GIT Digestion + Absorption Flashcards

(41 cards)

1
Q

What chemical and mechanical digestion occur across the GIT?

  • Oral cavity
    > Teeth/Salivary glands
  • Stomach
  • Small intestine
    > Smooth muscle, Pancreas, Gal bladder, Brush boarder
  • Large intestine
A

= produces Water, Amino acids, Monosaccharides, Fatty Acids.

How well did you know this?
1
Not at all
2
3
4
5
Perfectly
2
Q

Describe what is absorbed across the GIT.

  • Oral cavity
  • Stomach
  • Small intestine
  • Large intestine
A
  • These components are then absorbed across the mucosa of the gastrointestinal tract, and then into the blood
How well did you know this?
1
Not at all
2
3
4
5
Perfectly
3
Q

How is gastrointestinal secretion and motility carefully regulated?

A
  • Endocrine + neural signalling

> Neural – Fast onset, specific responses, energetically expensive
Endocrine – Slow onset, coordinated responses, cheaper energetically

= both, when need a fast onset of response,
but need to maintain this for a longer period

How well did you know this?
1
Not at all
2
3
4
5
Perfectly
4
Q

What are the three phases of GI secretion and where is the stimulus sensed?

A
  • Cephalic stimulated by external environment and mouth
  • Gastric stimulated by food in the stomach
  • Intestinal stimulated by food in the intestines
How well did you know this?
1
Not at all
2
3
4
5
Perfectly
5
Q

1- How is GI secretion initiated in Cephalic stage?

2- What type of control is this known as?

3- What are the 4 function of Cephalic phase?

A

1- sensory stimuli related to the anticipation of food > sight, smell, taste & thoughts of food
(Conditioned reflex)

2- Feedforward control = GI secretion triggered before food arrives in GIT.

3-
1- lubrication with saliva
2- Ensuring acid is present in stomach to kill bacteria
3- Bicarbonate is present to neutralise any acidic chyme escaping stomach
4- To have active enzymes in place when food arrives

How well did you know this?
1
Not at all
2
3
4
5
Perfectly
6
Q

How is the cephalic phase mediated? (Neural/Hormonal regulation)

A
How well did you know this?
1
Not at all
2
3
4
5
Perfectly
7
Q

How does the cephalic phase prepare the GIT to receive food?

A

Sensory stimuli → Vagus nerve →

1- ACh → muscarinic cholinergic receptor → parietal cells secrete acid

  1. Gastrin release from G-cells in antrum →
    1- gastrin receptors (G) on parietal cells → acid secretion
    2- enterochromaffin-like (ECL) cells → histamine (H) release → parietal cells secrete acid
    3- inhibit the release of somatostatin from D-cells
    (Normally: D-cells → somatostatin (SST) → parietal cells → inhibit of acid secretion)
How well did you know this?
1
Not at all
2
3
4
5
Perfectly
8
Q

1- When does gastric phase of GI secretion begin?

2- What are the 3 functions of the gastric phase?

3- What is the function of stretch receptors + Chemoreceptors in gastric phase?

A

1- Food enters the stomach

2-
- enhance secretions started in cephalic phase
- acidify chyme
- initiate protein digestion

3-
> Stretch receptors - matches degree of secretion to predicted quantity of food ingested
> Chemoreceptors - matches degree of secretion to expected nutritional quality of food ingested

How well did you know this?
1
Not at all
2
3
4
5
Perfectly
9
Q

How is the gastric phase mediated? (Neural + Hormonal)

A
How well did you know this?
1
Not at all
2
3
4
5
Perfectly
10
Q

Describe flow of processes in the gastric phase when:
1- The stomach is distended by food
2- Proteins are digested

A

1- Distention: stretch-sensitive neurons → PNS mediated vagovagal reflex (quantity ≈ secretion)

2- Amino acids & peptones:
- G-cells in stomach secrete gastrin → stimulates acid & acinar cell secretion
(quality ≈acinar cell secretion)→ stimulate chief cells to secrete pepsinogen

How well did you know this?
1
Not at all
2
3
4
5
Perfectly
11
Q

What happens when luminal PH < 2?

A
  • Motility and secretions are temporarily suspended.
How well did you know this?
1
Not at all
2
3
4
5
Perfectly
12
Q

1- When does the intestinal phase of GIT secretion begin?

2- What are the 2 functions of the intestinal phase?

