Yeast Flashcards

(33 cards)

1
Q

How do molds and yeasts compare?

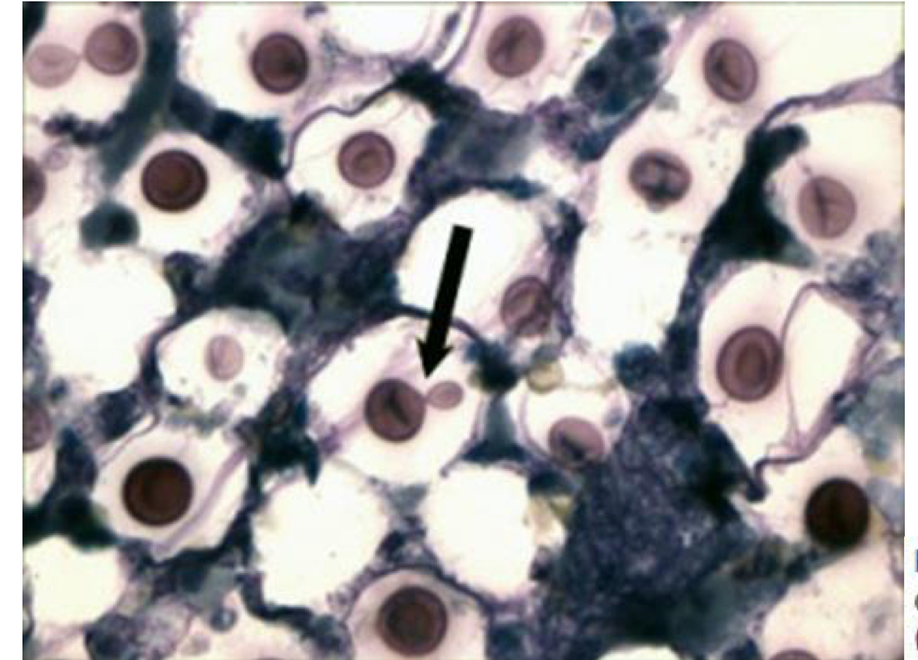
A

MOLDS = hyphae —> fuzzy, wooly

YEAST = single cell, budding —> “bacteria-like”

How well did you know this?
1
Not at all
2
3
4
5
Perfectly
2
Q

What 3 yeasts are of highest importance in veterinary medicine?

A
  1. Crytococcus neoformans
  2. Malassezia pachydermatis
  3. Candida albicans
How well did you know this?
1
Not at all
2
3
4
5
Perfectly
3
Q

What lesions is Cryptococcus neoformans associated with? What 3 places are especially affected?

A

ulcerative lesions affecting mucous membranes

  1. respiratory tract + nasal sinuses
  2. CNS, meninges
  3. eyes, chorioretinitis
How well did you know this?
1
Not at all
2
3
4
5
Perfectly
4
Q

How does Cryptococcus neoformans infection compare in cats, cows, and horses? What other animals can be affected?

A
  • CATS: more severly affected —> systemic mycosis
  • COWS: mastitis
  • HORSES: endometritis, abortion

dogs, ferrets, sheep, goats, llamas, parrots, elk, immunocompromised humans (opportunistic)

How well did you know this?
1
Not at all
2
3
4
5
Perfectly
5
Q

What are the 2 major structural characteristics of Cryptococcus neoformans?

A
  1. spherical cells
  2. monomorphic
How well did you know this?
1
Not at all
2
3
4
5
Perfectly
6
Q

What 4 aspects of Cryptococcus neoformans are associated with its pathogenesis?

A
  1. contains sialic acid - direct complement proteins to degradation
  2. produces phospholipase - membrane destruction of host cells
  3. produces melanin - powerful antioxident, resists enzyme degradation and radiation, allows nutrient absorption
  4. thick capsule - prevents antibody phagocytosis, stimulates T regulatory cells, inactivates alternative complement pathway
How well did you know this?
1
Not at all
2
3
4
5
Perfectly
7
Q

What are 4 growth characteristics of Crytococcus neoformans?

A
  1. grows at room temperature to 37 degrees C
  2. encapsulation is optimal in chocolate agar plates with 5% CO2
  3. produces melanin-pigmented colonies
  4. four antigenic types: A, B, C, D
How well did you know this?
1
Not at all
2
3
4
5
Perfectly
8
Q

In what 2 places in the environment does Cryptococcus neoformans prefer?

A
  1. surface dust and dirt
  2. dried pigeon feces for up to 1 year (rich in creatinine)
How well did you know this?
1
Not at all
2
3
4
5
Perfectly
9
Q

How is Cryptococcus neoformans transmitted?

A

respiratory
- rarely percutaneous
- non-contagious

How well did you know this?
1
Not at all
2
3
4
5
Perfectly
10
Q

What 3 pathologies are most commonly seen in Cryptococcus neoformans infection?

