Thoracic Imaging Standard Guidelines
**Look For: ** Heartbeat
Right & left side of fetus
Symmetry in lung, bone, heart
Position of heart in the chest
Size relationship with abdomen, heart
Note circumference size of entire thorax
Echotexture of lungs and heart
Ossification of bones: Clavicle, Scapula, Sternum, Ribs
Throacic Standard Images
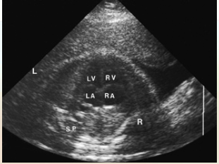
Transverse of 4 chamber heart
M-Mode tracing of fetal heart
Measurement of heart rate
Diaphragm: done in either sagittal or coronal, document both sides
Fetal heart lies more horizontal than the neonatal heart because the lungs are not inflated in utero
This allows for image planes not possible after birth
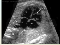
On transverse 4 chamber heart note the heart
Size: 1/3rd the size of the thorax
Axis: Between 40-45 degrees from the midline
*Should NOT be greater than 45 degrees
Position in thorax: Ventricles pointing toward the left
Surrounding fetal anatomy
heart anatomy

con’t

what anatomy does the tran 4-chamber view demonstrate?

Both ventricles
Interventricular septum
Both atria
Atrial septum
Foramen ovale
Papillary muscles
Great vessels
Pulmonary artery
Aorta
Atrioventricular valves
Make sure they both open during diastole & close during systole (Right side is Tricuspid valve, Left side is Mitral valve)
what is closest to the spine?
which chamber is the biggest?
why apex is thickest?
where is the foraven ovale flap?

Left atrium lies closest to the fetal spine
•
Four chambers should be nearly equal in size
•
Right ventricular apex may appear thicker due to the presence of the moderator band
•
Foramen ovale flap into left atrium

what is the #1 image to determine if the apex of the heart is correct?
the 4-cahmber heart

how far offof the line you draw from the spine directly anterior should the heart apex be?
45“

where is the moderator band? what is it?
the foramen ovale?

Moderator band (AKA septomarginal trabecula in right ventricle). thick muscle.
Foramen Ovale (thin white arrow pointing down)
can you identify the fetal lt/rt sides?

also note the lung echotexture
what plane was this taken in?
how can you tell?

sp is spine in trans
what does the T sign mean?
why does it look that way?
it rules out 90% of pathology
both valves are closed
what part of the heart is always closest to the AO?
rt atrium
how can you tell the baby position?
what can you say abou the lungs?
what can they indicate?

by the diaphragm (A, P, S, I) long to baby
•
Echotexture is homogeneous with medium level echoes
Early in gestation lung echogenicity is less than or equal to liver
Later in gestation lung echogenicity is greater than liver
Lung echogenicity can be an indicator for lung maturity & can be verified by amniocentesis with L/S (Lecithin-Sphingomyelin) ratio. In this image b/c the lung echogenicity is > liver you can tell it’s further along ~ 30wks
where is the apex?

on the anterior surface pointing slightly to the rt
there is rib shadow on th elt
What does ALARA stand for? What does it mean?

As Low As Reasonably Achievable
General principle states prudent use of diagnostic ultrasound
An ultrasound user is responsible for understanding physics of machine output measurements (mechanical index & thermal index) & use them in their scanning
High intensity ultrasound increases the thermal index (TI) which may lead to biological effects to the developing fetus (There are thermal effects as tissue absorbs the ultrasound)
Need thorough knowledge of: Transducers, System set-up, Scanning techniques, Imaging modes, B-mode, m-mode, Doppler
_____ is lower intensity & is optimal practice as low as reasonably achievable (ALARA) & should be used instead of Doppler
•
What is it abbreviation for?
•
Purpose of it is to : Documents fetal, Viability, Heart Rate, Varies throughout pregnancy - Normal Range (110 to 180 bpm (JDMS May/) or 120-160 HA)
M-Mode
motion mode
What steps do you need to take to perform M-Mode? (8)
Where does the cursor need to be placed for m-mode?
Place cursor through the atrial and ventricular wall to allow simultaneous display of cardiac wall motion

What are the sonographic finding of the diaphragm?
what plane was this image taken in?

Hypoechoic compared to lung
•
Between lung/liver/spleen
•
Seen consistently after 20 weeks gestation
Note this longitudinal view of the thorax and abdomen & is early in the gestational age - the lungs are still hypoechoic compared to the liver
what plane was this scanned in?
how far along is this GA? Why?

Note this longitudinal view of the thorax & abdomen that is later in the gestational age - the lungs are now hyperechoic compared to the liver
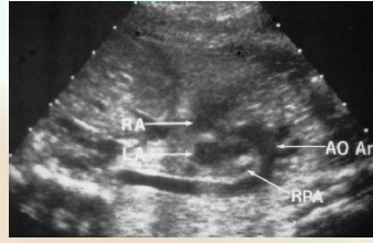
what is this?

aortic arch and branches
looks like a candy cane
what is speciat about these veiws of the <3 ?

Left Ventricular Outflow Tract – AKA Aortic root or 5-Chamber view
•
Right Ventricular Outflow Tract
what does the left ventricular outflow tract (LVOT) demonstrate?

continuity of the interventricular septum to the aortic root

what does the rt ventricular outflow tract (RVOT) demonstrate?

Demonstrates main pulmonary artery
