Chapter 29 - Oral cavity Flashcards

(202 cards)

1
Q

Which system of dental nomenclature is used in equine dentistry?

A

The modified Triadan system

How well did you know this?
1
Not at all
2
3
4
5
Perfectly
2
Q

How long can the reserve crowns of equine cheek teeth be?

A

Less than 10 cm

How well did you know this?
1
Not at all
2
3
4
5
Perfectly
3
Q

How many roots do mature maxillary cheek teeth typically have?

A

Three roots

How well did you know this?
1
Not at all
2
3
4
5
Perfectly
4
Q

How many roots do mandibular cheek teeth usually have?

A

Two roots (rostral and caudal roots)

How well did you know this?
1
Not at all
2
3
4
5
Perfectly
5
Q

How many pulp horns do the Triadan 08 to 10 cheek teeth have?

A

Five pulp horns

How well did you know this?
1
Not at all
2
3
4
5
Perfectly
6
Q

How many pulp horns do the Triadan 06 and 11 cheek teeth have?

A

Six pulp horns for T06 and the seven pulps for T11

How well did you know this?
1
Not at all
2
3
4
5
Perfectly
7
Q

What dental structure is present in maxillary cheek teeth but absent in mandibular cheek teeth?

A

Infundibulae

How well did you know this?
1
Not at all
2
3
4
5
Perfectly
8
Q

What percentage of infundibulae are incompletely filled with cement?

A

90%

How well did you know this?
1
Not at all
2
3
4
5
Perfectly
9
Q

What condition can result from incompletely filled infundibulae?

A

Caries

How well did you know this?
1
Not at all
2
3
4
5
Perfectly
10
Q

Which are the central cheek teeth?

A

Triadan 08s to 10s that are rectangular on cross section and have 5 pulp horns

How well did you know this?
1
Not at all
2
3
4
5
Perfectly
11
Q
A

Figure 29-3. Identification of the individual pulp chambers of mature equine cheek teeth using a recently modified system of pulp nomenclature by du Toit et al.4 The 06s (left side of figure) have six pulp horns. The 07s to 10s (center of figure) have five pulp horns. The 11s (right side of figure) have six or seven horns.
Figure

How well did you know this?
1
Not at all
2
3
4
5
Perfectly
12
Q

What happens to the maxillary cheek teeth have 2 infundibulae that in 90% are incompletly filled with normal cement?

A

later develop
caries that can lead to more significant disease (Figure 29-5)

How well did you know this?
1
Not at all
2
3
4
5
Perfectly
13
Q

Do mandibular cheek teeth have infundibulae?

A

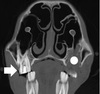
No however some infoldings of peripherial cement can give the appearance of such (figure 29-6)

How well did you know this?
1
Not at all
2
3
4
5
Perfectly
14
Q
A

Figure 29-1. The modified Triadan system of equine dental nomenclature.
To identify deciduous teeth, add 4 to the first number of its permanent
successor. For example, the deciduous incisor 501 is replaced by permanent
incisor 101.

How well did you know this?
1
Not at all
2
3
4
5
Perfectly
15
Q
A

Figure 29-2. Partially dissected left side of the head of a young adult horse showing the great length of the cheek teeth reserve crowns that have now developed roots (enamel-free areas) on their apical aspects. The relationships of the four caudal upper cheek teeth to the maxillary sinuses is apparent in this dissection, as is the angulation of the caudal and rostral cheek teeth that keeps the occlusal aspect of all cheek teeth in tight contact.

How well did you know this?
1
Not at all
2
3
4
5
Perfectly
16
Q
A

Figure 29-4. Diagram of a longitudinal section in the sagittal plane of a young maxillary cheek tooth, with normal curvature, showing both infundibulae filled with cement. The pulp horns usually extend to about 10 mm beneath the occlusal surface. Note that the occlusal surface is a sandwich of cementum, dentine, and enamel, with the harder enamel ridges protruding on the occlusal surface.

How well did you know this?
1
Not at all
2
3
4
5
Perfectly
17
Q
A

Figure 29-5. Cross section of a maxillary cheek tooth (Triadan 07-10 position) showing the five numbered pulp horns (P1 to P5), rostral infundibulum (RI), and caudal infundibulum (CI). As is often the case, the rostral infundibulum is incompletely filled with cementum and may later develop caries.

How well did you know this?
1
Not at all
2
3
4
5
Perfectly
18
Q

How frequently should horses in certain performance disciplines (e.g., dressage) have dental exams?

A

At least every 6 months.

How well did you know this?
1
Not at all
2
3
4
5
Perfectly
19
Q
A

Figure 29-6. Diagram of a longitudinal section in the sagittal plane of a young mandibular cheek tooth showing the common pulp chamber and some individual pulp canals that contain the pulp horns. Mandibular cheek teeth do not contain infundibulae, but have deeply infolded peripheral cementum that can resemble infundibulae

How well did you know this?
1
Not at all
2
3
4
5
Perfectly
20
Q

What symptoms can indicate possible dental disease during an external exam?

