(4) Dentino-pulpal Complex - Structural Lines Flashcards

(50 cards)

1
Q

What are the lines associated with the primary curvature of dental tubules called?

A

Schreger lines

How well did you know this?
1
Not at all
2
3
4
5
Perfectly
2
Q

What are the lines associated with the secondary curvatures of dental uvulae’s called?

A

Contour lines of Owen

How well did you know this?
1
Not at all
2
3
4
5
Perfectly
3
Q

What are daily incremental lines called?

A

Von Ebner’s lines

How well did you know this?
1
Not at all
2
3
4
5
Perfectly
4
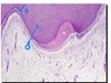
Q

What are the weekly incremental lines called?

A

Anderesen lines

How well did you know this?
1
Not at all
2
3
4
5
Perfectly
5
Q

Where is the most dramatic secondary curvature line?

A

Between the primary and secondary dentin

How well did you know this?
1
Not at all
2
3
4
5
Perfectly
6
Q

What contour line is pointed to?

A

Secondary curvature line

Contour lines of Owen

How well did you know this?
1
Not at all
2
3
4
5
Perfectly
7
Q

How do the Von Ebner’s lines show?

A

Short term striations

How well did you know this?
1
Not at all
2
3
4
5
Perfectly
8
Q

How do the Andresen lines appear?

A

Long term striations

How well did you know this?
1
Not at all
2
3
4
5
Perfectly
9
Q

What gives rise to the incremental lines?

A

Fluctuations in acid-base balance

Effect on mineral content and thus the refractive index

How well did you know this?
1
Not at all
2
3
4
5
Perfectly
10
Q

What incremental lines are shown?

A

Von Ebner’s lines

How well did you know this?
1
Not at all
2
3
4
5
Perfectly
11
Q

Where are the Von Ebner’s lines closest together and farthest apart?

A

Closest (2um between every 2 lines) at the root

Farther away (4um between every 2 lines) at the cusp

How well did you know this?
1
Not at all
2
3
4
5
Perfectly
12
Q

Why are the Von Ebner’s lines closer together in the root?

A

Not as much dentin is formed in the root each day

How well did you know this?
1
Not at all
2
3
4
5
Perfectly
13
Q

What is pointed to and what do they run over?

A

Von Ebner’s lines, run over dentinal tubules

How well did you know this?
1
Not at all
2
3
4
5
Perfectly
14
Q

What incremental lines are shown?

A

Andresen lines

How well did you know this?
1
Not at all
2
3
4
5
Perfectly
15
Q

How far apart are Andresen lines?

A

16-20um

How well did you know this?
1
Not at all
2
3
4
5
Perfectly
16
Q

Name structures and what type of section

A

A = enamel
B = circumpulpal dentine
C = mantle dentin

Black arrows = stria of Ritzius

White arrows = andresen lines

Ground section

How well did you know this?
1
Not at all
2
3
4
5
Perfectly
17
Q

What line is shown in this image?

A

Neonatal line

Shows what was formed before and after birth

How well did you know this?
1
Not at all
2
3
4
5
Perfectly
18
Q

What are physiological age related changes associated with dentin?

A

Secondary dentin
Translucent dentin

How well did you know this?
1
Not at all
2
3
4
5
Perfectly
19
Q

What are age related changes associated with dentin, associated with response to stimuli?

A

Tertiary dentin
Sclerotic dentin
Dead tracts f fish

How well did you know this?
1
Not at all
2
3
4
5
Perfectly
20
Q

When does secondary dentin form?

A

Starts to form once the root is completed and teh tooth come into occlusion

How well did you know this?
1
Not at all
2
3
4
5
Perfectly
21
Q

What happens to the direction of the dentinal tubules in secondary dentin?

A

Sudden change in direction

22
Q

Do the secondary or primary dentin have closer incremental lines?

23
Q

What has slower deposition, primary or secondary dentin?

A

Secondary, thus less regular

24
Q
A

Contour line of Owen

25
What causes tertiary dentin to form?
External stimuli might induce the pulp t produce more calcified material
26
What structure produces tertiary dentine?
Pulp produce more calcified material
27
Where does the tertiary dentine form?
Border of the pulp
28
When does tertiary dentin form irregularly vs regularly?
When a strong stimulus occurs, dentin needs to form quickly = irregular
29
What is reparative dentine?
Newly formed cells, produce hard tissues similar to dentin
30
What is reactionary dentin?
More dentin formed by the original odontoblasts
31
What is the appearance of tertiary dentin?
Variable May be… tubular, contain few irregular tubules or tubular
32
A = tertiary dentin B = pre-dentin C = odontoblasts
33
What cells make tertiary dentine?
Odontoblasts
34
What type of tertiary dentin is formed by original odontoblasts?
Reactionary dentin
35
What type of stimulus makes reactionary dentin?
Small stimulus
36
What type of tertiary dentin is formed when the stimulus is very string? (Kills original odontoblasts)
Stem cells in pulp differentiate into odontoblast-like cells and produce reparative dentin
37
What cells form reparative dentin?
Odontoblast- like cells (from stem cells)
38
When’d ones sclerotic dentin form?
The stimulus induce the deposition of material inside tubules
39
What occludes the tubules to form sclerotic dentin?
The Stimulus
40
What is sclerotic dentin similar to and what is the difference?
Similar to transparent dentin However, sclerotic dentin is in response to stimulus and not physiological
41
When can you normally see sclerotic dentin?
Under slowly progressing caries lesions
42
A = enamel B = fissure C = mantle dentin
43
Sclerotic dentin
44
What occludes sclerotic dentin?
Intratubular dentine And precipitation of minerals from dissolved enamel
45
What happens when primary odontoblasts are killed by external stimuli? (Before filled with sclerotic dentin)
Dead tracts of fish
46
What are dead tracts of fish?
Empty tubules
47
What colour will empty tubules appear?
Black
48
What might seal the dead tracts of fish at the pulpal end?
Tertiary dentin
49
What is shown in black ?
Dead tracts of fish
50
What do odontoblast do at the pulpal end of the dead tracts of fish?
Occlude the dentine and tubules by sclerotic dentine formation to protect the pulp from insult coming from various lesion