A

1- Chyme starts entering small intestine from stomach

2-
- control rate of chyme entry into duodenum
- maintain optimal conditions for enzymatic digestion of food

How well did you know this?
1
Not at all
2
3
4
5
Perfectly
13
Q

How is the intestinal phase mediated? (Neuronal + Hormonal)

A
How well did you know this?
1
Not at all
2
3
4
5
Perfectly
14
Q

1- In the intestinal phase Acidic chyme enters the duodenum what does this stimulate?

A

1- S-cells to release secretin, if the luminal pH falls below 4.5. > Stimulates duct secretion primarily (maintains optimal conditions for enzymatic digestion of food)

2- Secretin also stimulates HCO3- secretion from burners gland, slows H+ secretion by stomach parietal cells as well as constriction of pyloric sphincter

How well did you know this?
1
Not at all
2
3
4
5
Perfectly
15
Q

In the intestinal phase, what do fatty acids and peptones stimulate?

A
  • Vagovagal reflex which further maintains parasympathetic stimulation of acinar and duct cells
    (quality ≈ pancreatic secretion)

> Vagus nerve (CN X) stimulation for release of PANCREATIC ENZYMES

How well did you know this?
1
Not at all
2
3
4
5
Perfectly
16
Q

In the intestinal phase G cells in the duodenum secrete?

A
  • Gastrin in response to amino acids and peptones in the stomach. = Stimulates acinar cell secretion.
    (acinar cell secretion ≈ quality)
How well did you know this?
1
Not at all
2
3
4
5
Perfectly
17
Q

In the intestinal phase Fatty acids and to a lesser extent peptones stimulate?

A
  • Duodenal I-cells to release cholecystokinin (CCK).(pancreatic secretion ≈ quality)
  • CCK also stimulates the relaxation of the hepatopancreatic sphincter as well as contraction of the gall bladder.
    > Bile salts assists lipid digestion by emulsifying lipid droplets thus increasing surface area for digestion.
18
Q

In addition to its ability to directly stimulate pancreatic secretion, CCK stimulates pyloric sphincter constriction
Why is this helpful?

A
  • Reduces rate of chyme release from the stomach

> Digestion & absorption takes time
The rate of passage through the gastrointestinal tract can be controlled by:
1- Contraction of sphincters
2- Changing the rate of Peristalsis

> CCK elicits contraction of the pyloric sphincter, slowing the rate of release of chyme into the duodenum.
Less chyme released = slower flow through intestinal tract, giving more time for digestion & absorption.

19
Q

What does CCK stimulate in the hypothalamus?

A
  • Satiety centres
20
Q

Describe how GIT secretion is dysregulated in the following conditions:

  • Inflammatory bowel disease (IBD)
  • Gastroesophageal reflux disease (GERD)
  • Exocrine pancreatic insufficiency
  • Peptic ulcers
21
Q

Pancreatic fluid is a major supply of digestive enzymes for the duodenum.

1- Describe the path of pancreatic juices into the duodenum?

2- What PH is pancreatic juice?

A

1- Main pancreatic duct + Common bile duct → Major duodenal ampulla/ Hepatopancreatic ampulla → Hepatopancreatic sphincter → Duodenum

2- Bicarbonate-rich fluid to neutralize acidic chyme

22
Q

Describe the two major secretory cell types of the pancreas and their principal function.

A

1- Pancreatic Acinar cells - Enzyme secretion (proteases, pancreatic lipase, pancreatic amylase)
> Isotonic fluid to carry enzymes
(≈25% of total fluid)

2- Pancreatic Duct cells - HCO3- secretion
> Hypotonic fluid to carry enzymes
(≈75% of total fluid)

23
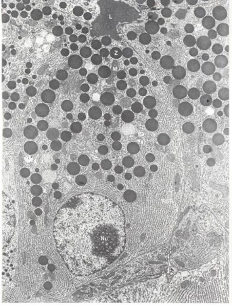
Q

What is a zymogen?

A
  • Pancreatic enzymes are packaged within zymogen granules (Z), which can be secreted upon stimulation of the acinar cell
  • The enzymes within the zymogen granules are inactive precursors of the mature enzyme (zymogens) to prevent autodigestion of the cell
24
Q

Describe the 2 hormones that control exocrine pancreas secretions.

