Anesthesia for Endocrine (Exam 2) Flashcards

(192 cards)

1
Q

The thyroid gland is formed by two lobes connected by a(n) _______ located around the second tracheal ring.
A. Isthmus
B. Ligament
C. Cartilage
D. Valve

A

A. Isthmus

Slide 2

How well did you know this?
1
Not at all
2
3
4
5
Perfectly
2
Q

What is the approximate weight range of the thyroid gland in adults?
A. 5–10 grams
B. 10–20 grams
C. 15–25 grams
D. 30–45 grams

A

C. 15–25 grams

Slide 2

How well did you know this?
1
Not at all
2
3
4
5
Perfectly
3
Q

Which of the following arteries directly supply the thyroid gland? (Select 2)
A. Superior thyroid artery
B. Subclavian artery
C. Middle thyroid artery
D. Inferior thyroid artery

A

A. Superior thyroid artery
D. Inferior thyroid artery

2

How well did you know this?
1
Not at all
2
3
4
5
Perfectly
4
Q

Which veins are responsible for thyroid drainage?
Select 3
A. Superior thyroid vein
B. Jugular vein
C. Middle thyroid vein
D. Inferior thyroid vein
E. Anterior vein

A

A. Superior thyroid vein
C. Middle thyroid vein
D. Inferior thyroid vein

2

How well did you know this?
1
Not at all
2
3
4
5
Perfectly
5
Q

Which of the following cover the thyroid gland anterolaterally?
Select 3
A. Platysma muscle
B. Sternocleidomastoid muscle
C. Masseter bone
D. Sternothyroid muscle
E. Sternohyoid bone

A

B. Sternocleidomastoid
D. Sternothyroid muscle
E. Sternohyoid bone

2

How well did you know this?
1
Not at all
2
3
4
5
Perfectly
6
Q

Anterior coverage of the thyroid gland is provided by the ______ muscle.
A. Sternohyoid
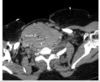
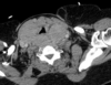
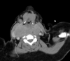
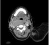
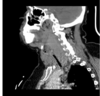
B. Sternothyroid
C. Platysma
D. Masseter

A

C. Platysma

2

How well did you know this?
1
Not at all
2
3
4
5
Perfectly
7
Q

HOT SPOT

What is A?

A

Internal Laryngeal Nerve

3

How well did you know this?
1
Not at all
2
3
4
5
Perfectly
8
Q

What is B?

A

External Laryngeal Nerve

3

How well did you know this?
1
Not at all
2
3
4
5
Perfectly
9
Q

What is C?

A

Left Recurrent Laryngeal Nerve

3

How well did you know this?
1
Not at all
2
3
4
5
Perfectly
10
Q

What is D?

A

Cricothyroid Muscle

3

How well did you know this?
1
Not at all
2
3
4
5
Perfectly
11
Q

What is E?

A

Right recurrent laryngeal nerve

3

How well did you know this?
1
Not at all
2
3
4
5
Perfectly
12
Q

Which nerve provides sensory innervation above the vocal cords?
A. External laryngeal branch of the superior laryngeal nerve
B. Left recurrent laryngeal nerve
C. Internal laryngeal branch of the superior laryngeal nerve
D. Right recurrent laryngeal nerve

A

C. Internal laryngeal branch of the superior laryngeal nerve

3

How well did you know this?
1
Not at all
2
3
4
5
Perfectly
13
Q

The superior laryngeal nerve is a branch of which cranial nerve?
A. CN IX
B. CN X
C. CN XI
D. CN XII

A

B. CN X (Vagus)

3

How well did you know this?
1
Not at all
2
3
4
5
Perfectly
14
Q

The nerve that provides sensory input below the vocal cords is the _______.
A. External laryngeal nerve
B. Glossopharyngeal nerve
C. Internal laryngeal nerve
D. Recurrent laryngeal nerve

A

D. Recurrent laryngeal nerve

(Both right and left)

3

How well did you know this?
1
Not at all
2
3
4
5
Perfectly
15
Q

True or False

The recurrent laryngeal nerve innervates all intrinsic laryngeal muscles except the cricohyoid muscle

A

FALSE
The recurrent laryngeal nerve innervates all intrinsic laryngeal muscles except the cricoTHYroid muscle

3

How well did you know this?
1
Not at all
2
3
4
5
Perfectly
16
Q

The cricothyroid muscle is innervated by the _____ branch of the superior laryngeal nerve.
A. Internal
B. External
C. Inferior
D. Lateral

A

B. External branch - of the superior laryngeal nerve

3

How well did you know this?
1
Not at all
2
3
4
5
Perfectly
17
Q

Which of the following nerves contribute sympathetic innervation to the thyroid gland via the sympathetic trunk? (Select 3)
A. Superior cervical ganglion
B. Stellate ganglion
C. Vagus nerve
D. Middle cervical ganglion
E. Trigeminal nerve

A

A. Superior cervical ganglion
B. Stellate (Inferior) cervical ganglion
D. Middle cervical ganglion

4

How well did you know this?
1
Not at all
2
3
4
5
Perfectly
18
Q

Parasympathetic innervation of the thyroid is primarily carried by which nerve?
A. Glossopharyngeal nerve
B. Phrenic nerve
C. Vagus nerve
D. Hypoglossal nerve

A

C. Vagus nerve

4

How well did you know this?
1
Not at all
2
3
4
5
Perfectly
19
Q

Which of the following structures transmit nerves to the thyroid gland? (Select 3)
A. Superior thyroid plexus
B. Middle thyroid pelxus
C. Cardiac periarterial plexus
D. Inferior thyroid ganglion
E. Inferior thyroid pelxus

A

A. Superior thyroid plexus
C. Cardiac periarterial plexus
E. Inferior thyroid pelxus

4

How well did you know this?
1
Not at all
2
3
4
5
Perfectly
20
Q

Which of the following is the primary hormonal regulator of thyroid gland secretion?
A. TSH
B. T3
C. T4
D. ACTH

A

A. TSH

4

How well did you know this?
1
Not at all
2
3
4
5
Perfectly
21
Q

The superior thyroid artery supplies the thyroid directly and arises from which larger artery?
A. Internal carotid
B. Subclavian
C. External carotid
D. Innominate artery

A

C. External carotid

5

How well did you know this?
1
Not at all
2
3
4
5
Perfectly
22
Q

The inferior thyroid artery supplies the thyroid directly and is a branch of which vessel?
A. Internal carotid artery
B. Thoracic aorta
C. Vertebral artery
D. Subclavian artery

A

D. Subclavian artery

*Branches off subclavian –> thyrocervical trunk –> inferior thyroid artery –> thyroid

5

How well did you know this?
1
Not at all
2
3
4
5
Perfectly
23
Q

Which of the following statements about the thyroid IMA artery (inferior mesenteric artery) are true? (Select 3)
A. Present in 3–10% of the population
B. Branches from the inferior mesenteric artery
C. May arise from the aortic arch
D. Is the main supply to the superior thyroid lobe
E. May branch from the innominate or subclavian artery

A

C. May arise from the aortic arch
A. Present in 3–10% of the population
E. May branch from the innominate or subclavian artery

5

How well did you know this?
1
Not at all
2
3
4
5
Perfectly
24
Q

What is A?

