Les pertes de gestation Flashcards

(32 cards)

1
Q

quelle est la durée de gestation moyenne de la jument

A

330-345 jours

How well did you know this?
1
Not at all
2
3
4
5
Perfectly
2
Q

à combien de jours de gestation on considère que la jument à un avortement lorsqu’elle perd son poulain

A

moins de 300 jours de gestation

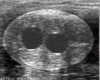
How well did you know this?
1
Not at all
2
3
4
5
Perfectly
3
Q

à combien de jours de gestation on considère que la jument à une mortinatalité lorsqu’elle perd son poulain

A

plus de 300 jours de gestation

How well did you know this?
1
Not at all
2
3
4
5
Perfectly
4
Q

jusqu’à combien de jour après la naissance on considère une mortalité néonatale précoce

A

dans les 7 jours post-partum

How well did you know this?
1
Not at all
2
3
4
5
Perfectly
5
Q

quelles sont les 3 grandes causes d’avortement

A

infectieuse (virus, bactéries, mycoses)
non-infectieuse (maternelle ou foetale)
toxique (ex: mare reproductive loss syndrome, caterpillar)

How well did you know this?
1
Not at all
2
3
4
5
Perfectly
6
Q

nommer un virus qui crée des avortement chez la jument ***EXAM

A

herpesvirus equin type 1 (rarement type 4)

How well did you know this?
1
Not at all
2
3
4
5
Perfectly
7
Q

comment se fait la transmission de l’herpesvirus equin

A

directe, indirecte

How well did you know this?
1
Not at all
2
3
4
5
Perfectly
8
Q

Completer: les avortements par herpesvirus equin se font generalement autour de ___à___ mois de gestation.

A

8 à 9

How well did you know this?
1
Not at all
2
3
4
5
Perfectly
9
Q

V ou F: l’herpesvirus peut causer des avortements, des mortinatalités et des mortalités néonatales précoces.

A

vrai!

How well did you know this?
1
Not at all
2
3
4
5
Perfectly
10
Q

V ou F: une jument vaccinée contre herpesvirus equin peut quand même avorter à cause du virus.

A

vrai

  • les avortements par herpesvirus equin sont isolés chez les juments vaccinées et par vagues chez les juments non vaccinées
How well did you know this?
1
Not at all
2
3
4
5
Perfectly
11
Q

Quels sont les signes cliniques annonciateurs d’un avortement par herpesvirus equin

A

aucun! la jument apparait normale.

How well did you know this?
1
Not at all
2
3
4
5
Perfectly
12
Q

de quoi a l’air l’avorton lors d’avortement à herpesvirus equin

A

foetus frais, enveloppé dans ses membranes

How well did you know this?
1
Not at all
2
3
4
5
Perfectly
13
Q

Comment peut-on réduire les avortements dus à l’herpesvirus equin (5)

A
  • Maintenir les poulinières en petits groupes isolés
  • Réduire le stress
  • Pas de matériel commun
  • Mettre les nouveaux arrivants en quarantaine
  • Vacciner toutes les poulinières à 5, 7 et 9 mois de gestation avec un vaccin indiqué pour la prévention de l’avortement
How well did you know this?
1
Not at all
2
3
4
5
Perfectly
14
Q

V ou F: Le vaccin réduit la prévalence mais les juments vaccinées peuvent toujours avorter

A

vrai!!

How well did you know this?
1
Not at all
2
3
4
5
Perfectly
15
Q

quelles sont les principales causes d’avortement en amérique du nord

A

les placentites ascendantes (bactériennes)

How well did you know this?
1
Not at all
2
3
4
5
Perfectly
16
Q

Nommer des agents de placentites bactérienne causant des avortements **EXAM (5)

A
  • Streptococcus equi subsp zooepidemicus
  • E. Coli
  • Pseudomonas aeruginosa
  • Klebsiella pneumoniae
  • Nocardia
17
Q

Quelles sont les trois couches du placenta en partant de l’endomètre vers le foetus

A

chorion
allantoide
amios

18
Q

nommer 2 symptomes de placentite bactérienne **EXAM

A
  • developpement prématuré des glandes mammaires
  • pertes vaginales purulentes
19
Q

comment peut-on faire le diagnostic des placentites bactériennes (2)

A

echographie
lésions a/n des membranes foetales

20
Q

Quels sont les éléments observés à l’echographie lors du diagnostic des placentites (4)

A
  • ECUP (epaisseur combinée uterus-placenta)
  • Séparation du placenta (Normalement, l’allanto-chorion est accolé parfaitement à l’endomètre. Sinon, du pus peut s’accumuler entre les deux)
  • Matériel purulent dans la région interne du col de l’utérus
  • Qualité du liquide allantoidien et amniotique (anormal: particules qui flottent, matériel heterogène)
21
Q

Quelle est l’épaisseur normale de l’uterus-placenta (ECUP) ***EXAM

A

Age de gestation-1

22
Q

quelles sont les lésions de placentite observées au niveau des membranes foetales (post-avortement/naissance) (3)

A
  • décoloration et apississement des membranes en région cervicale
  • augmentation du poids des membranes (poids normal des membranes foetales = 11% du poids du poulain)
  • aspect de l’amnios et du cordon ombilical anormal
23
Q

quelle est la lésion classique de placentite ascendante sur les membranes

A

etoile cervicale
red bag

24
Q

quel est le traitement des placentites bactériennes (3)

A
  • ATB -> pénicilline + gentamycine, TMS
  • anti-inflammatoires -> Flunixine méglumine, phénylbutazone
  • Progesterone
25
Pourquoi donner de la progesterone dans le cas de placentite
col est ouvert (bacteries ont passées) -> inflammation -> relache de prostaglandine -> avortement! pour eviter l’avortement, on donne de la progesterone +++ ce qui empeche les contractions et les avortements. par contre, si le foetus meurt il ne sera pas expulsé donc il faut faire des echos souvents
26
quel est le pronostic des placentites bactériennes
réservé (lors de la fin de gestation) à sombre (lors de gestation moins avancée)
27
V ou F: lors de placentite bactérienne, ili est mieux de faire un poulinage sous assistance vétérinaire, car les dystocies ne sont pas rares
vrai! le foetus est faible et n'adopte pas la position dorso-sacrée normale
28
Quelles sont les causes d'avortement d'origine non-inectieuse (4)
- Gestation gémellaire - insuffisance lutéale - gestation dans le corps de l'utérus (ectopique) - torsion du cordon ombilical
29
à quel moment est-ce qu'on peut diagnostiquer une gestation gémellaire à l'echographie
échographie transrectale 14-15 j
30
comment peut-on diagnostiquer une gestation gémellaire lorsque la gestation est déjà avancée (5-7 mois) (3)
- dev précoce des gl mammaires - elargissement anormal de la cavité abdominale - echo transabdominale
31
La torsion du cordon ombilical se fait habituellement à quel moment dans la gestation
dernier tiers
31
Le cordon ombilical fait combiens de tours normalement, et fait combien de cm
moins de 4, 40-85cm