Paediatric Perio Flashcards

(27 cards)

1
Q

What are the classifications in the 2017 world workshop?

A

Periodontal health

Gingivitis - plaque biofilm induced

Gingival diseases and conditions non-plaque biofilm induced

Necrotising periodontal disease

Periodontitis

Periodontitis due to systemic disease

Systemic disease affecting periodontal condition

Periodontal abscesses and endo-perio lesions

Mucogingival deformities/conditions

Traumatic occlusal forces

Tooth and prosthesis related factors

How well did you know this?
1
Not at all
2
3
4
5
Perfectly
2
Q

What is classed as periodontal health?

A

Normal function due to being free of inflammatory disease and free from physical or mental consequences of any past states

How well did you know this?
1
Not at all
2
3
4
5
Perfectly
3
Q

Clinically how is periodontal health seen in children?

A

Plaque one sextant only

BOP 10%>

No inflammation or calculus

GM mm coronal to CEJ

0.5-3mm deep gingival sulcus on fully erupted tooth

How well did you know this?
1
Not at all
2
3
4
5
Perfectly
4
Q

How can someone have reduced periodontium but periodontal health?

A

Non-perio patient who has had crown lengthening surgery or recession

Perio patient with stable periodontitis

How well did you know this?
1
Not at all
2
3
4
5
Perfectly
5
Q

How does plaque induced biofilm cause gingivitis?

A

Plaque causes inflammatory cells to infiltrate into gingival connective tissue

Junctional epithelium migrates allowing for apical migration of plaque causing further inflammation, gingival pocket or false pocket

How well did you know this?
1
Not at all
2
3
4
5
Perfectly
6
Q

What clinically determines if someone has plaque induced gingivitis?

A

Inflammation, BOP, most apical extension of junctional epithelium is CEJ

NO PERIODONTAL ATTACHMENT LOSS

How well did you know this?
1
Not at all
2
3
4
5
Perfectly
7
Q

What can cause non-dental biofilm induced gingivitis?

A

Genetics

Trauma

Systemic disease such as immunological conditions

Drug induced - Ca channel blockers or immunosuppressants

Infections - viral/fungal etc

How well did you know this?
1
Not at all
2
3
4
5
Perfectly
8
Q

Give some aetiologies of necrotising gingivitis

A

Fusiformspirochaetal microbial

Smoking

Immunosuppression

Stress

Malnourishment and poor diet

Tooth malposition

HIV

How well did you know this?
1
Not at all
2
3
4
5
Perfectly
9
Q

Give some features of necrotising gingivitis

A

Pain

Necrosis of papillae (punched out)

Ulceration

Spontaneous bleeding

Fever

How well did you know this?
1
Not at all
2
3
4
5
Perfectly
10
Q

What are some predisposing factors (local risk factors - to oral cavity) that can contribute to progression of disease of periodontium?

A

Malocclusion e.g. misaligned teeth

Traumatic injury to periodontal ligament

Plaque retentive factors
- orthodontics
- enamel defects
- restoration margins
- Incompetent lips causing oral dryness

How well did you know this?
1
Not at all
2
3
4
5
Perfectly
11
Q

What are some systemic risk factors that can predispose someone to periodontal disease

A

Uncontrolled diabetes

Pregnancy and puberty

Smoking

Vitamin C deficiency

Leukaemia

How well did you know this?
1
Not at all
2
3
4
5
Perfectly
12
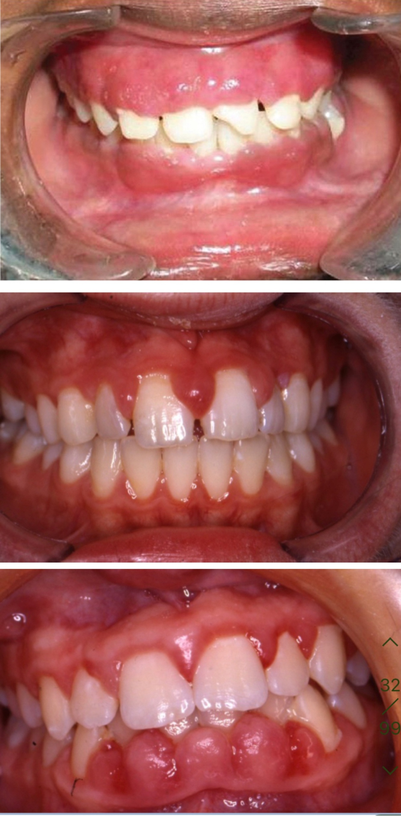
Q

What caused each of these cases? What leads to this diagnosis?

