Leukocyte abnormalities Flashcards

(42 cards)

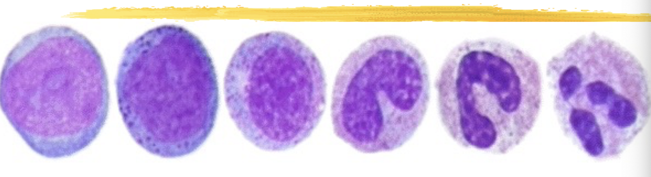
1
Q

L shift
immature granulocytes in the blood

A

pregnancy
infection
myelofibrosis

How well did you know this?
1
Not at all
2
3
4
5
Perfectly
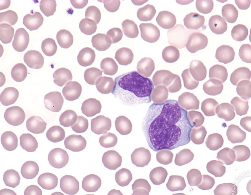
2
Q
A

immature to mature (L to R)

How well did you know this?
1
Not at all
2
3
4
5
Perfectly
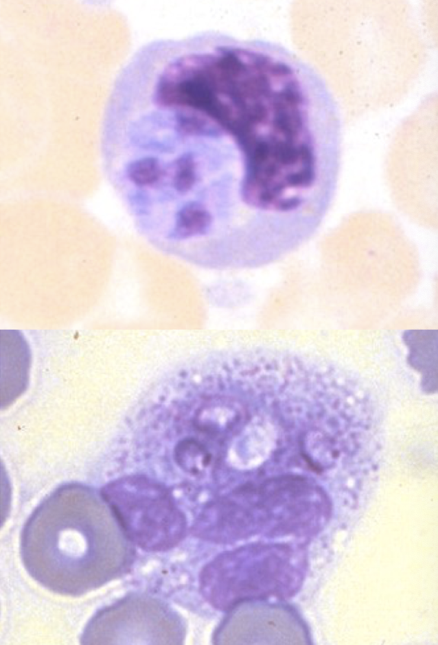
3
Q

increased granulation (toxic granulation)

A

bacterial infection
tissue damage

How well did you know this?
1
Not at all
2
3
4
5
Perfectly
4
Q

“toxic granulation” but present in all leukocytes (not just granulocytes)
inherited anomaly

A

Alder-Reilly Anomaly

How well did you know this?
1
Not at all
2
3
4
5
Perfectly
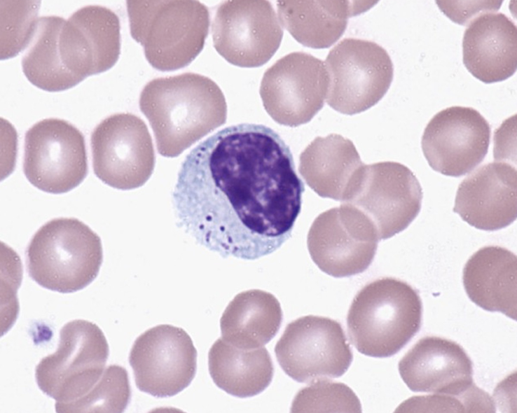
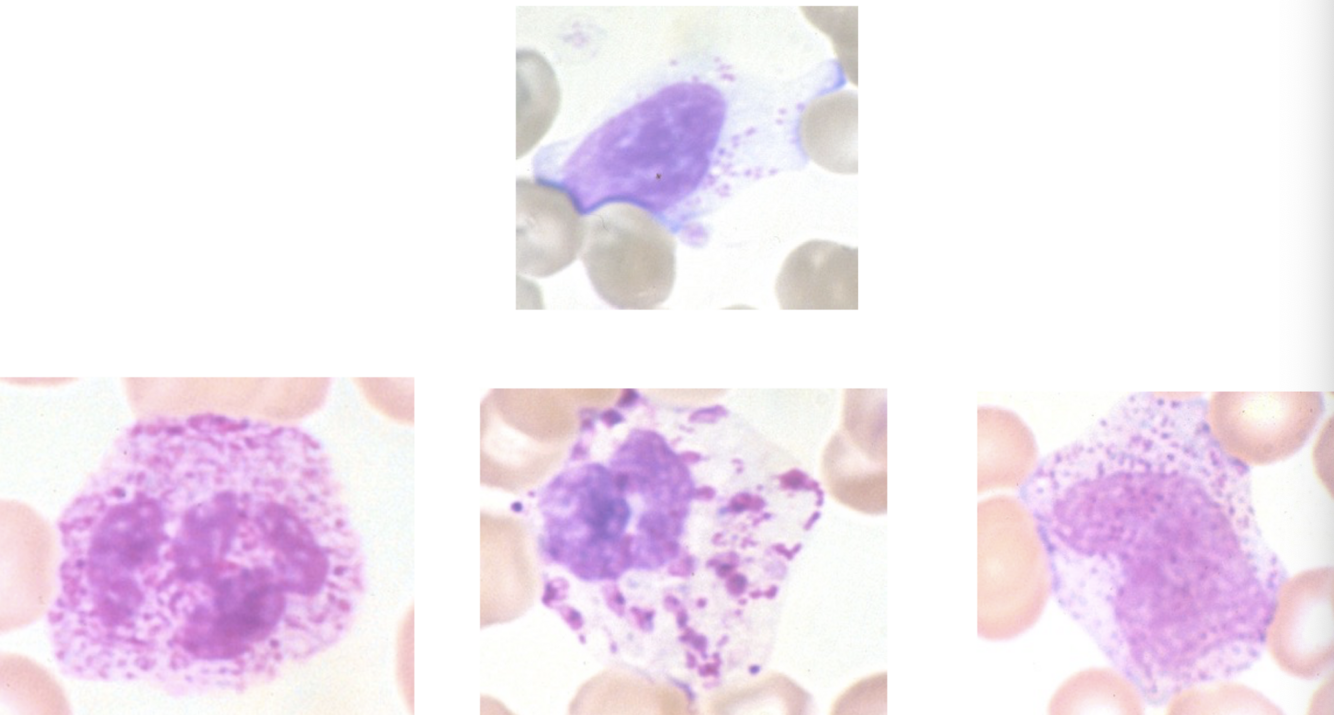
5
Q

