Pulmonary Embolism Flashcards

(57 cards)

1
Q

What are the most common sources of embolic pulmonary embolism (PE)?

A

Deep vein thrombosis (DVT) from the iliac, femoral, or popliteal veins.

How well did you know this?
1
Not at all
2
3
4
5
Perfectly
2
Q

What is the basic pathophysiology of pulmonary embolism (PE)?

A

A blockage of the pulmonary artery or one of its branches by an embolus (e.g., blood clot, fat, air, tumor fragment), increasing the amount of dead space in the lung.

How well did you know this?
1
Not at all
2
3
4
5
Perfectly
3
Q

What are the specific types of classifications to describe pulmonary embolism (PE)?

A
  1. Massive: high risk (causes hemodynamic instability)
  2. Submassive: intermediate risk (associated with right heart strain)
  3. Low-risk (hemodynamically stable with no RV dysfunction)
    vvvvvvvvvvvvvvvvv
    Based on location: saddle, lobar, segmental, subsegmental.
How well did you know this?
1
Not at all
2
3
4
5
Perfectly
4
Q

What specific type of shock is associated with pulmonary embolism, what does this indicate about the size of the pulmonary embolism and how does this guide management?

A
  • Acute pulmonary embolisms that are massive can result in obstructive shock by preventing blood flow through the lungs to the left side of the heart. This strains the right side of the heart due to elevated right-sided pressures, increasing CVP. The PCWP is decreased because less blood is getting through the lungs to the left atrium. Cardiac output is low, and SVR is reflexively elevated (the parameters mimic cardiogenic shock except for PCWP). Obstructive shock in the context of pulmonary embolism usually indicated a massive PE due to RV failure with obstructive shock is present, indicated by hypotension (ie, systolic blood pressure <90 mm Hg) that typically requires vasopressor or inotrope support. Massive PE is generally treated immediately with full-dose systemic thrombolytic agents or an embolectomy.
  • A submassive PE is defined by RV dysfunction without hypotension. RV dysfunction is identified based on imaging findings (eg, RV dilation or hypokinesis) or biochemical parameters (eg, troponin or B-type natriuretic peptide [BNP] elevation). The extent of severity in a submassive PE is based on the echocardiogram and biomarkers. Elevated troponin I reflects RV myocardial necrosis due to demand ischemia, and elevated BNP reflects acute myocardial stretch. Elevated biomarkers signify a higher risk of clinical deterioration, such as progression to shock and overt RV failure. Management of submassive PE involves an individually tailored approach ranging from anticoagulation to thrombolytic-based (eg, catheter-directed) strategies.
  • In Low-risk PE RV dysfunction is usually absent and is generally treated with anticoagulation alone.
How well did you know this?
1
Not at all
2
3
4
5
Perfectly
5
Q

What is the purpose of measuring BNP or Troponin I in patients with confirmed PE?

A

To determine how much the right heart can tolerate the strain due to increased right sided afterload.

How well did you know this?
1
Not at all
2
3
4
5
Perfectly
6
Q

What type of necrosis of the lung parenchyma is associated with pulmonary embolism?

A

Coagulative necrosis. Even more, PEs lead to red infarcts. The pulmonary artery is occluded, but bronchial arteries continue to supply the affected area. If embolus resolves or infarcted tissue is reperfused, blood can flood the necrotic tissue, leading to hemorrhagic infarction. Wedge-shaped, red infarct, often pleuritic and painful.

How well did you know this?
1
Not at all
2
3
4
5
Perfectly
7
Q

What metabolic disturbance is associated with pulmonary embolism? Does this have an impact with any particular electrolyte?

A

Respiratory alkalosis. This can change the calcium levels, leading to decreased levels of ionized calcium.

How well did you know this?
1
Not at all
2
3
4
5
Perfectly
8
Q

How does pulmonary embolism affect lung function?

A

It causes ventilation-perfusion (V/Q) mismatch by blocking blood flow to alveoli, leading to hypoxemia and potential lung infarction.

How well did you know this?
1
Not at all
2
3
4
5
Perfectly
9
Q

What is the effect of pulmonary embolism on the right heart?

