Chapter 100 - Tibia Flashcards

(84 cards)

1
Q

What are the osseous structures of the gaskin region in horses?

A. Tibia and Fibula
B. Femur and Patella
C. Radius and Ulna
D. Humerus and Scapula

A

A. Tibia and Fibula

How well did you know this?
1
Not at all
2
3
4
5
Perfectly
2
Q

What is the primary role of the tibia in horses?

A

Transfers weight from the femur to the talus

How well did you know this?
1
Not at all
2
3
4
5
Perfectly
3
Q

What is the shape of the proximal articular surface of the tibia?

A

Triangular

How well did you know this?
1
Not at all
2
3
4
5
Perfectly
4
Q

What does the tibial tuberosity receive in horses?

A

The three patellar ligaments

How well did you know this?
1
Not at all
2
3
4
5
Perfectly
5
Q

What is the function of the fibula in horses?

A

Rudimentary and variable in shape

How well did you know this?
1
Not at all
2
3
4
5
Perfectly
6
Q

Which artery is located on the cranial lateral aspect of the tibia?

A

Cranial tibial artery

How well did you know this?
1
Not at all
2
3
4
5
Perfectly
7
Q

What is the recommended rest period for racehorses with enostosis-like lesions?

A. 6 weeks
B. 8 weeks
C. 10 week
sD. 12 weeks

A

D. 12 weeks

How well did you know this?
1
Not at all
2
3
4
5
Perfectly
8
Q

what caractherizes enostosis like lesions in tibia?

A

focal or multifocal sclerotic lesions within the medullary cavity of long bones

How well did you know this?
1
Not at all
2
3
4
5
Perfectly
9
Q

Enostosis can appear where beside the tibia?

A

radius and humerus

How well did you know this?
1
Not at all
2
3
4
5
Perfectly
10
Q

enostosis gives lameness which severity is associated with

A

intensity of radiopharmaceutical uptake.

How well did you know this?
1
Not at all
2
3
4
5
Perfectly
11
Q

Where is the focal or multifocal sclerotic lesion found?

A

Medullary cavity of long bones

also diagnosed in the radius and humerus

How well did you know this?
1
Not at all
2
3
4
5
Perfectly
12
Q

what is the treatment for enostosis like lesions?

A

Treatment is conservative with an average rest period of 12 weeks for
racehorses and 8 weeks for Warmbloods in the study cited
above

How well did you know this?
1
Not at all
2
3
4
5
Perfectly
13
Q

What is the treatment approach for tibial stress fractures in horses?

A

Stall rest and gradual return to exercise

How well did you know this?
1
Not at all
2
3
4
5
Perfectly
14
Q

tibial stress fractures is common in which breed?

A

THO

How well did you know this?
1
Not at all
2
3
4
5
Perfectly
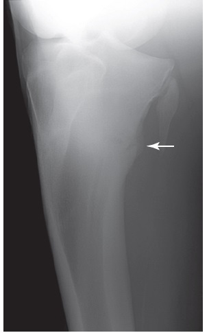
15
Q
A

Figure 100-2. A craniolateral-caudomedial oblique radiographic view of a tibia with a midtibial stress fracture. The stress fracture can actually be seen in this horse (arrow), which is unusual because callus normally obscures the fracture.

How well did you know this?
1
Not at all
2
3
4
5
Perfectly
16
Q
A

Figure 100-1. A craniolateral–caudomedial oblique radiographic view of the tibia showing the periosteal and endosteal callus (arrow) that accompanies a caudolateral tibial stress fracture.

How well did you know this?
1
Not at all
2
3
4
5
Perfectly
17
Q
A

Figure 100-3. A craniolateral–caudomedial oblique radiographic view of the proximal tibia, which shows a chronic stress fracture of the proximal caudal tibia with associated callus (arrow).

