12 - Class 2 Division 1 Malocclusion Flashcards

(39 cards)

1
Q
A
How well did you know this?
1
Not at all
2
3
4
5
Perfectly
2
Q

What is the most common malocclusion

A

Class II div I

How well did you know this?
1
Not at all
2
3
4
5
Perfectly
3
Q
A
How well did you know this?
1
Not at all
2
3
4
5
Perfectly
4
Q

Identify class II div I

A
  • incisors are proclined
  • increase in overjet
  • commonly these patients have class 2 molar relationship and class 2 canine relationship
How well did you know this?
1
Not at all
2
3
4
5
Perfectly
5
Q

Class II div I incisor relationship
British standards classification definition:

A

Upper incisors can be proclined or of normal inclination

  • Tendency to incomplete bite
  • Tendency to crossbite
How well did you know this?
1
Not at all
2
3
4
5
Perfectly
6
Q

Skeletal aetiology:

A

Examination:
- clinical
- radio graphic
- study models

NEED TO CONSIDER THESE generally:

How well did you know this?
1
Not at all
2
3
4
5
Perfectly
7
Q

Skeletal aetiology of class II div I malocclusion

A

Step in appearance of the mandible - Either:
- Maxilla too far forward
- Mandible too far back

If discrepancy between point A and B is more than 3 -4mm than skeletal class 2
- Increase in vertical proportions
- As the vertical proportion increases, the lip incompetence also increases

How well did you know this?
1
Not at all
2
3
4
5
Perfectly
8
Q

Skeletal factors: A-P Class II: Maxillary protrusion / Mandibular retrusion

A

Aetiology is either maxillary protrusion or mandibular retrusion or size of jaws

How well did you know this?
1
Not at all
2
3
4
5
Perfectly
9
Q

Identify

A

Cephalometric measurements can identify position of upper jaw in relation to cranial base and lower jaw in relationship to cranial base and so relationship of maxilla to mandible

As pt skeletal class II - we can see patients lip trained behind upper incisors and so proclining upper incisors - so this pt has multi factorial aetiology:
- position of maxilla to mandible
- soft tissue trap

How well did you know this?
1
Not at all
2
3
4
5
Perfectly
10
Q

Class 2 - Angle ANB is :

Analysis of SNB and SNA indicates?

A

Mandible is retrognathic if it is less than normal SNB

Maxilla is prognathic if it is more than normal SNA

Must check mandible AND maxilla to identify which jaw is causing class II

In this case mandible is in normal position but maxilla is prognathic:

How well did you know this?
1
Not at all
2
3
4
5
Perfectly
11
Q

Skeletal vertical assessment

What 2 things do we check?
Increased vertical dimension leads to:
Decreased vertical dimension leads to:

A

Check frankforts mandibular plane angle + Lower face height

How well did you know this?
1
Not at all
2
3
4
5
Perfectly
12
Q

How are skeletal vertical facial assessments carried out ?

A

Vertical assessments done from a point called Glabella (most prominent point between the eyebrows) to a point called Subnasale (below the nose) to soft tissue menton

Clinically pt should have 50% between Glabella and subnasale and 50% between subnasale and soft tissue menton to have a well balance face - as shown below:

How well did you know this?
1
Not at all
2
3
4
5
Perfectly
13
Q

For this patient

A

If we assess this patient in vertical dimension - Frankfort mandibular plane angle and lower face height - mild skeletal 2 when we look at her profile
There’s an increase in vertical proportions between subnasale and soft tissue menton

So intraorally we are not suprised to see she has increase in overjet and there’s a reduced incomplete bite (DIFFERENT to anterior open bite)

How well did you know this?
1
Not at all
2
3
4
5
Perfectly
14
Q

Skeletal vertical dimension

2 Cephalometric values that represent vertical dimension:

If these are average, increased or decreased what are the effects:

A
  1. Lower face height (LFH) - measure radiographically
  2. MMPA - maxillary mandibular plane angle
How well did you know this?
1
Not at all
2
3
4
5
Perfectly
15
Q

Skeletal factors: Transverse assessment

A

Affects occlusal relationships - Posterior Crossbites
- If there is a discrepancy between the width of the upper and lower jaw, you get a posterior crossbite
- Crossbite can also be caused by mandibular displacement.
- To examine this:
- Check clinically for mandibular displacement
- DPT for mandibular asymmetry
- PA skull
- DPT - if skeletal problems will be differences in ramus height between L and R, differences in thickness of the mandible
- BUT IF MANDIBULAR DISPLACEMENT - When the patient opens, the chin will become symmetrical
- If the chin is not centred when opening, then there will be a skeletal issue causing the displacement and may need orthognathic surgery to correct

How well did you know this?
1
Not at all
2
3
4
5
Perfectly
16
Q

Transverse Assessment:

A
  • Posterior Crossbites
  • If there is a discrepancy between the width of the upper and lower jaw, you get a posterior
    crossbite
  • Crossbite can also be caused by mandibular displacement.
  • To examine this:
17
Q

Aetiology: Habit

A

Disruption of soft tissue equilibrium by digit causes class II division I malocclusion

The effect on the occlusion of thumb sucking depends on a number of factors:
- Age of the patient
- Number of hours per day – Greater than 6 hours will affect dentition
- Manner in which thumb/finger is sucked