A

A = leukaemia

  • not too much plaque vs amount of swelling = systemic issue

B = cyclic neutropenia

  • same as A
How well did you know this?
1
Not at all
2
3
4
5
Perfectly
13
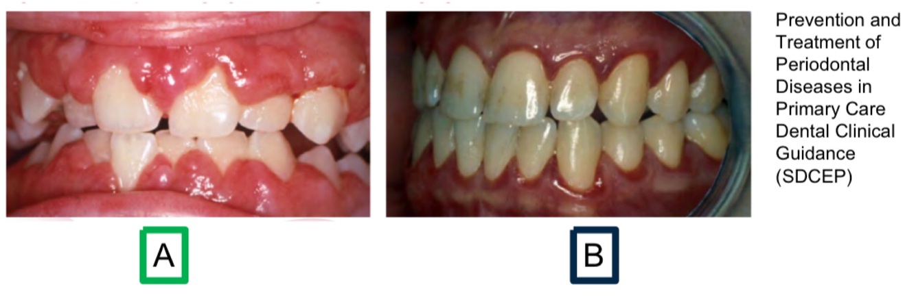
Q

What is this condition and some aetiological factors?

A

Gingival overgrowth

  • medications such as cyclosporine, phenytoin or CCBs
  • periodontitis or gingivitis
  • autoimmune disease

(Greater incidence in puberty)

How well did you know this?
1
Not at all
2
3
4
5
Perfectly
14
Q

Give some treatments for gingival overgrowth

A
  • rigorous home care
  • regular PMPR
  • possible surgery especially if drug induced
How well did you know this?
1
Not at all
2
3
4
5
Perfectly
15
Q

When should one refer a patient?

A

Where extent of condition is inconsistent with the level of oral hygiene observed

Unexplained

  • gingival enlargement
  • inflammation
  • bleeding
  • mobility
How well did you know this?
1
Not at all
2
3
4
5
Perfectly
16
Q

Describe periodontitis

A

A chronic multi factorial disease affecting the tissues of the periodontium

Associated with microbial imbalance and plaque biofilm

17
Q

What are the 4 main identifiers of periodontal disease

A

Apical migration of junctional epithelium past CEJ

Loss of periodontal attachment

Junctional epithelium becomes pocket epithelium (thin and ulcerated)

Alveolar bone loss

18
Q

Give some features of necrotising PERIODONTAL disease

A

Necrosis of the papilla

Spontaneous bleeding

PDL loss and rapid bone loss (diff to gingivitis)

Fever

19
Q

What is necrotising stomatitis?

A

Progression of necrotising into the soft tissues, not just the gingiva

  • due to severely systemically compromised patients
20
Q

What determines if periodontitis is molar-incisor pattern if generalised

A

Generalised is >= to 3 teeth with periodontal disease other than incisors and first molars

21
Q

What systemic diseases may cause periodontitis as a manifestation of systemic disease

A

Neutropenia’s

Papillon lefevre syndrome (PLS)

Down syndrome

Leukocyte adhesion deficiency syndrome

22
Q

What are the stages of recording periodontal condition when screening for peridontal disease

A
  1. Gingival condition and sBPE
  2. OH status, plaque amount
  3. Calculus present
  4. Assess local and systemic risk factors
23
Q

What ages use sBPE

What ages use BPE

When do you use codes 0-2 and codes 0-*?

A

sBPE = 7-18

BPE 18+

Codes 0-2 used for ages 7-11

Codes 0-* used ages 12+

24
Q

How manage code 1? When recall?

A

OHI, 1 year or routine recall

25
How manage code 2? When recall?
OHI, supragingival PMPR, modify PRF Recall 1yr or routine recall
26
How manage code 3?
OHI, sub and supra gingival PMPR, modify PRF, appropriate radiographic assessment Recall 3 months and 6ppc sextant with code 3
27
How manage code 4 or *
OHI, modify PRF, supra and subgingival PMPR, full periodontal assessment including FM6PPC and radiographs and consider referral as this is unusual for paediatric patient