Neuropathology Flashcards

(100 cards)

1
Q

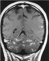
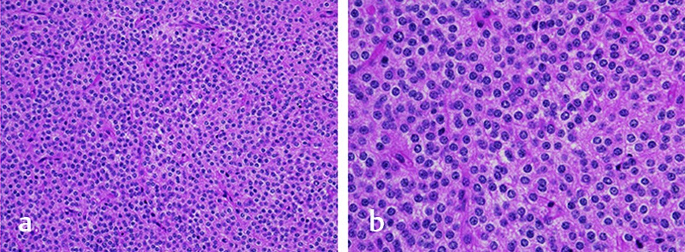
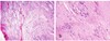
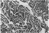
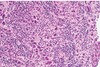
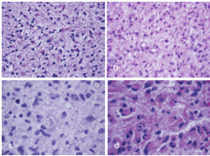
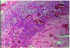
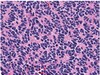
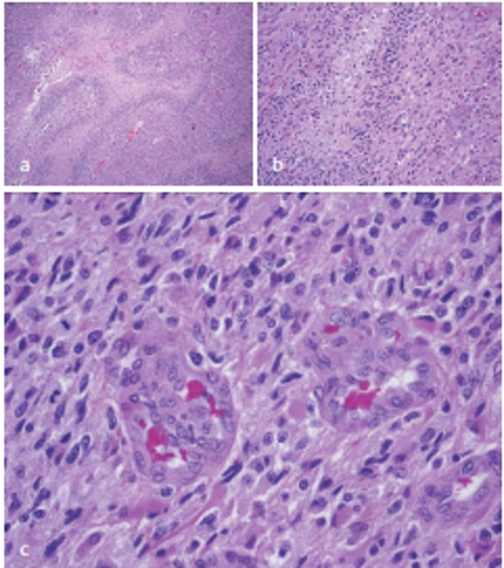
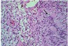
You are evaluating a 65-year-old woman with the onset of low-grade headache and occasional word finding difficulties. Imaging demonstrates a left-sided ring-enhancing mass. You complete a gross total resection and the final pathology is demonstrated below. What gene amplification is often seen in this tumor type?
A. VEGF upregulation
B. EGFR amplification
C. 10p/19Q co-deletion
D. SHH deletion

A

A. VEGF upregulation
B. EGFR amplification
C. 10p/19Q co-deletion
D. SHH deletion

The pathology slide demonstrates evidence of glioblastoma, notable for pseudopalisading necrosis. GBM often demonstrates amplification of EGFR, and this can also be a reason for tumor transition from anaplastic astrocytoma to GBM.
Further Reading: Psaaros. The Definitive Neurosurgical Board Review, page 126.

How well did you know this?
1
Not at all
2
3
4
5
Perfectly
2
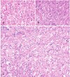
Q

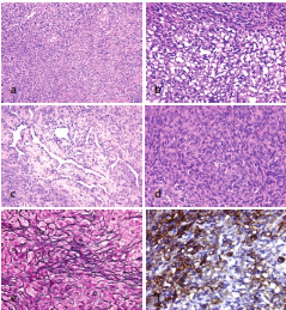
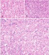
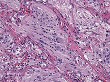
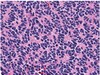
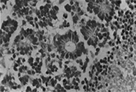
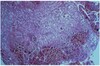
A 30-year-old man experiences a first time seizure after a night of drinking with friends. In the emergency department, a head CT is obtained which is suggestive of a right anterior temporal hypodensity. Subsequent MRI confirms a non-enhancing, T2 hyperintense mass. Surgical resection is performed and final pathology is below. What is the most common chromosomal abnormality in this tumor type?
A. Loss of 1P/19Q
B. EGFR amplification
C. Loss of sex chromosome
D. Loss of chromosome 22

A

A. Loss of 1P/19Q
B. EGFR amplification
C. Loss of sex chromosome
D. Loss of chromosome 22

The pathology slide demonstrates an anaplastic astrocytoma, a WHO grade III glioma. Genetic mutations include P53 mutations and loss of sex chromosome. They often demonstrate GFAP positivity and occasionally S-100 positivity.
Further Reading: Psaaros. The Definitive Neurosurgical Board Review, page 126.

How well did you know this?
1
Not at all
2
3
4
5
Perfectly
3
Q

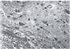
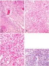
You resect a tumor from a 53-year-old man. Final pathology slide is shown in Question 2. What is likely to be demonstrated on further staining of the pathologic tissue?
A. IDH wild-type
B. IDH mutant
C. Loss of chromosome 22
D. Loss of chromosome 10

A

A. IDH wild-type
B. IDH mutant
C. Loss of chromosome 22
D. Loss of chromosome 10

IDH mutations are becoming important for both glioma identification/characterization as well as prognostication. IDH mutations in primary GBM are very rare. IDH mutations are much more commonly found in WHO grade II-III lesions. If a GBM is found to have IDH mutations, it is likely that it transformed from a lower grade glial neoplasm.
Further Reading: Cohen et al. IDH1 and IDH2 Mutations in Glioma. 2013.

How well did you know this?
1
Not at all
2
3
4
5
Perfectly
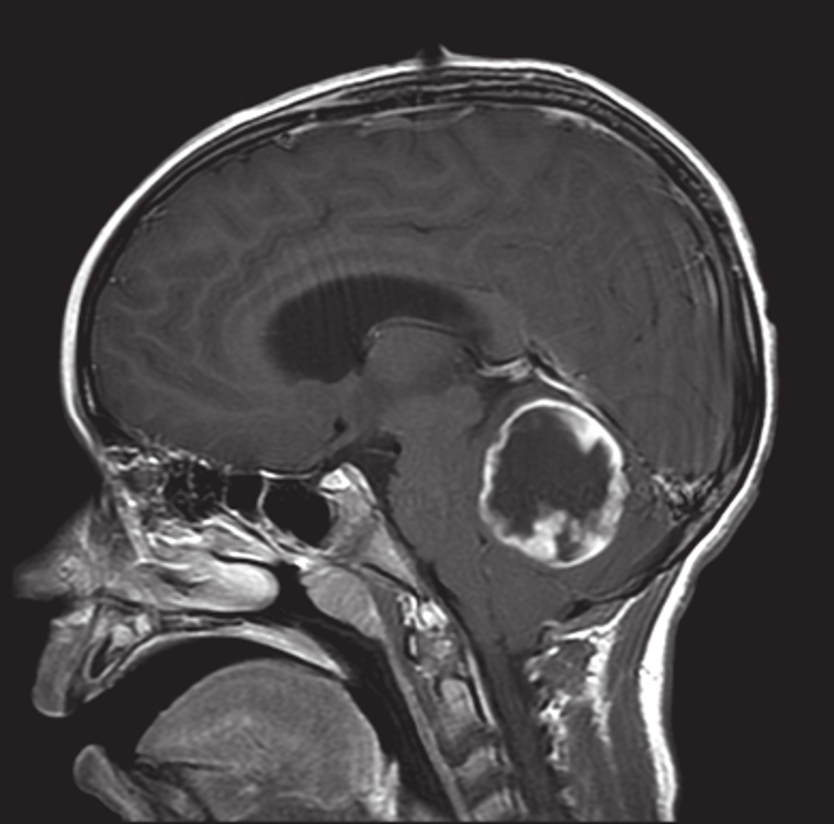
4
Q

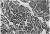
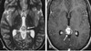
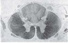
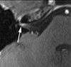
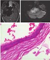
You see a patient with this MRI. What histologic findings would you expect if this was found to be a glial neoplasm?
A. Prominent Rosenthal fibers
B. Focal calcification
C. Prominent reticulin staining
D. “Fried-egg appearance”

A

A. Prominent Rosenthal fibers
B. Focal calcification
C. Prominent reticulin staining
D. “Fried-egg appearance”

This MRI is suggestive of a pilocytic astrocytoma, given the cystic component with an enhancing nodule. Histologically, these tumors demonstrate parallel arrangement of bipolar astrocytes with Rosenthal fibers and eosinophilic granular bodies.
Further Reading: Psaaros. The Definitive Neurosurgical Board Review, page 127.

