
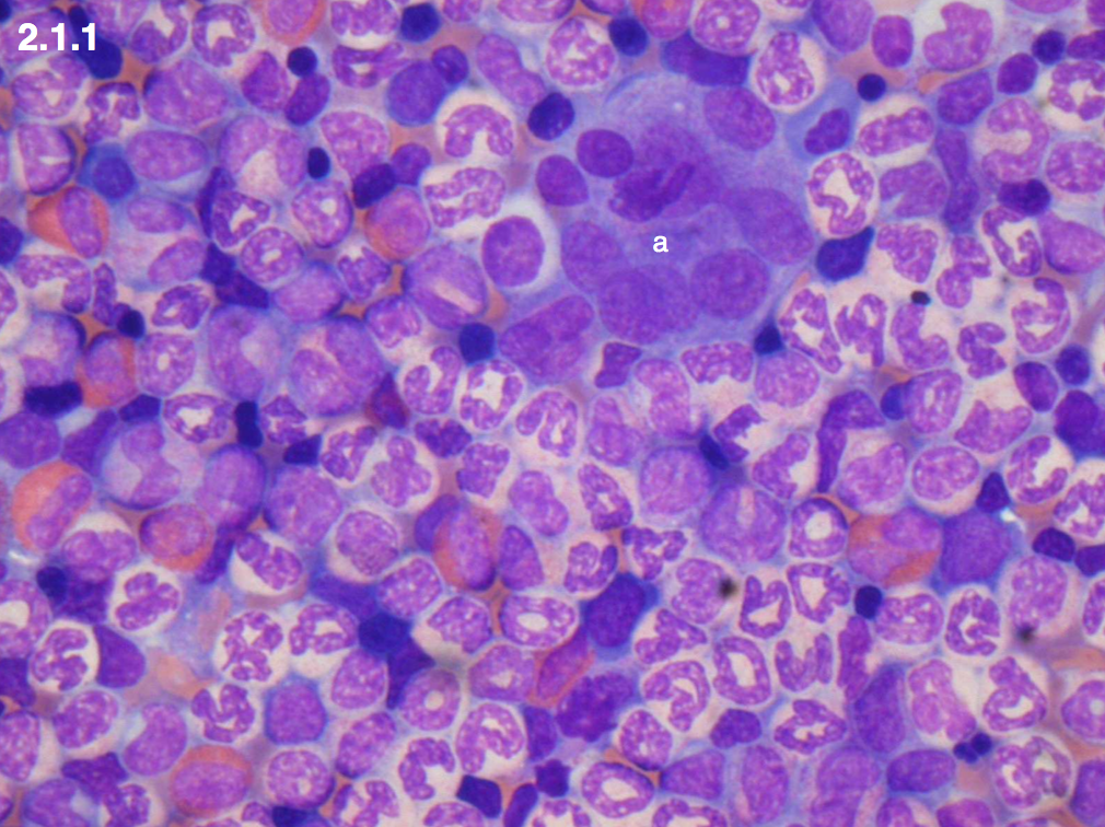
Red bone marrow
a. Megakaryocyte

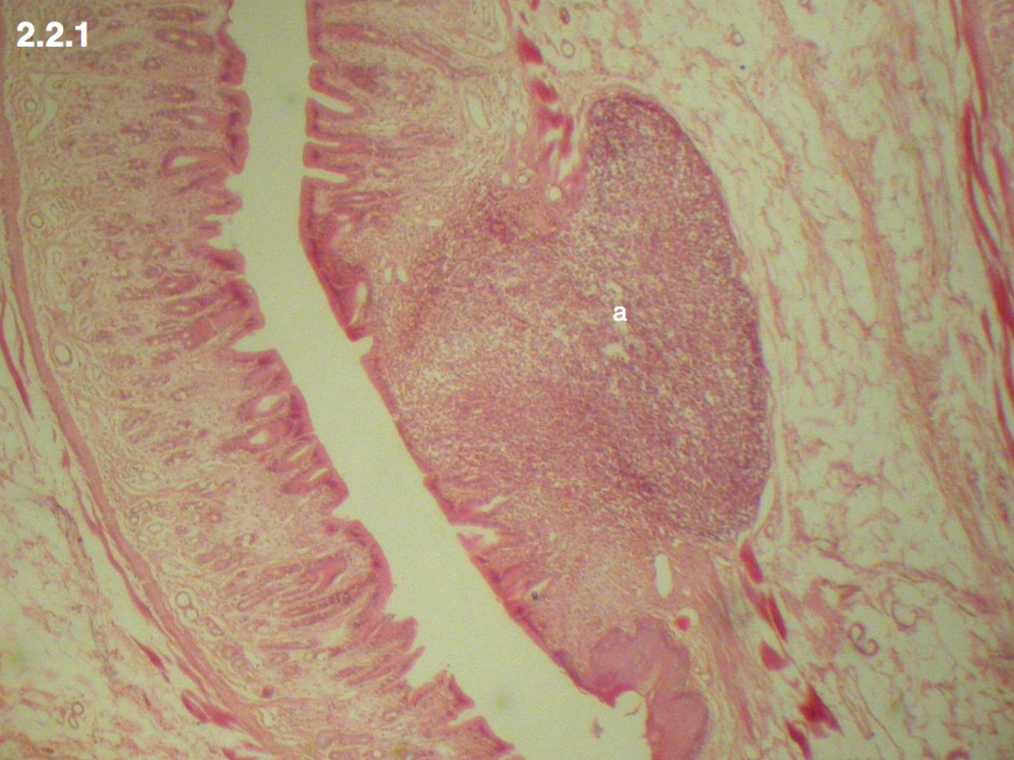
Primary lymphatic nodule
a. Homogenous distribution of lymphocytes