A

Superior thyroid artery

5

How well did you know this?
1
Not at all
2
3
4
5
Perfectly
25
What is B?
Inferior thyroid artery ## Footnote 5
26
What is C?
Subclavian artery ## Footnote 5
27
Which of the following veins drain deoxygenated blood from the thyroid gland directly into the Internal Jugular Vein?? (Select 2) A. Superior thyroid vein B. Inferior thyroid vein C. Middle thyroid vein D. Subclavian vein
A. Superior thyroid vein C. Middle thyroid vein ## Footnote 6
28
The inferior thyroid vein drains directly into the ____________. A. Anterior jugular vein B. Brachiocephalic vein C. External jugular vein D. Internal jugular vein
B. Brachiocephalic vein ## Footnote 6
29
What is the primary function of the Colloid filled follicles? A. Store iodine B. Produce calcitonin C. Store thyroglobulin D. Absorb TSH
C. Store thyroglobulin ## Footnote 7
30
Parafollicular cells (C cells) of the thyroid gland primarily secrete: A. T3 B. Calcium C. Calcitonin D. TSH
C. Calcitonin ## Footnote 7
31
Which of the following are **NOT** effects of thyroid hormone (TH) on the body? A. Increased basal metabolic rate B. Increased protein synthesis C. Increased ATP production in mitochondria D. Heat generation E. Decreased heart rate
E. Decreased heart rate **TH also does Protein, fat, carb metabolism** ## Footnote 8
32
# Order of operations Put the following steps in the correct order of thyroid hormone synthesis: A. Iodide is absorbed into the bloodstream B. Thyroid hormone is produced in the thyroid gland C. Iodine is reduced to iodide in the gastrointestinal tract D. Iodine is ingested
D. Iodine is ingested C. Iodine is reduced to iodide in the gastrointestinal tract A. Iodide is absorbed into the bloodstream B. Thyroid hormone is produced in the thyroid gland ## Footnote 8
33
Which of the following cardiac effects are associated with thyroid hormone? (Select 2) A. Decreased LV ejection fraction B. Increased LV ejection fraction C. Narrowed pulse pressure D. Increased HR E. Increased diastolic BP
B. Increased LV ejection fraction D. Increased HR ## Footnote 8
34
Thyroid hormone ___________ systolic blood pressure and _________ diastolic blood pressure. A. increases; decreases B. decreases; increases
A. increases; decreases ## Footnote 8
35
# True or false Increased SBP and decreased DBP causes a wide pulse pressure
True ## Footnote 8
36
# Matching 💩
Pregnancy → C. ↑T4, normal T3 and TSH Primary hypothyroidism → D. ↓T3, ↓T4, ↑TSH Normal thyroid function → E. Normal T3, T4, and TSH Secondary hypothyroidism → A. ↓T3, ↓T4, ↓TSH Hyperthyroidism → B. ↑T3, ↑T4, ↓ or normal TSH ## Footnote 9
37
Which of the following statements is TRUE regarding thyroid-stimulating hormone (TSH)? A. TSH is typically the last value to change in thyroid dysfunction B. TSH levels are unrelated to T3 and T4 levels C. TSH is considered the most sensitive early indicator of thyroid dysfunction D. Normal TSH levels range from 4.0 to 50.0 milliunits/L
C. TSH is considered the most sensitive early indicator of thyroid dysfunction Normal TSH levels are 0.4-5.0 milliunits/L ## Footnote 9
38
Which subtype accounts for approximately **75%** of thyroid cancers? A. Anaplastic B. Follicular C. Medullary D. Papillary
D. Papillary (slow growing, favorable outcome) ## Footnote 10
39
What is one reason small thyroid tumors may pose a diagnostic challenge? A. They are more likely to metastasize B. They frequently cause airway compression C. They are more likely to be missed on imaging D. They produce large amounts of calcitonin
C. They are more likely to be missed on imaging *..less likely to infringe on airway* ## Footnote 10
40
Which of the following statements about thyroid cancer are true? A. Thyroid cancer has the fastest rising incidence of all cancers B. Aggressive cancers from the thyroid has risen over time C. Most thyroid tumors are large and only palpable D. Small tumors are often easily seen due to advanced imaging
A. Thyroid cancer has the fastest rising incidence of all cancers ## Footnote 10
41
Which of the following best describes how thyroid surgeries are categorized? A. By the type of anesthesia used during surgery B. By severity of symptoms the patient has C. By the presence or absence of thyroid nodules D. By whether the patient has hyperthyroidism or hypothyroidism E. By the postoperative TSH level
B. By severity of symptoms the patient has Not everybody is necessarily a candidate for surgery. It's going to depend on the severity of the thyroid symptoms that the patients are having ## Footnote 12
42
Which of the following symptoms may indicate RLN (recurrent laryngeal nerve) injury after thyroidectomy? (Select 3) A. Hoarseness B. Dysphagia C. Globus sensation D. Airway obstruction E. Bradycardia
A. Hoarseness C. Globus sensation D. Airway obstruction ## Footnote 12
43
# True/False Recurrent laryngeal nerve (RLN) injury is a rare but serious complication of thyroid surgery
True ## Footnote 12
44
Which of the following is an appropriate pre-op consideration for anticipated blood loss or hematoma during thyroid surgery? A. Order a urine culture B. Confirm type and screen C. Give bronchodilators prophylactically D. Avoid pre-op labs in healthy patients
B. Confirm type and screen ## Footnote 12
45
The risk of **permanent** hypoparathyroidism following thyroid surgery is approximately: A. 1% B. 5 % C. 10% D. 25%
A. 1% ...usually temporary ## Footnote 12
46
Which of the following is **NOT** a cause of HYPERthyroidism? A. Graves' disease B. Thyroid adenomas C. Hypoparathyroidsim D. Thyroid cancer E. Hypopituitarism
E. Hypopituitarism ## Footnote 13
47
# True/False Hyperthryoidism is usually due to over functioning of single adenomas and never the entire gland
False May be due to over functioning of the entire gland or the presence single or multiple adenomas of the gland ## Footnote 13
48
Thyrotoxicosis, also known as _________, occurs with extreme excessive thyroid hormone production. A. Myxedema coma B. Thyroid storm C. Hashimoto's crisis D. Addisonian crisis
B. Thyroid storm ## Footnote 13
49
Which symptoms or consequences are associated with thyrotoxicosis (thyroid storm)? (Select 3) A. Decreased heart rate B. Increased basal metabolic rate C. Increased oxygen consumption D. Decreased stroke volume E. Heat production F. Decreased GI motility
B. Increased basal metabolic rate C. Increased oxygen consumption E. Heat production *Increaed GI motility leading to abdominal pain and distress 💩* ## Footnote 13
50
Increased metabolism in hyperthyroidism leads to a ________ **nitrogen balance and nutritional deficiencies**. A. Negative B. Positive C. Neutral D. Irrelevant
A. Negative ## Footnote 13
51
Thyroid hormone increases the number and sensitivity of ________ receptors, contributing to cardiovascular effects. A. Alpha B. Muscarinic C. Beta D. Dopaminergic