How well did you know this?
1
Not at all
2
3
4
5
Perfectly
5
Q

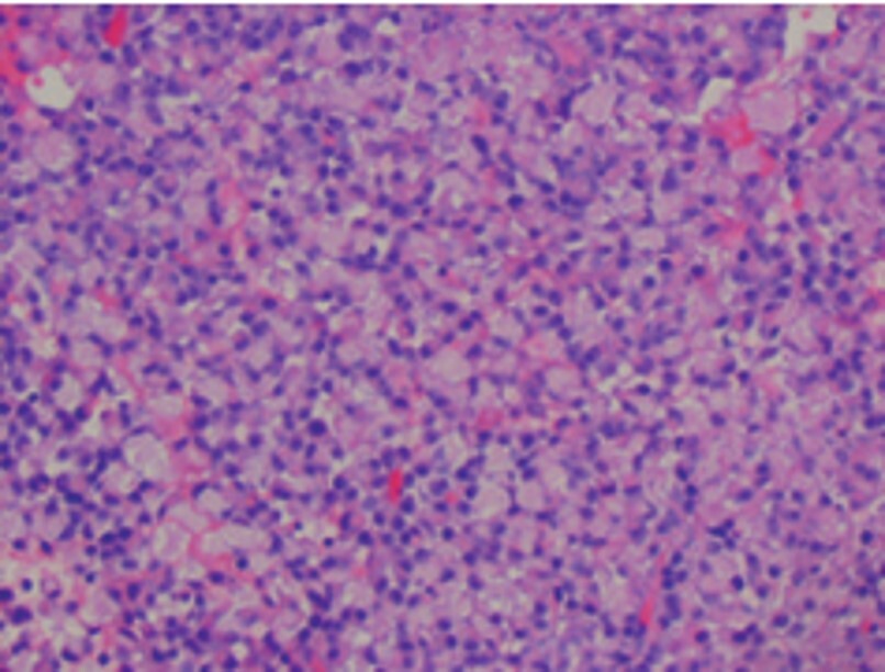
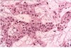
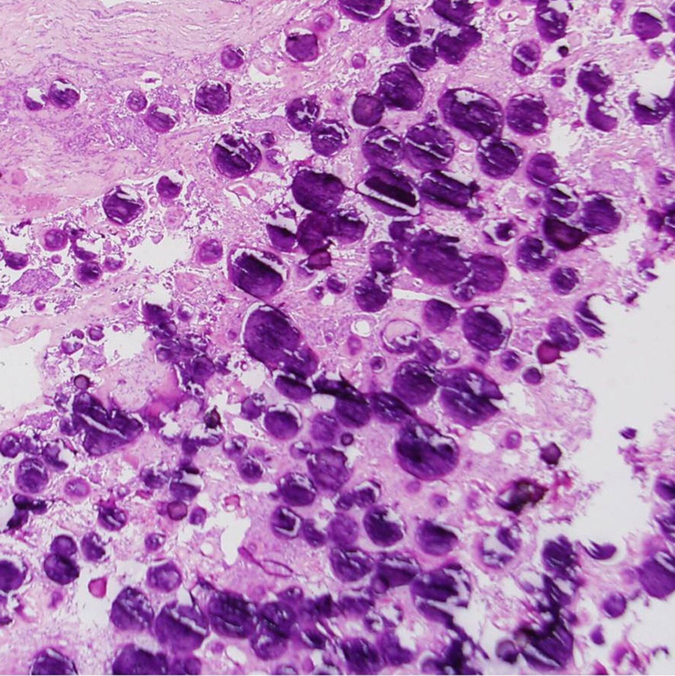
A 21-year-old woman patient with the tumor demonstrated on this slide is most likely to present with what symptoms?
A. Focal neurologic deficit
B. Headache
C. Seizures
D. Nausea

A

A. Focal neurologic deficit
B. Headache
C. Seizures
D. Nausea

This pathology slide demonstrates eosinophilic granular bodies and a “storiform” pattern of cellu- lar organization. This is common in pleomorphic xanthoastrocytoma. Intense reticulin staining can also be observed. These tumors often develop in the temporal lobe, have cystic components and present with seizures.
Further Reading: Psaaros. The Definitive Neurosurgical Board Review, page 127.

How well did you know this?
1
Not at all
2
3
4
5
Perfectly
6
Q

A 30-year-old man patient with the tumor demonstrated on this slide likely has what other abnormalities?
A. Cortical malformations
B. Optic glioma
C. Retinoblastoma
D. Hypotelorism

A

A. Cortical malformations
B. Optic glioma
C. Retinoblastoma
D. Hypotelorism

This pathology slide demonstrates gemistocytic type cells with a large eosinophilic cytoplasm and a large eccentric nucleus seen in subependymal giant cell astrocytomas. These tumors are seen in tuberous sclerosis, where cortical tubers can also be seen.
Further Reading: Psaaros. The Definitive Neurosurgical Board Review, page 128.

How well did you know this?
1
Not at all
2
3
4
5
Perfectly
7
Q

The tumor seen in this pathology slide often exhibits what genetic abnormality?
A. Chromosome 17 loss
B. Chromosome 21 loss
C. Isochromosome 17q
D. 1p/19q co-deletion

A

A. Chromosome 17 loss
B. Chromosome 21 loss
C. Isochromosome 17q
D. 1p/19q co-deletion

This pathology slide demonstrates classic “friedegg” appearance of oligodendrogliomas. These tumors often demonstrate 1p/19q co-deletion, and this finding is helpful for both therapeutic and prognostic applications.
Further Reading: Psaaros. The Definitive Neurosurgical Board Review, page 128.

How well did you know this?
1
Not at all
2
3
4
5
Perfectly
8
Q

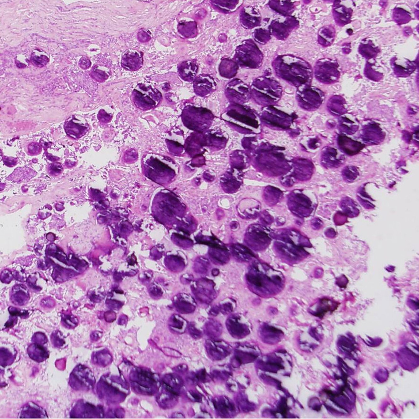
You resect a tumor in a 40-year-old man that was causing triventricular hydrocephalus. Final pathology is demonstrated below. What characteristic is classic for these tumors?
A. S-100 positivity
B. EMA positivity
C. Synaptophysin positivity
D. 1p/19q co-deletion

A

A. S-100 positivity
B. EMA positivity
C. Synaptophysin positivity
D. 1p/19q co-deletion

This pathology slide demonstrates classic periventricular pseudorosettes and uniform cells with variable nuclear : cytoplasmic ratio commonly seen in ependymoma. These tumors often present in the ventricle, and are found to be GFAP, PTAH and EMA positive.
Further Reading: Psaaros. The Definitive Neurosurgical Board Review, page 128.

How well did you know this?
1
Not at all
2
3
4
5
Perfectly
9
Q

You resect a tumor in a 60-year-old man that was causing triventricular hydrocephalus. Final pathology is demonstrated below. What characteristic is classic for these tumors?
A. Homogenous gadolinium enhancement on MRI
B. Cystic cavity with enhancing mural nodule on MRI
C. Multicentric calcification on CT scan
D. Lack of gadolinium enhancement on MRI

A

A. Homogenous gadolinium enhancement on MRI
B. Cystic cavity with enhancing mural nodule on MRI
C. Multicentric calcification on CT scan
D. Lack of gadolinium enhancement on MRI

This pathology slide demonstrates classic subependymoma, showing small groups of cells with scant cytoplasm in a fibrillary background (islands of blue in a sea of pink). These tumors are often slow growing and can be completely asymptomatic, but due to their location in the 4th ventricle in most adults, they can present with hydrocephalus. On MRI, they classically are an intraventricular lesion that does not demonstrate enhancement with gadolinium.
Further Reading: Bernstein, Berger. Neuro-Oncology - The Essentials, 3rd edition, 2015, intraventricular tumors.

How well did you know this?
1
Not at all
2
3
4
5
Perfectly
10
Q

You resect a tumor in a 5-year-old girl with persistent seizures and an abnormality of the temporal lobe on MRI. Final pathology is below. What tumor type did you resect?
A. Plemorphic xanthoastrocytoma
B. Low-grade glioma
C. Juvenile pilocytic astrocytoma
D. Ganglioglioma

A

A. Plemorphic xanthoastrocytoma
B. Low-grade glioma
C. Juvenile pilocytic astrocytoma
D. Ganglioglioma

This slide demonstrates ganglioglioma, which is often seen to have binucleate cells (ganglion cells) with eosinophilic granular bodies. It is often seen in children at 5-6 years of age and present often with intractable seizures.
Further Reading: Psaaros. The Definitive Neurosurgical Board Review, page 128.

How well did you know this?
1
Not at all
2
3
4
5
Perfectly
11
Q

You resect a tumor in a 30-year-old girl. Final pathology is below. This tumor type is often seen in what location?
A. Attached to septum pellucidum
B. 4th ventricle
C. Lateral ventricle
D. Temporal lobe

A

A. Attached to septum pellucidum
B. 4th ventricle
C. Lateral ventricle
D. Temporal lobe

This slide demonstrates a central neurocytoma, with homogenous cells with round nuclei on a fibrillary background. These tumors are found within the lateral ventricle attached to the septum pellucidum.
Further Reading: Psaaros. The Definitive Neurosurgical Board Review, page 129.

How well did you know this?
1
Not at all
2
3
4
5
Perfectly
12
Q

You biopsy a multifocal lesion in the brain of a 60-year-old woman. The final pathology slide is shown below. What is the primary method of initial treatment for this neoplasm?
A. Temozolamide/External beam radiotherapy
B. Steroids
C. PCV chemotherapy
D. Stereotactic radiosurgery

A

A. Temozolamide/External beam radiotherapy
B. Steroids
C. PCV chemotherapy
D. Stereotactic radiosurgery

This slide demonstrates a cellular proliferation around small vascular channels/arterioles. This is highly suggestive of CNS lymphoma, and initial treatment can be carried out with steroids.