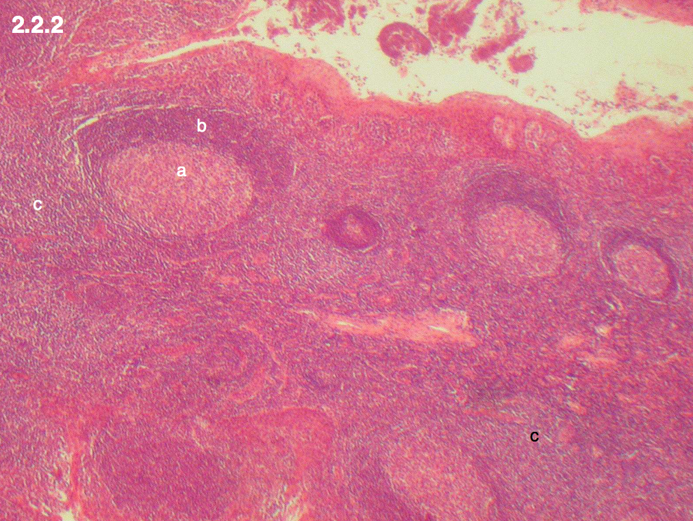
Secondary nodule
a. Germinal centre
b. Cap
c. Diffuse lymphatic tissue

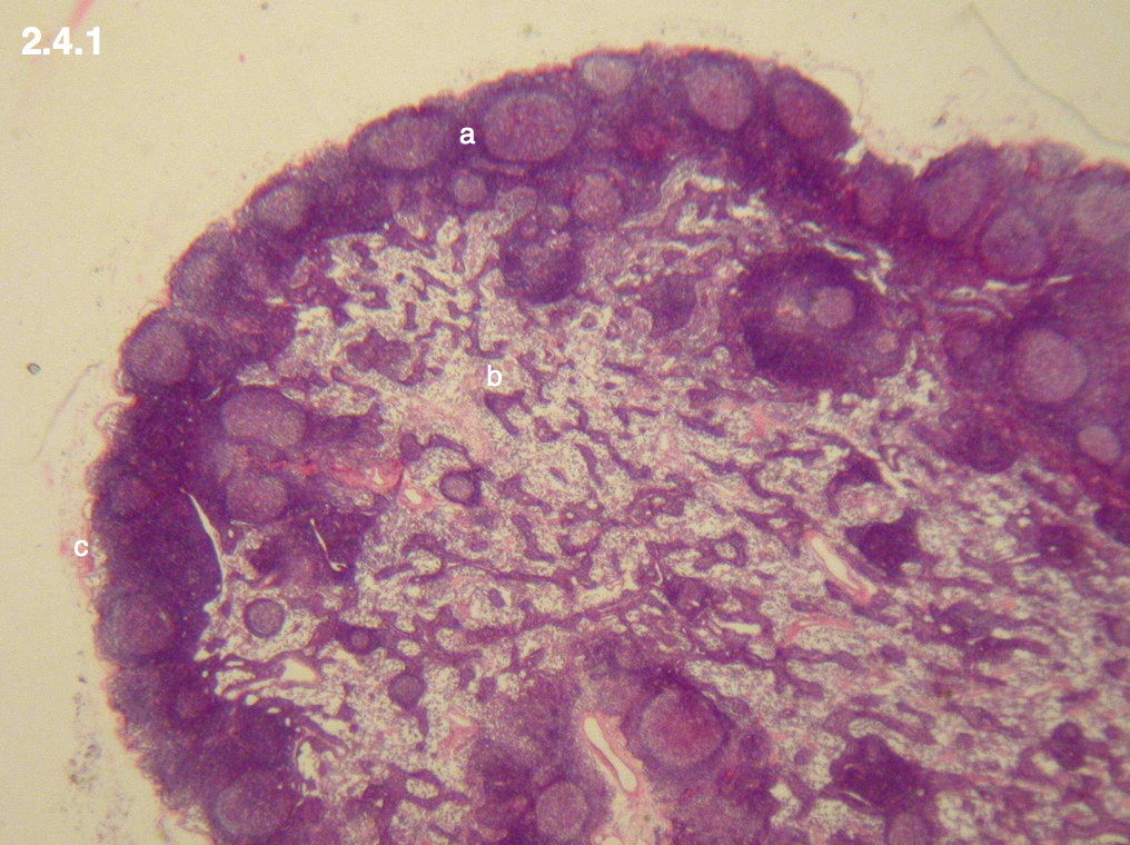
MALT, palatine tonsil
a. Mucosa
b. Secondary nodules
c. Fossula

