Connective Tissue Charecteristics
Connective tissue Functions

Connective TIssue Classification
Embryonic Connective Tissue

Adult connective tissue loose

Adult connective tissue , Dense regular

Adult Connective Tissue Dense irregular

Reticular

Elastic


Tendon and muscle
Special types of connective tissue
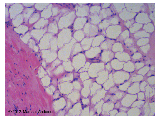
Adipocytes

Adipose tissue
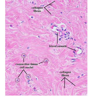
connective Tissue Matrix
Collagen Fiber types
Collagen fiber synthesis
Type I collage is synthesized as a prepropeptide

Elastic Fiber synthesis

Glycosaminoglycans
Hyaluronic acid
Heparin and heparan sulfate
Chondroitin sulfate and dermatan sulfate:
Keratan sulfate
Proteoglycans are extracellular protein complexes of glycosaminoglycans

Proteoglycans