How well did you know this?
1
Not at all
2
3
4
5
Perfectly
13
Q

The tumor depicted in the slide below originates from which cells?
A. Astrocytes
B. Ependymal cells
C. Schwann cells
D. Arachnoid cap cells

A

A. Astrocytes
B. Ependymal cells
C. Schwann cells
D. Arachnoid cap cells

This slide demonstrates a classic meningioma. These tumors develop from arachnoid cap cells.
Further Reading: Psaaros. The Definitive Neurosurgical Board Review, page 131.

How well did you know this?
1
Not at all
2
3
4
5
Perfectly
14
Q

What type of meningioma is depicted below?
A. Fibrous
B. Psammomatous
C. Transitional
D. Angiomatous

A

A. Fibrous
B. Psammomatous
C. Transitional
D. Angiomatous

This slide demonstrates a classic psammomatous meningioma. While multiple subtypes of meninigomas may demonstrate psammoma bodies, when there is a high concentration of these structures, the overall morphology is likely a psammomatous meningoma.
Further Reading: Psaaros. The Definitive Neurosurgical Board Review, page 131.

How well did you know this?
1
Not at all
2
3
4
5
Perfectly
15
Q

What is the most common genetic malformation in the tumor type depicted in the figure in Question 14?
A. 1p/19q co-deletion
B. Loss of chromosome 22
C. EGFR amplification
D. P53 mutation

A

A. 1p/19q co-deletion
B. Loss of chromosome 22
C. EGFR amplification
D. P53 mutation

The slide demonstrates a meningioma. The most common genetic malformation in meningioma is loss of chromosome 22.
Further Reading: Psaaros. The Definitive Neurosurgical Board Review, page 131.

How well did you know this?
1
Not at all
2
3
4
5
Perfectly
16
Q

Which type of meningioma is considered a WHO grade III lesion?
A. Angiomatous
B. Psammomatous
C. Rhabdoid
D. Chordoid

A

A. Angiomatous
B. Psammomatous
C. Rhabdoid
D. Chordoid

Papillary, rhabdoid and anaplastic meningiomas are considered WHO grade III. Atypical and chordoid meningomas are considered WHO grade II, and all others are considered WHO grade I.
Further Reading: Psaaros. The Definitive Neurosurgical Board Review, page 131.

How well did you know this?
1
Not at all
2
3
4
5
Perfectly
17
Q

Meningiomas tend to demonstrate what charac- teristic positivity?
A. Vimentin
B. GFAP
C. Synaptophysin
D. Neurofilament

A

A. Vimentin
B. GFAP
C. Synaptophysin
D. Neurofilament

Meningiomas often have vimentin, EMA and occasionally S-100 positivity.
Further Reading: Psaaros. The Definitive Neurosurgical Board Review, page 131.

How well did you know this?
1
Not at all
2
3
4
5
Perfectly
18
Q

A tumor with the histology demonstrated below is most likely to arise from what region?

A

A. Sellar/suprasellar
B. Cerebellum
C. Convexity
D. Pineal

The tumor type depicted is a pineoblastoma. It is a poorly differentiated cancer of embryonal origin that demonstrates sheets of blue cells forming classic Flexner-Wintersteiner rosettes, pictured here. These are rosettes formed around cellular extensions rather than a blood vessel.
Further Reading: Psaaros. The Definitive Neurosurgical Board Review.

How well did you know this?
1
Not at all
2
3
4
5
Perfectly
19
Q

You are evaluating a 52-year-old patient with large hands, coarse fascies, excessive sweating and muscle pain. Ultimately a tumor is resected and the pathology is below. 40% of these tumors exhibit mutations in what gene?
A. n-Myc
B. gsp
C. P53
D. SHH

A

A. n-Myc
B. gsp
C. P53
D. SHH

The patient has signs of acromegaly, suggestive of a GH-secreting pituitary adenoma. 40% of GH-secreting adenomas exhibit a mutation of gsp.
Further Reading: Psaaros. The Definitive Neurosurgical Board Review, page 131.

How well did you know this?
1
Not at all
2
3
4
5
Perfectly
20
Q

You are evaluating a patient who is found on imaging to have a large pituitary mass. Pituitary function testing returns normal. You are concerned given the size that pituitary failure will develop. What is the first peptide deficiency you should expect to see?
A. GH
B. FSH/LH
C. TSH
D. ACTH

A

A. GH
B. FSH/LH
C. TSH
D. ACTH

Large, non-functioning pituitary adenomas can cause pituitary failure due to compression of the gland. GH is often the first peptide to be noticeably diminished in this setting.
Further Reading: Psaaros. The Definitive Neurosur- gical Board Review, page 132.

How well did you know this?
1
Not at all
2
3
4
5
Perfectly
21
Q

You resect a mass that appears to be originating in the suprasellar region. Final pathology is demonstrated below. What is the diagnosis?
A. Rathke’s cleft cyst
B. Germinoma
C. Papillary cranyiopharyngioma
D. Pilocytic astrocytoma

A

A. Rathke’s cleft cyst
B. Germinoma
C. Papillary cranyiopharyngioma
D. Pilocytic astrocytoma

The histologic slide demonstrates a papillary craniopharyngioma, the subtype more commonly found in adults. Adamantinomatous subtypes exhibit cholesterol clefts and scattered calcification.
Further Reading: Psaaros. The Definitive Neurosurgical Board Review, page 132.

How well did you know this?
1
Not at all
2
3
4
5
Perfectly
22
Q

This mass is resected over the convexity, and the final pathology is demonstrated below. What markers distinguish it from a meningioma?
A. EMA positive
B. EMA negative
C. Vimentin positive
D. Vimentin negative

A

A. EMA positive
B. EMA negative
C. Vimentin positive
D. Vimentin negative

This slide demonstrates a hemangiopericytoma, with classic staghorn vessels. While both meningiomas and HPCs stain positive for vimentin, HPCs are EMA negative while meningiomas are EMA positive.
Further Reading: Psaaros. The Definitive Neurosurgical Board Review, page 132.

How well did you know this?
1
Not at all
2
3
4
5
Perfectly
23
Q

A 42-year-old woman has chronic headaches and undergoes surgery to resect a mass lesion. Final pathology is below. What is the diagnosis?
A. Colloid cyst
B. Mature teratoma
C. Pilocytic astrocytoma
D. Dermoid cyst

A

A. Colloid cyst
B. Mature teratoma
C. Pilocytic astrocytoma
D. Dermoid cyst

This slide demonstrates a colloid cyst. The patient presented with headaches and likely low grade hydrocephalus. These lesions present within the third ventricle at the level of the foramen of Monro. They can transiently obstruct CSF flow leading to hydrocephalus. Histologically, they demonstrate a fibrous capsule with an inner epithelial layer and proteinaceous material within the cyst itself.
Further Reading: Psaaros. The Definitive Neurosur- gical Board Review, page 132.

How well did you know this?
1
Not at all
2
3
4
5
Perfectly
24
Q

The mass demonstrated in the pathology slide below originates from what structure?
A. Adenohypophysis
B. Pars intermedia
C. Tuburculum sellae
D. Pituitary stalk*

A

A. Adenohypophysis
B. Pars intermedia
C. Tuburculum sellae
D. Pituitary stalk

This slide demonstrates a Rathke’s cleft cyst, as evident by the cleft as well as normal surrounding pituitary tissue. These masses arise from the pars intermedia of the pituitary gland.
Further Reading: Psaaros. The Definitive Neurosurgical Board Review, page 132.

