multiples- test 4 Flashcards

(50 cards)

1
Q

T/F

There is a greater danger when twins share a single placenta or single sac

A

True

How well did you know this?
1
Not at all
2
3
4
5
Perfectly
2
Q

2 types of twins

A

Monozygotic
Dizygotic

How well did you know this?
1
Not at all
2
3
4
5
Perfectly
3
Q

what is zygosity

A

Number of oocytes released from ovary and fertilized by spermatazoa

How well did you know this?
1
Not at all
2
3
4
5
Perfectly
4
Q

When should you determine zygosity?

A

Should only be determined > 6 wks GA

How well did you know this?
1
Not at all
2
3
4
5
Perfectly
5
Q

what is “vanishing twin” phenomenon.

A

one twin may die and is expelled or absorbed by mother

How well did you know this?
1
Not at all
2
3
4
5
Perfectly
6
Q

what is Chorionicity?

A

Number of chorionic sacs (placentas)

How well did you know this?
1
Not at all
2
3
4
5
Perfectly
7
Q

when is chorionicity determined

A

Assessed > 4.5-5 wks

How well did you know this?
1
Not at all
2
3
4
5
Perfectly
8
Q

can two placentas appear as one?

A

yes.

How well did you know this?
1
Not at all
2
3
4
5
Perfectly
9
Q

what is amnionicity

A

Number of Amniotic sacs

How well did you know this?
1
Not at all
2
3
4
5
Perfectly
10
Q

when is amnionicity determined?

A

Assessed > 8 wks GA

Best identified in 1st trimester

How well did you know this?
1
Not at all
2
3
4
5
Perfectly
11
Q

The process of twinning is diagrammed here. A dividing membrane that is “monochorionic” implies monozygous twinning.

However, a “dichorionic” twin placenta could result from either dizygous or monozygous twinning (the former more likely)

A
How well did you know this?
1
Not at all
2
3
4
5
Perfectly
12
Q
A

diamniotic
monochorionic

How well did you know this?
1
Not at all
2
3
4
5
Perfectly
13
Q
A

dichorionic
diamniotic

How well did you know this?
1
Not at all
2
3
4
5
Perfectly
14
Q

how many chorion and amnions does Dizygotic Twins havw

A

ALWAYS dichorionic and diamniotic

How well did you know this?
1
Not at all
2
3
4
5
Perfectly
15
Q

One blastocyst which divides, producing two embryos

A

Monozygotic Twins (30%)

How well did you know this?
1
Not at all
2
3
4
5
Perfectly
16
Q

Majority of monozygotic twins are _____________, _____________

A

monochorionic, diamniotic

How well did you know this?
1
Not at all
2
3
4
5
Perfectly
17
Q

Monozygotic Twins

Cleavage at the 2-cell stage (days 1-3) results in _______________, _____________

A

dichorionic-diamniotic (di-di),

DCDA gestation; 20 % of MZ twin pregnancies.

How well did you know this?
1
Not at all
2
3
4
5
Perfectly
18
Q

Monozygotic Twins

Cleavage during the blastocyst stage, before implantation (days 4-8) results in _____________, ______________

A

monochorionic-diamniotic (mono-di),

MCDA gestation; 75% of MZ twin pregnancies.

How well did you know this?
1
Not at all
2
3
4
5
Perfectly
19
Q

Monozygotic Twins

Cleavage after implantation results in ______________, ______________

A

monochorionic-monoamniotic (mono-mono),

MCMA gestation (days 8-13); 5% of MZ twin pregnancies.

How well did you know this?
1
Not at all
2
3
4
5
Perfectly
20
Q

Monozygotic Twins

Division > 2 weeks results in _______________: <1% of MZ twin pregnancies.

A

conjoined twins

How well did you know this?
1
Not at all
2
3
4
5
Perfectly
21
Q

dichorionic vs monochorionic thickness

A

dichorionic
>2mm
4 layers (amnion-chorion-chorion-amnion)

Monochorionic
< 2 mm
2 layers
(amnion-amnion)

22
Q

what is another way to tell the difference between dichorionic or monochorionic besides thickness

