What questions in family history are specific to an ortho patient?
Does the family have any similar dental problems?
Previous history of orthodontic treatment in the family?
What are some questions about past dental history you may ask an orthodontic patient? (3)
Define A-P Skeletal Patterns:
I = Normal relationship
II = Mandible relatively retrusive (behind upper jaw)
III = Mandible relatively protrusive (infront of upper jaw)
(Class III can appear to look completely flat from chin to top of lip)
Name these two lines of the image

Going across - Frankfurt plane
Going down - Zero Meridian line
What are the 3 components of a skeletal relationship that we need to assess?
Anteroposterior (A-P)
Vertical
Transverse
Assess these patients Frankfort Mandibular Planes Angle (FMPA)

When assessing the lips, if they are deemed incompetent what does this mean?
Lips do not meet at rest
At rest when you lift the patient’s upper lip where should the lower lip cover until?
Cover lower third of upper incisior
Describe the lip morphology of these 3 patients

How can a skeletal II relation in a patient lead to lip incompetence?
The mandible is so far back in a patient that the lips meeting at rest causes to much strain on the patient
What is the line in this picture?

Ricket’s E-Line
This can help show if a patients lips are protrusive or retrusive of this line
What does this image display?

Incisal Display
What are the 3 components of a dental arch assessment?
What are the 3 ways teeth can be inclined?
Normal
Proclined
Retroclined
When giving a measurement of crowding in mm’s what are you refering to?
How much space is there missing for all the teeth to be in line
How many mm’s is considered
How do you classify spacing in your notes?
Spacing can be either generalised or localised
Describe a normal inclination of incisors
The crown of the tooth is more buccal (anterior) than the root

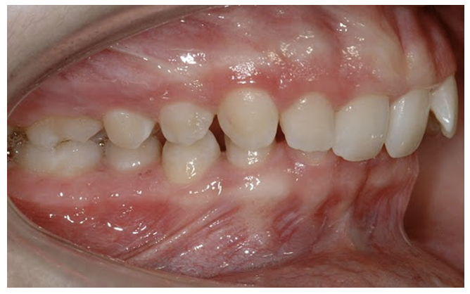
Describe what you can see in this image clinically

Proclined incisor
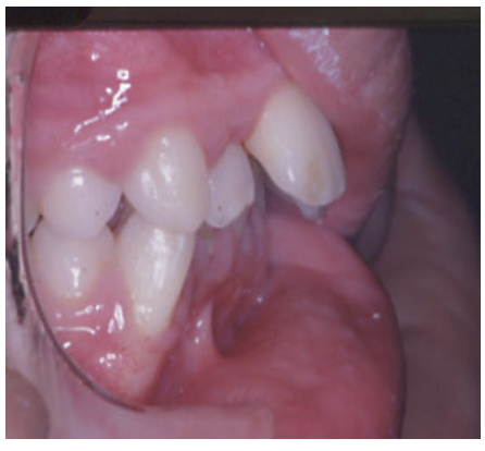
Describe what you can see in this image clinically

Retroclined incisor
Describe the different classes of incisor relationships based on the relation between lower incisors to palatal aspect of upper incisors
What type of incisor relationship is this?

Class I
What type of incisor relationship is this?

Class II division 1:
Incisal edges of the mandibular incisors occlude palatal to the cingulum plateau of the upper incisors. The maxillary incisors are proclined. There is usually an increased overjet.
What type of incisor relationship is this?

Class II division 2:
The incisal edges of the mandibular incisors occlude palatal to the cingulum plateau of the upper incisors. The upper incisors are retroclined.