04 + 05. Trich Flashcards

(48 cards)

1
Q

examples of trichostrongyles

A

haemonchus
ostertagia
trichostrongylus

Dictyocaulus viviparus

How well did you know this?
1
Not at all
2
3
4
5
Perfectly
2
Q

major features of trichostrongyles

A

small-hair like
large copulatory bursa
small bucaal capsule
strongyle-type eggs
live in stomach and small intestine

How well did you know this?
1
Not at all
2
3
4
5
Perfectly
3
Q
A

trichuris

How well did you know this?
1
Not at all
2
3
4
5
Perfectly
4
Q
A

nematodirus- very large strongyle-type egg

How well did you know this?
1
Not at all
2
3
4
5
Perfectly
5
Q

how many adults per egg of trichostrongyles

A

one adult

haemonchus
ostertagia
trichostrongylus
Dictyocaulus viviparus

How well did you know this?
1
Not at all
2
3
4
5
Perfectly
6
Q

periparturient rise

A

larvea will hatch at same time as host having new baby- allows it to infect naive host

How well did you know this?
1
Not at all
2
3
4
5
Perfectly
7
Q

anti-worm drug also called

A

anti-helminthic

How well did you know this?
1
Not at all
2
3
4
5
Perfectly
8
Q

how can haemonchus produce 10,000 eggs per day

A

feeds on blood

Trichostrongyle: haemonchus, ostertagia, trichostrongylus + Dictyocaulus viviparus

How well did you know this?
1
Not at all
2
3
4
5
Perfectly
9
Q

the increase in number of nematode eggs produced by ewes in the period 4 to 8 weeks after parturition.

A

periparturient rise

How well did you know this?
1
Not at all
2
3
4
5
Perfectly
10
Q

a temporary halt in the parasitic phase of development at a specific point in the nematode life cycle.

A

arrested development

waits until environment is favorable to continue

How well did you know this?
1
Not at all
2
3
4
5
Perfectly
11
Q

three things that cause arrested development

A

seasonal influences
host immune response
competition

How well did you know this?
1
Not at all
2
3
4
5
Perfectly
12
Q

what does synchronous development of larvae mean?

A

arrested worms all come out at the same time leading to serious disease

How well did you know this?
1
Not at all
2
3
4
5
Perfectly
13
Q

dictyocaulus viviparus lifecycle

A

no eggs!
lung worm

adult produce live L1, in poop- pilobolus fungi launch L3 to new areas
eaten by host- migrate to lungs-coughed and swallowed back into gut and make babies

Trichostrongyle: haemonchus, ostertagia, trichostrongylus + Dictyocaulus

How well did you know this?
1
Not at all
2
3
4
5
Perfectly
14
Q

symptoms of Dictyocaulus viviparus

A

cough, tachypnea, dyspnea, wasting

lung worm, no eggs, pilobolus fungus

How well did you know this?
1
Not at all
2
3
4
5
Perfectly
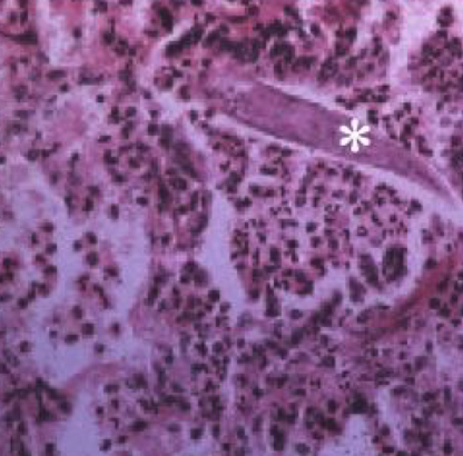
15
Q
A

Dictyocaulus viviparus larvae in lung with inflammatory cells (eosinophils)

lungworm- no eggs, pilobolus fungi

How well did you know this?
1
Not at all
2
3
4
5
Perfectly
16
Q

what is the basic lifecycle of most trichostrongyle worms?

A

Dictyocaulus viviparus- exception- no eggs, lung worm- pilobolus fungi spread

Trichostrongyle: haemonchus, ostertagia, trichostrongylus + Dictyocaulus

How well did you know this?
1
Not at all
2
3
4
5
Perfectly
17
Q

what are some strategies for parasite success

A

arrested developement
periparturinet rise
high egg count
overwintering

How well did you know this?
1
Not at all
2
3
4
5
Perfectly
18
Q
A

dictyocaulus viviparus

Trichostrongyle: haemonchus, ostertagia, trichostrongylus + Dictyocaulus

How well did you know this?
1
Not at all
2
3
4
5
Perfectly
19
Q

nonspecific sign of eye irritation

A

chemosis

How well did you know this?
1
Not at all
2
3
4
5
Perfectly
20
Q

how does anemia lead to edema

A

loss of proteins cause fluid to accumulate outside of vessels

21
Q

Haemonchus cause

A

bottle jaw
anemia
weakness
edema
NO DIARRHEA

baberpole worm

Trichostrongyle: haemonchus, ostertagia, trichostrongylus + Dictyocaulus

22
Q

what trichostrongyle does not cause diarrhea

A

Haemonchus- barberpole worm- anemia and bottle jaw

Trichostrongyle: haemonchus, ostertagia, trichostrongylus + Dictyocaulus

23
Q
A

Haemonchus- barberpole worm- blood feeding- anemia, hypoproteinemia and bottle jaw

