly lower re-rupture rate compared with hamstring autograft, with no substantial difference in graft survival compared to quadriceps autograft. Reported complications of BTB include increased rates of anterior knee pain and slightly higher risk of osteoarthritis. Hamstring autograft is associated with less donor site morbidity compared and a lower midterm and long-term incidence of osteoarthritis compared with BTB; however, it is associated with a longer time to biologic incorporation, weakness with hip extension and terminal knee flexion, and variable lengths and sizes during harvesting. Lastly, quadriceps autograft has gained popularity because of its increased relative graft thickness, availability of a bone block, and higher ultimate load to failure and stiffness compared with BTB. A potential for anterior knee pain and a risk of knee flexion stiffness and quadriceps strength deficiency exist. Prospective, randomized comparison studies on hamstring versus BTB have revealed consistently good subjective outcomes and objective stability.17 Substantial improvement in patient-reported outcomes has been noted with each type of graft.18 A cohort study comparing quadriceps tendon autograft and hamstring autograft favored quadriceps tendon autograft without increased morbidity.19 ## Footnote Graft Selection Higher failure rate with allografts compared with autografts Higher failure rate with hamstring tendon autografts compared with bone-patellar tendon-bone and quadriceps tendon autografts More articular cartilage deterioration with allografts compared with autografts Poorer patient-reported outcomes with allografts compared with autografts Longer time to return to sports activity with allografts compared with autografts2-5
187
# ACL complications Arthrofibrosis: Retear: rates? Hardware failure: graft screw divergence greater than? Malpositioning? Instability? lack of full extension occurs in?
Arthrofibrosis: uncommon, more likely in multi-lig. Retropatellar fat pad fibrosis may require repeat arthroscopy with lysis of adhesions, careful scrutiny to address any cyclops lesions, and anterior interval release. A level I study reported a failure rate of 20% in 18-year-old patients who were treated via an allograft versus 6% in patients who were treated via an autograft.1 In 40-year-old patients, a failure rate of 3% occurred with allograft versus 1% with autograft. Graft-screw divergence greater than 15° to 30° may lead to failure Lack of extension is more common after multiligament reconstruction. In some patients, manipulation under anesthesia or revision surgery may be required for persistent arthrofibrosis. Loss of full extension may occur secondary to scarring from the graft or if remaining ACL tissue scars and forms a cyclops lesion (nodular scar tissue formed anterior to the ACL graft, blocking extension). This may require secondary surgery to remove the tissue that blocks full extension. Femoral tunnel malpositioning from technical error was documented in 80% of patients. Intra-articular pathology in the form of articular cartilage damage of all cartilage surfaces is higher in patients who undergo ACL revision surgery than in patients who undergo primary ACL reconstruction. Prior partial meniscectomy portends a poor prognosis with regard to articular cartilage damage in revision procedures. Higher rates of primary graft failure have been observed in patients with hyperlaxity who undergo allograft reconstruction. The surgeon is the most important factor influencing graft selection for ACL revision surger
188
most common error in acl reconstruction?
The most common malposition is a femoral tunnel that is positioned too distally (shallow) and too anteriorly (high); The most common error in ACL reconstruction is placing the femoral tunnel too anteriorly, resulting in decreased range of motion, altered kinematics, and ultimately graft failure ## Footnote With a single-incision transtibial technique, the tibial tunnel should begin at the anterior aspect of the tibial insertion of the medial collateral ligament to allow the graft to be placed obliquely and arrive at the 10:30-o’clock or 1:30-o’clock position on the intercondylar notch of the femur. If the tibial tunnel is drilled too anteriorly on the tibia, the graft will be vertically placed, which is not desirable (although this is less common). Surgeons must understand that the direction of the tibial tunnel influences femoral tunnel placement if using a single-incision technique (if the femoral tunnel is drilled through the tibial tunnel). This problem can be avoided by drilling the femoral tunnel through a medial portal or by using a two-incision techniqu
189
risk of delayed reconstruction in skeletally immature ACL injury
Vavken and Murray38 reviewed 47 studies on the outcomes of surgical and nonsurgical management of ACL injuries in pediatric patients and reported that surgical reconstruction was associated with superior outcomes with regard to patient outcomes, future instability, and development of secondary injuries. Studies have shown a time-sensitive effect on delayed ACL reconstruction in pediatric patients with regard to the development of secondary injuries.39,40 Lawrence et al39 showed that reconstruction delayed more than 12 weeks was associated with a fourfold increase in medial meniscal tears, a 5.6-fold increase in medial compartment chondral injury, and an 11.5-fold increase in lateral compartment chondral injury. The authors also noted a continuous time-dependent relationship between surgical delay and the development of medial meniscal or lateral/patellofemoral chondral injuries. A recent series noted a 6% increased risk of meniscal tear per month of ACL reconstruction delay.13
190
Which of the following physical examination findings is most likely present in the condition producing the MRI findings shown in Figure 1?