A

It increases pulmonary vascular resistance and right ventricular afterload, potentially causing right heart failure.

How well did you know this?
1
Not at all
2
3
4
5
Perfectly
10
Q

What is the physiological progression of increased dead space secondary to pulmonary embolism?

A

Perfusion-ventilation mismatch, which progresses to parenchymal damage in the lung.

How well did you know this?
1
Not at all
2
3
4
5
Perfectly
11
Q

What occurs to the pulmonary artery resistance and right ventricular resistance in the event of perfusion-ventilation mismatch and lung tissue hypoxia secondary to pulmonary embolism?

A

Pulmonary artery vasoconstriction leads to increased pressure and increased right ventricular afterload.

How well did you know this?
1
Not at all
2
3
4
5
Perfectly
12
Q

What are some clinical clues that would indicate a patient is experiencing a pulmonary embolism based on patient history?

A

Risk Factors for PE (Virchow’s Triad: Stasis, Hypercoagulability, Endothelial Injury).

How well did you know this?
1
Not at all
2
3
4
5
Perfectly
13
Q

What are the most common symptoms endorsed by patients (subjectively) of pulmonary embolism?

A
  • Dyspnea
  • Pleuritic chest pain
  • Tachypnea
  • Hemoptysis
  • Constitutional symptoms might include fatigue, weakness, or syncope
How well did you know this?
1
Not at all
2
3
4
5
Perfectly
14
Q

What are the common physical exam findings (objective measures) in pulmonary embolism?

A
  • Tachycardia (which can progress to bradycardia)
  • Tachypnea
  • Rales
  • Jugular venous distension (JVD)
  • Loud P2
  • Calf tenderness
  • Lower extremity swelling
  • Pedal edema
  • Elevated body temperature
How well did you know this?
1
Not at all
2
3
4
5
Perfectly
15
Q

Describe the lung sounds associated with pulmonary embolism?

A

This is usually unreliable as lung sound can be clear to diminished breath sounds to rales. Wheezing is uncommon but can occur due to inflammation and irritation, even following resolution of the PE.

How well did you know this?
1
Not at all
2
3
4
5
Perfectly
16
Q

How do you initially assess a patient suspected of having pulmonary embolism?

A

Perform an ABCDE assessment to determine if the patient is stable or unstable. The initial steps if the patient is unstable is to stabilize the airway, breathing, and circulation, then obtain IV access, monitor the heart rhythm, blood pressure, oxygen saturation and provide supplemental oxygen as required.

How well did you know this?
1
Not at all
2
3
4
5
Perfectly
17
Q

How do you manage an unstable PE patient?

A

Immediate airway stabilization, supplemental oxygen, IV fluids, and vasopressors as needed. As far as imaging, perform a bedside ECHO.

How well did you know this?
1
Not at all
2
3
4
5
Perfectly
18
Q

What imaging modality is used for a patient who is hemodynamically unstable and there’s a high suspicion for pulmonary embolism?

A

Patients with sudden-onset dyspnea and severe hypoxemia despite clear lungs, hypotension, tachycardia, and cold extremities, findings consistent with either cardiogenic or obstructive shock, require emergency bedside transthoracic echocardiography due to both the hemodynamically instability (ie, systolic blood pressure <90 mm Hg), and the need to quickly evaluate with imaging. (TTE) serves 2 purposes. First. it establishes a presumptive diagnosis of massive PE based on surrogate evidence, such as right ventricle (RV) dilation or hypokinesis (reduced systolic function). Second, it identifies other causes of shock, such as severe hypovolemia, cardiac tamponade (compressive effusion), or left-sided heart failure. An echocardiographic finding of RV dilation (“blown RV”) coupled with hypotension is generally thought to warrant empiric thrombolysis. Although CT angiography can confirm PE, it is unsafe in hemodynamically unstable patients given the risk for circulatory collapse (eg, cardiac arrest in the scanner or during transport) and should not delay thrombolysis.

How well did you know this?
1
Not at all
2
3
4
5
Perfectly
19
Q

What specific sign is associated with right ventricular free wall hypokinesis scene due to right heart strain secondary to pulmonary embolism?