A

Dichorionic
“twin-peak”/lambda sign

Monochorionic
T-shaped junction

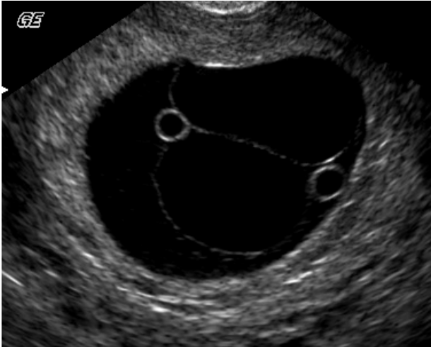
24
Q
A

dichorionic
diamniotic

25
monochorionic monoamniotic
26
dichorionic diamniotic
27
monochorionic diamniotic
28
The successful fertilization of a second ovum released during an ongoing pregnancy, resulting in twins of unequal age.
Superfetation
29
Placenta can support up to _____________
3000 grams
30
Determine the gender of the twins (if twins are opposite sex, they are _______________; same-sex twins are indeterminate)
dizygotic
31
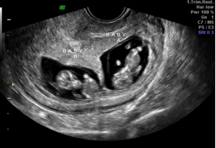
The twin closest to the cervix is ALWAYS called ______________
Baby A
32
Sonographic observations associated with increased fetal morbidity and mortality:
One gestational sac smaller than the other Sac appearing “too small” for the fetus One fetus visibly smaller than the other Abnormal Doppler tracings
33
Results from arteriovenous communication between the circulatory systems of monochorionic twins (10-15%) Recipient twin becomes hypervolemic, large for GA, produces excessive urine leading to hydramnios, heart working hard to pump extra blood (can lead to heart failure) Donor twin hypovolemic, leading to severe, generally symmetric growth restriction, produces little urine resulting in oligohydramnios; “stuck-twin” Prognosis is poor for both twins
Twin Transfusion Syndrome
34
in twin transfusion syndrome what are the two twins called
recipient twin and donor twin
35
what is the prognosis for twin transfusion syndrome
poor for both twins
36
Monochorionicity Marked discordance in AFV Discordance in size Larger twin in hydramniotic sac, large bladder, possibly hydropic with enlarged heart Smaller twin in oligohydramniotic sac, bladder NWV – “stuck-twin” Check cord Dopplers (🡩 RI?, 🡫, absent, or reversed end-diastolic flow?)
twin transfusion syndrome
37
Staging of TTTS
38
Staging of TTTS-Doppler Specifics
39
treatment of twin transfusion syndrome
-Therapeutic amniocentesis -Amniotic septostomy -Fetoscopic laser surgery (occlusion of chorioangiopagous) 80% one twin survives 65-70% both twins survives <5% have severe disabilities https://youtu.be/JW-_L5aBQew -Selective termination -Hysterotomy with removal of one twin -Endoscopic umbilical cord ligation
40
twin transfusion syndrome can be suspected when one twin is at least _____________ larger than the other.
25%
41
An AC difference of ≥ 20 mm on a scan within 2 weeks of delivery or a weight estimation difference > 20% of larger twin’s weight - associated with discordant growth A 2 week difference in GA is suggestive
helps determine twin transfusion syndrome
42
-Acardiac parabiotic twin -Occurs with monozygotic, monochorionic twins or triplets -Blood flow reverses to acardiac twin -“Perfused” twin received unoxigenated blood, resulting in aplasia or hypoplasia of the heart, head, and upper limbs -“Pump” twin is usually normal but may have congestive heart failure and become hydropic -Associated with hydramnios -https://www.youtube.com/watch?v=cbo2XLbhjJA
Twin Reversed Arterial Perfusion Sequence (TRAP)
43
Twin Reversed Arterial Perfusion Sequence (TRAP) what are the two twins called
perfused and pump twin -“Perfused” twin received unoxigenated blood, resulting in aplasia or hypoplasia of the heart, head, and upper limbs -“Pump” twin is usually normal but may have congestive heart failure and become hydropic
44
Subtypes of TRAP Sequence
45
Subtypes of TRAP Sequence Most common Absence of head and upper torso and limbs Lower limbs, genitalia and abdominal organs are present.
Acardius Anephus
46
Subtypes of TRAP Sequence Least differentiated type Made up of a mass of bone, muscle, fat, and connective tissue.
Acardius Amorphus
46
Subtypes of TRAP Sequence Most developed type Rudimentary cranial structures, with trunk, limps and abdominal organs. Lacks rudimentary heart
Acardius Anceps
47
Subtypes of TRAP Sequence Rarest Fetal head is the only developed structure Umbilical cord insertion is directly into the fetal head
Acardius Acormus
48
what is this called Death of a monochorionic twin may be followed by the development of emboli (clots) that can travel to the remaining twin through the placenta causing neurologic damage or injury to other organs including the small intestines and kidneys.
Twin Embolization Syndrome
49
Results from late and incomplete division of the monozygotic embryonic disk Most cases have symmetry of joined regions
CONJOINED TWINS