___ is a common oral lesion; clinical alterations involve varialbe fungiform papilla and likely represents a hypersentivity or allergy
transient lingual papillitis
which type of transient lingual papillitis involves one to several fungiform papilla which become enlarged and are red or yellow, appear on the anteiror dorsal tongue, and are painful?
localized transient lingual papillitis
which type of transient lingual papillitis involves a large percentage of fungiform papilla which become enlarged and red, are located on the tip and lateral dorsal tongue, are very sensitive/painful, are associated with fever and lymphadenopathy, and can spread among family members?
generalized transient lingual papillitis
which type of transient lingual papillitis involves large number of affected papilla which appear as elevated, yellow or white papules, and is asymptomatic?
diffuse, papulokeratotic variant transient lingual papillitis
which type of transient lingual papillitis is associated with fever and lymphadenopathy?
generalized transient lingual papillitis
what is the treatment of transient lingual papillitis?
all 3 forms resolve without therapy
for symptomatic forms, topical steroids may reduce pain or duration

localized transient lingual papillitis

generalized transient lingual papillitis

diffuse, papulokeratotic variant transient lingual papillitis
recurrent aphthous ulcerations are also called ___
recurrent aphthous stomatitis
___ is one of the most common oral mucosal pathoses. what is the prevalence?
recurrent aphthous ulcerations
prevalence is about 30%
what is the etiology of recurrent aphthous ulcerations?
no universal etiology; seems to be an allergy or immune dysfunction of some sort
recurrent aphthous ulcers occur exclusively on what tissue?
movable mucosa
what are the 3 clinical variations of recurrent aphthous ulcers?
recurrent aphthous ulcerations occur in what age patients?
first occurs in younger patients; 80% have their first ulceration before age 30

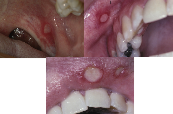
recurrent aphthous ulceration - minor
what is aphthous stomatitis?
which RAU form occurs in childhood?
minor
patients with which form of RAU have the fewest recurrences?
minor
which RAU lesions are shorter in duration than other variants?
minor
what form of RAU will patients typically have a prodrome?
minor
how do RAU minor lesions present?
erythematous macule followed by a central yellow-white, removable fibrinopurulent membrane
ulcerations are less than 1cm
which types of RAU do not cause scarring?
minor and herpetiform do NOT cause scarring
major MAY cause scarring
RAU minor lesions heal without scarring in what time frame?
1-2 weeks