normal top R
reduced granulation in neutrophil cytoplasm (hypogranulation)

A

myelodysplastic syndrome

How well did you know this?
1
Not at all
2
3
4
5
Perfectly
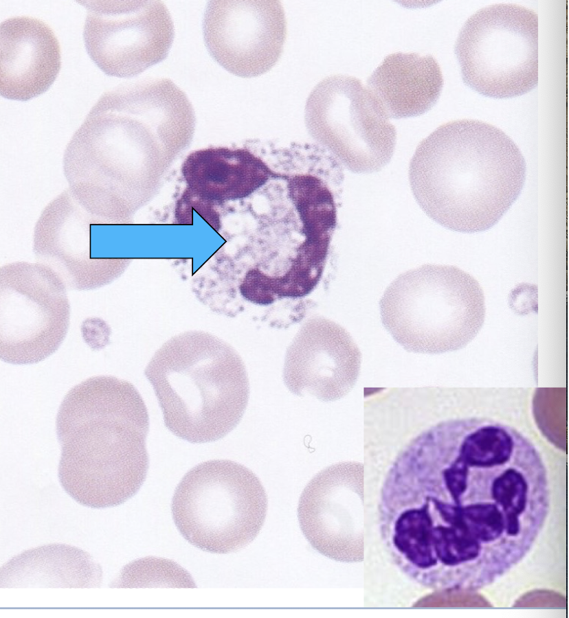
6
Q

vacuoles in the cytoplasm of granulocytes (toxic vacuoles)

A

infection
toxic effect of alcohol

How well did you know this?
1
Not at all
2
3
4
5
Perfectly
7
Q

small pale blue cytoplasmic inclusions
(Dohle bodies)

A

infective and inflammatory states
burns
chemo

How well did you know this?
1
Not at all
2
3
4
5
Perfectly
8
Q

AD disorder
giant platelets
bright blue Dohle like inclusions in WBC
moderate thrombocytopenia

