19.2 - Criptococosis Flashcards

(14 cards)

1
Q

¿Dónde se encuentra C. neoformans?

A

Heces de palomas

How well did you know this?
1
Not at all
2
3
4
5
Perfectly
2
Q

¿Donde se encuentra C. Gatti?

A

Ábroles de eucalipto

How well did you know this?
1
Not at all
2
3
4
5
Perfectly
3
Q

¿Cómo nos infectamos?

A

Inhalación de propagulas o basidiosporas y se depositan en el alveolo

How well did you know this?
1
Not at all
2
3
4
5
Perfectly
4
Q

¿Clx?

A

Meningitis o meningoencefalitis subaguda -> 1 - 2 sem
- Fiebre
- Cefalea
- Rigidez de nuca
- Crisis convulsivas

How well did you know this?
1
Not at all
2
3
4
5
Perfectly
5
Q

¿Cuál es la triada de clx para dx?

A
  • Cefalea
  • Deterioro neurológico
  • Hipertensión intracraneana SIN edema
How well did you know this?
1
Not at all
2
3
4
5
Perfectly
6
Q

¿Dx?

A

Gold es cultivo

How well did you know this?
1
Not at all
2
3
4
5
Perfectly
7
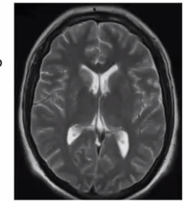
Q

Qué se puede encontrar en la imagen

A
  • Normal
  • Hidrocefalia
  • Criptococomas .> lesión ocupantes de espacio
How well did you know this?
1
Not at all
2
3
4
5
Perfectly
8
Q

Tx de inducción (2 semanas)

A
  • Anfotericina B Deoxicolato 0.7 - 1mg/kg + Fluconazol 400 mg
How well did you know this?
1
Not at all
2
3
4
5
Perfectly
9
Q

Tx de consolidación (8 semana)

A
  • Fluconazol 800 mg cada 24 h
  • Itraconazol 200 mg cada 12 h
How well did you know this?
1
Not at all
2
3
4
5
Perfectly
10
Q

Tx de mantenimiento

A

Flucinazol 200 mg por 1 año

How well did you know this?
1
Not at all
2
3
4
5
Perfectly
11
Q

¿Marcadores de mal pronóstico?

A
  • Glasgow <10
  • Presión de apertura de LCR > 25cmH2O
  • Ag Criptococcus >1:1024
  • Conteo de Leucocitos en LCR <20 cel
  • Cultivo positivo
How well did you know this?
1
Not at all
2
3
4
5
Perfectly
12
Q

¿Complicaciones?

A
  • Ceguera
  • Disminución de función mental
  • Hidrocefalia
  • Parálisis de nervios craneales
  • Recaídas
How well did you know this?
1
Not at all
2
3
4
5
Perfectly
13
Q

¿Cuándo damos tx para VIH?

A

Después de la 5 semana de tx anti fúngico

Si no esperas, lo matas :(

How well did you know this?
1
Not at all
2
3
4
5
Perfectly
14
Q

Cosas que sí o sí debemos saber de este bicho

A
  • Inmunocomprometido
  • Clx: Hipertensión intracraneana, cefalea y fiebre
  • Tx-> 3 fases: Inducción consolidación y mantenimiento -> Anfoliposomal + Flusitocina
  • Complicación: Recaídas y VDVP
How well did you know this?
1
Not at all
2
3
4
5
Perfectly