Reasons lesions may be white:
White lesions that can be scraped off
White lesions that can’t be scraped off:
Which herditary lesion is not a true one?
Leukoedema
Features of leukoedema
Why does leukoedema have a grayish-white color?
It’s more common in African-Americans
Common populations with leukoedema
Smokers and African Americans
Pathognomonic sign of leukoedema
Disappears when the mucosa is stretched
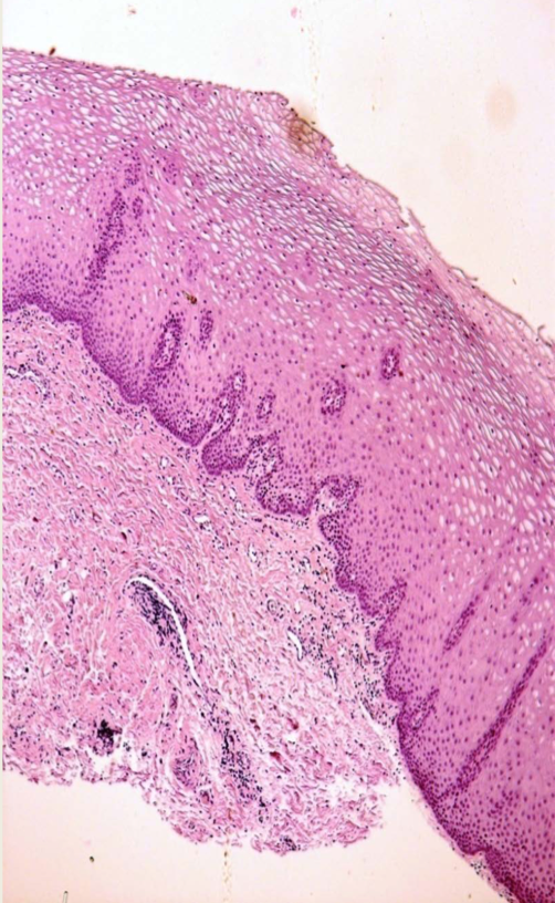
Histopathology of leukoedema

Epithelium: parakeratotic and acanthotic
Spinous layer: intracellular edema
Enlarged cells with lots of clear cytoplasm and small nucleus
Two important tests for white lesions
DD of leukoedema
What is the etiology of lichen planus
Unknown etiology, but it is NOT autoimmune
T/F Leukoedema has a patch and is elevated
FALSE
White sponge nevus
Keratin 4 or 13 mutation
Features of white sponge nevus
Histopathology of WSN
HBID stands for:
Hereditary benign intraepithelial dyskeratisis
Who does HBID happen in
Triracial isolate: Caucasian, Native American, and AA in North Carolina
Key clinical feature of HBID
What mucosa involved in HBID
ANY mucosa including BILATERAL
Histopath of HBID
Hyperplasia
Acanthosis
Intracellular edema of the epithelium
Etiology of frictional keratosis
Chronic rubbing or friction
Clinical presentation of frictional keratosis
Common locations of frictional keratosis
Lip
Buccal mucosa
Tongue
Alveolar ridge