How well did you know this?
1
Not at all
2
3
4
5
Perfectly
18
Q
A
How well did you know this?
1
Not at all
2
3
4
5
Perfectly
19
Q
A
How well did you know this?
1
Not at all
2
3
4
5
Perfectly
20
Q
A
How well did you know this?
1
Not at all
2
3
4
5
Perfectly
21
Q
A

Figure 100-7. (A) A caudocranial intraoperative fluoroscopic view of a proximal tibial physeal fracture repaired with a four-hole T-plate. This fracture was more severe than a routine proximal tibial physeal fracture and required a more involved fixation. The metaphyseal component is comminuted and extends more than half the width of the bone. In addition, there is only one screw that is anchored in healthy bone distal to the comminuted fracture. This fracture probably required two implants and more distal fixation to resist the biomechanical instability the comminution created. (B) The caudocranial follow-up radiograph taken the next day because the foal was non–weight bearing on the limb. A catastrophic bone failure occurred during the night. The fracture initiated at the distal end of the original fracture and spiraled distally, leading to catastrophic failure of the bone. The owner did not want to proceed with treatment and the foal was humanely destroyed.

How well did you know this?
1
Not at all
2
3
4
5
Perfectly
22
Q

Should you give NSAIDS in the treatment along with walks and paddock in tibial stress fractures?

A

stall rest with hand walkings allowed until the horse can trot sound in hand.
Then it’s safe to allow paddock exercise.
The use of** anti-inflammatory medication greatly increases the chances of complete fracture **and should be avoided

How well did you know this?
1
Not at all
2
3
4
5
Perfectly
23
Q

The healing time for stress tibial fractures is:

A. 4 months
B. 2 months
C. 6 months
D. 3 months

A

B. 2 months

How well did you know this?
1
Not at all
2
3
4
5
Perfectly
24
Q

What is the prognosis of stress fissure of the tibia in young THO?

