Histology Flashcards

(65 cards)

1
Q

A primordial follicle is composed of _

A

A primordial follicle is composed of a primary oocyte surrounded by flattened granulosa cells

How well did you know this?
1
Not at all
2
3
4
5
Perfectly
2
Q

Follicles are arrested at _

A

Follicles are arrested at prophase I of meiosis
* They remain dormant for years and will decrease in number with age

How well did you know this?
1
Not at all
2
3
4
5
Perfectly
3
Q

A primary follicle is _

A

A primary follicle is primary oocyte surrounded by cuboidal granulosa cells
* Also is arrested at prophase I of meiosis

How well did you know this?
1
Not at all
2
3
4
5
Perfectly
4
Q

A secondary follicle is _

A

A secondary follicle is a primary oocyte surrounded by more layers of granulosa cells

How well did you know this?
1
Not at all
2
3
4
5
Perfectly
5
Q

A _ follicle has a developed outer layer of theca cells

A

A secondary follicle has a developed outer layer of theca cells

How well did you know this?
1
Not at all
2
3
4
5
Perfectly
6
Q

_ follicles become receptive to FSH

A

Secondary follicles become receptive to FSH

How well did you know this?
1
Not at all
2
3
4
5
Perfectly
7
Q

_ follicles acquire a blood supply

A

Secondary follicles acquire a blood supply

How well did you know this?
1
Not at all
2
3
4
5
Perfectly
8
Q

What is the structure?

A

A primary follicle with primary oocyte
* Hint: no antrum can be seen

How well did you know this?
1
Not at all
2
3
4
5
Perfectly
9
Q

A _ follicle is a primary oocyte surrounded by even more granulosa cells that is responsive to FSH

A

A tertiary follicle is a primary oocyte surrounded by even more granulosa cells that is responsive to FSH
* Also called Graafian or mature follicle

How well did you know this?
1
Not at all
2
3
4
5
Perfectly
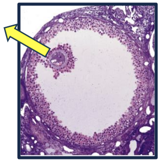
10
Q

What is the following structure?

A

Ovulating follicle
* Appears like a large bulge at the edge of ovary
* Oocyte is suspended by only a thin stalk of granulosa cells
* After meiotic division we get a “secondary oocyte”

How well did you know this?
1
Not at all
2
3
4
5
Perfectly
11
Q

The _ is a “yellow body” or empty follicle that remains after ovulation

A

The corpus luteum is a “yellow body” or empty follicle that remains after ovulation
* It is a richly vascularized temporary endocrine gland

How well did you know this?
1
Not at all
2
3
4
5
Perfectly
12
Q

The corpus luteum is dependent on _ hormone

A

The corpus luteum is dependent on LH

How well did you know this?
1
Not at all
2
3
4
5
Perfectly
13
Q

Lutein cells are responsible for production of _ and _

A

Lutein cells are responsible for production of progesterone and estrogen (small amounts)
* Granulosa lutein cells and theca lutein cells are cells of the corpus luteum that are derived from the follicle’s granulosa and theca cells

How well did you know this?
1
Not at all
2
3
4
5
Perfectly
14
Q

_ is a degenerated corpus luteum that generates a scar like structure

A

Corpus albicans is a degenerated corpus luteum that generates a scar like structure

How well did you know this?
1
Not at all
2
3
4
5
Perfectly
15
Q

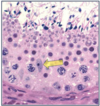
What do these cells secrete?

A

Steroid hormones
* We can see a white ring around the cell which indicates lots of smooth ER
* Lots of smooth ER means we are either in liver (detox) or a site of steroid production

How well did you know this?
1
Not at all
2
3
4
5
Perfectly
16
Q

Follicles that are not selected for ovulation are arrested in _ stage –>
The ovulating follicle reaches _ stage by the time of oocyte release –>
The oocyte completes meiosis in the _

A

Follicles that are not selected for ovulation are arrested in interphase I stage –>
The ovulating follicle reaches metaphase II stage by the time of oocyte release –>
The oocyte completes meiosis in the ampulla

How well did you know this?
1
Not at all
2
3
4
5
Perfectly
17
Q

We have _ and _ cells to help aid the egg to get fertilized in the ampulla and implanted into the uterus

A

We have peg cells and ciliated cells to help aid the egg to get fertilized in the ampulla and implanted into the uterus

