Hypoxia/Ischemia results in degeneration of what neurons?
Hippocampus
Huntington’s Disease results in degeneration of what neurons?
Caudate Nucleus
Parkinson’s Disease results in degeneration of what neurons?
Substantia Nigra
Amyotrophic lateral sclerosis (ALS) results in degernation of what neurons?
Motor Neurons
What are the signs of Acute Neuronal Injury?
Myelin disorders are associated with what component of the nervous system?
Oligodendrocytes
What component of the nervous system is most resistant to injury?
Astrocytes
What are the major mechanisms of cellular injury?
Describe the excitotoxic injury.
Inappropriate activation of NMDA receptor that results in:
What does subacute/chronic neuronal injury result in?
What is the axonal reaction?
What are the features of the axonal reaction?
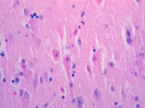
What is this image?

Red Neuron
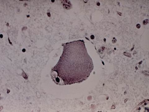
What is this image?

Axonal reaction
What is this image?

Axonal spheroid
Axons are highlighted as black lines with what stain?
Silver
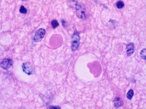
What inclusions are associated with Parkinsons?
Lewy body

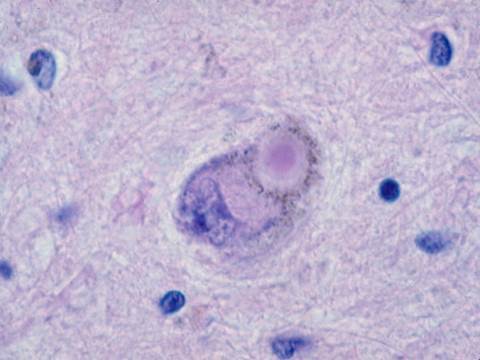
What inclusion is associated with Alzheimers?
Neurofibrillary tangles

What inclusions are associated with Pick’s Disease?
Pick’s body
Fronto-temporal lobar degernation

Neuronal inclusions may occur as a manifestation of aging, when there are intracytoplasmic accumulations of complex lipids (___________).
Lipofuscin
Abnormal cytoplasmic deposition of complex lipids and other substances also occurs in ___________________________ in which substrates or intermediates accumulate.
genetically determined disorders of metabolism
Viral infection can lead to abnormal intranuclear inclusions, as seen in __________.
Herpetic infection
Viral infection can lead to abnormal cytoplasmic inclusions, as seen in _______.
Rabies. (Negri body)
Viral infection can lead to abnormal nuclear AND cytoplasmic inclusions, as seen in _______
Cytomegalovirus (CMV) infection