A

Good

How well did you know this?
1
Not at all
2
3
4
5
Perfectly
25
What causes fissure fractures of the tibia in horses?
Kick from another horse or blunt impact
26
Incomplete and nondisplaced complete fractures normally are candidates for:
Conservative therapy toreduce the likelihood of displacement secondary to forces experienced duringstanding up. In these case the sling can be useful.
27
Incomplete and fissure fracture of the distal metaphysis of the tibia requires cast under sedation for how long?
**minimum 3-4 months** During the last **3****0 days of confinement a program of gradually increased **hand walkingis recommended and then access to free paddock. An additional 30 days of paddock exercise is recommended too.
28
What is the most common type of tibial fracture diagnosed in foals?
Salter-Harris type II proximal physeal fracture
29
Figure 100-8. Lateromedial (A) and caudocranial (B) radiographic views of a spiral comminuted displaced midshaft tibial fracture in an adult horse.
30
Figure 100-8. Lateromedial (A) and caudocranial (B) radiographic views of a spiral comminuted displaced midshaft tibial fracture in an adult horse. Caudocranial (C) and lateromedial (D) radiographic views of the repaired fracture using two interfragmentary 4.5-mm cortex screws inserted in lag fashion and two staggered broad 4.5-mm DCPs, 3 weeks after surgery.
31
32
(A) Caudocranial radiographic view of a typical Salter Harris type II fracture of the proximal tibia.
33
What type of force creates proximal physeal fractures in foals?
Medial tension force
34
What is the treatment of choice for proximal physeal fractures of the tibia in foals?
Medial plate fixation because it is a medial tension force
35
Salter harris type II physeal fracture heals in how much time?
3 to 4 weeks
36
What are the treatment options for slater harris type II fracture of the tibia?
Screw fixation, pinning, external fixation with plate used in the lateral aspect
37
which tendon will lye in the surgical field if it hasn't been ruptured during impact in slater harris type II tibial fx?
semitendinous muscle It may need to be transected and sutured, but occasionally can be left intact and the fixation maneuvered around the tendon intraoperatively.
38
Evaluation of the physeal cartilage provides information on the...
likelihood of survival of proximal tibial growth plate function.
39
The amount of damage in the slater harris type II depends on the (2things)
The amount of damage depends on the time from injury to surgery and the adequacy of preoperative immobilization.
40
Describe the screws fixation for salter harris type II fracture
A fter the debris is removed from the fracture, the soft tissue must be elevated along the medial aspect of the proximal tibial physis. If this soft tissue is not elevated, it becomes trapped between the metaphyseal fragment and the physis, preventing complete reduction. Manual downward pressure on the medial aspect of the proximal tibial metaphysis places the intact soft tissue on the lateral aspect of the limb under tension and reduces the fracture. Reduction can be maintained by the placement of one 4.5-mm cortex screw in the epiphysis and one in the metaphysis. A figure-of-eight tension band wire is tightened between the two screws, maintaining reduction during placement of the primary implants if the stability is tenuous (see Figure 100-5, B and C).
41
describe the types of plates available for reconstrution of type II salter harris fractures
A four-hole T-plate, right-angle “L” plate, five-hole broad limited-contact dynamic compression plate (LC -DCP) or locking compression plate (LC P) is used for fixation.
42
The names of the T plates is accordingly to what?
T-plates and right-angle “L” plates are named according to the number of vertical holes in the shaft; for example, a four-hole T-plate contains two horizontal holes and four additional holes in the vertical shaft.9)
43
Where do you apply the T plate or right angle L plate in type II salter harris fracture?
The two transverse holes are positioned over the epiphysis closer to the caudal aspect of the proximal tibia, halfway between the femorotibial joint surface and the physis. A right-angle “L” plate with the proximal (short) limb of the plate facing craniad and the long limb of the plate distal along the tibia gives the most diaphyseal contact without the plate overhanging the metaphyseal cortex (see Figure 100-5, B and C). The two proximal screws are inserted across the width of the epiphysis. The screws should be oriented as much as possible parallel to the caudal cortex in a transverse plane, not perpendicular to the plate. The use of 5.5-mm cortex screws is ideal in the epiphysis. The distal screws in the plate are inserted into the metaphysis after using the tension device or are placed in the load position to achieve axial compression.
44
describe insertion of LCP plate and which size is ideal?