A

Swelling of the mandible or maxilla and identification of draining tracts.

How well did you know this?
1
Not at all
2
3
4
5
Perfectly
21
Q

What should be suspected in horses with unilateral nasal discharge and ipsilateral lymphadenitis?

A

Dental disease.

How well did you know this?
1
Not at all
2
3
4
5
Perfectly
22
Q

What are indicators of dental sinusitis?

A

Occlusal pulpar exposure or a midline sagittal fracture through the infundibulae.

How well did you know this?
1
Not at all
2
3
4
5
Perfectly
23
Q

Indications of oral pain

A

Evidence of weight loss and observation of
slow mastication, abnormal masticatory movements, or quidding
(dropping partly masticated food from the mouth)

How well did you know this?
1
Not at all
2
3
4
5
Perfectly
24
Q

How to perform dental exam

A

To assess jaw mobility, the rostral aspect of the mandible should be pushed sideways with the mouth closed and the distance of lateral movement of the lower incisors in relation to their upper counterparts
Palpation through the cheeks
A useful test for suspected cases of dental disease is to feed the (unsedated) horse a small amount of forage

How well did you know this?
1
Not at all
2
3
4
5
Perfectly
25
What can block the lateral movement of the mandible during jaw mobility assessment?
Major cheek tooth overgrowths.
26
What tools are essential for a thorough visual examination of equine cheek teeth?
A full mouth speculum, headlight, and mirror or oral endoscope.
27
What dental condition can be detected by palpation through the cheeks?
Food pocketing, displaced or missing teeth, or overgrowths.
28
What can a pain response during cheek palpation suggest?
Buccal ulceration or dental fractures.
29
What solution can be used to flush food from the oral cavity during dental exams?
Water or a 0.1% chlorhexidine solution.
30
What should be examined to detect pulpar exposure or dental fractures?
The occlusal surfaces of each cheek tooth.
31
What percentage of infected mandibular cheek teeth show pulpar exposure?
34%
32
What percentage of infected maxillary cheek teeth show pulpar exposure?
23%.
33
What tool is used to assess pulpar exposure on the occlusal surface of cheek teeth?
A fine steel probe.
34
What type of neoplasia can originate on the hard palate and be detected during oral examination?
Sinus carcinoma.
35
What is the correct term for a rostral projection of the upper incisors beyond the lower incisors in a horizontal plane?
Overjet.
36
What term describes the upper incisors growing down in front of the lower incisors in a vertical direction?
Overbite.
37
Which condition refers to a shortness of the mandible?
Mandibular brachygnathism.
38
What is a potential consequence of overjet and overbite in older horses?
Overgrowth of upper incisors, resulting in a "smile."
39
What treatment is used to correct overjet in foals?
Incisor orthodontic brace with steel wires.
39
At what age is the tension band surgery best performed in foals?
Around 3 months of age up to 8 months of age
40
What condition may worsen overbite if only an orthodontic brace is used?
Caudo-ventral deviation of the upper incisors and incisive bone.
41
What device is used in conjunction with an orthodontic brace to treat overbite?
Biteplate (2-4 mm thick)
42
What can be used to attach a biteplate to the teeth?
Polymethyl methacrylate (PMMA).
43
What problem may arise when a foal with a biteplate is nursing from its dam?
The biteplate may hurt the mare’s udder.
44
What should be done if a foal is uncomfortable with the brace?
Administer NSAIDs and antigastric ulcer medication, such as omeprazole.
45
Overjet The wires are fixed around the caudal aspect of which teeth?
caudal aspect of the 507 and 607 (deciduous third premolar) to retard growth of the incisive bone (premaxilla) and maxilla
46
Which product promotes reparative tertiary dentine formation?
Calcium hydroxide or mineral trioxide aggregate (MTA) pulp dressing
47
What new tx is available for active lengthening of the mandibular bodie?
A newer technique involves active lengthening (mandibular osteodistraction) of the mandibular bodies following osteotomies and bilateral implantation of a ratchet device - chapter 104
48
What age is ideal for overjet correction with tension bands?
Tension band surgery is best performed at around 3 months of age, but it can be of value in foals up to 8 months old.
49
Describe the first skin incision to place the wiere between 07 and 08s
A **1-cm horizontal** incision is made in the skin of the **cheeks as dorsally as possible** to avoid damaging the dorsal **buccal branch**, opposite the interdental spaces between the upper **07s and 08s**. A short Steinmann pin fitted to a Jacobs chuck or **2.5 mm dental drill** can be pushed through the skin wound to puncture the cheeks and enter the oral cavity (Figure 29-10). Using a finger in the oral cavity for guidance, the point of the pin or drill is directed into the interdental (interproximal) space as close to the gingival margin as possible, and it is subsequently forcibly pushed (while twisting) through this tight space and directed **dorsomedially** to exit at the medial (palatal) interdental space, again close to the gingiva (at the border of the hard palate). The Steinmann pin is withdrawn and a 14-gauge needle is inserted along its path, followed by insertion of a **1.25-mm diameter stainless-steel wire** of **60 cm** in length through the needle into the interdental space and into the oral cavity. The external free end of the wire is now directed through the buccal incision into the oral cavity, directly adjacent to the initially passed part of the wire,
