Describe the transit of B cells into and out of the lymph node
Travel through:
Describe the transit of T cells into and out of the lymph node
Travel through:
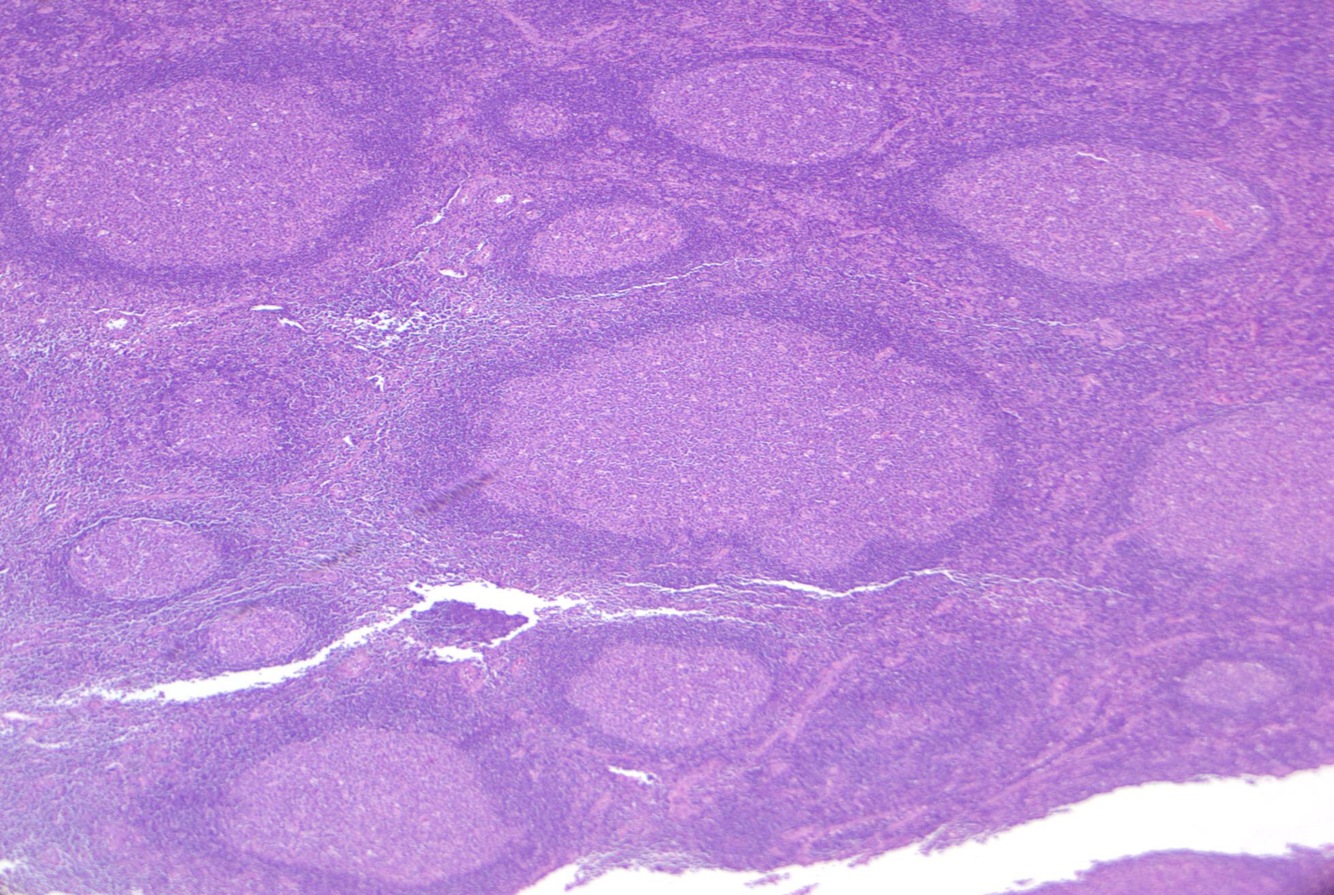
Describe the lymphadenopathy observed in this specimen. How severe would a patient’s fever be and would they have mono or polyclonal B/T cells?

Indicative of an infection (some increase in secondary follicles due to mounting of immune response)
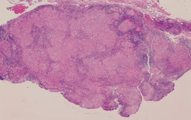
Describe the lymphadenopathy observed in this specimen. How severe would a patient’s fever be and would they have mono or polyclonal B/T cells?