How well did you know this?
1
Not at all
2
3
4
5
Perfectly
18
Q

Peg cells function to secrete _

A

Peg cells function to secrete nutrient-rich medium to nourish the spermatozoa
* Helps the preimplantation embryo
* Peg cells also release cytokines that aid in capacitation of spermatozoa

How well did you know this?
1
Not at all
2
3
4
5
Perfectly
19
Q

Peg cells release cytokines which are important for _

A

Peg cells release cytokines which are important for capacitation of spermatozoa

How well did you know this?
1
Not at all
2
3
4
5
Perfectly
20
Q

Meisosis continues at metaphase II –> completion at _

A

Meisosis continues at metaphase II –> completion at fertilization, in the ampulla –> results in ovum and second polar body

How well did you know this?
1
Not at all
2
3
4
5
Perfectly
21
Q

_ type arteries and _ glands are predominant in the proliferative phase

A

Straight arteries and simple tubular glands are predominant in the proliferative phase

How well did you know this?
1
Not at all
2
3
4
5
Perfectly
22
Q

_ type arteries and _ glands are predominant in the secretory phase

A

Coiled arteries and coiled glands are predominant in the secretory phase

How well did you know this?
1
Not at all
2
3
4
5
Perfectly
23
Q

During the secretory phase, coiled glands are secreting _

A

During the secretory phase, coiled glands are secreting glycoprotein

How well did you know this?
1
Not at all
2
3
4
5
Perfectly
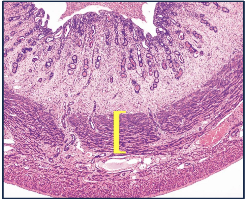
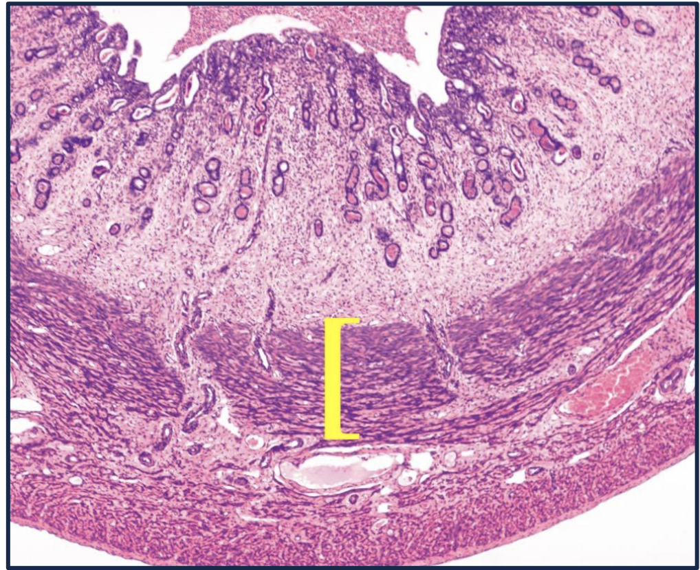
24
Q

What hormone influences this region of the uterus?