50
What can occur as complication of the buccal horizontal incision if not made as dorsal as possible?
If you do not avoid the avoid **damaging the dorsal buccal branch**, temporary neuropraxia of buccal branches of the **facial nerve** or **hematoma formation** can occur following this buccal incision
51
The two free ends of the wire from the mouth are placed what is the next step?
The two free ends of the wire are withdrawn from the mouth on either side of the cheek teeth, making them even in length. While pulling them rostrally, the **free ends are twisted together back** to the rostral border of the upper 06s, as dorsally as possible. The twisted wires are then placed over the labial (vestibular) aspect of the upper incisors. The procedure is repeated on the other side of the mouth, and the free ends of both **pairs of wires are twisted tightly together**, just **below the gingival borders** of the upper incisors (or interwoven between incisors at their gingival level) and their ends are trimmed (Figure 29-12). The wire knot should be embedded in **polymethyl methylacrylate (PMMA/acrylic)** to prevent soft tissue trauma.
52
If you have overbite instead of overjet the tx of wires only will worsen the overbite. What should you add to the tx?
The biteplate can be fashioned from a perforated (2- to 4-mm thick) aluminum plate that is cut to fit the shape of the rostral aspect of the maxillary incisors and hard palate, extending caudad about 4 to 5 cm (approximately 2 in) from the incisors.
53
In case of overbite which overgrowths should be addressed?
Any overgrowths on the **rostral aspects** of the **upper 06s** and on the **caudal aspects of the lower 08s** should be rasped off, to promote free rostrocaudal mandibular movement
54
Orthodontic treatment is feasible in adult horses?
Orthodontic treatment is **not feasible in adult horses**. Large overjet/overbite incisor overgrowths in adult horses should be reduced using power or manual instruments, in stages of about **3 mm every 3 to 4 months**, to prevent pulpar exposure
55
Prognathism (“undershot jaw” or “underbite” or sow mouth) is rare in Equidae, except in
**miniature horses and donkeys**, and is usually clinically insignificant
56
What percentage of foals in the largest study showed complete reduction of overjet?
25%.
57
What condition is also referred to as “sow mouth”?
Underbite (prognathism).
58
What are the common clinical signs of underbite in miniature horses and donkeys?
Concave occlusal surface of the upper incisors (a “frown”).
59
When are retained deciduous incisors usually problematic?
Deciduous incisors normally lie **rostral (i.e., labial)** to their permanent counterparts, are occasionally retained beyond their normal time of shedding and they usually cause the permanent incisor to be **displaced caudally (lingually/palatally)** leading to permanent changes in the incisor occlusal surface.
60
How are loose deciduous incisors extracted?
Using small-animal dental extraction forceps.
61
What should be done if a retained deciduous incisor is firmly attached?
Use local anesthesia and incise the surrounding tissue before extraction.
62
What technique is used to extract a deeply retained deciduous incisor?
Surgical extraction with elevation of a gingival flap.
63
What are supernumerary incisors?
Permanent teeth additional to the normal six incisors in each arcade.
64
What treatment is generally recommended for supernumerary incisors?
Biannual rasping of overgrown incisors, if necessary.
65
What is the common cause of incisor fractures in horses?
Trauma, usually from kicks.
66
What is a recommended treatment for young horses with exposed pulps?
Vital pulpotomy.
67
What material is used to fill an exposed pulp canal after cleaning?
Calcium hydroxide or mineral trioxide aggregate (MTA).
68
What technique is used to promote reparative tertiary dentine formation after pulp exposure?
Application of calcium hydroxide.
69
What abnormal incisor wear pattern is associated with crib biting?
Abnormal wear of the occlusal and rostral aspects of the 01s and occasionally the 02s.
70
What is the term for a tilted or slanted incisor occlusal surface?
Diagonal bite, slope mouth, or slant mouth.
71
What craniofacial abnormality is often associated with slant mouth?
Wry nose (campylorrhinus lateralis).
72
What complication can arise from pulpar exposure in older horses?
Pulpar ischemia and necrosis.
73
What condition describes a total lack of occlusion between upper and lower incisors?
Severe underbite (prognathism).
74
What dental procedure can lead to diastemata formation between cheek teeth?
Orthodontic brace treatment with rostral movement of the 07 cheek teeth.
75
How can you control pulpar bleeding during incisor fracture treatment?
Use compressed cotton wool or dental paper points.
76
What is used to improve bonding of dental restorative materials to an incisor?
40% Phosphoric acid gel.
77
Why should overgrowths on incisors be reduced in stages in adult horses?
To prevent pulpar exposure. 3 mm every 3 to 4 months