A

McConnell’s sign. The right ventricular free wall doesn’t move, while the apex moves normally
The apex of the right ventricle looks like a trampoline bouncing up and down. Explained further, the emergency bedside transthoracic echocardiography enables a presumptive diagnosis of pulmonary embolism (PE) based on key findings reflecting the underlying pathophysiology of right ventricle (RV) obstruction due to the clot. First, the acute rise in RV afterload leads to RV dilation due to a sudden increase in wall stress. With acute pressure overload, the RV has no time to adapt and can fail with even modest elevation of pulmonary vascular resistance if it occurs quickly enough. In contrast, slowly progressive processes such as pulmonary arterial hypertension allow for compensatory concentric RV hypertrophy and adaptation to the increased RV afterload. Because perfusion of the RV occurs in both systole and diastole, the RV is especially susceptible to global ischemia in the setting of systemic hypotension. RV ischemia causes further dilation and impairs its systolic function, causing global hypokinesis. Systemic venous return is impaired as the RV struggles to eject; therefore, engorgement of the inferior vena cava would be more typical than collapse. Loss of RV stroke volume leads to underfilling of the left ventricle (LV), which leads to decreased cardiac output. In addition, RV dilation causes septal incursion into the LV, further compromising its diastolic filling. RV dysfunction and systemic hypotension reinforce each other in a vicious spiral, which quickly leads to death if not treated (eg, thrombolysis) urgently, therefore justifying the use of an ECHO in emergent conditions (i.e. hemodynamic instability).

How well did you know this?
1
Not at all
2
3
4
5
Perfectly
20
Q

What ECG finding is most commonly associated with pulmonary embolism?

A

Sinus tachycardia or non-specific changes (T-wave inversions) are the most common, however a pattern that is very specific for pulmonary embolism is the S1Q3T3 pattern (S wave in lead I, Q wave and T wave inversion in lead III) but is a less common (low sensitivity, high specificity) finding. The underlying pathophysiology for this ECG pattern is acute right ventricular strain (right axis deviation, S1Q3T3, precordial T-wave inversions). Another sign of right heart strain is an incomplete or full-on RBBB. The troponin could also be elevated.

How well did you know this?
1
Not at all
2
3
4
5
Perfectly
21
Q

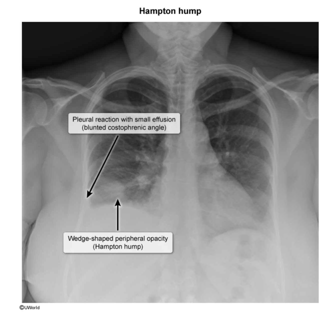
What are some clinical clues seen on CXR that suggest a pulmonary embolism?

A

Hampton hump. Chest x-ray findings that suggest a PE are wedge-shaped opacities and the adjacent blunted costophrenic angles due to reactive or inflammatory pleural effusion.

How well did you know this?
1
Not at all
2
3
4
5
Perfectly
22
Q

What is the most specific ECG finding for PE?

A

S1Q3T3 pattern.

How well did you know this?
1
Not at all
2
3
4
5
Perfectly
23
Q

What is the initial imaging test for diagnosing pulmonary embolism when the patient is stable?

A

CT pulmonary angiography (CTPA) to detect intraluminal filling defects in the pulmonary circulation, a.k.a. spiral CT angiography. In hemodynamically stable (ie, systolic blood pressure ≥90 mm Hg) patients with a high pretest probability for PE, the next step is to proceed directly to confirmatory testing with pulmonary CT angiography (CTA) (also known as CTA PE protocol) or a ventilation-perfusion study. PE is confirmed if CTA reveals filling defects in the pulmonary arteries.

24
Q

What is the cut-off for a high Well’s score that would justify going straight to CTA for confirmation of a PE?

