To control most spontaneous bleeding into the knee in children with hemophilia, factor VIII must be
replaced to what percentage of normal?
40% to 50% of normal
For surgery, the replacement should be
to 100%
? correct pelvic osteotomy ?

Chiari or Shelf (salvage for unreducible head)
both depends on fibrocartilge metaplasia for successful results

Most prognostic sign for the ability of a young child with cerebral palsy to walk?
Ability to sit independently by age 2 years
test of choice for dx

treatment algorithm

< 3 yo try KAFO
surgery:
> 3 yo
stage IV-V (bony bar)
failed brace
overcorrect into 10-15° of valgus +/- bar excision
natural history leg bowing
genu varum (bowed legs) is normal in children less than 2 years
genu varum migrates to a neutral at ~ 14 months
continues on to a peak genu valgum (knocked knees) at ~ 3 years of age
genu valgum then migrates back to normal physiologic valgus at ~ 4 years of age

MTP arthrodesis
Femur fracture treatment by age
< 6 mo
7 mo - 5 yo
6 - 11 yo
12 and up (approaching maturity)
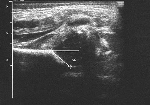
normal alpha angle
greater than 60 deg
(pic is abnormal)

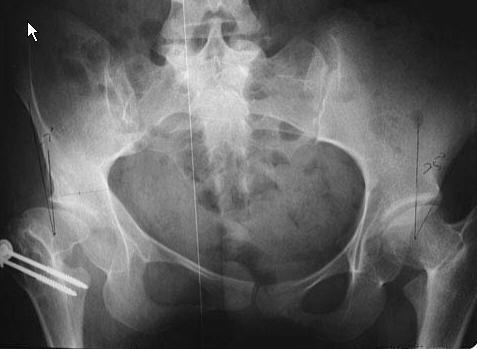
DDH treatment by age
< 6 mo
6-18 mo (or failed Pavlik younger)
>2 yo
> 4 yo
quadrant of the femoral head with highest complications after in situ pinning of a chronic slipped capital femoral epiphysis
anterior superior
Duchenne Scoliosis
early PSF with instrumentation (rare need for anterior)
extension to pelvis is controversial
remember malignant hyperthermia and dantrolene
Kocher criteria septic hip
weight bearing
fever
ESR > 40
WBC > 12,000
Perthes treatment
Surgery is for > 8 yo with B or B/C (50%) lateral pillar
CP hip treatment
Soft tissue release 8yo >60% or 40% Remember dega osteotomy ai > 25deg
surgical indications in scheuermann’s
kyphosis > 75 degrees that is rigid in nature in skeletally mature patient
neurologic deficit
spinal cord compression
severe pain in adults
unacceptable closed reduction BBFA fx
children <10
angulation >20 degrees, rotation >45 degrees
children >10
angulation >10 degrees, rotation >30 degrees
bayonette apposition
Starting 13-14 begin to treat like adult
BBFA fx:
apex volar = __________ injury
apex dorsal = _________ injury
supination
pronation
treat accordingly with closed reduction of deforming force
OI scoliosis treatment numbers
bracing ineffective and side effects
PSF for curves
>45 milder forms (better bone)
> 35 severe forms
*use allograft not autograft
* ASF if very young to prevent crankshaft
curly toe treatment age
> 3 yo if pain/severe deformity (FDL release)
typically self corrects, observation before then
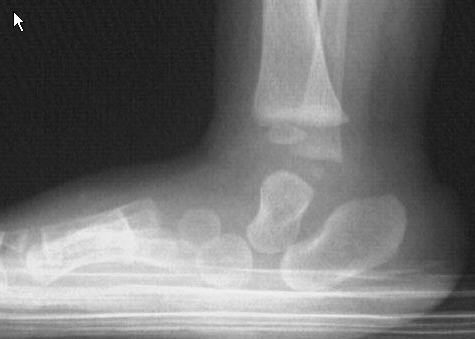
age and indications for surgical releases for clubfoot
9-10 months of age so the child can be ambulatory at one year
resistant feet in young children
“rocker bottom” feet that develop as a result of serial casting
syndrome-associated clubfoot
delayed presentation >1-2 years of age
++ casting always
abduction/ER # to remember for Ponseti FAO
70° in clubfoot and 40° in normal foot
usually achieve 70° week 8, heel in valgus –> achilles tenotomy (80%)
indication for surgery in femoral anteversion
amount correction needed can be calculated by (IR-ER)/2
Bones with an intra-articular metaphyses (4)
proximal humerus, proximal radius, proximal femur, and distal fibula/tibia.
NOT KNEE