C. Beta ## Footnote 13
52
# True or False Hyperthyroidism can lead to increased cardiac output due to the combined effects on heart rate and stroke volume.
True ## Footnote 13
53
A common cardiac arrhythmia associated with hyperthyroidism is: A. Ventricular fibrillation B. Sinus bradycardia C. Atrial fibrillation D. Junctional rhythm
C. Atrial fibrillation ## Footnote 14
54
Which of the following are ***symptoms*** of hyperthyroidism? (Select 4) A. Nervousness B. Sweating C. Thyroid enlargement D. Palpitations E. Weight loss F. Exophthalmus
A. Nervousness B. Sweating D. Palpitations E. Weight loss - despite increased appetite ## Footnote 14
55
Which are considered ***clinical signs*** of hyperthyroidism? (Select 4) A. Tachycardia B. Increased appetite C. Systolic hypertension D. Exophthalmos E. Heat intolerance F. Goiter
A. Tachycardia C. Systolic hypertension -wide PP D. Exophthalmos - eye bulging F. Thyroid enlargement - Goiter ## Footnote 14
56
Which of the following conditions is associated with an *increased* TSH level? A. Hyperthyroidism B. Cirrhosis C. Malnutrition D. Primary hypothyroidism
C. Primary hypothyroidism *Decreased TSH is Hyperthyroidism* ## Footnote 15
57
The normal range for TSH is: A. 0.1–2 micIU/L B. 1–10 nmole/L C. 0.15-25 nmole/L D. 0.25–8 micIU/L
D. 0.25–8 micIU/L ## Footnote 15
58
The normal value for T3 is: A. 60–120 nmole/L B. 0.92–3 nmole/L C. 0.25–8 micIU/L D. 4.5–11 mcg/dL
B. 0.92–3 nmole/L ## Footnote 15
59
Which of the following conditions are associated with **decreased T3 levels**? Select 3 A. Cirrhosis B. Uremia C. Pregnancy D. Malnutrition E. Hyperthyroidism
A. Cirrhosis B. Uremia D. Malnutrition ## Footnote 15
60
A **low T3 level** may be seen in which of the following? A. Hypothyroidism B. Estrogen therapy C. Exogenous T4 administration D. Primary hypothyroidism
A. Hypothyroidism **Increased T3 level is Hyperthyroidsism** ## Footnote 15
61
Which conditions **increase T4** levels? Select 3 A. Hypothyroidism B. Early hepatitis C. Estrogen therapy D. Sulphonamides E. Androgens F. Pregnancy
B. Early hepatitis C. Estrogen therapy F. Pregnancy *Exogenous T4* ## Footnote 15
62
**Decreased T4** can cause: A. Primary hypothyroidism B. Hypothyroidsim C. Cirrhosis D. Early hepatitis
B. Hypothyroidsim **Increased T4 causes Hyperthyroidism** ## Footnote 15
63
Which of the following are possible causes of **decreased T4 levels**?(select 3) A. Sulphonamides B. Androgens C. Estrogen therapy D. Salicylates E. Pregnancy
A. Sulphonamides B. Androgens D. Salicylates ## Footnote 15
64
Which of the following are treatments for hyperthyroidism? Select 3 A. Methimazole B. Calcium Channel Blockers C. Levothyroxine D. Propylthiouracil E. Carbimazole
A. Methimazole D. Propylthiouracil (PTU) E. Carbimazole ## Footnote 16
65
PTU, Methimazole and Carbimazole treat hyperthyroidism by inhibiting thyroid hormone synthesis and blocking the enzyme ________. A. Tyrosine kinase B. Thyroidase C. Adenylate cyclase D. Peroxidase
D. Peroxidase ## Footnote 16
66
PTU has a dual effect because it also inhibits peripheral conversion of ________ to ________. A. T3 to T4 B. T4 to T3 C. TSH to TRH D. TSH to T4
B. T4 to T3 ## Footnote 16
67
____________ iodide and ____________ iodide work by **preventing the release of thyroid hormone to tissues.** Select 2 A. Magnesium B. Sodium C. Calcium D. Potassium
B. Sodium iodide (NaI) D. Potassium iodide (KI) ## Footnote 16
68
# True or False Propranolol is the only beta-blocker that helps with overstimulation of beta receptors, it also has effects on preventing T4 to T3 conversion
FALSE Propranolol is the **most commonly** used due to its dual effect on beta receptors and T4 -> T3 conversion prevention. ## Footnote 16
69
Which of the following treatments help prevent the peripheral conversion of T4 to T3? A. Carbimazole B. Methimazole C. Potassium iodide D. Glucocorticoids
D. Glucocorticoids Also decreases TH release ## Footnote 16
70
What is the expected remission rate after radioactive iodine therapy for hyperthyroidism? A. 50% B. 65% C. 80% D. 95%
C. 80% + ## Footnote 16
71
Following radioactive iodine treatment, what percentage of patients may develop hypothyroidism within **10 years**? A. 40–70% B. 85–100% C. 5–10% D. 10–30%
A. 40–70% develop hypothyroidism within 10 yrs of radioactive iodide treatment ## Footnote 16
72
What is the approximate remission rate for hyperthyroidism after thyroidectomy? A. 60% B. 75% C. 80% D. 95%
D. 95% ## Footnote 16
73
Following a thyroidectomy surgery, what percentage of patients may develop hypothyroidism within **20 years**? A. 40–70% B. 85–100% C. 5–10% D. 10–30%
D. 10–30% develop hypothyroidism after 20years of thyroidectomy surgery ## Footnote 16
74
Which of the following are indications for thyroid surgery? Select 3 A. Trying to conceive B. Asymptomatic microadenoma C. Large goiter D. Moderate ophthalmopathy E. History of vocal cord injury
A. Trying to conceive **(TTC)** *or pregnancy* C. Large goiter D. Moderate **to severe** ophthalmopathy ## Footnote 17
75
Surgical intervention may be appropriate for which of the following patients? Select 3 A. Elderly patient with controlled hyperthyroidism on medication B. 24-year-old with a suspicious thyroid nodule C. Patient with dysphagia and dyspnea D. Adult with decreased GI motility E. Patient requesting removal for aesthetic reasons
B. 24-year-old with a suspicious thyroid nodule C. Patient with dysphagia and dyspnea **(compressive symptoms)** E. Patient requesting removal for aesthetic reasons * *Children or young patients* * *Allergy to anti-thyroid drugs* ## Footnote 17
76
Patients may be prescribed ________ for 10 days before surgery to **reduce thyroid vascularity.** A. Carbimazole B. Propanolol C. Iodine drops D. Corticosteroids
C. Iodine drops ## Footnote 18
77
Select all appropriate airway management considerations for thyroid surgery patients with **difficult intubation suspected:** Select 4 A. Inhalation induction B. Use of an armored ETT C. RSI with succinylcholine D. Awake fiberoptic preparation E. Smaller ETT F. RSI induction
A. Inhalation induction B. Use of an armored ETT (less risk of tube compression) D. Awake fiberoptic preparation E. Smaller ETT (at least 0.5 smaller than normal) ## Footnote 18
78
What is the recommended when assessing a patient preoperatively with thryoid surgery? Select 2 A. CT scan B. Liver function tests C. Endothyroid status D. Xray
A. CT scan D. Xray Patient should be treated and be in a euthyroid state - normal ## Footnote 18
79
# True or false A test ventilation should be performed before administering paralytics in patients with suspected difficult airway.
True ## Footnote 18
80
