what is the treatment of a palisaded encaspulated neuroma?
surgical excision
are most melanotic neuroectodermal tumors of infancy benign or malignant?
benign
inflammatory papillary hyperplasia is a condition related to what 3 things?
what is the appearance of peripheral ossifying fibroma?
nodular mass, usually originating from the dental papilla

inflammatory papillary hyperplasia
___% of peripheral ossifying fibromas recur. why?
15%, usually because the base of the lesion was not removed

giant cell fibroma

multiple endocrine neoplasia type 2B
notice the multiple mucosal neromas on the tongue and the bilateral neuromas of the commissural mucosa

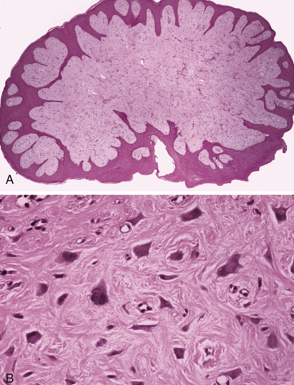
palisaded encapsulated neuroma
___ of neurofibromatosis type I is pathognomonic
plexiform variant
feels like a bag of worms

sturge-weber angiomatosis
ipsilateral hypervascular changes
are pyogenic granulomas more common in males or females?
leptomeningeal angiomas are typically associated with a ___, and may result in mental retardation or ___
lipomas are the most common ___ neoplasm
mesenchymal
more common on the trunk
is the mechanism by which tumors can spread to the oral cavity well understood?
no

peripheral giant cell granuloma
notice the bluish color
what are the two types of rhabdomyomas?
endemic (african) kaposi’s sarcoma has 4 subtypes. what are they?
what are the diagnostic criteria for neurofibromatosis type I and how many do you need for a positive diagnosis?
need 2 or more for a positive diagnosis
what is the treatment for fibromas?
conservative surgical exision

port wine stain aka nevus flammeus characteristic of sturge-weber angiomatosis
describe the classic type of kaposi’s sarcoma
___ is reactive hyperplasia of fibrous connective tissue in response to local irritation or trauma
fibroma
what is the treatment of peripheral ossifying fibroma?
excision down to periosteum and scale adjacent teeth