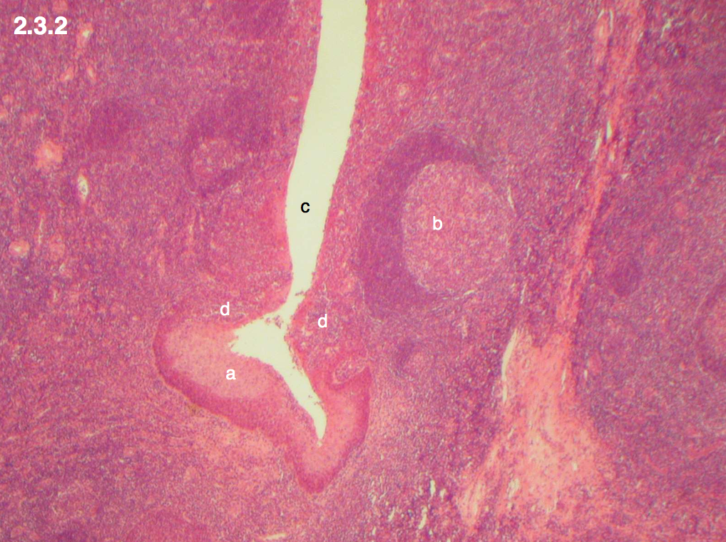
MALT, fossular region of palatine tonsil
a. Mucosa
b. Nodule
c. Fossula
d. Lymphocyte infiltration of mucosa

Lymphnode
a. Cortex with nodules
b. Medulla with medullary cords
c. Capsule

Lymphnode
a. Capsule
b. Subcapsular sinus
c. Trabecule
d. Trabecular sinus
e. Medullary sinus

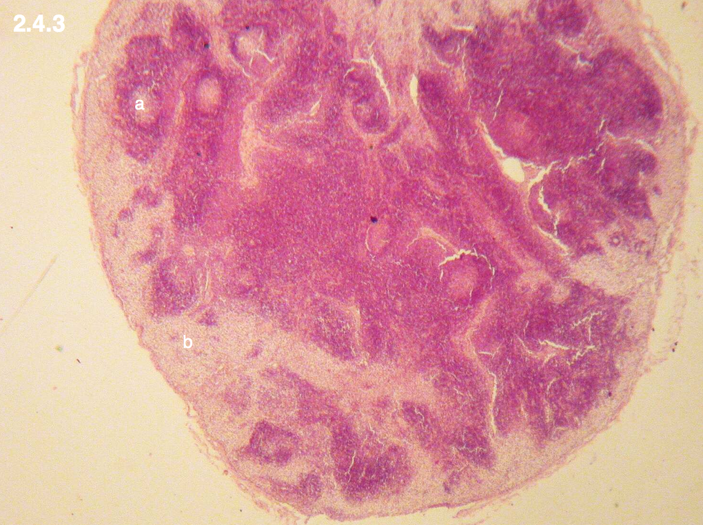
Inverse lymphnode of pig
a. Nodular area
b. Medullary area

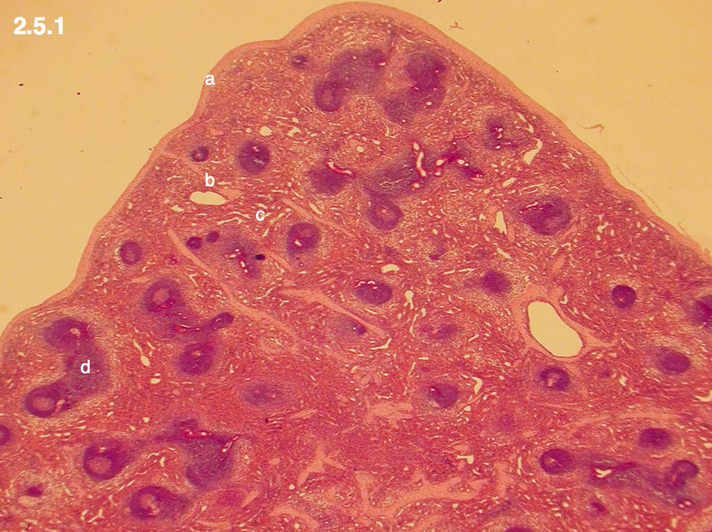
Spleen
a. Capsule
b. Trabecule
c. Red pulp
d. White pulp

Splenic nodule
a. Central arteriole
b. Germinal centre
c. Cap
d. Trabecule

Spleen, red pulp removed
a. Capsule
b. Nodule
c. Trabecule

b. Cortex of lobule
c. Medulla of lobule

Thymic lobule
a. Sept
b. Cortex
d. Medulla
e. Hassall body

Cloacal bursa
a. Cloacal epithelium
B. Bursal lobule
b. Medulla of lobule
c. Cortex of lobule