Which of the following are appropriate considerations during intraoperative management of a patient undergoing thyroidectomy? Select 3 A. Keep anesthetic depth light to allow for faster emergence B. Avoid sympathetic stimulants such as ketamine C. Elevate head of bed 15–20 degrees D. Use atropine to prevent bradycardia E. Tuck arms at patient’s sides F. Surgeon stands on opposite side of the lobe being removed
B. Avoid sympathetic stimulants such as ketamine C. Elevate head of bed 15–20 degrees E. Tuck arms at patient’s sides Avoid Pancuronium - Avoid SNS stimulants! ## Footnote 19
81
Which interventions are appropriate for managing a *hyperthyroid patient who requires **emergency** surgery*? Select 3 A. Administer propranolol 0.5 mg/kg IV B. Start esmolol infusion at 30–75 mcg/kg/min C. Use local anesthetics containing epinephrine to prolong block duration D. Start esmolol infusion at 50–150 mcg/kg/min E. Avoid local anesthetics containing Epi
A. Administer propranolol 0.5 mg/kg IV D. Start esmolol infusion at 50–150 mcg/kg/min E. Avoid local anesthetics containing Epi - for regional anesthetics Avoid sympathetic stimulation! ## Footnote 19
82
What is the most common time of onset for an acute exacerbation of hyperthyroidsim (thyroid storm) following surgery? A. During preop assessment B. Immediately after induction C. Intraop or 6–24 hours postop D. 3–5 days postop
C. Intraop or 6–24 hours postop ## Footnote 20
83
Which of the following are **NOT** clinical signs and symptoms of thyroid storm? A. Agitation B. Atrial fibrillation C. Abdominal pain D. Hypoventilation E. Psychosis F. Hyperpyrexia
D. Hypoventilation *Hyperventilation - tachypnea* * Tachycardia or A-fib * HTN * Vomiting - dehydration - IVF replacement ## Footnote 20
84
Which of the following medications may be used in a patient experiencing thyroid storm with signs of heart failure? A. Lisinopril and furosemide B. Digoxin and diuretics C. Propranolol and norepinephrine D. Atropine and digoxin
B. Digoxin and diuretics ## Footnote 20
85
Which of the following are common thyroid surgical airway concerns? Select 3 A. Neck hematoma B. Bronchospasm C. Tracheomalacia D. Laryngeal edema E. Tracheal compression
A. Neck hematoma C. Tracheomalacia - weak tracheal rings --> collapse E. Tracheal compression *Laryngeal spasm d/t tetany from hypocalcemia from thyroidectomy* ## Footnote 21
86
Which of the following are appropriate treatments for tetany after thyroid surgery? Select 2 A. Calcium gluconate B. Calcium chloride C. Calcitriol D. Rebreathing into paper bag
A. Calcium gluconate 10% 10 mL IV C. Calcitriol ## Footnote 21
87
Which of the following are potential causes or signs of **tetany** following thyroid surgery? Select 4 A. Respiratory alkalosis B. Paraesthesia C. Hyperkalemia D. Circumoral tingling E. Chvostek sign F. Hypernatremia
A. Respiratory alkalosis B. Paraesthesia ("pins and needles") D. Circumoral tingling E. Chvostek **and Trousseau signs** ->d/t *hypocalcemia from hypoparathyroidism* ## Footnote 21
88
What are signs of **bilateral** recurrent laryngeal nerve (RLN) injury? Select 3 A. Weak or hoarse voice B. Stridor C. Loss of phonation D. Choking E. Trousseau sign F. Acute respiratory distress
B. Stridor C. Loss of phonation F. Acute respiratory distress **-> desaturation** ## Footnote 21
89
What are treatments for **bilateral** RLN injury with respiratory distress? Select 3 A. Immediate reintubation B. Hydrocortisone C. Observation only D. Tracheostomy E. Atropine IV F. Furosemide
A. **Immediate** reintubation B. Hydrocortisone **100 mg TID** D. Tracheostomy **if extubation fails after 48 hours** ## Footnote 21
90
Which of the following are clinical features of **unilateral** recurrent laryngeal nerve injury? (Select 3) A. Aphonia B. Hoarse voice C. Coughing D. Acute respiratory distress E. Risk of aspiration
B. Hoarse voice or **weak voice** C. Coughing or **Choking** E. Risk of aspiration ## Footnote 21
91
Which of the following are appropriate management strategies for **unilateral RLN** injury? (Select 3) A. Immediate tracheostomy B. Reintubation if airway is compromised C. Speech therapy referral D. Teflon injection if symptoms persist E. Hydrocortisone
B. Reintubation if airway is compromised C. Speech therapy referral D. Teflon injection if symptoms persist -**"Remedialization"** ## Footnote 21
92
Which of the following are common symptoms or clinical features of myxedema? Select 3 A. Hypoventilation B. Hyponatremia C. Hypotension D. Hypothermia E. Coma
A. Hypoventilation D. Hypothermia E. Coma ## Footnote 22
93
Select all signs and symptoms associated with hypothyroidism: Select 3 A. Increased cardiac output B. Cold intolerance C. Hyperreflexia D. Lethargy E. Prolonged circulation time
B. Cold intolerance D. Lethargy - E. Prolonged circulation time **(narrow pulse pressure)** ## Footnote 22
94
Cardiac output may increase by up to 40% in hypothyroidism.
False Cardiac output may **decreased** by up to 40% in hypothyroidism. ## Footnote 22
95
In hypothyroidism, peripheral vascular resistance (PVR) is: A. Decreased to improve tissue perfusion B. Increased to conserve body heat C. Unchanged due to compensatory mechanisms D. Increased to reduce blood volume
B. Increased to conserve body heat ## Footnote 22
96
Treatment for hypothyroidism includes levothyroxine
True ## Footnote 22
97
Which of the following apply to myxedema aka extreme hypothyroidism? (select 3) A. Medical emergency B. Tachycardia and fever C. Stupor D. Hypernatremia E. Hypertension
A. Medical emergency C. Stupor D. Hypernatremia ## Footnote 22
98
What is the approximate mortality rate associated with myxedema? A. 5–10% B. 10–20% C. 25–50% D. 60–75%
C. 25–50% ## Footnote 22
99
What is the preferable induction agent for hypothyroidism? A. Propofol B. Ketamine C. Precedex D. Etomidate
B. Ketamine if no severe CV depression, propofol can be used ## Footnote slide 23
100
Which of the following statements are true regarding hypothyroid anesthetic managment? A. patients may require less NMB d/t skeletal muscle weakness B. Regional anesthesia is NOT prefered over GA C. PNB drug dose should be increased D. less prone to respiratory depression
A. patients may require less NMB d/t skeletal muscle weakness regional anesthesia IS preferable than GA PNB drug dose should be REDUCED MORE prone to respiraotry depression ## Footnote slide 23
101
Why are patients with hypothyroidism more prone to respiratory depression? A. only respond to hypercapnia B. fail to increase oxygen consumption C. respiratory drive is decreased due to hypocapnia D. fail to respond to hypoxia by increasing MV
D. fail to respond to hypoxia by increasing MV ## Footnote slide 23
102
Patients with delayed gastric emptying in hypothyroidism may premedicate with (select 2) A. H2 blockers B. alpha blockers C. reglan D. benadryl
A. H2 blockers C. reglan ## Footnote slide 23
103
# true or false the normal dose of TH should be continued the morning of surgery for patients with hypothyroidism
true ## Footnote slide 23