Trichostrongyle: haemonchus, ostertagia, trichostrongylus + Dictyocaulus

24
Q

hosts for haemonchus

A

sheep and goats and ruminants

Haemonchus- barberpole-blood feeding- anemia, low protein and bottle jaw

Trichostrongyle: haemonchus, ostertagia, trichostrongylus + Dictyocaulus

25
how to treat haemochus
famachia grading- drugs- but lead to resistance no vaccine rotational grazing cull ## Footnote Trichostrongyle: haemonchus, ostertagia, trichostrongylus + Dictyocaulus
26
famacha scoring is for
Haemonchus infection 3-5 treat ## Footnote Trichostrongyle: haemonchus, ostertagia, trichostrongylus + Dictyocaulus
27
this shows there are only a small amount of animals with a very high amount of worms. if you cull these animals you can decrease the overall amount of worms produced ## Footnote Trichostrongyle: haemonchus, ostertagia, trichostrongylus + Dictyocaulus
28
refugia
only treat some of the herd, that way the next wave of parasites is still suseptible to medications
29
ostertagis cause
**profuse watery** diarrhea anorexia dehydration weight loss bottle jaw anemia ## Footnote Trichostrongyle: haemonchus, ostertagia, trichostrongylus + Dictyocaulus
30
what does haemonchus look like
barberpole large bursa- male spike- blood feeders- female | Haemonchus- barberpole-blood feeding- anemia, low protein and bottle jaw ## Footnote Trichostrongyle: haemonchus, ostertagia, trichostrongylus + Dictyocaulus
31
what does ostertagia look like
threadlike large bursa- male ## Footnote Trichostrongyle: haemonchus, ostertagia, trichostrongylus + Dictyocaulus
32
ostertagia infect
cattle ## Footnote Trichostrongyle: haemonchus, ostertagia, trichostrongylus + Dictyocaulus
33
where do ostertagia L3 grow into L5
in the glands of the rumen of cattle ## Footnote Trichostrongyle: haemonchus, ostertagia, trichostrongylus + Dictyocaulus
34
ostertagia ## Footnote Trichostrongyle: haemonchus, ostertagia, trichostrongylus + Dictyocaulus
35
how does ostertagia effect pH of the rumen
will increase pH live inside and destroy the glands that produce HCl cause erosion and undifferentiated cells ## Footnote Trichostrongyle: haemonchus, ostertagia, trichostrongylus + Dictyocaulus
36
what trichostrongyle will change the pH of the stomach
ostertagia | live in gastric glands- increase pH, ↑plama pepsinogen, low albulmin ## Footnote Trichostrongyle: haemonchus, ostertagia, trichostrongylus + Dictyocaulus
37
how does ostertagia cause increased plasma pepsingogen
destroy paietal cells that make HCl→ increased pH pepsingogen needs low pH in order to be cleaved into pepsin pepsin is used to cut proteins into peptides | live in gastric glands- increase pH, ↑plama pepsinogen, low albulmin ## Footnote Trichostrongyle: haemonchus, ostertagia, trichostrongylus + Dictyocaulus
38
type 1 ostertagia
young cattle grazing contaminated pasture for the 1st time | live in gastric glands- increase pH, ↑plama pepsinogen, low albulmin ## Footnote Trichostrongyle: haemonchus, ostertagia, trichostrongylus + Dictyocaulus
39
Type II ostertagia
older animals parastite all leave arrested L4 at same time | live in gastric glands- increase pH, ↑plama pepsinogen, low albulmin ## Footnote Trichostrongyle: haemonchus, ostertagia, trichostrongylus + Dictyocaulus
40
symptoms of Trichostrongylus colubriformis
small intestine of ruminants mucosal disruption, flattening of villi protein loss and protracted diarrhea ## Footnote Trichostrongyle: haemonchus, ostertagia, trichostrongylus + Dictyocaulus
41
symptoms of Trichostrongylus axei
stomach: ruminants, swine and horses erosion of galndular epithelium in stomach mucosal permeability nodules hyperemic gastritits in horses ## Footnote Trichostrongyle: haemonchus, ostertagia, trichostrongylus + Dictyocaulus
42
Trichostrongylus- attack mucosa/glandular epithelium ## Footnote Trichostrongyle: haemonchus, ostertagia, trichostrongylus + Dictyocaulus
43
## Footnote Trichostrongyle: haemonchus, ostertagia, trichostrongylus + Dictyocaulus
44
what trichostrongyle cause gastritis
ostertagia | live in gastric glands- increase pH, ↑plama pepsinogen, low albulmin ## Footnote Trichostrongyle: haemonchus, ostertagia, trichostrongylus + Dictyocaulus
45
what trichostrongyle cause diarrhea
ostertagia- gastric glands, profuse and watery diarrhea, anorexia trichostrongylus- mucosal disruption ## Footnote Trichostrongyle: haemonchus, ostertagia, trichostrongylus + Dictyocaulus
46
what trichostrongyle cause starvation
ostertagia- gastric glands- leads to profuse and watery diarrhea, anorexia and wasting ## Footnote Trichostrongyle: haemonchus, ostertagia, trichostrongylus + Dictyocaulus
47
what trichostrongylus cause anemia
haemonchus | barberpole-blood feeding- anemia, low protein and bottle jaw ## Footnote Trichostrongyle: haemonchus, ostertagia, trichostrongylus + Dictyocaulus
48
Sheep and goats are most severely affected by which trichostrongyle
Haemonchus contortus.