How well did you know this?
1
Not at all
2
3
4
5
Perfectly
25
A 22-year-old man has this tumor removed after presenting with headaches and nausea. Where is this tumor most likely to arise from? A. Superior medullary velum **** C. Choroid plexus D. C1 nerve root
**A. Superior medullary velum** B. Floor of the 4th ventricle C. Choroid plexus D. C1 nerve root ## Footnote The slide demonstrates perivascular pseudorosettes, columnar cells surrounding blood vessels. This is a classic finding for ependymoma, which is thought to arise from the floor of the 4th ventricle. Often times these tumors present with nausea compared to subependymomas. Further Reading: Psaaros. The Definitive Neurosurgical Board Review, page 128.
26
You would expect the lesion pictured in Question 25 to stain positive for all markers except? A. GFAP B. Vimentin C. EMA D. PTAH
A. GFAP **B. Vimentin** C. EMA D. PTAH ## Footnote This slide demonstrates an ependymoma, classic with perivascular pseudorosettes. Ependymomas often have a loss of chromosome 22 and exhibit GFAP, PTAH and EMA positivity. Further Reading: Psaaros. The Definitive Neurosurgical Board Review, page 128.
27
You are evaluating a patient who has headaches and received an MRI. The MRI demonstrated a small lesion in the 4th ventricle that does not enhance. The patient is adamant about removing the mass. At surgery, you resect it and send it for pathology, which is demonstrated below. What is the diagnosis? A. Subependymoma B. Ependymoma C. Colloid cyst D. Schwannoma
**A. Subependymoma** B. Ependymoma C. Colloid cyst D. Schwannoma ## Footnote This patient had a subependymoma resected. These masses classically do not enhance on MRI, and pathology demonstrates “islands of blue in a sea of pink.” Further Reading: Psaaros. The Definitive Neurosurgical Board Review, page 128.
28
If the tumor type below was found to secrete bioactive amines, what is the diagnosis? A. Ganglioglioma B. Pleomorphic xanthoastrocytoma C. Paraganglioma D. Hemangiopericytoma
A. Ganglioglioma B. Pleomorphic xanthoastrocytoma **C. Paraganglioma** D. Hemangiopericytoma ## Footnote The slide demonstrates a paraganglioma, with evidence of capillary networks and nests of chief cells. These lesions can secrete bioactive amines. Further Reading: Psaaros. The Definitive Neurosurgical Board Review, page 129.
29
This MRI demonstrates evidence of what process? A. Metastases B. Alcoholic cerebellar degeneration C. Turcot’s syndrome D. Lhermitte-Duclos disease
A. Metastases B. Alcoholic cerebellar degeneration C. Turcot’s syndrome **D. Lhermitte-Duclos disease** ## Footnote This MRI demonstrates findings consistent with Lhermitte-Duclos disease, with evidence of hypertrophic cerebellar folia. Further Reading: Psaaros. The Definitive Neurosurgical Board Review, page 129.
30
What gene mutation is often linked with patients exhibiting the findings as shown under Question 29? A. P53 B. SHH C. PTEN D. H-ras
A. P53 B. SHH **C. PTEN** D. H-ras ## Footnote This MRI demonstrates findings consistent with Lhermitte-Duclos disease, with evidence of hypertrophic cerebellar folia. This finding can be seen in patients with Cowden’s syndrome, often caused by a mutation in PTEN. Further Reading: Psaaros. The Definitive Neurosurgical Board Review, page 129.
31
This lesion is resected from the 4th ventricle of a 45-year-old woman. What is the most likely diagnosis? A. Ependymoma B. Choroid plexus papilloma C. Subependymoma D. Vestibular schwannoma
A. Ependymoma **B. Choroid plexus papilloma** C. Subependymoma D. Vestibular schwannoma ## Footnote The slide demonstrates a choroid plexus papilloma, which often arises from the 4th ventricle in adults. They exhibit columnar epithelium in papillary extensions with an interior fibrovascular region. Further Reading: Psaaros. The Definitive Neurosurgical Board Review, page 130.
32
The tumor demonstrated under Question 31 is associated with a syndrome caused by mutation in which gene? A. P53 B. PTEN C. SHH D. H-ras
**A. P53** B. PTEN C. SHH D. H-ras ## Footnote The slide demonstrates a choroid plexus papilloma, which has been shown to be associated with Li-Fraumeni syndrome, a syndrome caused by germline mutations in P53. CPPs are vimentin, GFAP and S100 positive. Further Reading: Psaaros. The Definitive Neurosurgical Board Review, page 130.
33
This tumor is resected from the CP angle of a 55-year-old man. What histologic finding is demonstrated by the black arrow? A. Antoni A B. Antoni B C. Verocay body D. Flexner-Wintersteiner rosette
**A. Antoni A** B. Antoni B C. Verocay body D. Flexner-Wintersteiner rosette ## Footnote This slide demonstrates a schwanomma with two distinct histologic areas. The black arrow is located within an area with prominent fascicles of spindle shaped cells, indicative of an Antoni-A area. Further Reading: Psaaros. The Definitive Neurosurgical Board Review, page 130.
34
This tumor is resected from the CP angle of a 55-year-old man. What histologic finding is demonstrated in this slide? A. Antoni A B. Antoni B C. Verocay body D. Flexner-Wintersteiner rosette
A. Antoni A B. Antoni B **C. Verocay body** D. Flexner-Wintersteiner rosette ## Footnote This slide demonstrates a schwanomma and prominently displays a Verocay body, classically described as “sequential nuclear palisading.” Further Reading: Psaaros. The Definitive Neurosurgical Board Review, page 130.
35
A neurofibroma is thought to arise from what structure? A. Epineurium B. Perineurium C. Endoneurium D. Schwann cell
A. Epineurium B. Perineurium **C. Endoneurium** D. Schwann cell ## Footnote Neurofibromas are distinct from schwannomas and are thought to arise from the endoneurium of peripheral nerves. Further Reading: Psaaros. The Definitive Neurosurgical Board Review, page 130.
36
A patient with multiple cutaneous nodules has several painful masses resected. They are sent for pathology and are demonstrated below. What is the diagnosis? A. Schwannoma B. Paraganglioma C. Meningioma D. Neurofibroma
A. Schwannoma B. Paraganglioma C. Meningioma **D. Neurofibroma** ## Footnote This slide demonstrates a neurofibroma, characterized by spindle-cells in a wavy pattern with large amounts of collagen and a myxoid background. They are often seen in NF1. Further Reading: Psaaros. The Definitive Neurosurgical Board Review, page 130.
37
The lesion depicted in Question 36 most likely stains positive for what marker? A. S-100 B. CD20 C. Vimentin D. EMA
**A. S-100** B. CD20 C. Vimentin D. EMA ## Footnote This slide demonstrates a neurofibroma, characterized by spindle-cells in a wavy pattern with large amounts of collagen and a myxoid background. Classically they stain positive for S-100. Further Reading: Psaaros. The Definitive Neurosurgical Board Review, page 130.
38
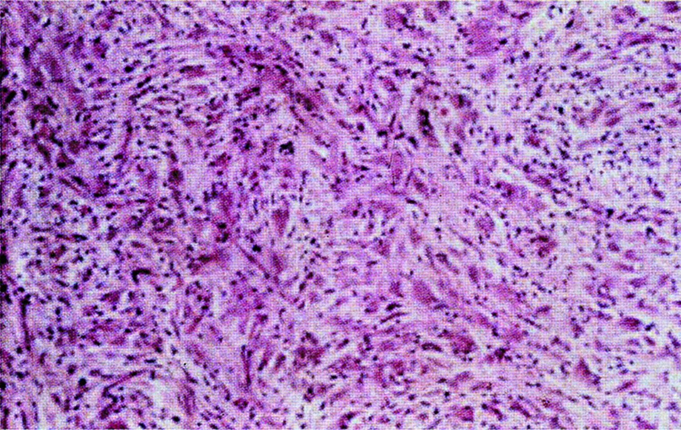
A 9-year-old girl presents with wrist drop and a tumor is discovered. The lesion is resected with negative margins and final pathology is demonstrated below. What is the most likely diagnosis? A. Schwannoma B. MPNST C. Neuroblastoma D. Synovial sarcoma
A. Schwannoma **B. MPNST** C. Neuroblastoma D. Synovial sarcoma ## Footnote This slide demonstrates an MPNST, with the “storiform cellular pattern, prominent mitoses in a fascicular pattern.” Necrosis can also be seen on histology of MPNSTs. Further Reading: Psaaros. The Definitive Neurosurgical Board Review, page 131.
39
A 42-year-old man has two lesions removed from his cerebellum. Final pathology is below. Mutations on what chromosome are associated with this neoplasm? A. 3 B. 7 C. 17 D. 22
**A. 3** B. 7 C. 17 D. 22 ## Footnote This slide demonstrates a hemangioblastoma, with a dense network of vascular channels and lipid containing interstitial cells. These tumors are associated with von-Hippel Lindau syndrome, characterized by a mutation on chromosome 3. Further Reading: Psaaros. The Definitive Neurosurgical Board Review, page 132.
40
This mass is removed from the CP angle in a 28-year-old woman. What is the most likely diagnosis? A. Vestibular schwannoma B. Ependymoma C. Epidermoid cyst D. Choroid plexus papilloma
A. Vestibular schwannoma B. Ependymoma **C. Epidermoid cyst** D. Choroid plexus papilloma ## Footnote This slide demonstrates an epidermoid cyst, characterized by stratified squamous epithelium and significant keratin within the center. Further Reading: Psaaros. The Definitive Neurosurgical Board Review, page 132.
41
A patient presents to you with tongue deviation to the left and reports that he has been feeling like food is getting stuck in his throat. You resect a mass and the pathology is shown below. What is the most likely diagnosis? A. Meningioma B. Ependymoma C. Epidermoid cyst D. Chordoma
A. Meningioma B. Ependymoma C. Epidermoid cyst **D. Chordoma** ## Footnote This slide demonstrates a chordoma, with “groups of cells with vacuolated cytoplasm” known as (physaliphorous cells). Glycogen deposits can also be seen. These tumors are locally ag- gressive, often present within the clivus or sacrum, and originate from remnants of the notochord. Further Reading: Psaaros. The Definitive Neurosurgical Board Review, page 133.