78
Figure 29-10. A bone drill and drill sleeve have been inserted through a horizontal stab incision in the skin and buccal muscles of this foal with overjet to drill between the deciduous cheek teeth for placement of a tension band prosthesis.
79
Figure 29-11. A piece of 1.25-mm stainless-steel wire is being inserted through the cheek incision into the interdental space between the first and second cheek teeth (606 and 607).
80
Figure 29-12. The twisted wires that are attached bilaterally to the cheek teeth have been interwoven between some incisors and then tightly joined together in front of the incisors, to retard incisive bone and maxilla growth
81
Mention all steps of vital pulpotomy
removal of devitalized pulp, control of hemorrhage from the underlying vital pulp with paper points or hemostatic agents covering the healthy pulp with a calcium hydroxide or the application of mineral trioxide aggregate (MTA) pulp dressing to stimulate tertiary dentine formation intermediate layer, for example, a two-part calcium hydroxide preparation, can be used to cover the pulp dressing Having sealed off the vital pulp, the remaining empty pulp canal is prepared for filling by etching it for 1 minute with a 40% phosphoric acid gel (to remove the smear layer and make the dental surface more porous to enhance mechanical bonding to dental restorative materials), which is then flushed away with water and air dried The pulp canal is subsequently thinly coated with a bonding agent filled incrementally in 2- to 3-mm layers with ultraviolet light curing of each layer using a modern, composite restorative material
82
What procedure is recommended when multiple teeth are affected by destructive EOTRH?
Surgical extraction of all six incisors.
83
Figure 29-20. This large and rostromedially displaced “wolf tooth” (105) (arrows) has been loosened from its periodontal attachments with an elevator. The intact, loosened tooth can now be readily extracted with forceps.
84
Figure 29-22. A diastema burr (Powerfloat) is being used to widen the occlusal, interdental space in this specimen, which had diastema and food pocketing (arrows). A more effective technique to widen valve-shaped diastemata involves inserting the burr from the lateral and medial directions into the wider subocclusal space, followed by burring occlusally and caudally.
85
Figure 29-21. A diastema with deep interdental food pocketing is present between 410 and 411, both of which have slight lingual (medial) displacement. A slight overgrowth is also present on 411 (arrow), which may have caused caudal orthodontic displacement of this cheek tooth and so predisposed to the diastema.
86
Figure 29-23. This mandible shows a grossly bucally (laterally) displaced cheek tooth that is probably developmental in origin. Because of its angulation, the displaced cheek tooth it appears wider than its counterparts. Note the severe periodontal food pocketing in diastemata beside the displaced cheek tooth and to a lesser extent between other cheek teeth. Oral extraction of this displaced cheek tooth is indicated.
87
What is the primary tool used to remove the labial alveolar wall during tooth extraction?
High-speed drill or osteotome.
88
What dental condition can develop after traumatic fractures of the canine teeth?
Infection or tooth death.
89
What technique is used to extract unerupted canine teeth causing mucosal ulceration in older horses?
Deep cruciate incisions (operculation).
90
What nerve block is used for canine teeth extraction in standing horses?
Infraorbital or mental nerve block.
91
What small vestigial tooth is often blamed for bitting problems in horses?
Wolf teeth (Premolar 1, Triadan 05).
92
What complication can arise from fracturing wolf teeth above the alveolar level during extraction?
Oral discomfort or local infection.
93
What age range is most prone to retention of deciduous cheek teeth ("caps")?
2 to 5 years.
94
What condition is linked to retained deciduous cheek teeth causing food entrapment and pain?
Periodontal infection and quidding.
95
What practice can lead to infundibular caries due to premature extraction of caps?
Premature extraction leading to infundibular cemental hypoplasia.
96
How should you extract incisives in case of EOTRH?
A **continuous incision** is made in healthy gingiva **5 mm** from the gingival margin of the affected teeth, on **both the labial and the lingual/palatal aspects**. Using a wide dental elevator or a **small osteotome**, the gingiva is elevated in two large flaps above the **alveoli** of the affected teeth, and the **labial alveolar wall** is removed (using a high-speed drill or osteotome), but not necessarily as far as the apical region, to facilitate extraction. Using dental elevators, or small bone gouges and a mallet, the periodontal attachments are broken down until the teeth are loose and can be extracted with forceps. All **alveoli are fully curetted** to remove any residual dental tissue, **lavaged with saline**, and then allowed to fill with blood clots.
97
Why should the canine be removed unless good reason?
Because of the great length of their **unerupted crown (up to 7 cm long)**, extraction of canine teeth is difficult and should never be undertaken without good reason
98
Burgess elevators used in wolf teeth extraction
99