A

May-Hegglin Anomaly

How well did you know this?
1
Not at all
2
3
4
5
Perfectly
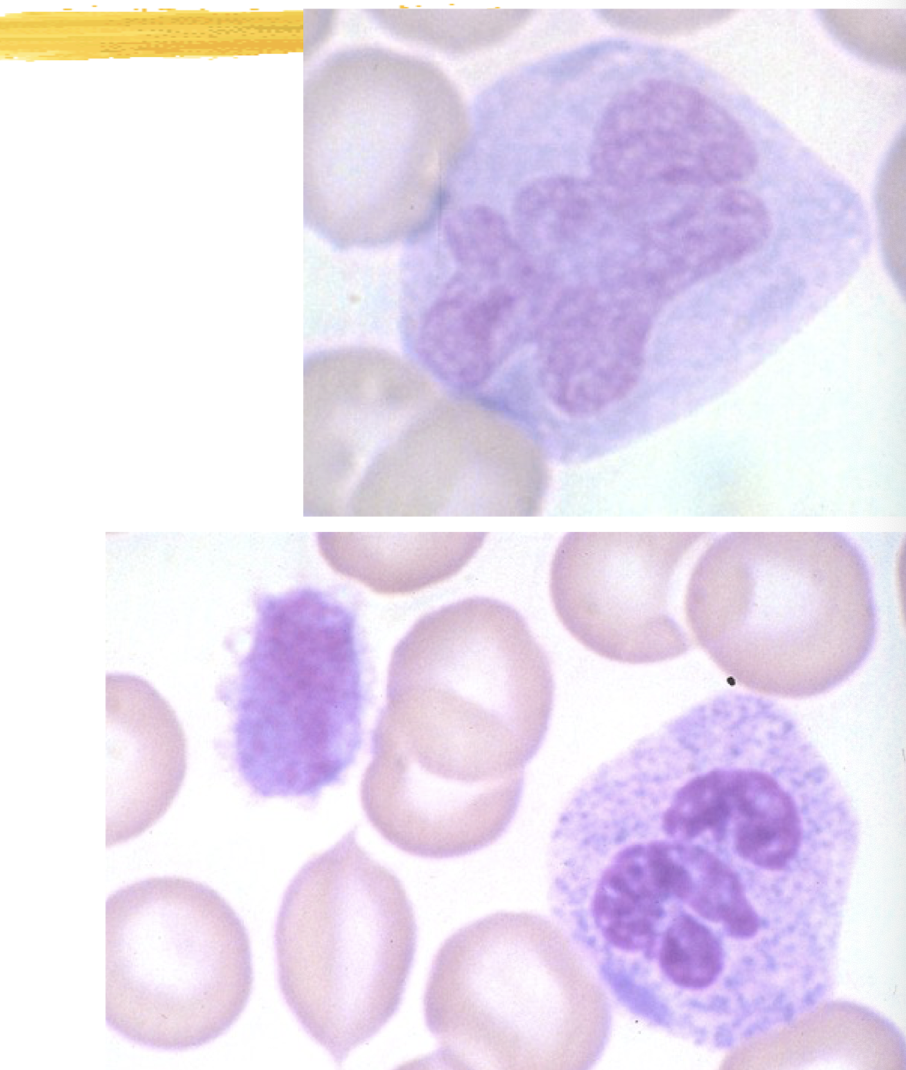
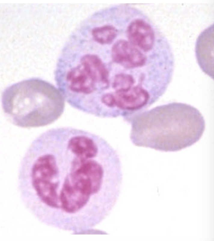
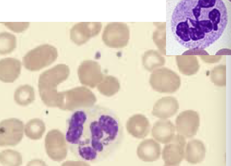
9
Q

increased neutrophils with 6 segments or more
(hypersegmented neutrophils)

A

megaloblastic anemia

How well did you know this?
1
Not at all
2
3
4
5
Perfectly
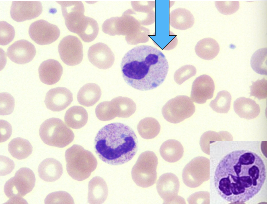
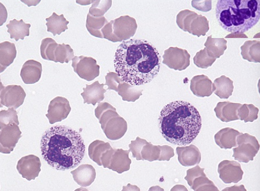
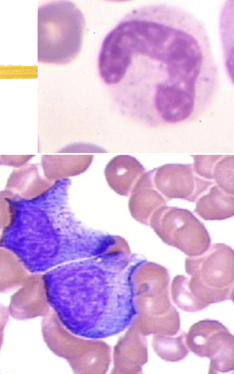
10
Q

mono or bilobed neutrophils w/ condensed chromatin
(hyposegmentation)

A

Pelger-Huet anomaly
found in myelodysplastic syndrome

How well did you know this?
1
Not at all
2
3
4
5
Perfectly
11
Q

various microorganisms in vacuoles in cytoplasm of neutrophils
(phagocytosed organisms)