42
You resect a mass lesion in a 12-year-old boy with intractable epilepsy. Pre-operative imaging demonstrated an abnormality in the right anterior temporal pole. Final pathology is below, what is the most likely diagnosis? A. PXA B. Ganglioglioma C. Dysembryoplastic neuroepithelial tumor D. Juvenile pilocytic astrocytoma
A. PXA B. Ganglioglioma **C. Dysembryoplastic neuroepithelial tumor** D. Juvenile pilocytic astrocytoma ## Footnote This slide demonstrates a DNET, and the history is helpful as well. DNETs occur most commonly in the temporal lobe and can be associated with refractory epilepsy. Histologically, there are multiple mucin containing cysts with glial nodules. These masses are synaptophysin positive and neurofilament protein positive. Further Reading: Psaaros. The Definitive Neurosurgical Board Review, page 129.
43
All of these are subtypes of the tumor depicted below except? A. Wnt B. SHH C. Group 4 D. Group 5
A. Wnt B. SHH C. Group 4 **D. Group 5** ## Footnote This slide demonstrates findings consistent with medulloblastoma, including multiple, round, blue cells with scant cytoplasm. Occasional Homer-Wright rosettes (true rosette without central lumen or blood vessel) can be seen. There are 4 molecular subtypes of medulloblastoma, including Wnt, SHH, Group 3 and Group 4. Further Reading: Psaaros. The Definitive Neurosurgical Board Review, page 129.
44
The tumor depicted in Question 43 is thought to arise from what brain region? A. Floor of the 4th ventricle B. External granular layer of the cerebellum C. Choroid plexus D. Vestibulocochlear nerve
A. Floor of the 4th ventricle **B. External granular layer of the cerebellum** C. Choroid plexus D. Vestibulocochlear nerve ## Footnote This slide demonstrates findings consistent with medulloblastoma, and these tumors are though to arise from the roof of the 4th ventricle, specifically the granular layer of the cerebellum. This differentiates their origin from ependymomas of the 4th ventricle. Further Reading: Psaaros. The Definitive Neurosurgical Board Review, page 129.
45
A mass is resected from the suprasellar region in a 14-year-old boy. Final pathology is below. What CSF marker would you expect to be elevated in this patient? A. Placental alkaline phosphatase B. B-HCG C. Glucose D. Cell count
**A. Placental alkaline phosphatase** B. B-HCG C. Glucose D. Cell count ## Footnote This slide demonstrates findings consistent with germinoma, including “round neoplastic cells with prominent clear cytoplasm and large nuclei, occasionally with associated inflammation.” CSF markers are important in pediatric suprasellar masses, and an elevated placental alkaline phosphatase can make the diagnosis of germinoma. Further Reading: Psaaros. The Definitive Neurosurgical Board Review, page 130.
46
A mass is resected from the suprasellar region in a 14-year-old boy. Final pathology is below. What CSF marker would you expect to be elevated in this patient? A. Placental alkaline phosphatase B. B-HCG C. AFP D. Cell count
A. Placental alkaline phosphatase **B. B-HCG** C. AFP D. Cell count ## Footnote This slide demonstrates findings consistent with choriocarcinoma with evidence of syncytiotrophoblastic giant cells. Choriocarcinomas have elevated B-HCG levels. Further Reading: Psaaros. The Definitive Neurosurgical Board Review, page 130.
47
A mass is resected from the suprasellar region in a 14-year-old boy. Final pathology is yolk sac tumor. What CSF marker would you expect to be elevated in this patient? A. Placental alkaline phosphatase B. B-HCG C. AFP D. Cell count
A. Placental alkaline phosphatase B. B-HCG **C. AFP** D. Cell count ## Footnote This slide demonstrates findings consistent with a yolk sac tumor, with prominent schiller Duval bodies. Yolk-sac tumors are strongly positive for AFP on CSF analysis. Further Reading: Psaaros. The Definitive Neurosurgical Board Review, page 130.
48
A mass is resected from the suprasellar region in a 14-year-old boy. Final pathology is below. If CSF markers are negative, what is the presumed diagnosis? A. Mature teratoma B. Choriocarcinoma C. Yolk-sac tumor D. Medulloblastoma
**A. Mature teratoma** B. Choriocarcinoma C. Yolk-sac tumor D. Medulloblastoma ## Footnote This slide demonstrates findings consistent with a mature teratoma, a cystic lesion that contains tissue from ectodermal, endodermal and mesodermal origin. CSF is often negative for aberrations in markers for mature teratomas. Further Reading: Psaaros. The Definitive Neurosurgical Board Review, page 130.
49
Of the subtypes of tumor depicted under Question 43, which one has the best prognosis of long-term survival? A. Wnt B. SHH C. Group 3 D. Group 4
**A. Wnt** B. SHH C. Group 3 D. Group 4 ## Footnote This slide demonstrates findings consistent with medulloblastoma, of which there are 4 subtypes, SHH, Wnt, Group 3 and Group 4. With current therapeutics, the Wnt subtype his the longest overall survival, followed by SHH, followed by Group 3/4 tumors. Further Reading: Bernstein, Berger. Neuro-Oncology - The Essentials, 3rd edition, 2015, pediatric posterior fossa tumors.
50
This tumor is resected from the midline in a 13-year-old girl, what is the most likely diagnosis? A. Epidermoid cyst B. Dermoid cyst C. Germinoma D. Choriocarcinoma
**A. Epidermoid cyst** B. Dermoid cyst C. Germinoma D. Choriocarcinoma ## Footnote This slide demonstrates findings consistent with a dermoid cyst, containing sebacious glands and keratin. Dermoid cysts are usually found in the midline. Further Reading: Bernstein, Berger. Neuro-Oncology - The Essentials, 3rd edition, 2015, skull base meningiomas and other tumors.
51
The abnormality demonstrated below is most likely due to what? A. Demyelinating disease B. Infarction C. Electrolyte abnormalities D. Neoplastic disease
**A. Demyelinating disease** B. Infarction C. Electrolyte abnormalities D. Neoplastic disease ## Footnote This pathology slide demonstrates evidence of central pontine myelinolysis, or osmotic demyelination syndrome. It can occur with too rapid correction of chronic sodium abnormalities. Further Reading: Psaaros. The Definitive Neurosurgical Board Review, page 111.
52
A patient experiences loss of short term memory, confusion and asterixis. At autopsy, brain slices are demonstrated below. What is the most likely diagnosis? A. Alzheimer’s dementia B. Corticobasal degeneration C. Lewy body dementia D. Hepatic encephalopathy
A. Alzheimer’s dementia B. Corticobasal degeneration C. Lewy body dementia **D. Hepatic encephalopathy** ## Footnote This slide demonstrates Alzheimer’s type II astrocytes, with scant cytoplasm and prominent marginated chromatin within a large nucleus. They are characteristic of hepatic encephalopathy. Given that the patient had asterixis as well, hepatic disease should be considered. Further Reading: Psaaros. The Definitive Neurosurgical Board Review, page 112.
53
You are asked to review the autopsy results from a 2-year-old girl who recently died. She had exhibited evidence of cranial nerve palsies, myoclonic epilepsy and hepatosplenomegaly. Tissue from her spleen demonstrated “tissue paper macrophages.” What is the most likely diagnosis? A. Neuroblastoma B. Gaucher’s disease C. Tay-Sachs disease D. Diffuse intrinsic pontine glioma
A. Neuroblastoma **B. Gaucher’s disease** C. Tay-Sachs disease D. Diffuse intrinsic pontine glioma ## Footnote This slide demonstrates macrophages with “crinkled tissue paper” classic for Gaucher’s disease. In it’s juvenile neuropathic form, this disease presents with splenomegaly, myoclonic epilepsy and cognitive decline. Further Reading: Psaaros. The Definitive Neurosurgical Board Review, page 112.
54
This MRI demonstrates abnormalities within the white matter in a classic pattern. This disorder results from what defect? A. Abnormal very long-chain fatty acid metabolism B. Glucocerebrosidase deficiency C. Galactocerebrosidase deficiency D. Sphingomyelinase deficiency
**A. Abnormal very long-chain fatty acid metabolism** B. Glucocerebrosidase deficiency C. Galactocerebrosidase deficiency D. Sphingomyelinase deficiency ## Footnote This MRI demonstrates abnormal white matter throughout the deep hemisphere with sparing of the subcortical U fibers. This is classic for adrenoleukodystrophy, which occurs with deficits in very long chain fatty acid metabolism. Further Reading: Psaaros. The Definitive Neurosurgical Board Review, page 112.
55
This slide is most consistent with what disease? A. Lymphoma B. Multiple sclerosis C. Progressive multi-focal leukoencephalopathy D. Gliomatosis cerebri
