Describe the pathophysiology of pancreatitis
Block in flow of enzymes while synthesis is ongoing
Large amounts of trypsin activated → activate more enzymes → autodigestion of pancreas
Which pancreatic enzyme test is more specific to the pancreas?
Lipase > amylase
Briefly explain the criteria for diagnosing acute pancreatitis
Need at least 2 out of 3
Review I get smashed mnemonic

What trauma can cause acute pancreatitis in children?
Seatbelts
What childhood infection can cause pancreatitis in children? What visible sign on the face can this infection cause?
Mumps
Parotid gland swelling

Which class of anti-diabetic drugs can cause pancreatitis?
GLP-1 agonists
exenatide, liraglutide
Why can hypercalcaemia cause acute pancreatitis?
Calcium may deposit in pancreatic ducts and activate trypsinogen
What is one of the main reasons we treat high triglyceride levels?
Risk of pancreatitis
mechanism unclear, likely to involve chylomicrons

Describe how ERCP works
Endoscopy inserted into duodenum and dye injected into biliary tree which is then detected by fluoroscopy

How could a peptic ulcer caused pancreatitis?
Rupture of posterior duodenal ulcer

What are the three main points in acute pancreatitis treatment?
What is SIRS? What are the four signs? What is it when combined with infection?
Systemic inflammatory response syndrome: syndrome of dysregulated inflammation
→ response to infectious or noninfectious insult
When combined with ?infection → sepsis

Describe the Glasgow criteria and what they indicate
Method of assessing pancreatitis severity: mortality increases with higher score

If someone with pancreatitis presents with bleeding what condition should you consider? Explain why this is caused
Disseminated intravascular coagulation (DIC)

If someone with pancreatitis develops respiratory symptoms what condition should you consider?
ARDS
→ Caused by damage to capillaries endothelium and alveolar epithelium, protein escapes from vascular space and fluid pours into lung interstitium. Looks like pulmonary oedema on x-ray

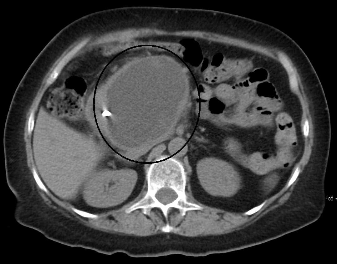
54 yo pt with acute pancreatitis admission several weeks ago shows the following CT imaging. What is the diagnosis? Explain what it is
♦ what is the prognosis?

Pseudocyst
Walled off collection of oedema with no surrounding epithelium
Usually occurs for weeks after acute pancreatitis
♦ Most resolve wo intervention. Feared outcome is rupture causing peritonitis. Can also become infected causing an abscess

A pancreatic abscess is commonly caused by which type of bacteria? How will it present after acute pancreatitis?
Intestinal bacteria e.g. E. coli, klebsiella, pseudomonas
Present as fever and failure to improve clinically
What can happen if the inflammation around the pancreas progresses is to involve the fat surrounding? What will this reflect in the bloods?
Fat necrosis
Hypocalcaemia and hypermagnesaemia → this happens due to the release of three fatty acid binding with calcium and magnesium (saponification)
This is why low calcium is a poor prognostic indicator ► suggests inflammation is so extensive it involves fat

If severe pancreatitis involves DIC, ARDS, sepsis: what is it likely to lead to?
Multiorgan failure