A
  • CNS: meningitis, encephalitis, granuloma formation
  • PULMONARY: bilateral miliary lesions, lobar pneumonia
  • CUTANEOUS: traumatic implantation, ulcerative papules, nodules, granulomas, ulcers, manifestation of systemic disease
How well did you know this?
1
Not at all
2
3
4
5
Perfectly
11
Q

Cryptococcus neoformans, cat:

A

species most severely affected

How well did you know this?
1
Not at all
2
3
4
5
Perfectly
12
Q

What 2 immunological reactions can be used to diagnose Cryptococcus neoformans infection?

A
  1. serological detection of capsule antibodies
  2. cell-mediated immunity - macrophage and NK cell activation
How well did you know this?
1
Not at all
2
3
4
5
Perfectly
13
Q

In what 3 ways can the laboratory diagnose Cryptococcus neoformans infection?

A
  1. direct examination with India ink from exudates, tracheobronchial washes, and CSF
  2. histopathology with Wright and Giemsa staining
  3. culture, blood agar, SDA at room temperature of 30 degrees C
How well did you know this?
1
Not at all
2
3
4
5
Perfectly
14
Q

What are the 3 recommended treatments for Cryptococcus neoformans infection? How is infection controlled?

A
  1. fluconazole
  2. itraconazole
  3. 5-fluorocytosine

disinfect surfaces and facilities

How well did you know this?
1
Not at all
2
3
4
5
Perfectly
15
Q

What are the 2 structural charactertics of Malassezia pachydermatis? How does it typically grow on media?

A
  1. oval budding yeast
  2. filaments not usually observed

cultured on blood agar with greenish tint seen on the surface at 25-41 degrees C
- aerophilic, microaerophilic

How well did you know this?
1
Not at all
2
3
4
5
Perfectly
16
Q

What 4 enzymes are produced by Malassezia pachydermatis? What genetic phenotypes foes it have?

A
  1. proteinase
  2. chondroitin sulfatase
  3. hyaluronidase
  4. phopholipase

A, B, C, D

17
Q

Where is Malassezia pachydermatis commonly found? What diseases is it commonly associated with?

A

skin and ear canals of dogs, cats, ferrets, ruminants, and horses (opportunistic)

otitis externa and dermatitis

18
Q

What 6 dog breeds are most susceptible to Malassezia pachydermatis infection?

A
  1. Australian silky terriers
  2. basset hounds
  3. cocker spaniels
  4. dachshunds
  5. poodles
  6. West Highland white terriers
19
Q

How does Malassezia pachydermatis characteristically look under direct examination?

A

roll cotton swabs over glass slides and stain with Wright and Giemsa —> pink bottle-shaped or “shoe print”

20
Q

What 5 treatments are recommended for Malassezia pachydermatis infection?

A
  1. nystatin
  2. clotrimazole
  3. miconazole
  4. ketoconazole
  5. itraconazole
21
Q

Malassezia pachydermatis, ear infection:

22
Q

What is Malassezia pachydermatis dermatitis assoicated with?

A

allergic dermatitis

23
Q

Where is Candida albicans commonly found? What animals are most susceptible to Candidiasis?

A

normal flora of mucous membranes of most mammals and birds

  • immunocompromised
  • overuse of antibiotics, steroids, hormones
24
Q

What is the structure of Candida albicans like? What 2 structures does it typically take upon spore formation?

A

oval budding yeast cells that sprout germ tubes that develop into septate-branching epithelium

  1. blastoconidia
  2. chlamydospore - thick-walled sphere attached to mycelium, in vitro only
25
Candida albicans, structure:
26
What 2 cellular products does Candida albicans produce?
1. adhesin: adheres to extracellular matric proteins 2. protease/neuraminidase: promotes tissue invasion and adherence to host cells
27
What are the growth characteristics of Candida albicans? Where is it typically found?
aerobic, 25-30 degrees C, SDA mucocutaneous areas, and GI and genital tracts of mammals and birds
28
How is Candida albicans transmitted
endogenous infection since it is commensal, which can result in hematogenous spread leading to systemic infection
29
What 3 parts of Candida albincans structure contribute to its pathogenesis? How does infection present?
1. adhesin 2. cell wall glycoproteins - endotoxins 3. proteases/phospholipases - virulence affects mucous surfaces of GI tract from mouth to stomach, leaving whitish, yellow, or gray plaques with areas of ulceration and inflammation - also: genital tract, skin, claws
30
What happens upon septicemic Candida albicans infection?
spreads to respiratory and intestinal tracts
31
How does Candida albicans infection compare in birds, swine, horses, cattle, and cats/dogs?
- BIRDS = GI tract - SWINE = GI tract - HORSES = GI tract - CATTLE = pneumonia, enteritis, mastitis, systemic candidiasis - CATS/DOGS: non-healing ulcerative lesions on the oral, upper respiratory, GI, and genitourinary mucosa
32
How does the laboratory diagnose Candida albicans infection? What 4 stains are used?
presence of blastoconidia or pseudohyphae 1. Gram 2. Wright-Giemsa 3. periodic acid Schifft 4. Gomori metheneamine silver
33
How are birds, mammals, and dogs/cats treated for Candida albicans infection?
BIRDS: copper sulfate in water, nystatin MAMMALS: amphotericin B, itraconazole, miconazole DOGS/CATS: fluconazole, flucytosine