The new veterinary 4.5/5.0-mm LC P T-plate is ideal for this application (see Figures 77-40 and 100-6, A to D). If an LC P is used, the fracture is reduced, and the locking head screws are placed in the epiphysis first, followed by axial compression of the fracture using a 5.5-mm cortex screw in the load position and finally implantation of the remaining locking head screws in the metaphysis. The presence of a hole for temporary 2-mm pin insertion through the plate into the epiphysis is useful to guide the proper location of the locking head screws since their angle to the plate is fixed and cannot be manipulated. It is desirable to pass at least one of the plate screws across the proximal metaphysis into the lateral metaphyseal fragment that remains attached to the epiphysis or into the lateral epiphysis. This increases the stability of the lateral aspect of the fracture (see Figures 100-5, B and C, 100-6, D and E). The proximal tibial physis can be bridged with this screw and when the screw is removed the physis will normally resume growing.
45
Aditional to plates is necessary a system in the tibial crest to contrariate the continual cyclic tension from the patellar tendon attachments what is it?
Tension-band wire The tibial crest remains attached to the epiphysis and is under continual cyclic tension from the patellar tendon attachments. Neutralization of this force greatly aids stability. The most stable fixation is achieved with a tension-band wire used to stabilize the tibial crest. A 5.5-mm cortex screw is placed from proximal to distal through the epiphysis and into the metaphysis to act as the proximal anchor for the tension-band wire. A distal screw in the metaphysis or a hole through the cranial aspect of the metaphysis is used for the distal anchor of the tension band. One or two strands of 1.5-mm wire are placed in “figure-of-eight” fashion and twisted to tighten the construct (see Figures 100-5, B and C, and 100-6, C and D). Alternatively, a 1-mm cable can be substituted for the wire. The proximal screw is left above the bone surface under the patellar ligaments and not tightened down to the surface of the bone to allow removal at a later date.
46
In how many layers do you close the soft tissue in the salter harris type II correction?
When fixation is complete, the soft tissues are closed in two layers using routine technique. Closed suction drainage is optional. A stent bandage is sutured over the incision to reduce tension on and protect the skin incision. The area is difficult to bandage, but some compression of the soft tissue to reduce the hematoma can be obtained if elastic tape is used.
47
Postop salter harris type II surgery The foal should be bearing weight on the limb within
1 or 2 days and should begin walking soundly within 7 to 10 days. If not walking = complications
48
what is the postop care of salter harris type II correction
If the 4-week follow-up radiographs indicate healing, exercise is increased over the next month to unrestricted exercise by 8 weeks. If no complications are encountered and the physis has not closed, the implants can then be removed after 8 weeks to allow the physis to resume growth if growth potential remains (see Figures 100-5, D and E, and 100-6, E).
49
What is the most common complication encountered with proximal physeal fracture repair?
Fixation failure
50
Is required cast in the postoperative?
No, external coaptation is not used. Foal is assisted during recovery.
51
What is the factor that influences the prognosis of physeal fractures?
Smaller the foal better prognosis Closure of the proximal tibial physis can occur, but it is not a major complication
52
Prognosis of proximal physeal fractures
favorable, smaller foal the better
53
What surgical approach eliminates the necessity of dealing with blood vessels during the treatment of diaphyseal fractures?
Cranial approach
54
What type of force is involved in creating diaphyseal fractures of the tibia in horses?
Excessive external force combined with loading forces
55
In adult horses, what is the prognosis for diaphyseal fractures of the tibia?
Poor Most diaphyseal tibial fractures are comminuted and accompanied by massive soft tissue damage.
56
What is the most common configuration of diaphyseal fractures in horses?
Spiral and comminuted
57
What combination of forces typically causes diaphyseal fractures in the tibia?
Loading forces and external impact
58
What age group of horses can diaphyseal fractures occur in?
Horses of any age
59
Which method is most effective for diagnosing diaphyseal fractures?
Radiography
60
How are tibial fractures in foals usually different from those in adult horses?
Less comminution and better chance of staying closed in foals
61
What type of plates are preferred for internal fixation in diaphyseal fractures?
Two plates
62
How is fracture reduction typically achieved during surgery?
Traction on the distal tibia
63
What are the preferred types of plates for internal fixation?
Dynamic condylar screw (DCS) plates or Locking Compression Plate (LCP)
64
What is the primary goal of aftercare for diaphyseal fractures in horses?
Stall rest for 6-8 weeks
65
What is the main reason for the poor prognosis of tibial fractures in adult horses?
comminuted nature and massive soft tissue damage
66
What are the 3 surgical approaches for diaphyseal fracture?
- medial approach directly over the tibia without muscle cover, - lateral approach between the long digital extensor and the cranial tibial muscles, a - cranial approach, in which the incision is made over the cranial tibial muscle
67
The plates are inserted in medial and lateral aspects of the bone through 2 incisions or 1 incision?