Pivot shift, ACL tear. Bone bruise pattern Lateral femoral condyle and tibial plateau ## Footnote The T2-weighted sagittal MRI scan shows the classic "bone bruise" pattern seen with an anterior cruciate ligament (ACL) tear. These lesions are thought to represent subcortical trabecular hemorrhages and are manifested as an increase in signal intensity on T2-weighted images and diminished signal intensity on T1-weighted images. They are classically located in the mid-portion of the lateral femoral condyle and posterior aspect of the lateral tibial plateau. This is due to the fact that an ACL tear typically is the result of a valgus-external rotation of the femur on the fixed tibia. This places most of the weight-bearing stress on the lateral femoral condyle, which rotates laterally and impacts the posterior lip of the lateral tibial plateau. This may result in an impaction fracture if the force is great enough, but more frequently causes merely a microfracture of the involved subcortical trabeculae.
191
Which of the following is the most relevant clinical factor in the maturation assessment of an adolescent female athlete contemplating anterior cruciate ligament (ACL) reconstruction?
Age of menarche ## Footnote Age of menarche is the most accurate clinical factor to assess the degree of skeletal maturity in the female athlete. Such an assessment is necessary prior to ACL reconstruction in a skeletally immature female because of the risk of damage to the distal femoral and proximal tibial physes. Height of an older male sibling is not relevant to the female athlete. Parental height and recent change in shoe size are only moderately useful in predicting final growth, and hence, skeletal maturity. The presence of breast buds occurs early in adolescent development; therefore, its presence suggests a high likelihood of future growth.
192
A 10-year-old boy presents at a clinic after sustaining a noncontact injury to his right knee. Physical examination shows increased anterior translation of the tibia in relation to the femur with the knee flexed to 30 degrees with a soft end point. He has a small joint effusion and no medial or lateral joint line tenderness. Plain radiographs and bone age confirm that he has open physis with a skeletal age of 10 years. MRI shows a complete disruption of the anterior cruciate ligament (ACL). What treatment option gives the patient the highest chance of return to activities and the lowest risk of near-term complications in the knee?
multiple studies have shown decreased return to activity rates and increased risk of concomitant meniscal or chondral injuries when delaying surgery. Current recommendations based on multiple studies now demonstrate increased risk of concomitant meniscal or chondral injuries from delaying surgery, with decreased rates of return to activity. In skeletally immature children with significant growth remaining (<12 years-old in females, <13 years-old in males), it is recommended that ACL reconstruction techniques attempt to avoid violating the physes around the knee because of the risk of limb-length discrepancy and angular deformity. These include iliotibial band reconstruction techniques and all epiphyseal ACL reconstructions.
193
tibial tunnel placement
The desired anatomic anterior-posterior and medial-lateral center of the tibial ACL tunnel is located at approximately 43% of the sagittal diameter (measured from anterior) and 47% of the coronal diameter (measured from medial) of the tibial plateau, respectively. The angulation of the tibial tunnel should be oriented according to the inclination of the roof of the intercondylar notch. A tibial tunnel that is placed too anteriorly and misplacement in the medial-lateral orientation are associated with graft impingement. A tibial tunnel that is placed too posteriorly leads to a vertical graft orientation with insufficient restoration of rotatory knee laxity ## Footnote Sagittal, T2-weighted, fast-spin echo fat-suppression MRI of the knee of a patient who underwent anterior cruciate ligament reconstruction shows tibial tunnel malpositioning, which is too posterior at 54% of the anteroposterior distance (not the recommended 43%), leading to a vertical anterior cruciate ligament graft
194
Graft fixation: 4 keys
Preconditioning Pretensioning 10° to 30° of knee flexion Reduction of tibiofemoral joint orientation ## Footnote Biomechanical studies investigating the material properties of tendon grafts and the structural properties of a tendon graft in addition to a fixation device construct have demonstrated plastic deformation (permanent elongation) after cyclic loading because of viscoelastic construct properties.10,11 Viscoelasticity is a material property combining viscous (resistance to deformation) and elastic (ability to return to size and shape after temporary deformation during load application) characteristics in response to load application. Therefore, preconditioning of the graft before fixation and pretensioning of the graft to 40 to 80 N during fixation are recommended to prevent graft slackening. Given the anisometric behavior of the ACL (ACL fiber length change occurs throughout range of motion [ie, the ACL is most taut near full extension and less taught in flexion]), knee joint orientation during graft fixation is essential. Accordingly, graft fixation is recommended in approximately 10° to 30° of knee flexion combined with a slight posteriorly directed force on the proximal tibia and axial tension on the draw sutures to ensure a reduced, native tibiofemoral joint position.