25
1- What are the 4 main categories of pancreatic secretions? 2- What do they do? 3- Are they secreted in active or inactive form?
26
How are proenzymes activated in the duodenum?
27
Pancreatic lipase is secreted in its active form but is inefficient unless.... Describe the process.
- Binds colipase
28
Inappropriate trypsin activation could lead to **autodigestion.** Zymogen granules have some extra defence mechanisms to prevent this. -These are: (relate to pancreatitis)
1- Interior of the zymogen granule is very acidic. Trypsin activity is greatest at alkaline pH (≈8). - Zymogen granules also contain serine protease inhibitors (e.g. SPINK1) to guard against autodigestion. > Loss of SPINK1 has been shown to lead to hereditary forms of pancreatitis. > PANCREATITIS: Premature activation of pancreatic digestive enzymes = causes autodigestion of pancreatic tissue → reduced secretion of digestive enzymes → compromised digestion & absorption of nutrients (especially fats)
29
What can lead to premature activation of Intracellular Trypsin in pancreatic acinar cells?
30
Describe the process of how pancreatic duct cells secrete HCO3- rich fluid.
31
What happens when CFTR is mutated?
- Increased pH in duodenum - Thick & sticky mucus blocking the ducts
32
How does HCO3- neutralise the stomach acid to protect the duodenum?
33
What is Zollinger-Ellison syndrome?
- Secretions of HCO3- normally neutralises stomach acid > Tumors, called gastrinomas, release the hormone gastrin. = stomach to release too much acid. Too much acid can cause painful peptic ulcers inside the lining of your stomach and intestine.
34
What are the optimal luminal environments for chemical digestion throughout the GI tract?
- **Oral cavity**: pH 6.8-7.5 for Amylase activity - **Stomach**: pH 1-3 for Pepsin activity - **Small intestine**: pH 7-9 for Trypsin
35
How are amino-acids absorbed?
1- Oligopeptides & short polypeptide chains broken down via → brush border peptidases → AA 2- Specific AA transporters (usually sodium coupled transporters) → across the basolateral membrane * Loss of AA group/mutation in AA transporter = metabolic problems, growth & developmental defects
36
How are monosaccharides absorbed?
1- Disaccharides → monosaccharides via disacharidases on brush border membrane 2- Glucose & galactose → secondary active transport (sodium glucose linked transporter 1, SGLT1) 3- Fructose → facilitative transport (GLUT5) * Monosaccharides → blood (GLUT2)
37
How are fatty acids absorbed?
1- Bile acids emulsify lipid droplets → lipase break FAs free from droplet 2- Lipase breaks down triacylglycerols → FFAs → mucosal lining 3- Mucosal lining ↓ pH from Na+ H+ exchanger = favours protonation of FAs 4- FAs leave micelle → enterocyte via fatty acid transporters (CD36) or direct diffusion → form new triglycerides → released in form of chylomicrons → lymph duct → blood
38
How is non-haem Iron absorbed?
1- Ferric iron (Fe3+ ) reduced to ferrous iron (Fe2+ ) by duodenal cytochrome B in intestinal lumen 2- Fe2+ is absorbed via divalent metal transporter 1 (DMT1) into enterocyte 3- Intracellular Fe2+ is bound to mobiliferrin or converted to ferritin 4- Fe2+ transported into blood via ferroportin 5- Fe2+ oxidation back to Fe 3+ by hephaestin 6- Iron is transported bound to transferrin
39
How is haem iron absorbed?
- Directly across the brush border before release of its iron by haemoxygenase Fe2+→ haem oxygenase → Mobiliferrin → Ferroportin → Fe2+
40
What causes lactose intolerance?
- Lactase deficiency - Lactase activity reduces after weaning in humans, however the extent of this reduction is more extensive in some ethnic groups, leading to lactase deficiency. This reduces the ability of the body to break down lactose into glucose and galactose. - However there is no transporter for lactose, thus it gets retained in the GIT inducing an **osmotic diarrhoea** with bloating, abdominal pain and flatulence.
41
How has treatments been made to help with obesity?
- Incomplete digestion of food prevents absorption due to the substrate specificity of nutrient transporters - Need for complete digestion for absorption of nutrients has been utilised by pharmaceutical companies in developing anti-obesity drugs. = Orlistat inhibits pancreatic lipase, and thus prevents lipid absorption, as the undigested triglycerides cannot cross the enterocyte membranes. - The most common side effect of this drug is steatorrhoea