A

bacterial, fungal, protozoal infections

How well did you know this?
1
Not at all
2
3
4
5
Perfectly
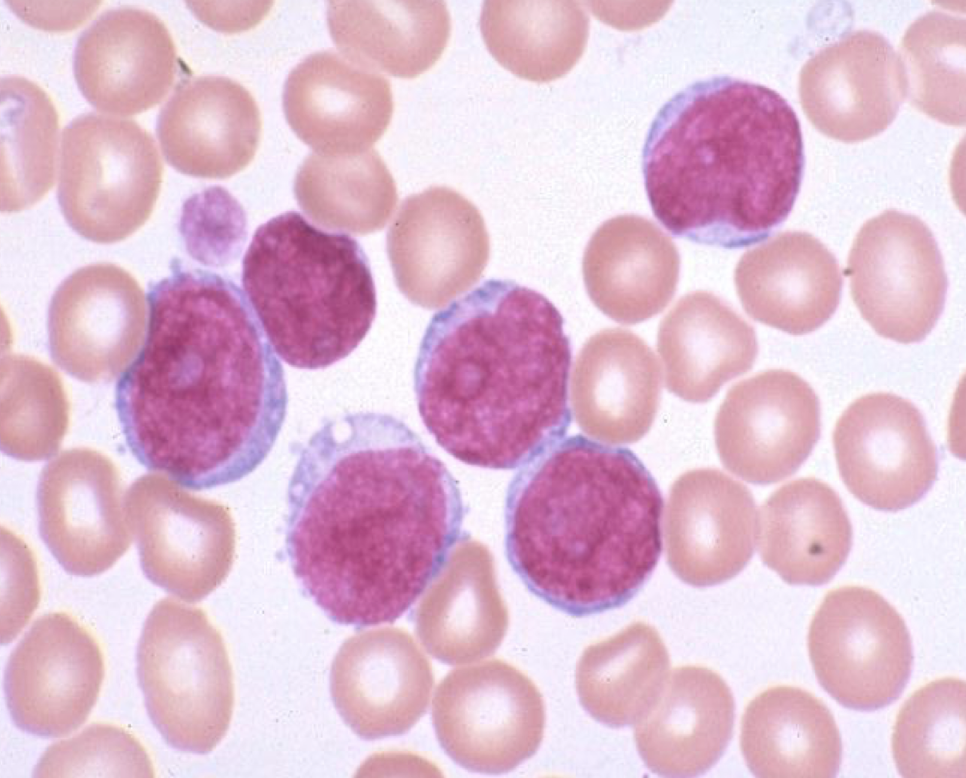
12
Q

primitive, immature cells seen in acute leukemia and myelodysplastic syndrome

A

circulating blasts

How well did you know this?
1
Not at all
2
3
4
5
Perfectly
13
Q

rods in cytoplasm seen in acute myeloid leukemia and myelodysplastic syndrome
have MPO in them

A

Auer rods

How well did you know this?
1
Not at all
2
3
4
5
Perfectly
14
Q

pleomorphic, large w/ abundant basophilic cytoplasm
found in viral infections, bacterial and protozoal; drug rxns, stress, autoimmune

A

variant (atypical) lymphocytes

How well did you know this?
1
Not at all
2
3
4
5
Perfectly
15
Q

small eosinophilic granules in the cytoplasm of large lymphocytes
found in viral infections, RA, lymphocytic leukemia

A

large granular lymphocytosis

How well did you know this?
1
Not at all
2
3
4
5
Perfectly
16
Q
A

common reactive changes

How well did you know this?
1
Not at all
2
3
4
5
Perfectly
17
Q

granulocytes, monocytes, lymphocytes

18
Q

increased in response to acute body stress
can phagocytose and kill microorganisms
most numerous WBC
2-3 segments usually

19
Q
20
Q

transformed into histiocytes upon entrance of the tissues
APCs

21
Q

specialized in killing parasitesand mediate allergic responses

22
Q

have IgE receptors and mediate hypersensitivity rxns
similar but distinctive from mast cells
least common type of WBC

23
Q

-cytosis
-philia
-emia

A

increased numbers

24
Q

-penia

A

decreased numbers

25
how to distinguish b/t neutrophilia or lymphopenia
absolute counts
26
10,000 leukocyte count, with 80% segmented (neutrophils) being 8,000= (lymphocytes being 1,000)
neutrophilia
27
5,000 leukocyte count (low/normal), 80% of 5,000 is 4,000 (normal for neutrophils), 10% of 5000 is 500, low for lymphocytes =
lymphopenia
28
if patient is a ______it is normal to have more lymphocytes than segmented neutrophils
child
29
WBC count higher or lower in hispanics
higher
30
WBC count higher or lower in blacks
lower
31
WBC higher or lower in pregnancy
higher
32
exercise, stress, hypoxia, epinephrine can cause what
neutrophilia
33
acute or inflammatory reactions and myeloproliferative neoplasms can cause what
neutrophilia
34
monocytosis seen in what phase of various infections
recovery
35
seen in allergic conditions, parasitic infections, and drug reactions, and neoplasms
eosinophilia
36
seen in allergic reactions and myeloproliferative neoplasms
basophilia
37
seen in viral infections and lymphoproliferative neoplasms
lymphocytosis
38
neutropenia
39
main complication of neutropenia
infections
40
rare cyclic neutropenia peds population
congenital neutropenia
41
Immunodeficiency Treatments Steroids(boost neutrophils, but suppress lymphocytes) Malignancies (bone marrow involvement)
lymphopenia
42
An increase in the percentage of immature granulocytes or bands in the blood
WBC maturation abnormality