25
What imaging modality is the gold standard for diagnosing PE?
CT pulmonary angiography (CTPA), a.k.a. spiral CT angiography.
26
What medical therapy should be given to patient's prior to undergoing CT pulmonary angiogram?
Anticoagulation with heparin so long as there are no contraindication such as high bleeding risk or renal failure.
27
A 62-year-old man presents to the emergency department with shortness of breath for the past six hours. Past medical history is unremarkable. The patient appears short of breath at rest. Physical examination is otherwise unremarkable. Temperature is 36.8 °C (98.2 °F), pulse is 108/min, blood pressure is 139/87, respiratory rate is 18/min, and Sp02 is 93% on room air. Serum troponin and brain natriuretic peptides are within normal limits. Chest radiograph is unremarkable. Computed tomography pulmonary angiography shows a left segmental pulmonary artery embolism and a normal appearing right and left ventricle. Electrocardiogram shows sinus tachycardia without ST or t-wave changes. Which of the following is the most appropriate next step in management?
This patient has a pulmonary embolism (PE) as evidenced by the pulmonary artery filling defect on CT imaging with associated tachycardia, tachypnea, and hypoxia. If the patient has a PE and clinically significant hypotension, they are considered unstable and should receive thrombolytics (alteplase) or undergo mechanical thrombectomy. Without treatment, these patients are at high risk of cardiac arrest. PEs can cause right heart strain, as evidenced by elevated troponin or elevated brain natriuretic peptide, and CT findings of a dilated right ventricle and/or flattening of the interventricular septum. A transthoracic echocardiogram should be performed to confirm right heart strain. In addition, an S1Q3T3 pattern on electrocardiogram (deep S wave in lead 1; Q wave in lead 3; inverted T wave in lead 3) can also suggest right heart strain but lacks sensitivity. In patients like this one with a PE without hypotension or heart strain, anticoagulation is the next best step. In most cases a direct oral anticoagulant (apixaban, dabigatran or rivaroxaban) is preferred, though enoxaparin/heparin and warfarin can also be used. If the patient cannot receive systemic anticoagulation, an inferior vena cava filter should be considered. Thrombolysis is only indicated for massive PE with hemodynamic instability (e.g., hypotension, shock). This patient is stable, so thrombolysis is not warranted. Mechanical thrombectomy is reserved for massive PE with shock or contraindications to thrombolysis. Not needed in a hemodynamically stable patient.
28
In what instances is CT pulmonary angiography (CTPA) contraindicated, and what should be used instead?
- Renal pathology or allergy to contrast - Pregnancy - Obesity or poor image quality - Inconclusive CTPA In most instances, a V/Q scan is the imaging modalities, however, if the patient is hemodynamically unstable, the imaging modality is with an ECHO.
29
What test should be performed if CTPA is inconclusive?
Ventilation-perfusion (V/Q) scan. Often times the VQ scan results are combined with Wells score to determine the probability of a pulmonary embolism. Either a high probability or a well score a greater than 6 is usually diagnostic for a pulmonary embolism.
30
How does a V/Q scan help diagnose PE?
A normal ventilation but poor perfusion pattern suggests PE.
31
A 33-year-old man presents to the emergency department with sharp chest pain and shortness of breath that started two hours ago. Past medical history is significant for testicular cancer for which the patient is receiving chemotherapy. Temperature is 37.4 °C (99.3 °F), pulse is 120/min, blood pressure is 81/43 mmHg, respiratory rate is 22/min, and SpO2 is 90% on room air. Emergent computed tomography pulmonary angiography shows a large right pulmonary artery filling defect and flattening of the interventricular septum. Troponin is 0.91 ng/mL (nml: <0.04 ng/mL), and brain natriuretic peptide is 943 pg/mL (nml: <100 pg/mL). Blood pressure after administration of one liter of intravenous fluids and with vasopressors is 84/45 mmHg. Which of the following medications should be administered next?
