Oral Path: Bone Lesions Flashcards

(21 cards)

1
Q

Central Giant Cell Granuloma (CGCG)

A

Anterior Mandible mostly

Composed of:
* Fibroblasts
* Multinucleated Giant cells

Types:
Central (CGCG):
* Bone
* RL w/thin wipsy septations

Peripheral:
* Soft tissue
* Red-purple gingival Mass

Tx: Excision

How well did you know this?
1
Not at all
2
3
4
5
Perfectly
2
Q

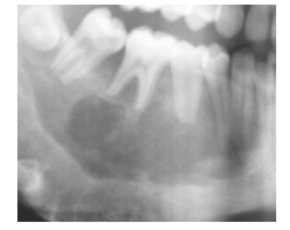
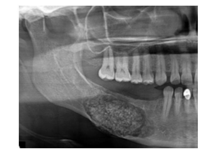
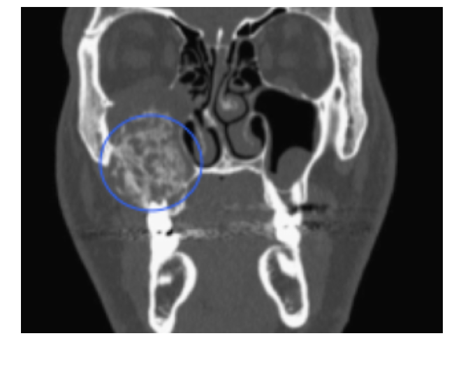
Aneurysmal Bone Cyst

A

Pseudocyst w/ blood-filled spaces

Posterior Mandible
* Multilocular Radiolucency:
* Expansile

Tx: Fine Needle Aspiration 1st (Blood=Confirms Dx)
* Excision

How well did you know this?
1
Not at all
2
3
4
5
Perfectly
3
Q

Hyperparathyroidism

A

Multiple bone lesions that look like CGCG’s
* due to Excessive PTH Levels

Brown Tumor:
* Excess osteoclast activity–> Elevated Alkaline Phosphate

How well did you know this?
1
Not at all
2
3
4
5
Perfectly
4
Q

Cherubism

A

Clinical: Symmetrical Bilateral Swelling

Radiographically:
* expansile bilateral multilocular RL

Stops growing after puberty

How well did you know this?
1
Not at all
2
3
4
5
Perfectly
5
Q

Langerhans Cell Disease

A

Aka Idiopathic Histiocytosis
Rare Cancer

Langerhan cells (Histiocytes):
* normally found in skin as antigen-presenting cells
* Cause damage if buildup in body

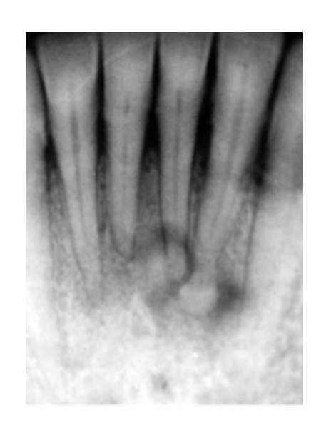
Punched out “Ice cream scoop” radiolucencies
* lead to floating teeth

How well did you know this?
1
Not at all
2
3
4
5
Perfectly
6
Q

Paget’s Disease

A

Progressive Metabolic Disturbance of many bones (Spine, femur, skull, jaws)
* Causes symmetric enlargement

Cotton Wool Appearance

Adults > 50
* Increased Bone Breakdown=Elevated alkaline phosphate
* Denture & hats become too tight

Associated with:** hypercementosis**

Tx: Bisphosphonates & Calcitonin

How well did you know this?
1
Not at all
2
3
4
5
Perfectly
7
Q

Central Ossifying Fibroma

A

Fibroblastic Stroma: form foci of mineralized products
* Similar in appearance & Behaviour to cementifying fibroma (Odontogenic tumor)

3 types:
Central:
* Bone
* Well circumscribed RL w/ossificaotin product in center

Peripheral:
* Soft tissue
* no RL

Juvenile:
* Aggressive variant
* rapid growth
* younger pts

How well did you know this?
1
Not at all
2
3
4
5
Perfectly
8
Q

Fibrous Dysplasia

A

Ground Glass Appearance
* Fiberglass–> Fibrous Glass

Stops growing after puberty

How well did you know this?
1
Not at all
2
3
4
5
Perfectly
9
Q

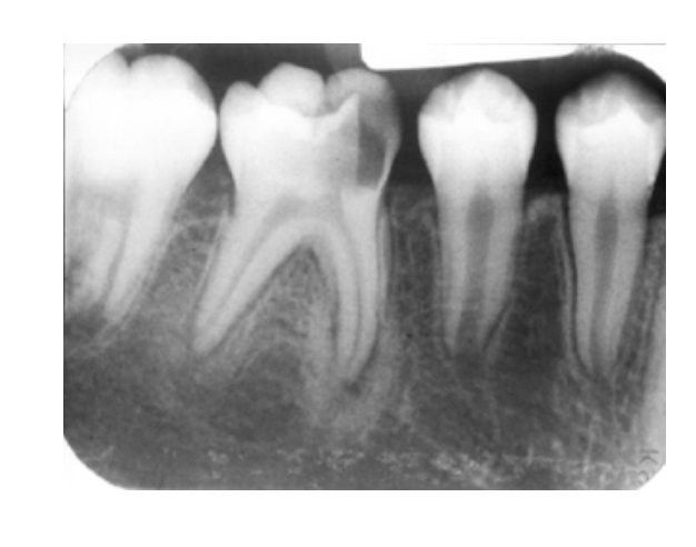
Periapical Cemento-Osseous Dysplasia (PCOD)