Musgrave elevator used in wolf teeth extraction
100
Which artery can be lacerated during wolf teeth extraction?
The **major palatine artery** can be lacerated during wolf tooth extraction, and local infection and tetanus can also develop after such procedures.
101
Which cases of diastemata are developmental origin
cheek teeth diastemata are developmental in origin, caused by lack of sufficient angulation of the **rostral (06s)** and **caudal cheek teeth (10s and 11s)** to provide enough compression of the occlusal surface of the six cheek teeth 2) by displaced or supernumerary cheek teeth, or they may occur adjacent to overgrown cheek teeth (e.g., rostral to an overgrown lower 11 or caudal to an overgrown upper 06 that have been displaced caudally or rostrally, respectively, because of their focal overgrowths)
102
What space that forms between adjacent cheek teeth can cause painful food impaction?
Diastema.
103
What term describes diastemata where the space is narrower at the occlusal surface but wider at the gingival margin?
Valve diastemata.
104
What tool is used to widen diastemata to alleviate pain?
Diastema burr.
105
What common dental abnormality occurs alongside craniofacial conditions like parrot mouth?
Overgrowth of the 06 and over the years 11’s
106
What overgrowth often develops on the rostral aspect of the upper 06s in horses with overjet?
Focal overgrowths.
107
What is the recommended treatment frequency for small overgrowths on the upper 06s?
At least twice a year.
108
What dental structure may be penetrated by overgrowths on the caudal maxillary cheek teeth?
Hard palate or sinuses.
109
What technique can fracture cheek teeth during overgrowth reduction?
Using **molar cutters or percussion guillotine** and lead to apical infections or even to life-threatening cellulitis of the mandibular and pharyngeal areas
110
What horses are more prone to cheek teeth displacement due to overcrowding?
Smaller or miniature breeds.
111
What should be used to remove abnormal protrusions on displaced cheek teeth?
Motorized dental instruments.
112
What dental disorder is associated with the presence of more than six cheek teeth in a row?
Supernumerary cheek teeth.
113
What condition in horses causes enamel and other calcified tissues to overgrow due to restricted lateral mandibular movement?
Acquired overgrowths of cheek teeth.
114
What is the term for an extremely steep occlusal surface caused by neglected dental overgrowths?
Shear mouth.
115
What type of feed can predispose horses to overgrowths by altering chewing action?
Concentrates.
116
What dental tool should be used cautiously to prevent thermal damage to the pulps during diastemata widening
Water-cooled diastema burr.
117
Most severe cases of equine medial (lingual/palatal), lateral (buccal), or rotatory cheek teeth displacement, which usually involve the 09s and 10s, are developmental in nature and appear to be caused by overcrowding of the cheek teeth during eruption. They occur in which horses?
These more commonly occur in smaller, especially **miniature breeds**of horses
118
What is shear mouth or scissor mouth?
A steeply angled occlusal surface that interferes with mandibular movements.
119
What condition develops in advanced cases of dental overgrowth?
Wave mouth.
120
What type of secondary condition commonly develops around overgrown cheek teeth?
Periodontal disease.
121
What kind of fractures often affect young horses' mandibular cheek teeth?
Traumatic mandibular fractures.
122
What complication can develop after a mandibular or maxillary fracture with external sinus tracts?
Dental infection.
123
What injury can result from excessive bit force on the bars of the mouth?
Periostitis.
124
What should be avoided during the healing of mandibular bone injuries due to bitting?
Use of a regular bit; use a bitless bridle or hackamore.
125
What type of overgrowths may develop due to bitting injuries?
Exostoses (bone spurs).
126
Which type of cheek teeth fractures are most commonly described as idiopathic?
Slab fractures.
127
Which teeth are most commonly affected by slab fractures?
Upper 09s.
128
What usually seals off the exposed pulp horns in maxillary cheek teeth slab fractures?
Reparative dentine.
129
What type of fractures occur less commonly in cheek teeth compared to slab fractures?
Midline (sagittal) fractures.
130
What condition commonly causes midline fractures of maxillary cheek teeth?
Advanced infundibular caries.
131
What term is proposed for midline fractures related to infundibular caries?
Infundibular caries–related cheek teeth fractures.
132
What clinical complication can arise from infundibular caries–related fractures?
Secondary maxillary sinusitis.
133
What method is used to extract fractured teeth with concurrent periodontal disease?
Cheek tooth extractors with rocking motion.
134
What should be done with remaining large dental fragments after fractured teeth extraction?
Reduced in height to prevent medial displacement.
135
What procedure has been used to treat deep infundibular caries?
Endodontic-type treatment.
136
What is used to clean out infundibula during caries treatment?
High-speed and low-speed dental drills.
137
What material is used to fill cleaned infundibula?
Modern composite restorative material.
138
What type of tumors are derived from the epithelium that forms enamel?
