Chest X-ray Flashcards

(5 cards)

1
Q

What components justify an outstanding chest x-ray?

A

PIER → position, inspiration, exposure, rotation
Position: AP versus PA.
Inspiration: inhalation allows visualization of all 10 ribs.
Exposure: the vertebral bodies should be seen faintly.
Rotation: there should be equal distance between the clavicles in comparison to the spinous processes.

How well did you know this?
1
Not at all
2
3
4
5
Perfectly
2
Q

While evaluating a chest x-ray:
A =
B =
C =
D =
E =

A

A = Airway (trachea, carina, bronchi, hilar LNs)
- Trachea should be positioned at the midline, patent, and not shifted to one side (deviation could indicate pneumothorax, atelectasis, lung or mediastinal masses). The trachea bifurcates at the carina into the right and left mainstem bronchi; normal angle of carina is 40° to 80°. The right mainstem bronchus is wider, shorter, and more vertical than left mainstem bronchus; foreign bodies are more like to occlude the right mainstem bronchus.

B = Breathing (lungs + pleura)
- Each lung is divided into three lung zones that take up one-third of the height of each lung.
- Pleura is not usually visible on chest x-ray unless there is pleural thickening.

C = Circulation + Cardiac silhouette
- Look at the Aortic knob.
- The Cardiothoracic ratio (CTR) = max horizontal cardiac diameter/max horizontal thoracic diameter.
- CTR < 0.5 in a normal PA CXR.

D = diaphragm + damage to bone
- The diaphragm should be sharp and well defined.
- The gastric bubble should be below the diaphragm.
- Costophrenic angle = angle where diaphragm and thoracic wall meet; fluid may collect here in upright patients (pleural effusion).
- Bone fractures to the ribs or clavicle should be evaluated.

E = effusions, equipment, and everything else
- Equipment = lines, tubes, surgical clips/wires, pacemaker + implantable cardioverter defibrillator (ICD).
- Everything else = gastric bubble (normal finding on CXR).
- Everything else = pneumoperitoneum → air under diaphragm (abnormal finding on CXR).

How well did you know this?
1
Not at all
2
3
4
5
Perfectly
3
Q

What are the structures and accompanying pathologies seen on a chest x-ray?

A
How well did you know this?
1
Not at all
2
3
4
5
Perfectly
4
Q

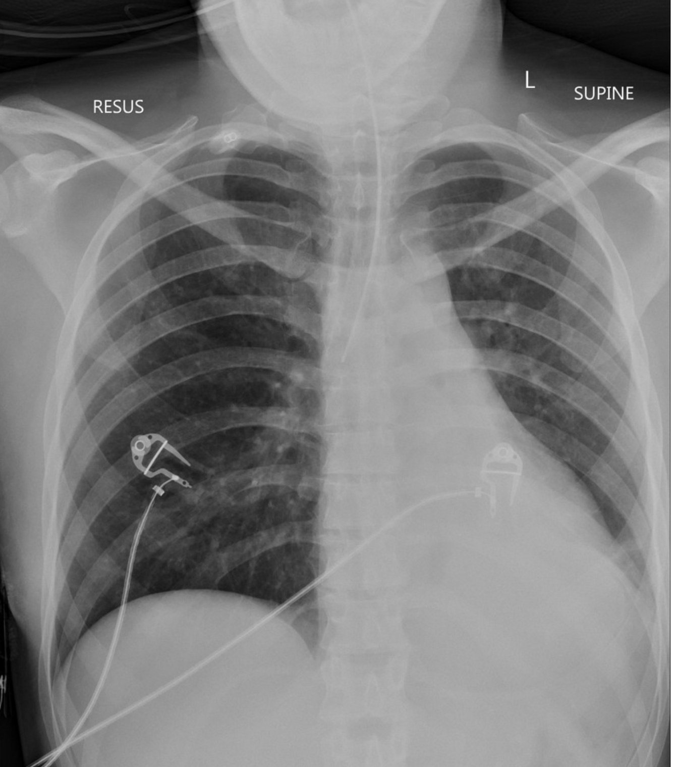
A 30-year-old woman is brought to a rural emergency department by paramedics due to tonic-clonic seizure activity.
The patient is administered multiple doses of lorazepam and levetiracetam over the course of 10 minutes, which fail to terminate the seizure. A decision is made to perform rapid sequence intubation and initiate intravenous propofol. A post-intubation chest x-ray is obtained and shown below. The hospital does not have an on-call radiologist so the image is sent to a teleradiology service for formal interpretation. Which of the following is the next best step in the management of this patient?

A

This patient undergoes endotracheal intubation. A chest x-ray is subsequently obtained, revealing that the endotracheal tube tip is located in the right mainstem bronchus. This patient’s chest x-ray demonstrates right mainstem intubation, which can lead to hypoxemia, barotrauma of the right lung, and atelectasis of the left lung. In contrast, the tip of a properly positioned tube should terminate approximately 3-5 cm above the carina to ensure that both lungs are ventilated. The endotracheal tube should be immediately retracted to ensure both lungs are ventilated. It would be inappropriate to wait for the final report from teleradiology before intervening. As such, this tube should be retracted.
It is important for clinicians to be able to personally interpret chest x-rays, as a radiologist may not always be available. When reviewing chest x-rays, it is important to follow a systematic approach to minimize the risk of overlooking pathological findings.

How well did you know this?
1
Not at all
2
3
4
5
Perfectly
5
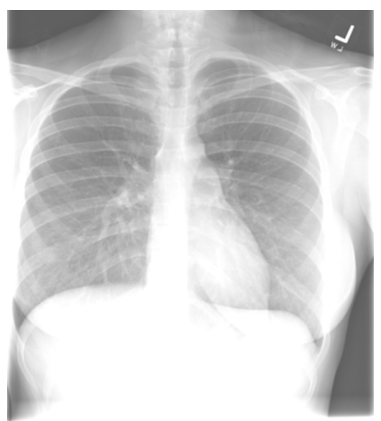
Q

A 37-year-old woman presents to her outpatient provider for evaluation of dull chest pain for the past two months. The pain is more profound in the right chest and worsens with physical activity. A chest radiograph is obtained as part of the work-up and shown below. What qualities best describe the characteristics of this image?

A

The quality of a chest x-ray is determined based on a combination of penetration, inspiratory effort, and rotation. Technical view describes whether an image is taken via an AP or PA approach. A chest x-ray was appropriately obtained in the workup of this patient’s symptoms. The above image demonstrates adequate inspiratory effort, underpenetration, and midline alignment. When reviewing a chest x-ray, it is important to assess its quality and technical view, which describes whether an image is taken anterior-posterior (AP) or posterior-anterior (PA). Quality is based on a combination of three metrics: The first metric is penetration, which describes the extent to which the x-rays have passed through the patient’s body. If a study is adequately penetrated, then the lower thoracic spine should be visualized through the cardiac shadow. If the lower thoracic spine is not visualized, the study is under-penetrated. In contrast, in an over-penetrated study, too many x-rays pass through low density structures, causing the lung fields to appear black, increasing the risk that pathologic findings are missed. The second metric is inspiration. In a film with adequate inspiratory effort, 8-10 posterior ribs can be seen above the diaphragm. The final metric is rotation, which can be determined by evaluating the relationship between the clavicles and the spine. If the medial ends of the clavicles are equidistant from the thoracic spinous process, then the patient is midline and not rotated.

How well did you know this?
1
Not at all
2
3
4
5
Perfectly