A. Lymphoma **B. Multiple sclerosis** C. Progressive multi-focal leukoencephalopathy D. Gliomatosis cerebri ## Footnote This brain section demonstrates peri-ventricular demyelination, consistent with multiple sclerosis. These lesions on imaging are often referred to as “Dawson’s fingers.” Further Reading: Psaaros. The Definitive Neurosurgical Board Review, page 113.
56
This MRI is taken from a patient with right sided facial weakness. Sural nerve biopsy demonstrates non-caseating granuloma. What is the most likely diagnosis? A. Malignant peripheral nerve sheath tumor B. Lymphoma C. Neurosarcoidoisis D. Gliomatosis cerebri
A. Malignant peripheral nerve sheath tumor B. Lymphoma **C. Neurosarcoidoisis** D. Gliomatosis cerebri ## Footnote This MRI demonstrates cranial nerve enhancement, in this setting, the facial nerve enhances. This, along with non-caseating granuloma on sural nerve biopsy is highly suggestive of neurosarcoidosis. Further Reading: Psaaros. The Definitive Neurosurgical Board Review, page 125.
57
The disease demonstrated by the slide below is associated with all alleles except? A. HLA B27 B. HLA B7 C. HLA A3 D. DR 15
**A. HLA B27** B. HLA B7 C. HLA A3 D. DR 15 ## Footnote This slide demonstrates multiple sclerosis, which is associated with alleles HLA DR2, A3, B7 and DR 15. Further Reading: Psaaros. The Definitive Neurosurgical Board Review, page 113.
58
This MRI was taken from a patient who exhibited transient neurologic deficits during the final years of his life. What is the most likely diagnosis? A. Carotid stenosis B. Multiple sclerosis C. Alzheimer’s dementia D. Lymphoma
A. Carotid stenosis **B. Multiple sclerosis** C. Alzheimer’s dementia D. Lymphoma ## Footnote This MRI demonstrates multifocal demyelination, or Dawson’s fingers, which could be consistent with lymphoma or multiple sclerosis. The transient nature of his deficits leads to the most likely diagnosis of multiple sclerosis. Further Reading: Psaaros. The Definitive Neurosurgical Board Review, page 113.
59
You are called to review the autopsy slides of a 3-month-old infant, which demonstrate balloon neurons. MRI is demonstrated. What is the most likely diagnosis? A. Gaucher’s disease B. Alexander’s disease C. Canavan’s disease D. Tay-Sach’s disease
A. Gaucher’s disease B. Alexander’s disease C. Canavan’s disease **D. Tay-Sach’s disease** ## Footnote This slide demonstrates ballooned neurons that contain prominent stored gangliosides, and is consistent with a diagnosis of Tay-Sach’s disease. Further Reading: Psaaros. The Definitive Neurosurgical Board Review, page 112.
60
The findings on this pathology slide are caused by which virus? A. Epstein-Barr virus B. JC virus C. Human immunodeficiency virus D. Hepatitis-B virus
A. Epstein-Barr virus **B. JC virus** C. Human immunodeficiency virus D. Hepatitis-B virus ## Footnote This slide demonstrates evidence of progressive multifocal leukoencephalopathy, which results in multiple areas of demyleination on imaging, and foamy macrophages with large, pleomorphic astroyctes on histology. Oligodendrocytes can be seen with viral inclusions as well. Further Reading: Psaaros. The Definitive Neurosurgical Board Review, page 114.
61
Tay-Sach’s disease is caused by a deficiency in what enzyme? A. Glucocerebrosidase B. Galactocerebrosidase C. Aryl sulfatase A D. Hexosaminidase A
A. Glucocerebrosidase B. Galactocerebrosidase C. Aryl sulfatase A **D. Hexosaminidase A** ## Footnote Tay-Sachs disease is a autosomal recessive disorder caused by deficiency of hexosaminidase A. Patients have defective lipid metabolism in neurons. Further Reading: Psaaros. The Definitive Neurosurgical Board Review, page 112.
62
The abnormal cells in this image are representative of what underlying disorder? A. Mucopolysaccharidoses B. Gaucher’s disease C. Tay-Sach’s disease D. Krabbe’s disease
**A. Mucopolysaccharidoses** B. Gaucher’s disease C. Tay-Sach’s disease D. Krabbe’s disease ## Footnote This slide demonstrates evidence of zebra cells, which is representative of stored mucopolysaccha- rides within cells. These cells are difficult to depict on standard histology given that they are highly water soluble. Further Reading: Psaaros. The Definitive Neurosurgical Board Review, page 112.
63
A patient with multiple peripheral neuropathies has a sural nerve biopsy, the results of which are demonstrated below. There are also lower extremity deformities. What is the most likely diagnosis? A. MPNST B. Charcot-Marie-Tooth disease C. Idiopathic brachial plexitis D. NF-1
A. MPNST **B. Charcot-Marie-Tooth disease** C. Idiopathic brachial plexitis D. NF-1 ## Footnote The pathology demonstrates evidence of onion bulb formation within the peripheral nervous system. This, along with peripheral neuropathies and lower extremity deformities are classic for Charcot-Marie-Tooth disease. Further Reading: Psaaros. The Definitive Neurosurgical Board Review, page 112.
64
This patient presented acutely to the emergency department with symptoms of nystagmus, ataxia and severe confusion. The MRI result is shown below. What enzyme deficiency is associated with these findings? A. Aryl sulfatase A B. Pyruvate dehydrogenase C. Citrate synthase D. Succinate dehydrogenase
A. Aryl sulfatase A **B. Pyruvate dehydrogenase** C. Citrate synthase D. Succinate dehydrogenase ## Footnote This MRI demonstrates evidence of mamillary body degeneration. When taken with the clinical findings, this is indicative of Wernicke’s encephalopathy. This results from thiamine deficiency and impaired function of pyruvate dehydrogenase. Further Reading: Psaaros. The Definitive Neurosurgical Board Review, page 110.
65
You evaluate a slide that demonstrates chromatolysis of Betz cells in a patient with the onset of dementia and watery diarrhea as well as skin lesions. What is the most likely cause? A. Nicotinic acid deficiency B. Pyruvate dehydrogenase deficiency C. Thiamine deficiency D. Cobalamin deficiency
**A. Nicotinic acid deficiency** B. Pyruvate dehydrogenase deficiency C. Thiamine deficiency D. Cobalamin deficiency ## Footnote The slide described has evidence of chromatolysis of Betz cells. When taken with the clinical triad of dermatitis, diarrhea and dementia, nicotinic acid deficiency causing pellagra should be considered. Further Reading: Psaaros. The Definitive Neurosurgical Board Review, page 110.
66
A patient has an abnormality on MRI and undergoes an open biopsy with resection of the dura. The intraoperative picture is shown below. What other finding would you expect the patient to have on exam? A. Multiple subcutaneous nodules B. Gelastic seizures C. Hypotelorism D. Cutaneous vascular nevi
A. Multiple subcutaneous nodules B. Gelastic seizures C. Hypotelorism **D. Cutaneous vascular nevi** ## Footnote This picture demonstrates evidence of menin- geal angiomatosis, a classic part of Sturge-Weber syndrome. Other findings include cutaneous vascular nevi of the face in the distribution of the trigeminal nerve, or the “Port-wine stain.” Further Reading: Psaaros. The Definitive Neurosurgical Board Review, page 110.
67
What is the diagnosis? A. Holoprosencephaly B. Agenesis of the corpus callosum C. Polymicrogyria D. Agyria
A. Holoprosencephaly B. Agenesis of the corpus callosum **C. Polymicrogyria** D. Agyria ## Footnote This brain demonstrates polymicrogyria, a condition that can be asymptomatic, or cause severe mental retardation if the involvement is throughout the cortical surface of the brain. Further Reading: Psaaros. The Definitive Neurosurgical Board Review, page 110.
68
This patient had profound mental retardation, what is the diagnosis? A. Pachygyria B. Agenesis of the corpus callosum C. Polymicrogyria D. Agyria
**A. Pachygyria** B. Agenesis of the corpus callosum C. Polymicrogyria D. Agyria ## Footnote This brain demonstrates pachygyria, a form of lissencephaly, or neuronal migration disorders. The gyri are enlarged and fewer in number than normal brain. Further Reading: Psaaros. The Definitive Neurosurgical Board Review, page 110.
69
If this patient had this abnormality as well as hepatic fibrosis and polycystic kidney disease, what is the diagnosis? A. Meckel-Gruber syndrome B. Foster-Kennedy syndrome C. Weber syndrome D. Benedikt’s syndrome
**A. Meckel-Gruber syndrome** B. Foster-Kennedy syndrome C. Weber syndrome D. Benedikt’s syndrome ## Footnote This is an occipital encephalocele, and when present along with hepatic fibrosis and polycystic kidney disease, the underlying diagnosis is MeckelGruber syndrome. It is an autosomal recessive syndrome and is lethal syndrome. Further Reading: Psaaros. The Definitive Neurosurgical Board Review, page 109.
70
A patient undergoes an autopsy for an unknown cause of death and the gross pathology findings below are discovered. What was the likely cause of death? A. Gliomatosis cerebri B. Wernicke’s syndrome C. Carbon monoxide poisoning D. Osmotic demyelination syndrome
