Which vitamin, if taken in high doses, can be teratogenic?
Vitamin A is teratogenic in high doses
The combination of deranged LFTs combined with secondary amenorrhoea in a young female strongly suggestive of which condition
Autoimmune hepatitis
Facial rash:
Raised purple plaque of indurated skin
Affects the tip of the nose and the skin around the right nostril
Neither itchy or painful
What is the diagnosis

A cutaneous manifestation of sarcoidosis
Most frequently affects the nose, cheeks, lips, ears, and digits
Not normally itchy or painful but can be disfiguring.
The gene encoding which protein is mutated in familial hypercholesterolaemia
The gene encoding the low-density lipoprotein (LDL) receptor
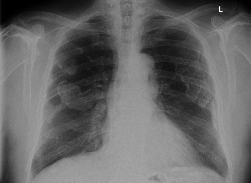
What is the abnormality that can be seen in this erect chest x-ray

Pleural plaques - seen as irregular lesions bilaterally
Pleural plaques are a consequence as an exposure to what substance?
Pleural plaques are a consequence of asbestos inhalation and develop over 2 to 4 decades from exposure
Fever, abdominal pain, hypotension during a blood transfusion
What is the diagnosis
Acute haemolytic reaction
Positive Coombs direct test indicates antibodies bound to red cell antigens, in keeping with an acute haemolytic reaction.
The radial nerve is most susceptible to damage from a fracture where in the arm?
Fracture of the shaft of the humerus.
What is the treatment for non-shockable rhythm
Adrenaline
When should adrenaline be used in shockable rhythms?
Adrenaline should be given after the third shock, and then during alternate cycles.
When should Amiodarone be used in shockable rhythms?
Should be given after the third shock, and another dose considered after five shocks.
What is the main ECG abnormality seen with hypercalcaemia
Shortening of the QT interval
SSRIs such as sertraline are major risk factors for what GI condition?
Duodenal ulcers
A history of Painful shin rash and cough is suggestive of what condition?
Sarcoidosis
What is the most significant issue with mechanical heart valves when compared to bioprosthetic valves?
Thrombus formation
Which of his medications may be contributing to weight gain?
a) Metformin
b) Losartan
c) Clopidogrel
d) Gliclazide
e) Simvastatin
d) Gliclazide - Sulfonylureas
Define Dressler’s syndrome
Acute pericarditis that occurs several weeks following MI
Public health act 2008 part 2 is for what
Nortifiable diseases and notifiable organisms
Responsibility to notify upon a clinical suspicion of an infection
At what stage should you notify public health about a notifiable disease
Responsibility to notify upon a clinical suspicion of an infection
What is the incubation period
The period between a patient being exposed to developing symptoms
Name the 3 types of post exposure prophylaxis
Antibiotics
Vaccination
Immunoglobulins
Describe the audit cycle
1) Identify the issues
2) Obtain or define standards
3) Collect data
4) Compare performance with standards
5) Implement change
6) Re-audit

What are the four classical presentation of Meniere’s disease
Recurrent attacks of vertigo
Hearing loss
Tinnitus
Sensation of aural fullness
What are the components of the GCS
Motor response - 6
Verbal response - 5
Eye opening response - 4