What is the most common type of shoulder dislocation and what is the mode of injury for this typically?
anterior dislocation
REMEMBER: ARM = ANTERIOR
fall on an outstretched arm (contact sports in younger patients and falls in older patients)

Only 2 - 4% of shoulder dislocations are posterior. What type of occurrence is this most commonly seen with?
seizures

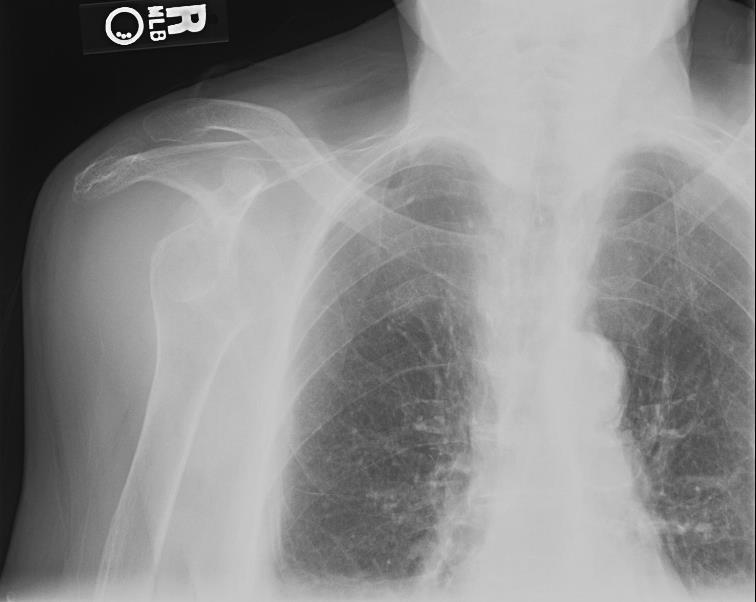
What is the presentation for a patient with anterior shoulder dislocation?
abducted and externally rotated
“squaring” of the shoulder: loss of rounded appearance (humeral head) and sharp prominence of the acromion

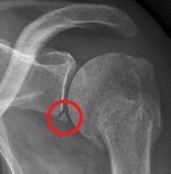
What is a Bankart Lesion and what kind of injury is it associated with?
fracture of the anterior inferior glenoid following impaction of the humeral head against the glenoid (anterior shoulder dislocation)

What are some conditions associated with a shoulder dislocation?
What is a Hill-Sachs lesion?
dent in the humeral head
compression chondral injury of the posterior superior humeral head following impaction against the glenoid

Sometimes with a shoulder injury, a patient can have axillary nerve damage. What are symptoms of this?
transient neurapraxia present in 5% of shoulder dislocations
can present with numbness or tingling over the lateral shoulder
Treatment for shoulder dislocations:
reduce
post-reduction films
sling and swath
physical therapy
what part of the clavicle is most often fractured?
middle third

What is the treatment for a clavicle fracture?
simply arm sling or figure 8 sling: 4 - 6 weeks in adult, ortho consult if proximal 1/3

begin PT after 4 wks with light strengthening after 6 wks
What is a step off deformity and what injury would you see it with?
elevation of the clavicle
AC joint separation

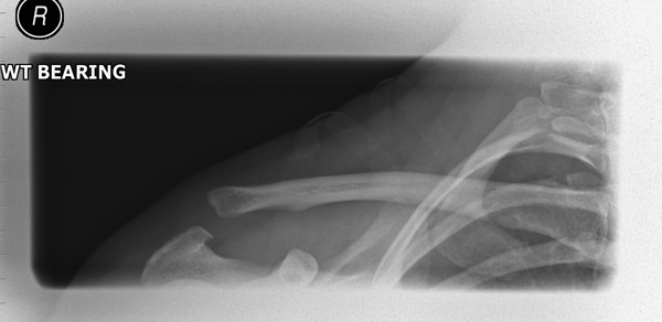
How do you appropriately grade acromioclavicular separations?
XRAY is taken with the person holding a weight to assess the level of injury to the joint

A patient with shoulder separation (AC joint separation) will have pain with what kind of test?
cross-chest testing

Management of AC joint separation
Conservative management is possible for mild to moderate injuries because they can be managed with sling and analgesia
more severe injuries will require operative repair