Ameloblastomas.
139
What dental tumor induces calcification and contains dentine, cementum, and enamel?
Ameloblastic odontoma.
140
What is the prognosis of dental tumors based on?
Their size and ability to be surgically excised.
141
What may predispose rostral cheek teeth to vertical impaction?
Enlarged eruption cysts.
142
What is anachoresis?
Blood or lymphatic borne infection of pulp.
143
What happens when apical infection is long-standing in cheek teeth?
Occlusal pulpar exposure occurs.
144
What type of infection may remain confined to the apex in the early stages?
Anachoretic infection.
145
What treatment may be effective for early-stage apical infections?
Antibiotic treatment.
146
What happens to teeth with apical infection when extraction is delayed?
The common pulp or some pulp horns become infected or necrotic.
147
What is required for the treatment of most cases of apical infection?
Dental extraction or endodontic therapy.
148
What procedure can be used to remove fragments if extraction fails?
Minimally invasive transbuccal technique.
149
Extraction of infected cheek teeth should be delayed for at least ___ months to allow mandibular or maxillary fracture healing to occur?
Extraction of infected cheek teeth should be delayed for at least 3 months to allow mandibular or maxillary fracture healing to occur
150
Most commonly, “slab” fractures occur through the two_________(lateral/medial) pulp horns
Most commonly, “slab” fractures occur through the two lateral pulp horns (pulp horns number 1 and 2)
151
Figure 29-24. Intraoral view of a horse with a lateral “slab” fracture of 208. The fracture site is filled with food that slightly displaced the larger palatal (medial) portion into the hard palate and markedly displaced the thin, buccal fragment (arrows) into the cheeks, where it caused buccal ulceration (arrowheads).
152
Slab fractures usually occur in which tooth?
frequently of the upper 09s.
153
Midline (sagittal) fractures of the maxillary cheek teeth occur less commonly than slab fractures, and the____ are the most affected
Midline (sagittal) fractures of the maxillary cheek teeth occur less commonly than slab fractures, and the 09s are again most commonly affected - classified as “idiopathic,” and the term infundibular caries–related cheek teeth fracture has been proposed.
154
How come fractures in the 1st and 2nd pulp horns can have a tooth that remains vital?
These fractures involve the first and second pulp horns that usually manage to seal themselves off with tertiary dentine and so allow the fractured tooth to remain vital
155
Explain the restoration of carious infudibula
Sedated- standing horse-dental pick impacted foo - carious cementum removed with high speed dental drill 20 mm-Hestrom files - high pressure aerol abrasion - clean infundibulum with flush sodium hypochlorite and acid etched - bonding agent is applied with UV light btw layers
156
Figure 29-29. The cleaned infundibulum, which has been acid etched, washed, and dried, is having bonding material applied with a flexible brush.
157
Figure 29-31. Computed tomography image of a horse that recently had 209 extracted after a midline infundibular caries-related fracture and left-sided sinusitis developed. The empty alveolus is granulating well (white circle). To prevent a similar contralateral problem, a carious infundibulum in 109 has been restored (arrow). Although the apical aspect of the infundibulum has a filling defect, this restoration is anticipated to prevent fracture/apical infection for at least 5 years.
158
Anachoretic apical infections occur mainly in young or old horses?
younger horses whose cheek teeth have long reserve crowns and largerly healthy peridontal membranes
159
Apical infections of the caudal three or four maxillary cheek teeth (08s to 11s) often result in _____________ ____________ ____________(3w) with chronic malodorous unitaleral nasal discharge minimal facial sweilling and no external draining tracts
Apical infections of the caudal three or four maxillary cheek teeth (08s to 11s) usually result in a secondary maxillary sinusitis with a chronic, malodorous, unilateral nasal discharge, minimal facial swelling, and no external draining tracts.
160
Radiographic evaluation of apical infection should include which radiographs?
Radiographic evaluation of apical infection should include 45-degree ventrolateral-lateral oblique projections for imaging mandibular cheek teeth apices and 30-degree dorsolateral-lateral oblique projections for imaging maxillary cheek teeth apices
161
a sinus tract is present, as often occurs with mandibular or rostral (______ to ______name the teeth) it is essential to also obtain radiographs with a metallic probe in situ
If a sinus tract is present, as often occurs with mandibular or rostral (06s to 08s) maxillary cheek teeth infections, it is essential to also obtain radiographs with a metallic probe in situ to confirm the presence of apical infection
162
Figure 29-33. The occlusal surface of this cheek tooth (06s have six pulp horns) has intact secondary dentine over five pulp cavities, but has a pulp exposure over one (pulp horn five, with needle inserted) indicative of chronic pulpar death. Some localized caries is present in both infundibulae.
163