195
Which risk factor is associated with the highest rate of recurrent ACL rupture following reconstruction?
The most critical risk factor for ACL reconstruction is age younger than 20 years
196
What is wrong with this tunnel placement? Assuming graft failure and appropriate new positioning, what would you expect to improve on exam? anterior drawer vs pivot shift?
Too vertical of femoral tunnel. Pivot shift. The postsurgical images reveal a much more anatomic position of the femoral tunnel that should provide better rotational control of the knee, thereby improving the pivot shift (compared to the vertical femoral tunnel).
197
Postsurgically, the patient recovers well and is fully rehabilitated. He demonstrates full motion with no instability or pain and is cleared to return to play 12 months after the surgery. He asks for your a**dvice regarding use of a functional brace for playing basketball following his reconstruction. What is the most appropriate recommendation**
The athlete may wear a functional brace for athletic activities; however, no evidence exists to show the brace decreases the rate of ACL retear.
198
A 24-year-old former high school wrestler had anterior cruciate ligament (ACL) reconstruction with hamstring autograft 6 years ago. He now experiences daily instability of his knee with routine activities including walking. Examination reveals a grade 3+ Lachman test with a soft endpoint, varus laxity at 30ø, and a positive dial test at 30ø that dissipates at 90ø of knee flexion. He has mild medial joint line tenderness. When walking, there is a slight varus thrust. Radiographic alignment is neutral. What treatment is most likely to lead to a successful outcome?
revision acl + plc recon ## Footnote This patient underwent an ACL reconstruction that has now failed. Based on his examination, he also has a posterolateral corner injury. Because this concomitant injury was not treated, the patient had undue strain on his graft, resulting in ultimate failure. Hamstring grafts are as effective as other graft types for ACL reconstruction. The medial meniscus provides secondary stabilization to the knee; however, this patient has a missed lateral ligamentous injury, and meniscus tears do not result in the development of a varus thrust. An unrecognized PCL tear likely results in mild-to-moderate medial and patellofemoral osteoarthritis without significant lateral laxity and thrust.
199
what is wrong with this positioning?
anterior and vertical placement of his femoral tunnel, which has been shown to cause stiffness in knee flexion. Technical failure is the most common reason for ACL reconstruction failure. Tunnel position is the most frequent cause of technical failure. Malpositioning of the tunnel affects the length of the graft, causing either decreased range of motion or increased graft laxity. This patient has anterior and vertical placement of his femoral tunnel, which has been shown to cause stiffness in knee flexion. Although graft choice is an important factor when planning ACL reconstruction, overall outcomes with autograft tissues are fairly similar. Fixation of the graft at the femoral or tibial end is not as important as tunnel position. Fixing the graft in flexion can cause extension loss when isometry is not achieved, but this condition is not touched upon in this scenario. ## Footnote Figures 1 and 2 are the radiographs of a 21-year-old football player who underwent anterior cruciate ligament (ACL) reconstruction with patellar tendon autograft 1 year ago. He reports mild stiffness in his knee. Upon examination, he has a negative Lachman test, trace effusion, and range of motion from 0 to 85ø of knee flexion.
200
Multilig knee: optimal timing of surgery? obesity effects? early arthroscopy associated with?