A. Gliomatosis cerebri B. Wernicke’s syndrome **C. Carbon monoxide poisoning** D. Osmotic demyelination syndrome ## Footnote This brain slice demonstrates evidence of bilateral basal ganglia destruction. The basal ganglia are particularly affected during carbon monoxide poisoning are damaged in this condition. The findings are evident on imaging as well. Further Reading: Harbaugh, Shaffrey, Couldwell, Berger. Neurosurgery Knowledge Update, 2015, anoxic brain injury.
71
A 35-year-old woman was involved in a motor vehicle accident at highway speeds and she sustained multiple fractures, including a left femur fracture, a T12 3-column spine fracture and 5 broken ribs. She remained comatose despite no evidence of mass lesions and no elevated ICP. You are concerned about fat embolism, what stain should you use on the slide? A. PAS B. Oil red O stain C. H&E D. Reticulin
A. PAS **B. Oil red O stain** C. H&E D. Reticuli ## Footnote Oil red O stain is used to highlight fat globules within the vasculature and can lead to a diagnosis of fat embolism, often after long bone fracture. Further Reading: Psaaros. The Definitive Neurosurgical Board Review, page 115.
72
A disheveled patient presents to the ED and promptly has a seizure that was unable to be controlled with lorazepam. He quickly becomes comatose and ultimately dies despite best efforts. A slide from his brain specimen is shown below. What was the most likely underlying diagnosis? A. Diffuse axonal injury B. Coup/Contrecoup injury C. Herpes encephalitis D. Gunshot wound
A. Diffuse axonal injury B. Coup/Contrecoup injury **C. Herpes encephalitis** D. Gunshot wound ## Footnote This brain specimen demonstrates lymphocytic perivascular cuffing and a Cowdry type A inclusion body. This is highly suggestive of herpes simplex encephalitis. These patients should be started on acyclovir immediately if herpes encephalitis is suspected. Further Reading: Psaaros. The Definitive Neurosurgical Board Review, page 121.
73
A neonate develops hydrocephalus and has evidence of periventricular calcifications on imaging as well as chorioretinitis. A pathology slide is demonstrated below. What is the cause? A. Cytomegalovirus B. Toxoplasmosis C. Epstein-Barr virus D. Rabies virus
**A. Cytomegalovirus** B. Toxoplasmosis C. Epstein-Barr virus D. Rabies virus ## Footnote This slide demonstrates an intranuclear inclusion body consistent with a viral infection. The presence of periventricular calcifications and chorioretinitis make CMV the most likely diagnosis. Further Reading: Psaaros. The Definitive Neurosurgical Board Review, page 122.
74
If an HIV positive patient were to develop meningitis, what is the most likely cause? A. Coccidioides immitis B. E. Coli C. Proteus mirabilis D. Cryptococcus neoformans
A. Coccidioides immitis B. E. Coli C. Proteus mirabilis **D. Cryptococcus neoformans** ## Footnote Meningitis in HIV positive patients is most commonly caused by cryptococcus infection. Further Reading: Psaaros. The Definitive Neurosurgical Board Review, page 122.
75
What is the most common isolate from brain abscesses? A. S. penumoniae B. H. infleunzae C. S. milleri D. E. coli
A. S. penumoniae B. H. infleunzae **C. S. milleri** D. E. coli ## Footnote Streptococcus milleri is the most common isolate from cerebral abscesses in adults. Further Reading: Psaaros. The Definitive Neurosurgical Board Review, page 123.
76
At what stage of abscess formation is necrosis first noted? A. 1 to 2 days B. 3 to 7 days C. 8 to 14 days D. 15+ days
A. 1 to 2 days **B. 3 to 7 days** C. 8 to 14 days D. 15+ days ## Footnote Necrosis is first seen in the focal suppurative encephalitis phase (phase II) which occurs between 3-7 days. Initial encapsulation is Phase III. Further Reading: Psaaros. The Definitive Neurosurgical Board Review, page 123.
77
This slide demonstrates a section through a cerebral abscess. What timeframe of abscess formation does this most likely represent? A. 1 to 2 days B. 3 to 7 days C. 8 to 14 days D. 15+ days
A. 1 to 2 days B. 3 to 7 days **C. 8 to 14 days** D. 15+ days ## Footnote This slide demonstrates an abscess with evidence of an early capsule. This occurs during early encapsulation, days 8 to 14. Further Reading: Psaaros. The Definitive Neurosurgical Board Review, page 123.
78
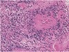
You evaluate a slide from a brain abscess that demonstrates multinucleated giant cells, what is the most likely pathogen? A. S. milleri B. M. tuberculosis C. E. coli D. H. influenzae
*A. S. milleri **B. M. tuberculosis** C. E. coli D. H. influenzae* ## Footnote This slide demonstrates an abscess with evidence of a multinucleated giant cell. The presence of the giant cell makes Mycobacterium tuberculosis the most likely diagnosis. Further Reading: Psaaros. The Definitive Neurosurgical Board Review, page 123.
79
An 85-year-old man with poorly controlled diabetes undergoes a biopsy of a frontal lobe mass that appears to be arising from the floor of the anterior fossa. Intraoperative picture is below. What is the most likely diagnosis? A. Glioblastoma B. Aspergillus infection C. Mucormycosis infection D. Hemangioblastoma
A. Glioblastoma B. Aspergillus infection **C. Mucormycosis infection** D. Hemangioblastoma ## Footnote This picture demonstrates a frontal lobe mass that appears to be emanating from the floor of the anterior fossa, possibly from the paranasal sinuses. In the setting of uncontrolled diabetes, mucormycosis is the most likely diagnosis and is highly fatal. Further Reading: Psaaros. The Definitive Neurosur- gical Board Review, page 124.
80
A 65-year-old woman with an ongoing undiagnosed lung condition undergoes a biopsy of a suspicious nodule within the brain. When the biopsy was taken, bleeding was encountered. Final pathology is below, what is the most likely diagnosis? A. Glioblastoma B. Aspergillus infection C. Mucormycosis infection D. Hemangioblastoma
A. Glioblastoma **B. Aspergillus infection** C. Mucormycosis infection D. Hemangioblastoma ## Footnote This slide demonstrates evidence of fungal hyphae that are both branching acutely and invading a blood vessel, consistent with aspergillosis. The brain is often seeded from the lung, and the fungus invades the blood vessels. Further Reading: Psaaros. The Definitive Neurosurgical Board Review, page 124.
81
This lesion was resected from the temporal lobe of a patient with seizures. What is the most likely diagnosis? A. Glioblastoma B. Cavernous malformation C. Dural arteriovenous fistula D. Hemangioblastoma
A. Glioblastoma **B. Cavernous malformation** C. Dural arteriovenous fistula D. Hemangioblastoma ## Footnote This slide demonstrates evidence of a cavernoma. The dilated blood filled spaces represent an abnormality at the capillary level. There is no brain between the blood vessel walls, distinguishing it from an AVM. Often times these lesions present with seizures. Further Reading: Lanzino, Spetzler. Cavernous Malformations of the Brain and Spinal Cord, 2008, pathology of cerebral cavernous malformations.
82
The lesion pictured below can present in familial form. What chromosome listed below is mutated leading to the familial form of this disease? A. 3 B. 5 C. 17 D. 21
**A. 3** B. 5 C. 17 D. 21 ## Footnote Familial cavernomatosis is an inherited condition predisposing to multiple cavernous malformations throughout the brain. It is thought to be caused by gene mutations on chromosomes 3 and 7. Further Reading: Lanzino, Spetzler. Cavernous Malformations of the Brain and Spinal Cord, 2008, genetics of cerebral cavernous malformations.
83
The lesion shown in Question 81 most likely presents with what symptom? A. Headache B. Visual loss C. Seizures D. Nausea
A. Headache B. Visual loss **C. Seizures** D. Nausea ## Footnote This slide demonstrates a cavernoma. Often times cavernomas present with seizure activity after hemorrhage events. Further Reading: Lanzino, Spetzler. Cavernous Malformations of the Brain and Spinal Cord, 2008, natural history of cerebral cavernous malformations.
84
What is the most likely diagnosis based on this pathology slide? A. Cavernous malformation B. Arteriovenous malformation C. Dural arteriovenous fistula D. Glioblastoma
A. Cavernous malformation **B. Arteriovenous malformation** C. Dural arteriovenous fistula D. Glioblastoma ## Footnote This slide demonstrates an arteriovenous mal- formation. Note the presence of vascular channels with vessel walls containing prominent internal elastic laminae. This compares to cavernous malformations where dilated capillaries are the cause. Further Reading: Psaaros. The Definitive Neurosurgical Board Review, page 118.
85
Intracranial aneurysms lack what vessel wall structure? A. Tunica intima B. Internal elastic laminae C. Tunica adventitia D. External elastic laminae
A. Tunica intima **B. Internal elastic laminae** C. Tunica adventitia D. External elastic laminae ## Footnote Intracranial aneurysms do not have the elastic lamina and muscularis layer present in normal blood vessels. Further Reading: Psaaros. The Definitive Neurosurgical Board Review, page 118.