Figure 29-34. This radiograph shows an apically infected mandibular cheek tooth, with thickening of the underlying mandible that also contains a lytic track leading to its caudal root. The caudo-ventral aspect of this root has been destroyed. The probe inserted up the sinus tract further confirms that infection is present in this cheek tooth.
164
If you don't have CT or scinti available in apical infection you can iniciate conservative tx. What is it?
2- to 4-week course of oral potentiated sulfonamides (possibly along with oral metronidazole therapy) for suspected mandibular infections and rostral (06–08) maxillary cheek teeth apical infections, and maxillary sinus lavage and similar antibiotic therapy for suspected caudal (09–11) maxillary cheek teeth apical infections. Failure to respond to such conservative therapy should prompt further clinical and imaging evaluation for the presence of apical infection
165
What is the technique of choice for extracting equine cheek teeth?
Oral extraction.
166
167
Why is oral extraction preferred over repulsion or buccotomy?
It can be performed in the standing horse, reduces postoperative complications, and avoids surgery of facial soft tissues or supporting bones.
168
What anesthesia technique is commonly used during cheek teeth extraction in standing horses?
A combination of an α2-adrenergic receptor agonist and butorphanol.
169
How can the upper 06s or 07s be anesthetized?
By inserting a 5-cm, 21-gauge needle into the infraorbital canal and injecting 3 to 5 mL of lidocaine.
170
Which nerve provides sensory innervation to all mandibular teeth?
The inferior alveolar nerve.
171
How is the inferior alveolar nerve anesthetized?how do you perform?
The mandibular foramen lies at the intersection of a perpendicular line drawn from the lateral canthus of the eye to the dotted line running parallel to the occlusal surface of the cheek teeth. a 15-cm (6-in), 18-gauge spinal needle is “walked” up the periosteum of the medial aspect of the mandible and 20 to 30  mL of lidocaine is deposited at the site and 1 to 2  cm dorsocaudally to i
172
Figure 29-35. The mandibular foramen lies at the intersection of a perpendicular line drawn from the lateral canthus of the eye to the dotted line running parallel to the occlusal surface of the cheek teeth.
173
Where is the mandibular foramen located?
At the intersection of a line drawn from the lateral canthus of the eye and a line parallel to the occlusal surface of the cheek teeth.
174
What local anesthetic technique can be used to anesthetize the maxillary branch of the trigeminal nerve?
Following aseptic skin preparation beneath the caudal aspect of the orbit, a **5-cm needle** is inserted immediately **ventral to the zygomatic process** between the **middle third and caudal third of the orbit**. The needle is directed in a **rostro-medio-ventral direction** and inserted **30 to 35  mm through the masseter muscle**. A decrease in resistance is then detected as it enters the extraperiorbital fat body. The **needle is advanced 15 to 20  mm** further and 20  mL of local anesthetic is inserted.
175
How is the periodontal ligament stretched before tooth extraction?
By inserting a narrow-bladed cheek teeth separator into the interdental spaces - **molar spreader** is kept in place **5minutes**
176
Why must separators be cautiously used when extracting caudal cheek teeth with a marked curve of Spee?
The nonvertical interdental spaces may cause fracture of the teeth.
177
What technique is used to avoid vertical fractures when extracting caudal **mandibular cheek teeth**?
The tooth is loosened digitally and extracted in a rostro-dorsal direction using the forceps (routledge forceps for mandibular)
178
What post-extraction procedure should be followed if no sinus tract or secondary sinusitis is present?
The empty alveolus should be lavaged with saline, dried, and allowed to form a blood clot.
179
What complication can cause a sinus tract to form after tooth extraction?
Gross alveolar infection.
180
What treatment is suggested if a sinus tract persists after extraction?
The tract should be gently curetted, and it usually heals within a few days.
181
What material is used to seal off the oral aspect of the alveolus in cases of gross alveolar infection?
Dental wax or an acrylic plug.
182
What is the recommended lavage solution for infected maxillary sinuses?
saline solution.
183
What postoperative complication can occur in 10% of cheek teeth extractions?
Nonhealing alveoli caused by alveolar sequestra or localized osteitis.
184
How can alveolar sequestra be removed?
By digital removal or curettage.
185
What should be done if the clinical crown fractures during oral extraction?
Use dental picks, Steinmann pin repulsion, or the minimally invasive transbuccal technique. Also new article mentions placement of polymethylacrylate stabilisation in saggital fractures by Pearce and Brown EVE 2019
186
What kind of punches are best suited for upper cheek teeth repulsion?
Offset punches.
187
The maxillary branch of the trigeminal nerve can most readily be anesthetized. How?