Tongue is depressed + Cheeks compress the upper arch and constricts the arch
This creates a cusp to cusp relationship between both arches, which is uncomfortable for the patient
The mandible deviates to one side to relive this discomfort

Classically asymmetrical anterior open bite as shown below:

18
Q

Possible effects of a habit are:

19
Q

Aetiology : Soft Tissue

Soft tissue influence depends on:

A

Soft tissue influence depends on:

  • Skeletal
    • AP and vertical
  • Lips
    • Length
    • Tone
    • Activity
  • Swallowing pattern
20
Q

Aetiology: Soft Tissue

Clinical assessment of soft tissue:

A

Left to right pics:
1. Mild class II - overjet mild
2. More class II - greater overjet
3 - tight lower lip - leading to retroclination of lower incisors and so overjet is increased
But when you look at facial profile they dont look as if they’re different in terms of AP skeletal relationship

21
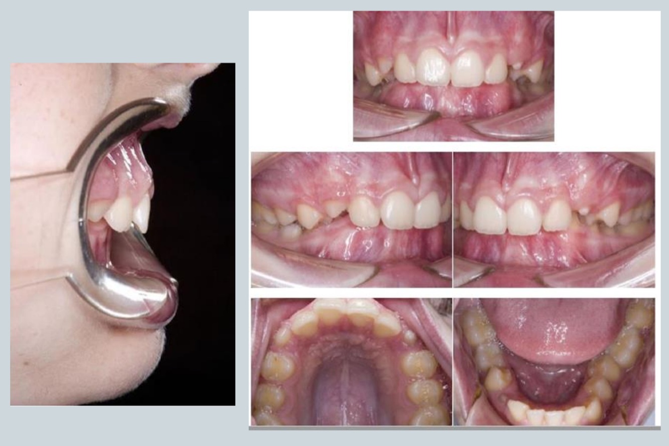
Q

Intra-oral dental examination of class II

22
Q

What can you see - features of CLASS II

A

Well aligned arches
Some teeth need to come through
Classical increase in overjet - cheek retractors show extent of the overjet

23
Q

Mandibular position of class II Div I

A

Ask pt to bite on back teeth when assessing overjet

24
Q

Facial growth in class II div I

What is favourable vs unfavourable facial growth?

A

Variable - can be either:
1. Favourable:
- Downward and forward
- Profile improves

  1. Unfavourable – 2 patterns:
    1) Upwards and forwards – Deep bite
    2) Downwards and backwards – Open bite (and more class II)
25
Treatment planning What 3 things are needed?
26
After examining the patient -:
Make a problem list and identify aetiology:
27
Identify aetiology of: Crowding / Spacing Overbite Overjet Buccal relationship Centrelines Crossbites
28
Treatment depends on the: (3)
Patient Operator Problem and Aetiology
29
Treatment planning factors
30
Identify aetiology Treatment plan:
Upper removable appliance with a midline screw - aim is to expand the upper arch
31
If aetiology is digit habit, what would treatment plan be?
Advice: STOP HABIT Appliance - to correct crossbite / digit deterrent
32
Early treatment: Why might early treatment be done? 2- What is the primary objective of early treatment in these cases? 3- How many phases of treatment required? 4- What orthodontic appliance is typically used for early treatment of increased overjet? 2 Issues with this:
1- Increased overjet could lead to: • Trauma to the anterior teeth • Teasing 2- - to reduce the overjet and minimize risks of trauma 3- two phases of treatment 4- Upper Removable appliances with Robert’s retractors to reduce overjet - (shown in the slide) 1. Prolonged retention 2. Risk of incomplete reduction of the overjet
33
Treatment options for skeletal problems: (3)
34
Treatment options for skeletal problems: Growth Modification 1- Aims: 2- What do you need to decide first? 3- If mandibular or maxilla problem what treatment is given for each? 4- When should this treatment be given? 5- What severity skeletal problem can growth modification be used for?
35
Treatment options for skeletal problems: Orthodontic Camouflage 1- What do we do to the skeletal problem? 2- Which 4 cases can we use this for? 3- What age is this treatment done? 4- What severity of skeletal problem is this done for 5- What type of orthodontic appliances can we use for this?
1- DISGUISE skeletal problem, move teeth to reduce overjet, profile remains the same (move teeth to disguise overjet )
36
Treatment options for skeletal problem : Orthognathic surgery 1- What does this do to the skeletal problem? 2- Which 6 cases is surgery used for? 3- What does the surgery do? 4- Treatment Timing: 5- What severity of skeletal problem is this done for? 6- 3 types of surgery + When each is done?
1- CORRECT skeletal problem with surgery - overjet decreases and profile improves BY MOVING TEETH AND JAWS
37
Stability + Retention What is stability in class 2 div 1? 2- What does stability depend on? 3- Overjet stability depends on: 4- When is there Prolonged retention:
1- Refers to maintaining the corrected position of the teeth and jaw after treatment (for understanding ) 2- Stability depends on correct treatment at the correct time Prolonged retention: Situations where retention (use of retainers) is needed for a longer period (for understanding )
38
Class 2 div 1 When should GDP refer to specialist?
39