86
What is the most common mycotic infection of the CNS? A. Aspergillus B. Cryptococcus C. Mucormycosis D. Candidiasis
A. Aspergillus B. Cryptococcus C. Mucormycosis **D. Candidiasis** ## Footnote Candidiasis is the most common mycotic infection of the CNS, but this is not common in otherwise healthy patients. CNS involvement is one of the last aspects of this systemic disease. Further Reading: Psaaros. The Definitive Neurosurgical Board Review, page 124.
87
This MRI was obtained in a patient who ultimately underwent biopsy. The pathologic specimen demonstrated budding yeasts and hyphae. What is the most likely diagnosis? A. Aspergillus B. Cryptococcus C. Mucormycosis D. Candidiasis
A. Aspergillus B. Cryptococcus C. Mucormycosis **D. Candidiasis** ## Footnote Candidiasis is the most common mycotic infection of the CNS, but this is not common in otherwise healthy patients. CNS involvement is one of the last aspects of this systemic disease. Histologically, it presents with budding yeast and hyphae. Further Reading: Psaaros. The Definitive Neurosurgical Board Review, page 124.
88
What is the most likely diagnosis based on this CSF sample? A. Ruptured aneurysm B. Herpes encephalitis C. Multifocal glioblastoma D. Aspergillus infection
**A. Ruptured aneurysm** B. Herpes encephalitis C. Multifocal glioblastoma D. Aspergillus infection ## Footnote This CSF sample demonstrates erythrocytes, which would only be seen in a case of subarachnoid hemorrhage from a ruptured aneurysm. Further Reading: Spetzler, Kalani, Nakaji. Neurovascular Surgery, 2nd edition, 2015, subarachnoid hemorrhage.
89
This ultrasound of the temporal artery is obtained from a 72-year-old man with chronic pain, systemic myalgias, malaise and fever. What is the most likely diagnosis? A. Fibromuscular dysplasia B. Ehlers-Danlos syndrome C. Giant cell arteritis D. Takayasu’s arteritis
A. Fibromuscular dysplasia B. Ehlers-Danlos syndrome **C. Giant cell arteritis** D. Takayasu’s arteritis ## Footnote This ultrasound demonstrates evidence of giant cell arteritis. Note the multiple granulomas within the vessel wall with evidence of thickening. It is often seen on temporal artery biopsy in patients with associated malaise, fever and diffuse myalgias. It is associated with polymyalgia rheumatica. Further Reading: Psaaros. The Definitive Neurosur- gical Board Review, page 117.
90
A temporal artery biopsy is obtained from a 72-year-old man with chronic pain, systemic myalgias, malaise and fever. It demonstrates granulomas in the vessel wall. If this condition goes untreated, what may result? A. Aphasia B. Intracranial hemorrhage C. Blindness D. Seizures
A. Aphasia B. Intracranial hemorrhage **C. Blindness** D. Seizures ## Footnote This specimen demonstrates evidence of giant cell arteritis. Note the multiple granulomas within the vessel wall. It is often seen on temporal artery biopsy in patients with associated malaise, fever and diffuse myalgias. It is associated with polymyalgia rheumatica. If untreated, blindness can occur. Further Reading: Psaaros. The Definitive Neurosurgical Board Review, page 117.
91
ALS is caused by a mutation in what gene in 25% of cases? A. H-ras B. SOD-1 C. SOD-2 D. N-myc
A. H-ras **B. SOD-1** C. SOD-2 D. N-myc ## Footnote ALS is a motor neuron degenerative condition caused by mutations in superoxide dismutase (SOD 1) gene in 25% of cases. Further Reading: Psaaros. The Definitive Neurosurgical Board Review, page 119.
92
ALS causes motor neuron loss in which cranial nerve listed below? A. III B. IV C. VI D. XII
A. III B. IV C. VI **D. XII** ## Footnote ALS causes motor neuron loss in cranial nerve XII, the hypoglossal nerve. This is identified by fasciculations of the tongue. Generally, ALS spares cranial nerves III, IV and VI. Further Reading: Psaaros. The Definitive Neurosurgical Board Review, page 119.
93
What condition is demonstrated in the pathology slide below, in which ubiquitin staining has been performed? A. Huntington’s disease B. Amyotrophic lateral sclerosis C. Parkinson’s disease D. Corticobasal degeneration
A. Huntington’s disease B. Amyotrophic lateral sclerosis **C. Parkinson’s disease** D. Corticobasal degeneration ## Footnote This slide demonstrates Lewy bodies, which can be identified as inclusion bodies containing an eosinophilic core with a pale halo surrounding the core. They stain for ubiquitin. Lewy bodies are seen in Parkinson’s disease. Further Reading: Psaaros. The Definitive Neurosurgical Board Review, page 119.
94
This pathology slide is taken from a patient with a neurodegenerative condition. What is the most likely diagnosis? A. Huntington’s disease B. Amyotrophic lateral sclerosis C. Parkinson’s disease D. Corticobasal degeneration
A. Huntington’s disease B. Amyotrophic lateral sclerosis **C. Parkinson’s disease** D. Corticobasal degeneration ## Footnote This slide demonstrates a Lewy body in its classic form, an eoseinophillic intracytoplasmic inclusion body with a clear halo surrounding it. Further Reading: Psaaros. The Definitive Neurosurgical Board Review, page 119.
95
This slide was taken from a patient who also had cardiomyopathy. What is the most likely diagnosis? A. Subacute combined degeneration B. Neurosyphilis C. Parkinson’s disease D. Friedrich’s ataxia
A. Subacute combined degeneration B. Neurosyphilis C. Parkinson’s disease **D. Friedrich’s ataxia** ## Footnote This slide demonstrates evidence of diffuse atrophy, most notable in the gracilis column, the cuneate column, the spinocerebellar tracts and Clarke’s column. These findings, when present with cardiomyopathy, are suggestive of Friedrich’s ataxia, caused by a mutation in the frataxin gene on chromosome 9q. Further Reading: Psaaros. The Definitive Neurosurgical Board Review, page 119.
96
This image was taken from a patient who exhibited choreiform movements. What is the underlying reason for the development of this disorder? A. Nucleotide deletion B. Nucleotide substitution C. Nucleotide duplication D. Chromosome deletion
A. Nucleotide deletion B. Nucleotide substitution **C. Nucleotide duplication** D. Chromosome deletion ## Footnote This brain demonstrates evidence of caudate atrophy. In the setting of choreiform movements, Huntington’s disease is the underlying diagnosis. This is due to mutations in the huntingtin gene on chromosome 4. It is a trinucleotide repeat disorder that demonstrates anticipation. Further Reading: Psaaros. The Definitive Neurosurgical Board Review, page 119.
97
This silver stain slide was taken from an 85-yearold woman with progressive cognitive decline. Depletion of what neurotransmitter has been associated with this condition? A. Glyceine B. Dopamine C. Acetylcholine D. Glutamate
A. Glyceine B. Dopamine **C. Acetylcholine** D. Glutamate ## Footnote This beta amyloid stained slide demonstrates senile plaques consistent with Alzheimer’s disease. It is associated with loss of acetylcholine within the basal nucleus of Meynert. Further Reading: Psaaros. The Definitive Neurosurgical Board Review, page 120.
98
A pathology slide from the CA1 region of the hippocampus in a 78-year-old patient with cognitive decline demonstrates Hirano bodies. The medications used in this condition target what nucleus? A. Locus ceruleus B. Raphe nucleus C. Substantia Nigra D. Basal nucleus of Meynert
A. Locus ceruleus B. Raphe nucleus C. Substantia Nigra **D. Basal nucleus of Meynert** ## Footnote The slide demonstrates a Hirano body, a eosinophilic cytoplasmic inclusion body that consists of actin-associated proteins in patients with Alzheimer’s disease. Medications for this condition are used to increase the concentration of acetylcholine in the basal nucleus of Meynert. Further Reading: Psaaros. The Definitive Neurosurgical Board Review, page 120.
99
This slide was taken from an 85-year-old man with progressive cognitive decline. What is this inclusion body made of? A. Actin-associated proteins B. Phosphorylated tau protein C. Viral proteins D. Ubiquitin
A. Actin-associated proteins **B. Phosphorylated tau protein** C. Viral proteins D. Ubiquitin ## Footnote This slide demonstrates a neurofibrillary tangle, seen in Alzheimer’s dementia. It is made of phosphorylated tau protein. Further Reading: Psaaros. The Definitive Neurosurgical Board Review, page 120.
100
This slide was taken from a 35-year-old man who works in a meat processing plant who has exhibited rapid neurologic decline. What is the most likely diagnosis? A. Creutzfeldt-Jakob disease B. Corticobasal degeneration C. Lewy body dementia D. Huntington’s disease
**A. Creutzfeldt-Jakob disease** B. Corticobasal degeneration C. Lewy body dementia D. Huntington’s disease ## Footnote This slide demonstrates spongiform change and subsequent vacuolation of the neural cells. These are hallmark findings in a patient with CJD. Further Reading: Psaaros. The Definitive Neurosurgical Board Review, page 121.