Osteoarthritis: number of joints affected? inflammatory vs non? timing? distribution?

osteoarthritis: general features? (progression, cause, age of patients, morning stiffness, appearance of joints?)
slowly progressive, disintegration of cartilage. cause unknown. generally age >50, morning stiffness < 30 min, crepitus, no inflammation, bony enlargement/tenderness can cause secondary damage to surrounding structures

primary osteoarthritis - prevalence?
very common. most people get this as they age.
secondary osteoarthritis - what is the cause?
degenerative process that was preceded by RA, mechanical or metabolic problem (excessive Fe, ACL tear)
OA: what is seen on labs? (ESR, RF titer, fluid aspiration)
ESR < 40
RF Titer < 1:40
non-inflammatory synovial fluid
OA: what is seen on imaging?

RA is a disease of what part of the joint?
the synovium. synovium proliferates (almost tumor-like)

psoriatic arthritis is a disease of what part of the joint?
synovium and enthesis (tendon)

gout, pseudogout, septic arthritis are diseases where what is occuring?
infection and the presence of things in the joint that don’t belong there (urate crystals, bacteria, CPPD- which are another kind of crystals)

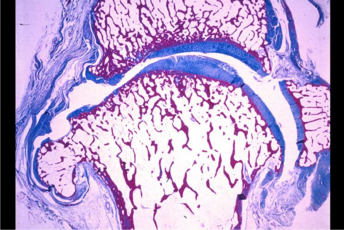
OA is a disease of what part of the joint?
cartilage. wears away over time

Two features of the joint seen in early stage of OA?

Three features of the joint seen in later stage of disease?

Articular/hyaline cartilage: what is the main purpose? general qualities? what is it made of?

what lies directly beneath articular/hyaline cartilage?
subchondral bone
what happens to cartilage in early OA? (grossly)
what happens to cartilage in early OA, at the histological level?

Later in OA progression: what happens to cartilage? bone? infiltrates? other structures?

general qualities of chondrocytes? (metabolic activity? vascular supply? what do they do? regeneration?)
OA: what cell type is the main problem?
chondrocytes
generally, how do chondrocytes contribute to OA?
normally they are quiescent cells, but in response to stress/injury they will activate –> promote matrix degradation and downreg repair.

what are the specific processes by which chondrocytes contribute to OA?
chondrocyte stress leads to proliferation and stress response such as growth factors, cytokines, cartilage-degrading proteinases, other inflammatory mediators -> matrix degradation

matrix degradation leads to what?
matrix degradation products feedback and upregulate the chondrocyte stress response -> vicious cycle. may also release anabolic factors -> osteophyte formation

which joints does OA most commonly affect?
hands, hips, knees
Hand involvement with OA: distribution by gender? which joints most affected?
-Females 4x more likely to have hand involvement than men (more freq found post-menopause). especially basilar thumb joint (first carpometacarpal - CMC).
-Male: wrists more common (possibly occupation-related)
-Both: DIP, PIP