104
Which of the following statements about airway management in goiter situations is true? (select 2) A. No tracheal compression B. tracheal deviation C. thyroid nodules can cause airway symptoms D. nodule size correlated will with symptoms
B. tracheal deviation C. thyroid nodules can cause airway symptoms YES tracheal compression nodule size NOT well correlated with symptoms make sure to review imagins and PFTs ## Footnote slide 24
105
# slide 25-37 summary patient presents with a 5 year history of goiter and hx of CAD, stridorous but not acute distress, CT imaging ordered and shows narrowing of upper part of trachea... awake fiberoption oral intubation attempted and failed due to unable to turn the corner into trachea, nasal fiberoptic intubation was successful b/c less of an angle. no operative complications and pt discharged POD 1
pictures of CT in the follwing flashcards
106
trachea reasonable size then starts to narrow
107
widens back out and starts to narrow again
extreme narrowing (less than 0.5cm) then remains narrow
108
What are the 3 advantages of using intraoperative nerve monitoring? (select 3) A. anatomical identification of nerve B. assist anesthesia is blood pressue manipulation C. warn when the nerve is stressed D. prevent nerve injury E. identify which nerve to clamp
A. anatomical identification of nerve C. warn when the nerve is stressed D. prevent nerve injury ## Footnote slide 38
109
What is 1 in the picture A. right superior laryngeal nerve B. left superior superior layrngeal nerve C. left recurrent laryngeal nerve D. larynx E. right recurrent laryngeal nerve
A. right superior laryngeal nerve ## Footnote slide 38
110
What is 2 in the picture A. right superior laryngeal nerve B. left superior superior layrngeal nerve C. left recurrent laryngeal nerve D. larynx E. right recurrent laryngeal nerve
D. larynx ## Footnote slide 38
111
What is 3 in the picture A. right superior laryngeal nerve B. left superior superior layrngeal nerve C. left recurrent laryngeal nerve D. larynx E. right recurrent laryngeal nerve
E. right recurrent laryngeal nerve ## Footnote slide 38
112
What is 4 in the picture A. right superior laryngeal nerve B. left superior superior layrngeal nerve C. left recurrent laryngeal nerve D. larynx E. right recurrent laryngeal nerve
B. left superior superior layrngeal nerve ## Footnote slide 38
113
What is 5 in the picture A. right superior laryngeal nerve B. left superior superior layrngeal nerve C. left recurrent laryngeal nerve D. larynx E. right recurrent laryngeal nerve
C. left recurrent laryngeal nerve ## Footnote slide 38
114
Which statements about outcomes of nerve monitoring are true? (select 3) A. does not prevent nerve injury B. confirm nerve is functionally intact prior to proceeding to other side C. improve nerve handling D. will not have false positives and/or negatives
A. does not prevent nerve injury B. confirm nerve is functionally intact prior to proceeding to other side C. improve nerve handling Can have both false positve and false negative signals ## Footnote slide 41
115
The four bean shaped glands behind the thyroid are known as? A. vocal polyps B. laryngeal nerves C. parathyroid glands D. connective tissue
C. parathyroid glands ## Footnote slide 42
116
Inferior parathyroid glands are located ___ to RLN. A. lateral B. dorsal C. proximal D. ventral
D. ventral ## Footnote slide 42
117
Superior parathyroid glands are located ___ to RLN at the level of the_____. A. lateral; trachea B. dorsal; cricoid cartilage C. proximal; vocal cords D. ventral; hyoid bone
B. dorsal; cricoid cartilage ## Footnote slide 42
118
What is the MAIN blood supply to the parathyroid glands? A. superior thyroid artery B. aorta C. inferior thyroid artery D. carotid
C. inferior thyroid artery ## Footnote slide 42
119
Venous blood from the parathyroid glands drains through what 3 thyroid veins (select 3) A. superior B. middle C. inferior D. vena cava
A. superior B. middle C. inferior ## Footnote slide 42
120
The parathyroid glands are premarily composed of what type of cells A. b cells B. T cells C. chief cells D. oxyphil cells
C. chief cells ## Footnote slide 42
121
What do the chief cells in parathyroid glands secrete? A. thyroid stimulating hormone B. parathyroid hormone C. T4 D. T3
B. parathyroid hormone ## Footnote slide 42
122
Oxyphil cells will appear at ____ and the function is unknown. A. puberty B. toddler age C. newborns D. fetal development
A. puberty ## Footnote slide 42
123
# true or false The fat increases to 30% by age 25 and remains constant in parathyroid glands
true ## Footnote slide 42
124
The inferior thyroid artery provides the ____ of the blood supply to the parathyroid glands, while the superior thyroid artery supplies ___ of the upper parathyroid glands. A. minority; 80% B. majority; ~20% C. anterior portion; posterior portion D. superior half; inferior half
B. majority; ~20% The *inferior thyroid artery* provides the **majority** of the blood supply to the parathyroid glands, while the *superior thyroid artery* supplies **20%** of the upper parathyroid glands. ## Footnote Slide 42
125
Which of the following is NOT an effect of parathyroid hormone (PTH)? A. Increases activity of osteoclasts causing release of calcium from bone B. Increases calcium reabsorption in the kidney C. Increases urinary phosphate retention D. Increases renal production of 1,25(OH)₂D (vitamin D), enhancing GI calcium absorption
C. Increases urinary phosphate retention *Increases urinary phosphate **excretion*** * Increases **activity of osteoclasts** causing release of calcium from bone * Increases **calcium reabsorption in the kidney** * Increases **renal production of** 1,25(OH)₂D (**vitamin D**), enhancing GI calcium absorption ## Footnote Slide 43
126
Parathyroid hormone (PTH) secretion is primarily regulated by ____. A. Serum sodium B. Serum phosphate C. Serum calcium D. Serum potassium
C. Serum calcium *Lower calcium levels increase the rate of PTH secretion* ## Footnote Slide 43
127
What type of cells release calcitonin? A. Chief cells B. Oxyphil cells C. C cells (parafollicular cells) D. Follicular cells
C. C cells (parafollicular cells) *in the thyroid) in response to increased plasma calcium* ## Footnote Slide 44
128
Calcitonin acts primarily on which organs to help restore calcium levels? A. Brain and liver B. Kidneys and bones C. Intestines and heart D. Liver and lungs
B. Kidneys and bones ## Footnote Slide 44
129
Which of the following best describes the relationship between calcitonin and parathyroid hormone (PTH)? A. Calcitonin and PTH work together to increase calcium B. Calcitonin enhances PTH secretion C. Calcitonin opposes the action of PTH D. Calcitonin is a precursor to PTH
