Definition of inflammatory myopathies?
Group of immune mediated disorders with symmetrical proximal muscle weakness and frequent involvement of other organs
Inflammatory myopathies affect what type of muscle (smooth, striated, cardiac)?
Striated muscle. That is why upper 1/3 of esophagus can be involved. it’s striated
2 main disorders associated with inflammatory myopathies?
Dermatomyositis, Polymyositis
What lab value is elevated in myositis? (hint: think muscle damage)
CK
Besides dermatomyositis and polymyositis, name 4 other inflammatory myopathies?
Antisynthetase syndrome, amyopathic dermatomyositis, Juvenile dermatomyositis, Inclusion body myositis
Dermatomyositis body involvement?
Skeletal Muscle, skin
Polymyositis body involvement?
Muscle only, not skin
Dermatoymyositis and Polymyositis location of muscle involvement? Distinguishes from what other disorder?
DM and PM only have proximal muscle involvement.
Inclusion body myositis will have distal muscle involvement too.
3 skin findings seen in dermatomyositis?
Dermatomyositis can be confused with what other disorder? What lab and clinical findings are similar?
Can be confused with SLE.
Patient can have +ANA, malar rash
What lab finding can help differentiate dermatomyositis from SLE?
+ anti-Jo-1 antibody can be seen in dermatomyositis
What 2 disorders are shown here? Which one is which?

A = Dermatomyositis; Note the changes on the knuckles and dorsum of the hand (Gottron’s sign)
B = SLE; Rash is absent on the knuckles but present on the phalanges
What is this called?
What syndrome is this associated with?
What antibody is associated with this condition?
What other symptoms are involved in this syndrome?

“Mechanic Hands”
seen in Anti-synthetase Syndrome
Fever, Arthritis, +/- Raynauds, ILD
“Jo is the F-A-M-IL-y Mechanic”
Inflammatory myopathies is associated with what pathologic disorders? (just look at the answer. couldnt figure out a way to ask)
12% of myositis cases associated with malignancy (breast cancer, adenocarcinoma)
CD4+ T cells are associated with what myositis?
Dermatomyositis
CD8+ T cells are associated with what myositis?
Polymyositis
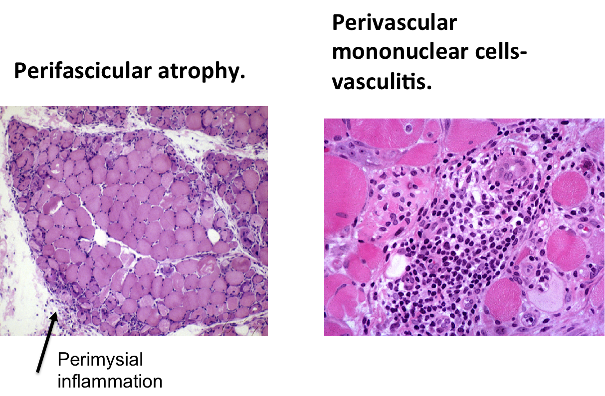
Biopsy of dermatomyositis will show what?
Perimysial inflammation (CD4+ T cells) with perifascicular atrophy
As opposed to polymyositis that shows Endomysial inflammation (CD8+ T cells) with necrotic muscle fibers

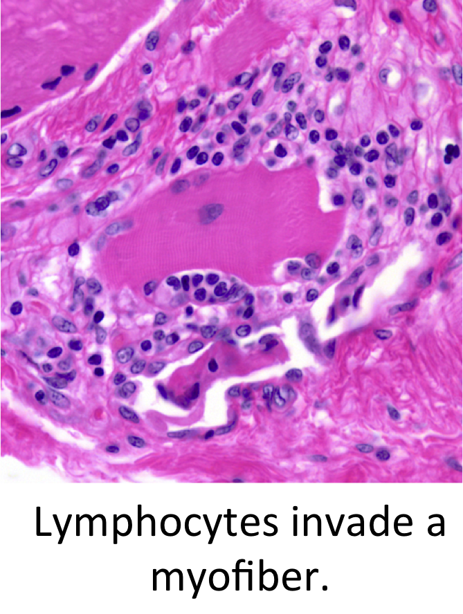
Necrosis of muscle fibers is associated with what myositis? Means what type of inflammation is going on?
Polymyositis
Endomysial inflammation (CD8+ T cells) with necrotic muscle fibers

If there is upper extremity distal muscle weakness (in the fingers), what myositis are you thinking of?
Inclusion body myositis
Inclusion body myositis seen primarily in what age/sex?
Older men
Which type of inflammatory myopathy doesnt respond to corticosteroids?
Inclusion body myositis
Does inclusion body myositis commonly involve organs? If so, which ones?
No, it doesnt
PMR stands for what?
Polymyalgia Rheumatica
Polymyalgia rheumatica symptoms?
Pain and stiffness in shoulders and hips, often with fever, malise, and weight loss