by injecting local anesthetic into the extraperiorbital fat body and allowing it to diffuse to the maxillary branch of the trigeminal nerve. Following aseptic skin preparation beneath the caudal aspect of the orbit, a 5-cm needle is inserted immediately ventral to the zygomatic process between the middle third and caudal third of the orbit. The needle is directed in a rostro-medio-ventral direction and inserted 30 to 35 mm through the masseter muscle. A decrease in resistance is then detected as it enters the extraperiorbital fat body. The needle is advanced 15 to 20 mm further and 20 mL of local anesthetic is inserted. This technique can be more accurately performed using ultrasonographic guidance. It may take 20 minutes or so for the maxillary nerve to become anesthetized.
188
Describe oral tooth extraction
Expose dental crown - long-handled **dental pick is used to detach the gingiva** around the affected tooth to the level of the alveolar crest on the palatal aspect of the tooth A **narrow-bladed cheek teeth separator (“molar spreader”)** can now be slowly inserted into the interdental spaces, first rostral and then caudal to the affected tooth (Fig 29-36) - **keep 5 min** **Cheek teeth extractors** are subsequently firmly attached to the crown of the diseased tooth and the cheek tooth is rocked in the horizontal plane After a variable period (20–120 min) depending on the extent and health of the periodontal ligament, **a “squelching” sound** Only at this stage should **a fulcrum be placed** **Vertical pressure is now exerted on the forceps**, drawing the affected intact tooth from the alveolus.
189
Figure 29-36. A narrow-blade, cheek tooth separator is being inserted between two cheek teeth in this specimen.
189
Can you use spreader between 06 and 07 in case of extracting the 07?
When extracting a Triadan 07, separators **should not be used** between the 06 and 07 in case the (rostrally unsupported) 06 is excessively displaced rostrally and loosened.
190
if the 08, 09, or sometimes the 10 cheek teeth are infected, and concurrent rostral maxillary and ventral conchal sinus infection are consequently present what should you perform?
Frontal trepanation and fenestration of the maxillary septal bulla (formerly wrongly termed the “ventral conchal bulla”; see Chapter 44)
191
In case of repulsion tx it is performed under standing sedation and a surgical window of ____ cm in diameter is made using a bone saw, trphine or osteotome preferably under sedation
2 cm
192
For maxilla trephination, care must be taken to avoid the
**infraorbital canal and nerve** Larger (e.g., 5–6 cm2) caudal maxillary bone flaps (hinged dorsally) can be used to perform a sinusotomy
193
Figure 29-44. This intraoperative radiograph shows the punch correctly positioned over the affected apex and also shows that it is facing in a suitable direction to effectively remove this (09) cheek tooth.
194
Lateral buccotomy is done GA and not routinely recommended. After horizontal incision the **periosteum is reflected** and the **lateral alveolar wall** is removed with which **instrument**?
high-speed burr or oscillating bone saw
195
Complications of lateral buccotomy (3)
intraoperative hemorrhage, parotid duct puncture, and nerve damage with consequent rostral facial paralysis
196
Minimally invasive transbuccal technique the first step is
**ID and kting parotid duct** and ID buccal branches of facial nerves and facial vasculature to insert a small cannula through the cheeks elevators - mallet - loose the tooth - long drill bit into the fragment - tap the screw - insert screw -slotted hammer is then used on the external aspect of the screw that has a flange, which allows extraction of the tooth into the oral cavity
197
Endodontic treatment of equine cheek teeth was initially performed retrograde (i.e., through the apex of the affected cheek teeth), but is now usually performed ____________(1w)
**orthograde**(i.e., via an intraoral approach through the occlusal surface of the affected tooth [as is used in brachydont teeth endodontics
198
Describe endodontic steps
The large, common pulp (in young horses) or individual pulp horns (five pulp horns in all mature cheek teeth, except the 06s, which have six, and 11s, which have six or seven are assessed. The secondary dentine covering each individual pulp horn is then drilled with a low-speed drill to allow visual evaluation of the pulp horns The canals are then filed using long Hedström endodontic files until normal-appearing dentine is reached The pulp canal is sterilized by irrigating it with 2% to 5% sodium hypochlorite solution (household bleach) followed by lavage with water and air-drying. The canal walls are subsequently filled with calcium hydroxide paste The surface is coated with a dental bonding agent (some need to be cured by UV light) and subsequently the pulp canal is filled incrementally, in 5-mm layers, as completely as possible, with a modern composite restorative material, some of which also needs to be cured by UV light.
199
Orthograde endodontics has been more successfully used, with a reported___% success rate
Orthograde endodontics has been more successfully used, with a reported **80% success rate**
200
pulp canal lavage with 0.5% sodium hypochlorite (Dakin solution) can be used to do what?
to **dislodge and help remove necrotic tissue**. Following saline lavage and drying (with suction or paper points), the apical aspect of débrided pulp horns (including the common pulp chamber in younger teeth) are then filled with calcium hydroxide paste, whose high pH makes it antibacterial yet causes restricted host tissue damage