This patient likely has a large pulmonary embolism (PE) as evidenced by emergent computed tomography pulmonary angiography showing a large right pulmonary artery filling defect and flattening of the interventricular septum and the associated findings of tachycardia, tachypnea, hypotension, and hypoxia. If a patient has a PE and clinically significant hypotension, they are considered **unstable** and should receive **thrombolytics (alteplase)** or undergo mechanical thrombectomy. Without treatment, these patients are at high risk of cardiac arrest. Large (also referred to as "massive") PEs can cause right heart strain, as evidenced by elevated troponin or elevated brain natriuretic peptide, and CT pulmonary angiography findings of a dilated right ventricle and/or flattening of the interventricular septum. A transthoracic echocardiogram should be performed to confirm right heart strain. In addition, an S1Q3T3 pattern on an electrocardiogram (deep S wave in lead 1; Q wave in lead 3; inverted T wave in lead 3) can also suggest right heart strain but lacks sensitivity. Patients without hypotension or heart strain should receive anticoagulation (Apixaban ). In most cases a direct oral anticoagulant (apixaban, dabigatran, rivaroxaban) is preferred, although enoxaparin/heparin and warfarin can be used. If the patient cannot receive anticoagulation, then they should be considered for inferior vena cava filter placement.
32
What is a treatment for a patient who has confirmed pulmonary embolism and is severely hypotensive?
Thrombolysis (alteplase). Although most patients with PE should be started on anticoagulation (eg, heparin), those with hemodynamic instability should have anticoagulation held until after thrombolytic therapy to minimize bleeding risk.
33
When is surgical thrombolytic therapy indicated for PE?
For **massive PE** with hemodynamic instability and no contraindications.
34
What are the treatment options for unstable PE patients?
Patients with a pulmonary embolism (PE) associated with right ventricular dysfunction and hemodynamic instability requiring vasopressor support should receive **immediate thrombolytic therapy**. Although most patients with PE should be started on anticoagulation (eg, heparin), those with hemodynamic instability should have anticoagulation held until after thrombolytic therapy to minimize bleeding risk. Thrombolytic therapy (e.g., alteplase) is the premiere therapy as long as patients do not have contraindications (high bleeding risk). Surgical embolectomy is the modality if thrombolysis is not an option. In patients with PE, hemodynamic instability is the most important indication for thrombolysis, which can be administered via either systemic infusion or catheter-directed therapy. Other relative indications for thrombolysis include severe right ventricular dysfunction, large clot burden, and evidence of free, right-sided cardiac thrombus. **Contraindications** include intracranial neoplasm or prior hemorrhage, cerebrovascular abnormalities, active bleeding, and recent cranial trauma. In patients who cannot undergo thrombolytic therapy, surgical or catheter-directed embolectomy should be considered.
35
When should surgical embolectomy be performed?
If thrombolysis is contraindicated due to bleeding risk in patients who have persistent hypotension.
36
When in an IVC filter used in the setting of pulmonary embolism?
The most common reasons for the placement of an inferior vena cava filter include the inability to tolerate anticoagulation or breakthrough PE on anticoagulation. Although filters may be placed prophylactically in patients who are unlikely to tolerate another PE, they are not first-line management.
37
What is the first step in evaluating stable patients with suspected pulmonary embolism, but the physical exam findings or patient presentation is vague or nonspecific?
Use the Wells criteria to determine pretest probability.
38
What is the Wells criteria used for in PE diagnosis?
To stratify the probability of PE into low, moderate, or high categories.
39
What are the parameters of the Wells criteria?
1. Clinical signs of DVT (3 points) 2. PE most likely diagnosis (3 points) 3. Tachycardia >100 bpm (1.5 points) 4. Recent surgery/immobilization (1.5 points) 5. Prior PE/DVT (1.5 points) 6. Hemoptysis (1 point) 7. Malignancy (1 point)
40
What is the next step for a Wells score <2 (low probability)?
Use the PERC (PE Rule-Out Criteria). If negative, no further testing is needed.
41
What are the PERC rule-out criteria?
1. Age <50 2. HR <100 3. O2 sat >95% 4. No hemoptysis 5. No prior PE/DVT 6. No recent trauma/surgery 7. No unilateral leg swelling 8. No estrogen use
42
What is the next step if **ANY** of the PERC criteria are not met?
Order a D-dimer test.
43
What does a negative D-dimer (<500 ng/mL) indicate?
PE is unlikely; consider alternative diagnoses.
44
What does a positive D-dimer (≥500 ng/mL) indicate?
Proceed with CTPA.