he optimal timing of surgery after multiligament knee injury remains unclear. Two systematic reviews demonstrated superior clinical outcome scores after early treatment, including higher mean Lysholm scores and a higher percentage of good/excellent International Knee Documentation Committee scores. Early treatment was associated with increased residual anterior knee instability but no difference in posterior instability, varus laxity, or valgus laxity. Although numbers were limited, the average range of motion and rate of extension loss of at least 5 degrees was similar between groups. More patients in the early-treatment group demonstrated a higher rate of flexion loss of 10 or more degrees and an increased need to undergo a second procedure to address arthrofibrosis, including manipulation under anesthesia and arthrolysis. Return to work did not significantly differ between groups, but return to sports was lower in the early-treatment group. Evidence demonstrates a higher rate of low-energy mechanisms resulting in multiligament knee injury and an increased odds ratio for complications among obese (≥ 30 degrees kg/m2 patients, including wound complications and neurovascular injury. The complication rate increased 9.2% for every 1-point increase in body mass index. There is no association between complication rate and age, injury mechanism, or timing of surgery. Orthopaedic surgeons performing arthroscopy during the early postinjury period must be mindful of the extensive soft-tissue damage present in these patients, including potential capsular defects. Use of high-pressure irrigation can lead to substantial fluid extravasation into the thigh or lower leg compartments, placing patients at increased risk for compartment syndrome. In addition to avoiding high-pressure irrigation, some orthopaedic surgeons have advocated the creation of generous capsular incisions during portal establishment to allow for ready egress of irrigation fluid from the portal sites rather than into soft tissues. ## Footnote Surgery w/ in 3 weeks offers: Higher subjective outcome scores
201
Which of the following knee ligament injury patterns is most associated with an increase in external tibial rotation with the knee at 90 degrees of flexion?
Combined tears of the posterior cruciate and lateral collateral ligaments ## Footnote Cadaveric studies have shown that external rotation of the tibia is most pronounced following transection of the posterior cruciate and lateral collateral ligaments with the knee at 90 degrees of flexion. Isolated release of the lateral collateral ligament results in increased external tibial rotation at 30 degrees.
202
An 18-year-old high school basketball player is being treated for Achilles tendinitis. What type of strengthening exercise has been shown to be helpful in the later phases of rehabilitation?
Eccentric strengthening for tendinopathies has proved most helpful in the later stages of rehabilitation. Although the exact mechanism of the effect on eccentric exercises is not known, the most widely accepted theory is that the absence of concentric stretching disrupts the normal lengthing/shortening cycle which may cause shearing in the tendon and injury to the collagen. Isokinetic exercise maintains a constant angular velocity of joint motion. Isotonic exercise maintains a constant force of contraction while isometric contraction develops force without changing the length of the musculotendinous unit. All three types of these exercises have not been shown to benefit Achilles tendinitis as much as eccentric exercise.
203
Which of the following most accurately approximates the estimated risk of a musculoskeletal allograft containing the human immunodeficiency virus (HIV) despite adequate screening?
1:1.6 million ## Footnote The calculated risk of a musculoskeletal allograft containing HIV despite adequate screening has been estimated to be approximately 1 in 1.6 million. This estimate is based on the risk of HIV in the population, projected population estimates, and current methods of donor screening.
204
# ACL grafts Shortest biologic incorporation after surgical reconstruction? Highest ultimate tensile load (UTL)? highest risk of disease transmission
Anterior cruciate ligament (ACL) graft incorporation into bone follows a multiphase pattern. The first phase is an inflammatory response with initial donor cell degeneration and provision of a scaffold for host cell migration (occurs in up to 20 days). The second phase involves revascularization and host cell fibroblast migration (20 days to 6 months). The final phase involves completion of graft healing and remodeling into a more organized pattern of collagen structure. Bone-to-bone healing has been found to have the shortest duration at approximately 6 weeks. Multiple studies have evaluated the UTL of the intact ACL and various tissues used for ACL reconstruction. The quadruple hamstring autograft of equivalent diameter has the highest UTL of the examples given at approximately 4000 N. In comparison, the native ACL and the bone-tendon-bone autograft have a UTL of approximately 2100 N and 3000 N, respectively. Allograft carries the highest risk for disease transmission among the examples in this question. These risks are low and largely eliminated with the screening guidelines developed and updated by the American Association of Tissue Banks.
205
A 19-year-old running back lands directly on his anterior knee after being tackled. He has mild anterior knee pain, a trace effusion, a 2+ posterior drawer, a grade 1+ stable Lachman, no valgus laxity, and negative dial tests at 30 degrees and 90 degrees. What is the best treatment strategy at this time?
isolated PCL injury: quad strengthening program The examination is consistent with a grade II injury to the PCL. In this scenario, the best initial option is nonsurgical treatment and return to play as symptoms subside and strength improves. Physical therapy with a focus on quadriceps strengthening and delayed PCL reconstruction is not the answer because this patient can likely be treated without surgery. The absence of valgus laxity and negative dial testing findings suggest that an injury to the posteromedial and posterolateral corners has not occurred. Initial nonsurgical treatment is indicated for this patient. If he completes rehabilitation and experiences persistent disability with anterior and/or medial knee discomfort or senses the knee is "loose," PCL reconstruction should be considered at that time.
206