Implants can be placed on the medial and lateral aspects of the bone through this incision, eliminating the need for two incisions 1 plate craniolateral and 1 craniomedial
68
Indicate the landmarks for the incision and placement of plate in diaphyseal fracture
The incision is initiated** craniolaterally along the lateral patellar ligamen**t, extended to the tibial crest, directed craniad over the cranial tibial muscle to the distal aspect of the limb, and curved slightly mediad as the tarsocrural joint is approached. The incision is carried through the skin and subcutaneous fascia until the cranial tibial muscle is encountered. The **cranial tibial muscle** is elevated laterad, exposing the lateral surface of the bone **proximal metaphyseal** and **middiaphyseal fractures** necessitates entering the femorotibial joint through the recessus subextensorius, which surrounds the **long digital extensor muscle.** Normally, t**he long digital extensor and cranial tibial** attachments are circumvented by separating them, which allows placement of the implant near the proximal physis or physeal scar.
69
Describe the placement of the screws and plates in dyaphyseal tibial fractures
1st traction on the tibia and bone reduction forceps reattaching comminuted fragments to the parent bone with cortex screws placed in lag fashion to create a two-fragment fracture When the craniolateral plate is in place, the craniomedial plate is applied. It is occasionally necessary to flex and abduct the limb to gain access to the medial aspect of the tibia avoid the screws of the lateral plate and interfragmentary screws Closure involves the fascia of the cranial tibial muscle, subcutaneous tissue, and skin.
70
Does it require cast immobilization after surgery?
NO! Cast immobilization increases the load on the implants because the cast cannot extend proximal to the stifle in the horse and the stifle joint cannot be immobilized.
71
What do you apply in the surgical wound?
Stent bandages are sewn over the incision.
72
What is the standard treatment for fractures of the distal epiphysis?
External coaptation with a fiberglass cast
73
Tibial fractures are most often comminuted, and the torsional force applied to a fractured bone that contains multiple drill holes often causes
propagation of the fracture into additional sites
74
Name the complications of diaphyseal fractures correction
Breakdown of fixation +++ common Sepsis Failure in contralateral limb = euthanasia
75
most common fractures of tibia? second most common?
salter harris type II in foals and second diaphyseal
76
diaphyseal fractures you have to consider anatomy why?
The cranial tibial artery is located on the cranial lateral aspect of the tibia. The lateral outpouching (recessus subextensorius) of the lateral femorotibial joint compartment extends distad, surrounding the long digital extensor tendon on the proximolateral aspect of the tibia. The tenuous soft tissue on the medial aspect of the tibia must be protected and the closely attached digital extensor tendons distally near the tarsocrural joint must be preserved.
77
In the diaphyseal fractures positioning of the implant at the most proximal aspect of the tibia in proximal metaphyseal and middiaphyseal fractures necessitates entering the
femorotibial joint through the recessus subextensorius, which surrounds the long digital extensor muscle. Normally, the long digital extensor and cranial tibial attachments are circumvented by separating them, which allows placement of the implant near the proximal physis or physeal scar.
78
How often do distal epiphysis fractures occur in horses?
Rarely
79
What makes implant placement in the distal tibia epiphysis especially challenging?
the undulating articular surface
80
what is the postoperative care for diaphyseal fractures?
Stall rest is maintained, with no exercise allowed for 6 to 8 weeks, depending on the age of the horse. Sling support to prevent the horse from lying down should be considered in adult patients.
81
What is a common cause of tibial crest fractures in horses?
Direct trauma
82
How should the screws be oriented when repairing a tibial crest fracture?
Because of the anatomic configuration of the tibial crest, it is best to orient the plate obliquely along the tibial crest. The screws should be directed mediad and laterad in an alternating pattern to avoid aligning them in a straight line, which may predispose the underlying bone to fracture.Mediad and laterad in an alternating pattern
83
Figure 100-10. Lateromedial radiographic view of the most commonly encountered nondisplaced, nonarticular tibial crest fracture (arrows). This fracture was treated conservatively with stall rest.
84
Figure 100-11. (A) Lateromedial radiographic view of a displaced tibial crest fracture. (B) The fracture was repaired proximally with two 5.5-mm cortex screws applied in lag fashion perpendicular to the fracture plane. A washer was used with one screw to avoid countersinking the head and weakening the bone. Additionally, a 5-hole narrow DCP was applied over the medial ridge as a tension band, and a 5-hole 2.7-mm cuttable small animal plate with two 3.5-mm cortex screws was applied over the lateral aspect of the fracture to provide additional stability. The fracture healed without complications.