A

Reactive Process
* Unknown Origin

Most common:
* apices of mandibular anteriors
* Middled aged black females
* Vital Teeth

Starts RL–>progress to RO (w/RL halo) as it matures

How well did you know this?
1
Not at all
2
3
4
5
Perfectly
10
Q

Osteoblastoma

A

Circumscribed opaque mass of bone & Osteoblasts

How well did you know this?
1
Not at all
2
3
4
5
Perfectly
11
Q

Acute Osteomyelitis

A

Cause:
* Odontogenic Infection
* Trauma

Infection/inflammation:
* Starts in the medullary space involving cancellous bone
* spreads to cortical bone, periosteum, soft tissues

Symptoms:
* Deep intense pain
* high or intermittent fever
* Paresthesia or anesthesia of IAN
* Tooth is not loose (This is caused by periodontitis)

Tx: Antibiotics

How well did you know this?
1
Not at all
2
3
4
5
Perfectly
12
Q

Cardinal Signs of Systemic Infection

A

FML!

Fever
Malaise
Lymphadenopathy

How well did you know this?
1
Not at all
2
3
4
5
Perfectly
13
Q

Chronic Osteomyelitis

A

Diffuse Mottled Radiolucency

Garre’s Osteomyelitis:
* Chronic Osteomyelitis w/proliferative periosteitis (onion skin)

Tx: ANtibiotics & debridement of infected area

How well did you know this?
1
Not at all
2
3
4
5
Perfectly
14
Q

Focal Sclerosing Osteomyelitis

A

Aka Condensing Osteitis

Bone sclerosis
*resulting from low-grade inflammation (like chronic pulpitis)

Tx: None, address cause of inflammation

How well did you know this?
1
Not at all
2
3
4
5
Perfectly
15
Q

Diffuse Sclerosing Osteomyelitis

A

Same as Focal, BUT wider scale
* may lead to Jaw fracture

Bone Sclerosis:
* resulting from low-grade inflammation (like chronic pulpitis)

How well did you know this?
1
Not at all
2
3
4
5
Perfectly
16
Q

What are the most common symptoms associated with Malignant bone lesions?

A

Nump lip/paresthesia

17
Q

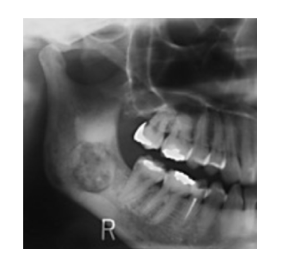
Osteosarcoma

A

Sarcoma of the jaw
* new bone is produced by tumor cells

Sunburst Pattern of radiopacity

Tx: Resection & Chemo

18
Q

Bisphosphonate Related Osteonecrosis of the Jaws (BRONJ)

A

Greater risk w/IV Bisphosphonates than oral

5 yr survival rate: 25-40% (Pretty deadly)

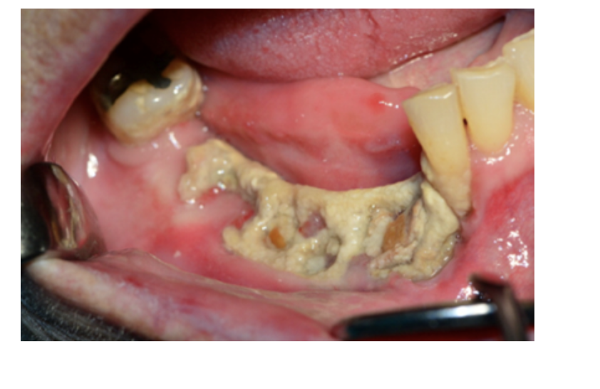
Jaw Pain
* exposed necrotic bone

Tx: CHX rinse, antibiotics, conservative sx

19
Q

Chondrosarcoma

A

Sarcoma of the jaws
* New CARTILAGE is produced by tumor cells
* Same presentation & Tx as osteosarcoma

COndyle
*. Due to cartilage origin

20
Q

Ewing’s Sarcoma

A

Sarcoma of Long bones involving “Round cells”

Children
* rarely affects the jaw
* swelling

Moth Eaten or Onion skinning

21
Q

Metastatic Carcinoma

A

Breast > Lung > Kidney > Kidney > Prostate