What is brightened in a T1 image?
Fatty areas like the center of bones.
What is a SLAP tear?
What can cause one?
Superior (glenoid) Labrum Anterior Posterior tear.
Trauma or repetitive use (once again eg: a baseball pitcher)
What sign is shown here?
Sail Sign
What is the difference between intra- and extra- articular fractures of the ulna?
Intra-articular fracures involve the articulating surface of the ulna, extra-articular fractures do not.
The anterior talofibular ligament is represented here, with a normal image on the left.
What is your diagnosis of the image on the right?
Strained anterior talofibular ligament
The anterior talofibular ligament is represented here.
What is your diagnosis?
Full thicknes tear of the ATF ligament.
What are the A’s in the ABC’s of X-Rays?
Alignment
Adequacy
How would you diagnose this T2 MRI image?

SLAP tear
What do you call an abnormally large radiolucent sign on the anterior portion of the elbow?
What does it indicate?
A “Sail Sign”
In Adults: Radial fracture
In Children, Supracondylar fracture
(Sails are big ARCS, Adult Radial, Child Supracondylar)
What is the C of the ABC’s of X-Rays?
Cartilage
Is the cortex of bone on a T2 MRI high intensity (white) or low intensity (dark grey / black)?
Low intensity.
What would lipping of the knee joint indicate?
Osteoarthritis
The anterior talofibular ligament is represented here.
What is your diagnosis?
Pseudo band formation at the ATF ligament
What is the B in the ABC’s of X-Rays?
Bone Cortex
What ligament is tested with an anterior drawer test of the ankle?
Anterior talofibular ligament
What disease can lead to an idiopathic decrease in bloodflow to the head and neck of the femur?
Legg-Calve-Perthes
The anterior talofibular ligament is represented here.
What is your diagnosis for each?
Left: Low grade partial thickness tear of the ATF ligament
Right: High grade partial thickness tear of the ATF ligament
What can cause Hill Sachs deformity?
Repetitive anterior dislocation of the humerus. 50% to occur on the first dislocation, but becomes more likely as the humerus is dislocated more times
Are tendons high or low intensity in a T2 image?
Low intensity
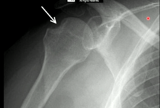
How would you diagnose this image?
Hill-Sachs Deformity