C. Calcitonin opposes the action of PTH *The two hormones together maintain balance of plasma calcium* ## Footnote Slide 44
130
What is the approximate normal concentration of plasma calcium in adults? A. 6 mg/dL B. 8 mg/dL C. 10 mg/dL D. 12 mg/dL
C. 10 mg/dL
131
Match each form of plasma calcium with its percentage and characteristic.
A → 3 B → 2 C → 1
132
Primary *hyperparathyroidism* is the most common cause of what condition in outpatients? A. Hypocalcemia B. Osteoporosis C. Hypercalcemia D. Hyperkalemia
C. Hypercalcemia *Incidence: 21 in 100,000 per year* ## Footnote Slide 45
133
Which of the following is NOT a function of free ionized calcium? A. Skeletal muscle contraction B. Coagulation C. Neurotransmitter release D. Oxygen transport by hemoglobin E. Endocrine function
D. Oxygen transport by hemoglobin ## Footnote Slide 44
134
Which group is most commonly affected by primary *hyperparathyroidism*? A. Males in their 30s B. Females in their early 50s C. Males over 70 D. Females under 25
B. Females in their early 50s *Females > males (3:1)* ## Footnote Slide 45
135
Match each cause of primary *hyperparathyroidism* with its approximate prevalence.
A → 2 Single adenoma 85% B → 1 Diffuse hyperplasia 10% C → 3 Multiple adenomas 5% ## Footnote Slide 45
136
Which of the following are typically a clinical manifestation of primary hyperparathyroidism and hypercalcemia? (Select 4) A. Renal stones B. Skeletal issues C. Abdominal pain D. Cardiovascular symptoms E. Tetany
A. Renal stones B. Skeletal issues C. Abdominal pain D. Cardiovascular symptoms **“Stones, Bones, Groans, Moans"** | Mordecai: hyperparathyroid basically means high calcium levels. ## Footnote Slide 46
137
Which of the following is NOT a typical psychiatric or neuromuscular manifestation of primary hyperparathyroidism (hypercalcemia)? A. Fatigue B. Depression C. Memory and cognitive decline D. Proximal myopathy E. Muscle spasms and carpopedal tetany
E. Muscle spasms and carpopedal tetany ## Footnote Slide 46
138
Which of the following statements is TRUE regarding *bisphosphonates* in hyperparathyroidism management? A. They lower PTH and calcium equally B. They raise calcium and lower PTH C. They lower calcium but may increase PTH D. They have no effect on calcium levels
C. They lower calcium but may increase PTH ## Footnote Slide 47
139
Cinacalcet lowers ___, but only modestly lowers ___. A. PTH; calcium B. Calcium; PTH C. Phosphate; PTH D. PTH; phosphate
B. Calcium; PTH Cinacalcet **lowers calcium**, but only **modestly lowers PTH** ## Footnote Slide 47
140
Which of the following is considered the only curative treatment for primary hyperparathyroidism? A. Bisphosphonates B. Cinacalcet C. Corticosteroids D. Parathyroidectomy
D. Parathyroidectomy *Surgery is the only cure and is indicated as long as pt is a candidate* | Removal of all affected glands/tissues (one or more adenomas) ## Footnote Slide 47
141
What is the main reason surgery is preferred over medical management in primary hyperparathyroidism? A. It lowers both calcium and phosphate B. It reduces cardiovascular symptoms C. It prevents irreversible organ damage from hypercalcemia D. It avoids the use of lifelong medication
C. It prevents irreversible organ damage from hypercalcemia *The operation is very effective with minimal morbidity* ## Footnote Slide 47
142
What is considered the gold standard surgical technique for primary hyperparathyroidism? A. Subtotal thyroidectomy B. Minimally invasive parathyroid laser ablation C. Full neck exploration D. Laparoscopic gland biopsy
C. Full neck exploration * 99% success rate * Requires visualization of all four glands ## Footnote Slide 48
143
Which parathyroid surgical technique largely replaced full neck exploration in the 1990s? A. Subtotal parathyroid resection B. Endoscopic parathyroid ablation C. Directed parathyroidectomy D. Robotic-assisted thyroidectomy
C. Directed parathyroidectomy *Success approaches 100%* ## Footnote Slide 48
144
Which of the following are required for performing a directed parathyroidectomy? A. Visualization of all four parathyroid glands B. No imaging, just anatomical landmarks C. Preoperative imaging and intraoperative PTH monitoring D. Routine thyroid hormone replacement therapy
C. Preoperative imaging and intraoperative PTH monitoring ## Footnote Slide 48
145
Which of the following is NOT typically used for parathyroid imaging? A. Sestamibi scan B. 4D CT C. MRI D. PET scan E. Ultrasound
D. PET scan
146
Which of the following are TRUE regarding the sensitivity of parathyroid imaging? (Select 2) A. Imaging has an overall sensitivity of approximately 70–80% B. Sensitivity is reduced in multi-gland parathyroid disease C. Sensitivity is unaffected by the number of glands involved D. MRI alone provides nearly 100% sensitivity
A. Imaging has an overall sensitivity of approximately 70–80% B. Sensitivity is reduced in multi-gland parathyroid disease ## Footnote Slide 49
147
Which of the following are important preoperative considerations for patients undergoing parathyroid surgery? (Select 2) A. Assess volume status to avoid hypotension during induction B. Check labs and evaluate co-morbidities C. Delay fluid administration until after induction D. Administer calcium preoperatively E. Avoid reviewing patient’s current medications
A. Assess volume status to avoid hypotension during induction B. Check labs and evaluate co-morbidities * IV NS and furosemide diuresis to normalize serum calcium levels ## Footnote Slide 49
148
Which intraoperative consideration is most important when titrating neuromuscular blocking agents in a patient with primary hyperparathyroidism? A. High serum potassium levels B. Pre-existing muscle weakness C. Preoperative fluid overload D. Chronic opioid use
B. Pre-existing muscle weakness ## Footnote Slide 50
149
What is the rationale behind avoiding hypoventilation intraoperatively in hyperparathyroid patients? A. It increases bicarbonate levels B. It can elevate ionized calcium levels and worsen symptoms C. It minimizes neuromuscular weakness D. It reduces tracheal secretions
B. It can elevate ionized calcium levels and worsen symptoms *due to acidosis* ## Footnote Slide 50
150
Which of the following are appropriate intraoperative anesthetic considerations for a patient with primary hyperparathyroidism? (select 2) A. Increase neuromuscular blocker dose in the setting of muscle weakness B. Titrate muscle relaxants cautiously due to possible pre-existing muscle weakness C. Factor neuro status into anesthetic dosing decisions D. Rely on standard anesthetic protocols regardless of neuromuscular baseline E. Use acidosis to reduce ionized calcium levels
B. Titrate muscle relaxants cautiously due to possible pre-existing muscle weakness C. Factor neuro status into anesthetic dosing decisions ## Footnote Slide 50
151