Indicative of neoplasm (cellular atypia and no secondary follicles)
Describe the duration, size, location, tenderness, mobility and consistency of a benign lymphadenopathy
Describe the duration, size, location, tenderness, mobility and consistency of a malignant lymphadenopathy
Describe the architecture, dominant cell type, atypia, and ancillary study (flow cytometry) findings of benign lymphadenopathy
Describe the architecture, dominant cell type, atypia, and ancillary study (flow cytometry) findings of malignant lymphadenopathy
What are B symptoms? What do they usually represent and how are they used?
What are some causes of reactive lymphadenopathy?
What are some causes of neoplastic lymphadenopathy?
What are 6 histologic patterns of reactive lymphadenopathy (and what disease processes cause them)?
What does this image show?
Follicular hyperplasia
What does this image show?
Paracortical hyperplasia
What does this image show?
Sinus histiocytosis
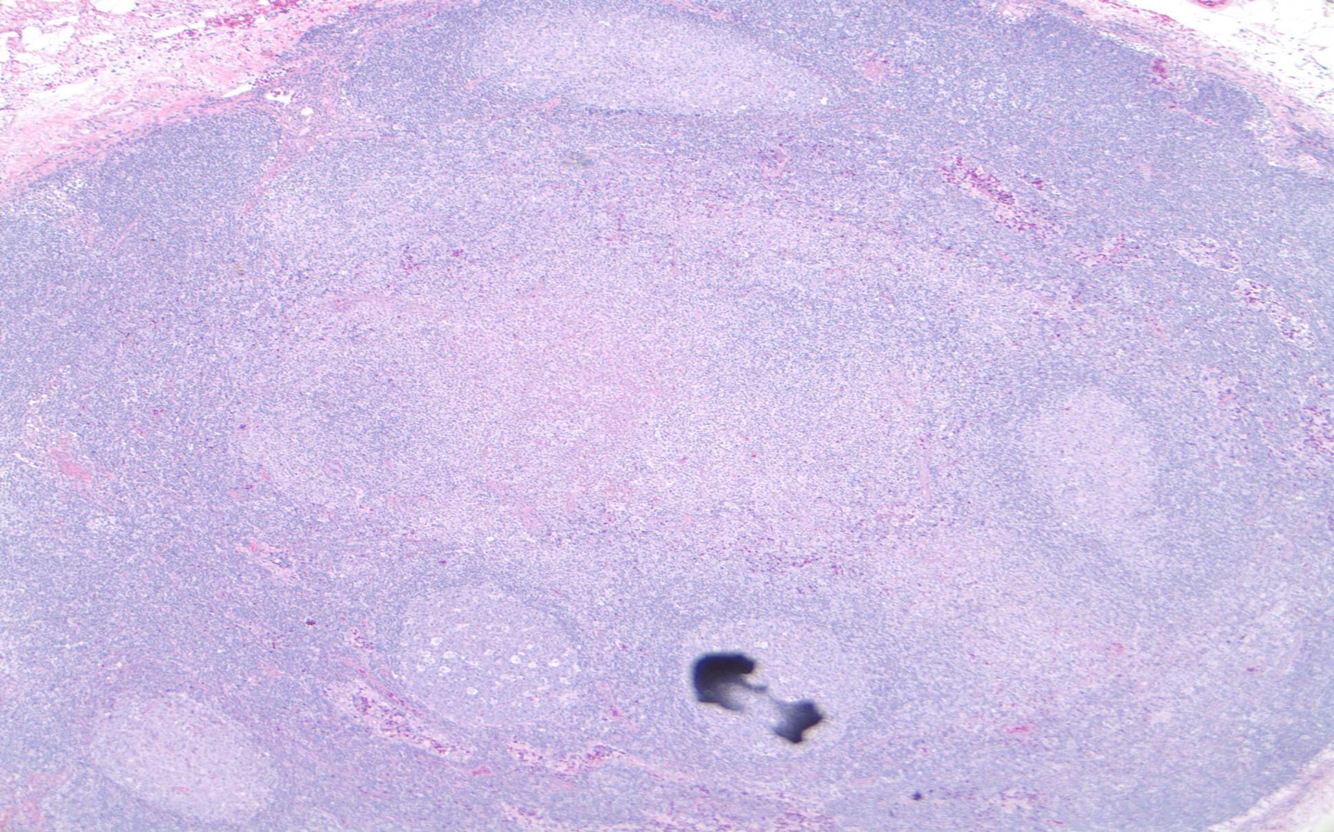
What does this image show?

Granulomatous inflammation
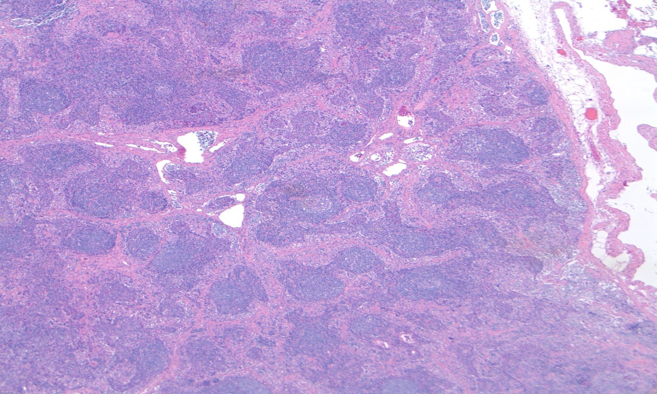
What are two major differentials to consider if you saw this biopsy image?
What is a common treatment plan for follicular lymphoma?
Describe follicular lymphoma; what is its prevalence?
What is the genetic variation that common causes follicular lymphoma?
Most characterized by t(14;18)
What is the disease progression of follicular lymphoma?
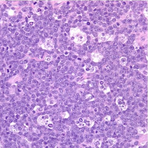
What does this image show?
What are the B cell non-hodgkin lymphomas (NHLs) we need to know (6)?

What are the morphologies that help differentiate the B cell NHLs?