What is an extradural haemorrhage?
A collection of blood that forms between the inner surface of the skull and outer layer of the dura, which is called the endosteal layer. EDH typically follows a linear skull vault fracture tearing a branch of the middle meningeal artery. Extradural blood accumulates rapidly over minutes or hours.

Which artery is most commonly implicated in an extradural haemorrhage?
Middle meningeal artery

When might you suspect an extradural haemorrhage?
After any skull fracture - especially temporal/parietal bone. Typically after trauma to the eye
Where does blood accumulate in an extradural haemorrhage?
Between bone and Dura
What are symptoms of an extradural haemorrhage?
What are signs of an extradural haemorrhage?
Raised ICP signs (in sequence)
What is the general progression of extradural haemorrhage from initial insult?
Lucid period -> decreased GCS, signs of rasied ICP -> hemiparesis, brisk reflexes, hutchison’s pupil, coma, bilateral limb weakness, resp depression
What would differentials be for someone who you suspected might have an extradural haemorrhage?
Why do individuals with an extradural haemorrhage get a hutchison’s pupil?
Caused by herniation of the uncus impinging on the occulomotor nerve
Why do individuals with extradural haemorrhage develop bradycardia as a late sign?
As part of Cushing’s Triad/Reflex:
Baroreceptors in the aortic arch detect the initial increase in blood pressure and trigger a parasympathetic response - induces bradycardia, which signifies the second stage of the reflex

Why do those with extradural haemorrhage develop Hypertension as a late sign?
As part of Cushing’s Reflex
In response to raised ICP, the body attempt to restore adequate perfusion to the ischaemic brain, as raised ICP reduces flow of blood into the brain

Why can those with an extradural haemorrhage develop irregular/depressed breathing?
As part of Cushing’s Reflex
Distortion and/or increased pressure on the brainstem causes an irregular respiratory pattern and/or apnea

How would you investigate a suspected extradural haemorrhage?
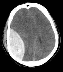
What is the following diagnosis?

Extradural haemorrhage
Why do extradural haemorrhage show up as a biconcave hyperattenuated area on CT?
Due to the insertion points of the dura to the suture lines of the skull

How would you manage someone with an extradural haemorrhage?
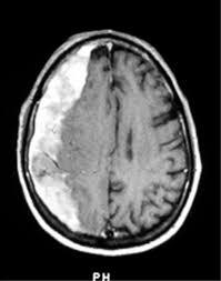
What is a subdural haematoma?
A type of hematoma, usually associated with traumatic brain injury. Blood gathers between the inner layer of the dura mater and the arachnoid mater.

What layers of the meninges does a subdural haemorrhage occur between?
Dura and arachnoid mater
What is the cause of a subdural haemorrhage?
Rupture of bridging veins, caused by:
What are risk factors for subdural haemorrhage?
What are symptoms of a subdural haemorrhage?
What are signs of a subdural haemorrhage?
What investigations would you do in someone with suspected subdural haemorrhage?
Imaging - CT/MRI
What might you see on CT/MRI in someone with a subdural haemorrhage?