Which of the following intraoperative events during parathyroid surgery may directly contribute to airway complications? A. Fluid overload from aggressive hydration B. Increased PTH release due to tumor rupture C. Tracheal manipulation during dissection D. Loss of signal from facial nerve monitoring
C. Tracheal manipulation during dissection ## Footnote Slide 50
152
Which intraoperative monitoring method is essential to confirm successful removal of hyperfunctioning parathyroid tissue during parathyroidectomy? A. Arterial blood gas analysis B. Neuromuscular twitch monitoring C. PTH testing D. EEG monitoring
C. PTH testing ## Footnote Slide 50
153
What is a primary concern during emergence from anesthesia following parathyroidectomy? A. Aggressive coughing to clear secretions B. Sudden increase in intracranial pressure C. Smooth emergence to avoid coughing and bucking D. Delayed gastric emptying
C. Smooth emergence to avoid coughing and bucking ## Footnote Slide 50
154
# True or False Postoperative evaluation for recurrent laryngeal nerve injury is unnecessary unless the patient complains of sore throat.
FALSE we'll need to evaluate for recurrent laryngeal nerve damage after the tube is removed and looking and if there's any symptoms at all ## Footnote Slide 50
155
Which of the following is an essential component of postoperative management following parathyroidectomy? A. Avoiding all analgesics to reduce respiratory depression B. Administering neuromuscular blockers to prevent vocal cord movement C. Pain control D. Performing a lumbar puncture to evaluate calcium status
C. Pain control ## Footnote Slide 50
156
Which of the following is NOT a known postoperative complication of parathyroid surgery? A. Neck hematoma B. Laryngeal swelling or glottic edema C. Hypocalcemia leading to tetany D. Acute arthritis E. Hyperkalemia F. RLN damage G. Transient metabolic acidosis with renal function decline
E. Hyperkalemia ## Footnote Slide 51
157
Which of the following are appropriate interventions for parathyroid crisis? (Select 5) A. Initiate aggressive IV hydration B. Administer potassium-sparing diuretics C. Use loop diuretics to promote calcium and water excretion D. Begin dialysis in severe cases E. Administer glucocorticoids F. Administer calcitonin G. Supplement with calcium gluconate
A. Initiate **aggressive IV hydration** C. Use **loop diuretics** to promote calcium and water excretion D. Begin **dialysis in severe cases** E. Administer **glucocorticoids** F. Administer **calcitonin** ## Footnote Slide 51
158
What laboratory finding is diagnostic of a parathyroid crisis? A. Serum calcium >10.2 mg/dL B. Serum calcium <8.5 mg/dL C. Serum calcium >15 mg/dL D. Ionized calcium <1.1 mmol/L
C. Serum calcium >15 mg/dL ## Footnote Slide 51
159
# True or False PTH is produced in both the thyroid and parathyroid glands.
FALSE PTH produced only in the parathyroids ## Footnote Slide 52
160
What is the approximate half-life of parathyroid hormone (PTH)? A. 30 seconds B. 4 minutes C. 15 minutes D. 1 hour
B. 4 minutes ## Footnote Slide 52
161
Which of the following best describes the intraoperative parathyroid hormone (PTH) assay? A. A delayed diagnostic tool requiring laboratory incubation B. A slow test primarily used postoperatively C. A rapid, accessible real-time testing modality D. A hormone level test only used for thyroid function
C. A rapid, accessible real-time testing modality ## Footnote Slide 52
162
What is the primary clinical utility of an intraoperative PTH assay? A. Diagnose hypothyroidism B. Monitor adrenal function during surgery C. Confirms abnormal tissue removal without needing to examine all glands D. Evaluate pituitary hormone suppression
C. Confirms abnormal tissue removal without needing to examine all glands ## Footnote Slide 52
163
Which of the following best describes the Irvin Protocol criteria used to confirm successful parathyroid gland excision during surgery? A. Post-excision calcium level < 8 mg/dL B. A drop in PTH of >25% within 30 minutes after gland excision C. Absence of parathyroid tissue on intraoperative imaging D. A decline of >50% in PTH level from baseline after gland excision E. A return of PTH level to pre-induction values after excision
D. A decline of >50% in PTH level from baseline after gland excision ## Footnote Slide 53
164
Place the intraoperative PTH blood sample times in the correct chronological order according to the Irvin Protocol. A. 10 minutes after gland excision B. Pre-excision, during manipulation of a suspected gland C. 5 minutes after gland excision D. 20 minutes after gland excision (occasionally) E. Baseline, after induction but before incision (0-min)
E → B → C → A → D 1. E. Baseline, after induction but before incision (0-min) 2. B. Pre-excision, during manipulation of a suspected gland 3. C. 5 minutes after gland excision 4. A. 10 minutes after gland excision 5. D. 20 minutes after gland excision (occasionally) ## Footnote Slide 53
165
Which of the following is NOT an expected outcome after parathyroid surgery? A. Approx. 99% success rate B. Increased bone density C. Resolution of hypercalciuria D. Increased risk of nephrolithiasis E. Improvement in neurocognitive symptoms F. Improvement in functional ability in the elderly
D. Increased risk of nephrolithiasis *Decreased (but not eliminated) risk of stones* ## Footnote Slide 54
166
Which of the following statements about pheochromocytoma is TRUE? A. It arises from the adrenal cortex and secretes aldosterone B. It is most commonly diagnosed in children under the age of 10 C. It arises from chromaffin cells of the adrenal medulla and secretes catecholamines D. Incidental CT findings occur in less than 1% of cases E. Paraganglioma refers to an intra-adrenal form of pheochromocytoma
C. It arises from chromaffin cells of the adrenal medulla and secretes catecholamines ## Footnote Slide 55
167
What percentage of hypertensive patients are affected by pheochromocytoma? A. 2% B. 1% C. 0.2% D. 5%
C. 0.2% ## Footnote Slide 55
168
The incidence of pheochromocytoma peaks during which decades of life? A. 2nd–3rd B. 3rd–4th C. 4th–5th D. 6th–7th
C. 4th–5th ## Footnote Slide 55
169
# True or False 3–9% of pheochromocytomas are found incidentally on CT imaging.
True ## Footnote Slide 55
170
What is the approximate percentage composition of catecholamines stored in the adrenal medulla? A. 50% epinephrine, 50% norepinephrine B. 80% norepinephrine, 20% epinephrine C. 80% epinephrine, 20% norepinephrine D. 100% dopamine E. 60% norepinephrine, 40% dopamine
C. 80% epinephrine, 20% norepinephrine ## Footnote Slide 56
171
# True or False The adrenal cortex is responsible for storing catecholamines
FALSE The **adrenal medulla** stores catecholamines ## Footnote Slide 56
172
All catecholamines stored in the adrenal medulla are derived from ___. A. Phenylalanine B. Tryptophan C. Tyrosine D. Dopamine