A

Oxytocin influences the myometrium

How well did you know this?
1
Not at all
2
3
4
5
Perfectly
25
This region is called the _
This region is called the **squamocolumnar junction** * This is the most common location for cervical squamous cell carcinoma
26
The vagina is lined by _ type cells
The vagina is lined by **stratified squamous epithelium**
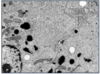
27
What stimulates the following cells?
**LH** stimulates leydig cells
28
Which cell is haploid with 1C DNA?
3
29
What is the function of this cell?
**Sertoli cell** forms the blood-testis barrier (only can see the nucleus here)
30
Two cells are seen here which secrete _
Two cells are seen here which secrete **testosterone**
31
Explain the pathway of sperm
"SEVEN UP" Seminiferous tubules (testis) --> Epididymis (above testis) --> Vas deferens --> Ejaculatory duct --> Nothing Urethra --> Penis?
32
Explain the pathway in which sperm is made in seminiferous tubules --> storage in the epididymus
Tubuli recti --> Rete testis --> Efferent ductules
33
_ cells are found lining the seminiferous tubules
**Sertoli cells** are found lining the seminiferous tubules (only nucleus can be seen) * Forming blood-testis barrier * Supporting developing spermatozoa
34
As we move from basement membrane --> lumen of the seminiferous tubule, the sperm cells become more (mature/ immature)
As we move from basement membrane --> lumen of the seminiferous tubule, the sperm cells become **more mature**
35
Name the stages of male germ cell development
**Spermatogonium** --> **Primary spermatocyte** --> **Secondary spermatocyte** --> **Spermatid** --> **Mature spermatozoon**
36
Name the ploidy and number of chromatids for each sperm cell stage
**Spermatogonium** (2N, 2C) --> **Primary spermatocyte** (2N, 4C) --> **Secondary spermatocyte** (1N, 2C) --> **Spermatid** (1N, 1C) --> **Mature spermatozoon** (1N, 1C)
37
Name (4) functions of sertoli cells
1. **Support, protect, nourish** spermatogenic cells 2. **Phagocytose** excess cytoplasm discarded by maturing spermatids 3. **Secretion** fructose, ABP, inhibin, antimullerian 4. **Formation of blood-testis barrier**
38
_ stimulates sertoli cells
**FSH** stimulates sertoli cells
39
Sertoli cells secrete fructose for _
Sertoli cells secrete fructose for **nourishment of spermatogenic cells**
40
Sertoli cells secrete _ to maintain/ "hold onto" testosterone
Sertoli cells secrete **androgen-binding protein** to maintain/ "hold onto" testosterone
41
Sertoli cells secrete _ to inhibit FSH
Sertoli cells secrete **inhibin** to inhibit FSH
42
Sertoli cells secrete _ for body hair, shape, etc
Sertoli cells secrete **antimullerian hormone** for body hair, shape, etc
43
_ cells connect to one another via tight junctions to form the blood-testis barrier to protect sperm cells from autoimmune reactions
**Sertoli cells** connect to one another via tight junctions to form the blood-testis barrier to protect sperm cells from autoimmune reactions
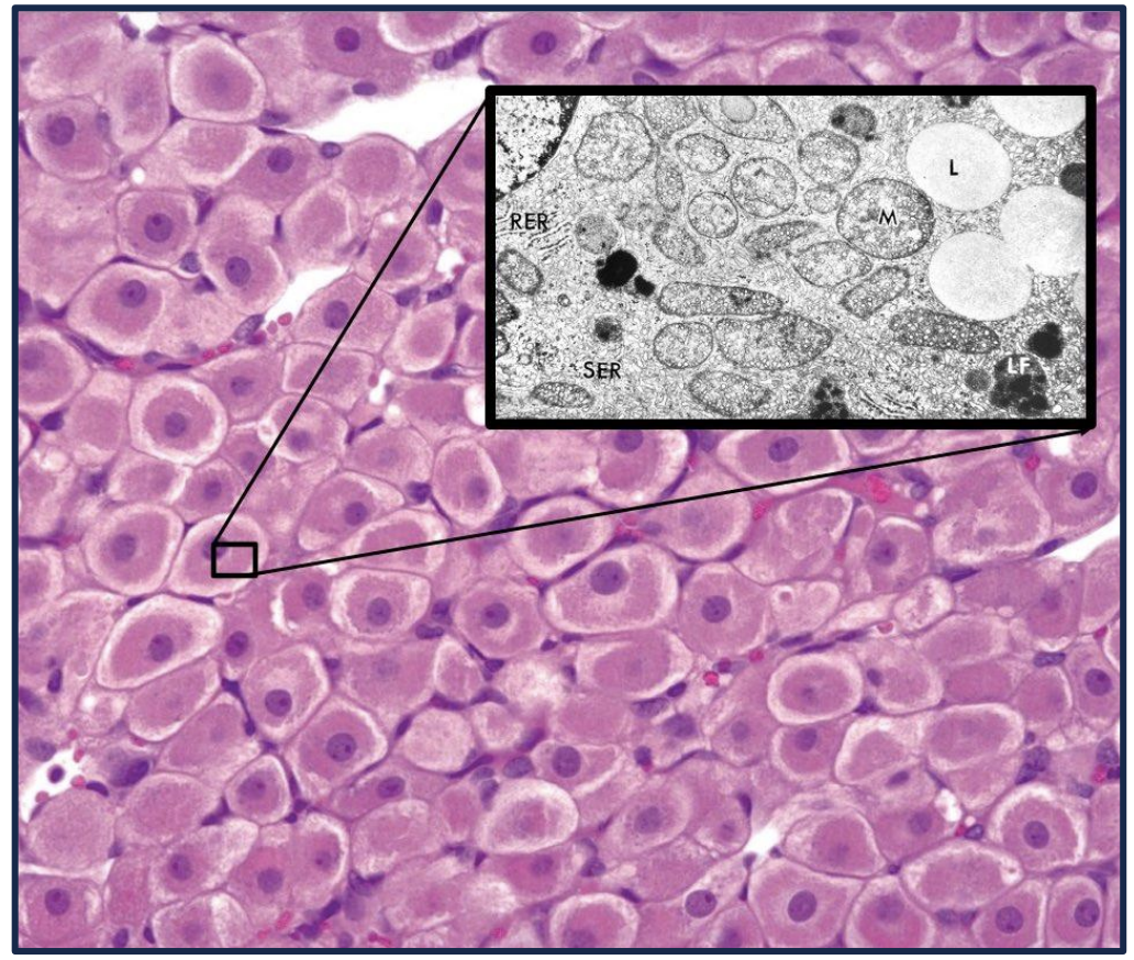
44
_ cells are the interstitial cells found between the seminiferous tubules
**Leydig cells** are the interstitial cells found between the seminiferous tubules
45
Leydig cells secrete testosterone into the blood; therefore their structure includes:
Leydig cells secrete testosterone into the blood; therefore their structure includes: * **Lipid droplets** * **Lots of smooth ER** * **Mitochondria with tubulovesical cristae**
46
Leydig cells contain rod-like cytoplasmic inclusions called _