45
What is the next step for a Wells score 2-6 (moderate probability)?
Check D-dimer levels; if ≥500 ng/mL, perform CTPA (a.k.a. spiral CT geography). Sometimes presumptive diagnosis can be established with a compressive ultrasound of the lower extremity. A positive ultrasound is treated with anticoagulation.
46
What is the next step for a Wells score >6 (high probability)?
Initiate anticoagulation and perform CTPA, a.k.a. spiral CT geography.
47
How is anticoagulation managed for confirmed PE on CTPA?
Immediate anticoagulation with direct oral anticoagulants (DOACs like apixaban or rivaroxaban), heparin, LMWH or fondaparinux. If patients develop hemoptysis after initiation of anticoagulation, and the vital signs and respiratory status are stable, then the hemoptysis can be considered non-life-threatening as long as it does not cause airway obstruction (ie, asphyxiation on blood), severe impairment of gas exchange (eg, severe hypoxemia), or hemodynamic instability. A small amount of hemoptysis can be seen in the setting of PE, particularly when there has been pulmonary infarction (necrotic lung tissue is prone to bleeding). Anticoagulation may exacerbate the risk. However, in clinically stable patients with minor hemoptysis, therapeutic anticoagulation is generally safe and should be continued. **Premature discontinuation**, reversal, or underdosing of anticoagulation **increases the risk of recurrent PE**, particularly in the acute time frame (first 2 weeks). Incomplete anticoagulation also increases the risk of chronic thromboembolic pulmonary hypertension (WHO Group 4). In the vast majority of cases, patients can be safely transitioned to an oral anticoagulant as long as they remain stable following a short period of observation (~24 hr). Life-threatening hemoptysis (eg, jeopardized airway, severe hypoxemia, hemodynamic instability) generally occurs with bleeding rates >100 mL/hour. It is managed by securing the airway, placing the patient's bleeding "bad lung" (if lateralization is known) down to prevent spillover into the "good lung," and obtaining urgent hemostatic control via bronchoscopy, embolization, or surgery. For patients who develop more significant hemoptysis or major bleeding at other sites, anticoagulation can be stopped and an inferior vena cava (IVC) filter can be considered, particularly for patients with a high residual deep venous vein thrombus burden.
48
What anticoagulant is preferred for most PE patients?
Direct oral anticoagulants (e.g., rivaroxaban, apixaban) are the preferred agents for long-term anticoagulation. Other agents include warfarin or LMWH. When a patient has liver failure then heparin or fondaparinux are usually the preferred medications.
49
When is heparin preferred over DOACs?
In severe hepatic impairment or suspected large emboli requiring closer monitoring.
50
How long should anticoagulation therapy be continued after a first-time PE?
At least 3 months.
51
When should indefinite anticoagulation be considered?
For patients with recurrent PE or unprovoked PE with persistent risk factors.
52
What is the best initial step for a patient with a high Wells score and contraindications to anticoagulation?
IVC filter placement.
53
What is the best treatment and management approach for a patient who has a pulmonary embolism but is on chronic warfarin treatment?
Perform a CT pulmonary angiograph then place an IVC filter. The key item to remember is not to place an IVC filter prior to confirming whether or not the patient has a pulmonary embolism!
54
What is the next best step in a patient with suspected PE but contraindications to CT pulmonary angiography (or the CTPA is inconclusive)?
V/Q scan.
55
What determines the 30-day survival for patients after the initial encounter of a PE?
Hemodynamic instability after pulmonary embolism is frequently due to right ventricular dysfunction and is one of the most important predictors of increased short-term mortality. Other predictors include advanced age, altered mental status, history of cancer, tachypnea, tachycardia, hypothermia, marked hypoxemia, and right ventricular dysfunction.
56
What type of embolus is associated with a long bone fracture?
**Fat emboli**. Presents with lung symptoms such as dyspnea or ARDS along with neurological symptoms that include confusion. A classic skin finding is rash or petechiae.
57
What embolic syndrome is associated with child birthing?
**Amniotic fluid emboli**. Amniotic fluid, fetal cells, fetal debris, can all enter maternal circulation leading to respiratory failure followed by DIC.