C. Tyrosine ## Footnote Slide 56
173
Which of the following are endocrine effects of catecholamines? (Select 4) A. Increased glycogenolysis B. Increased gluconeogenesis C. Increased glucagon secretion D. Increased glucose uptake E. Decreased glucose uptake F. Increased insulin sensitivity
A. Increased glycogenolysis B. Increased gluconeogenesis C. Increased glucagon secretion E. Decreased glucose uptake ## Footnote Slide 57
174
Match each receptor type with its associated effects:
A → 2 β1 Chronotropy, inotropy, lipolysis, sweat release * Tachycardia, diaphoresis B → 4 β2 Smooth muscle relaxation, vasodilation, insulin secretion (+ glycogenolysis, gluconeogenesis) * Hypotension, hyperglycemia C → 3 α1 Smooth muscle contraction, sodium reabsorption, diaphoresis (+ glycogenolysis, gluconeogenesis) * Hypertension, hyperglycemia, diaphoresis D → 1 α2 vasoconstriction; inhibits norepinephrine release (+ stimulates cognition) * pallor ## Footnote Slide 57
175
Which of the following characteristics is NOT associated with the classic “10% tumor” rule of pheochromocytoma? A. Bilateral B. Malignant C. Multifocal D. Extra-adrenal E. Occurs in children F. Familial G. Always benign
G. Always benign ## Footnote Slide 58
176
Which of the following are clinical signs commonly associated with pheochromocytoma? A. Headache and nausea B. Hypertension and tachycardia C. Diaphoresis and anxiety D. Palpitations and sweating E. Constipation and bradycardia
B. Hypertension and tachycardia ## Footnote Slide 59
177
Which of the following are NOT symptoms of pheochromocytoma? A. Diaphoresis B. Anxiety C. Nausea and vomiting D. Hypotension E. Headache
D. Hypotension ## Footnote Slide 59
178
Patients with pheochromocytoma are frequently asymptomatic, despite the tumor's ability to secrete large amounts of catecholamines.
True ## Footnote Slide 59
179
Which of the following are used to diagnose pheochromocytoma? (Select4) A. Chest X-ray B. Biochemical testing and localization studies C. CT scan D. Plasma metanephrines E. 24-hour urine collection for catecholamines and metabolites F. Serum TSH and free T4 levels
B. Biochemical testing and localization studies C. CT scan D. Plasma metanephrines E. 24-hour urine collection for catecholamines and metabolites * Elevations are dramatic in pheochromocytoma ## Footnote Slide 60
180
Which of the following laboratory findings is most suggestive of pheochromocytoma located in the adrenal medulla? A. Elevated serum norepinephrine B. Decreased dopamine levels C. Elevated serum epinephrine D. Decreased metanephrines
C. Elevated serum epinephrine ## Footnote Slide 60
181
The ___ is a common location for extra-adrenal pheochromocytomas. A. Zona glomerulosa B. Organ of Zuckerkandl C. Renal cortex D. Pituitary gland E. Pineal gland
B. Organ of Zuckerkandl *N methylating enzyme is found at these sites* ## Footnote Slide 60
182
Which of the following are goals in the preoperative management of pheochromocytoma? (Select 3) A. Treat hypertension with α-blockade B. Volume expansion C. Control arrhythmias D. Initiate diuretics to reduce preload
A. Treat hypertension with α-blockade B. Volume expansion C. Control arrhythmias ## Footnote Slide 61
183
Which of the following is TRUE about phenoxybenzamine in the management of pheochromocytoma? A. It is a short-acting alpha-blocker. B. It should be started the day before surgery. C. It is inexpensive and easy to obtain. D. It is long-acting and should be initiated 1–3 weeks prior to tumor resection.
D. It is long-acting and should be initiated 1–3 weeks prior to tumor resection. * Expensive and difficult to find ## Footnote Slide 61
184
What is an advantage of using doxazosin in the preoperative management of pheochromocytoma? A. It eliminates the need for surgery B. It is less effective than phenoxybenzamine C. It reduces intraoperative and postoperative hypotension D. It increases catecholamine secretion
C. It reduces intraoperative and postoperative hypotension * May be as effective as Phenoxybenzamine ## Footnote Slide 61
185
What is a potential adverse effect of initiating α-blockade in patients with pheochromocytoma? A. Hyperkalemia B. Bronchospasm C. Fluid retention and orthostatic hypotension D. Hyperglycemia
C. Fluid retention and orthostatic hypotension ## Footnote Slide 61
186
When is it appropriate to initiate beta-blockers (BB) in a patient with pheochromocytoma? A. Before alpha-blockade to prevent reflex tachycardia B. Only during surgery C. After alpha-blockade to manage arrhythmias D. Beta-blockers are contraindicated in pheochromocytoma
C. After alpha-blockade to manage arrhythmias *Never start with BB – Unopposed α effect of catecholamines will worsen vasoconstriction and precipitate hypertensive crisis or pulmonary edema* ## Footnote Slide 61
187
Which of the following medications should be avoided during intraoperative management of pheochromocytoma due to stimulation of catecholamine release? (Select 2) A. Etomidate B. Ketamine C. Pancuronium D. Midazolam
B. Ketamine C. Pancuronium ## Footnote Slide 62
188
Which of the following is the preferred volatile anesthetic agent during pheochromocytoma resection due to its minimal cardiac depressant effects? A. Sevoflurane B. Desflurane C. Isoflurane D. Halothane
C. Isoflurane ## Footnote Slide 62
189
Which of the following are acceptable vasoactive agents for managing blood pressure intraoperatively in pheochromocytoma? (Select 4) A. Phentolamine B. Sodium nitroprusside (SNP) C. Norepinephrine D. Nitroglycerin (NTG) E. Labetalol
A. Phentolamine B. Sodium nitroprusside (SNP) D. Nitroglycerin (NTG) E. Labetalol ## Footnote Slide 62
190
Which of the following are appropriate management strategies for pheochromocytoma in pregnancy? (Select 3) A. Initiate alpha-blockade in 1st trimester B. Delay surgery until postpartum in early pregnancy C. Resection in 2nd trimester if diagnosed early D. Elective cesarean delivery if diagnosed late E. Immediate tumor resection in 1st trimester
A. Initiate alpha-blockade in 1st trimester C. Resection in 2nd trimester if diagnosed early D. Elective cesarean delivery if diagnosed late ## Footnote Slide 62
191
In patients with known pheochromocytoma in late pregnancy, what is the recommended delivery plan? A. Vaginal delivery with epidural analgesia B. Elective cesarean section at term C. Induction of labor at 34 weeks D. Emergency tumor resection prior to delivery
B. Elective cesarean section at term ## Footnote Slide 62
192
Why is vaginal delivery avoided in patients with untreated pheochromocytoma? A. It increases risk of hemorrhage B. It can precipitate a hypertensive crisis due to catecholamine surge C. It delays fetal delivery D. It causes fetal bradycardia
B. It can precipitate a hypertensive crisis due to catecholamine surge ## Footnote Slide 62