Leydig cells contain rod-like cytoplasmic inclusions called **Reinke crystals**
47
The _ at the head of the sperm contains proteolytic enzymes that allow the sperm to penetrate the outer layers of the egg at fertilization
The **acrosome** at the head of the sperm contains proteolytic enzymes that allow the sperm to penetrate the outer layers of the egg at fertilization
48
The structure of the epididymus is a _
The structure of the epididymus is a **long convoluted tube with pseudostratified epithelium**
49
_ is the site of storage and maturation of the sperm; where they become motile
**Epididymus** is the site of storage and maturation of the sperm; where they become motile
50
The _ secretes a substance that inhibits capacitation (final maturation stage occurring in fallopian tube)
The **epididymus** secretes a substance that inhibits capacitation (final maturation stage occurring in fallopian tube)
51
The ductus (vas) deferens is a structure made of pseudostratified epithelium and three layers of _
The ductus (vas) deferens is a structure made of pseudostratified epithelium and three layers of **smooth muscle** (the outer region is the serosa)
52
The function of the vas deferens is to _
The function of the vas deferens is to **propel sperm with contraction of smooth muscle**
53
The _ are paired tubular glands of pseudostratified epithelium that contributes up to 85% of seminal volume
The **seminal vesicles** are paired tubular glands of pseudostratified epithelium that contributes up to 85% of seminal volume
54
Name (3) functions of the seminal vesicles
1. Secrete proteins, enzymes, fructose to nourish sperm 2. Secrete semenogelin that causes semen to coagulate 3. Contributes 70-85% of seminal volume and causes yellowish color
55
The seminal vesicles produce a substance called _ that causes semen to coagulate
The seminal vesicles produce a substance called **semenogelin** that causes semen to coagulate
56
The (peripheral/ central/ transitional) zone is the most common site of prostate cancer
The **peripheral zone** is the most common site of prostate cancer
57
The (peripheral/ central/ transitional) zone is the most common site of BPH
The **transitional zone** is the most common site of BPH
58
The prostate has _ to helps propel semen
The prostate has **smooth muscle in stroma** that helps to propel semen
59
Three (3) substances secreted by the prostate
1. **Alkaline substance** to neutralize the acidic environment of the vagina 2. **Nutrients** 3. **Fibrinolysin** to liquefy coagulated semen
60
The seminal vesicles contribute 85% of seminal volume and gives a _ color; the prostate provides the remaining 15% and causes a _ color
The seminal vesicles contribute 85% of seminal volume and gives a **yellow** color; the prostate provides the remaining 15% and causes a **white** color
61
_ are prostatic concretions that occur with age and are benign
**Corpora amylacea** are prostatic concretions that occur with age and are benign
62
Seminal vesicles add _ to the semen
Seminal vesicles add **fructose, semenogelin** to the semen
63
Secretions from the _ help to liquefy coagulated semen after it is deposited into the female
Secretions from the **prostate** help to liquefy coagulated semen after it is deposited into the female
64
In a female, meiosis I is arrested in _ for years until ovulation
In a female, meiosis I is arrested in **prophase I** for years until ovulation
65
In a female, meiosis II is arrested in _ until fertilization
In a female, meiosis II is arrested in **metaphase II** until fertilization