What is aspergillosis?
Fungal infection caused by worldwide distributed fungi - aspergillus
What are the two broad catagories of Aspergillosis?
Invasive
Non Invasive
What are the three types of non invasive aspergillosis?
Apart from aspergillus, what else can cause hypersensitivity pneumonitis?
Pigeon fanciers lung
Hay
Cheese workers
Feathers
What is hypersensitivity pneumonitis?
Type 3/4 reaction to exposure which causes symptoms about 6 hours after exposure
What are the symptoms of hypersensitivity pneumonitis??
Dyspnoea
Cough
Fever
Flu like symptoms
How do you treat hypersensitivity pneumonitis?
Remove stimulus
Steroids
What is allegic bronchopulmonary aspergillosis (ABPA)?
What is the reaction?
This is when aspergillosis gets caught in mucous plugs - common with COPD asthma.
Type 3/4 hypersensitivity reaction
What are the symptoms of allegic bronchopulmonary aspergillosis (ABPA)?
fever
cough
Worsening of underlying disease
What tests are there for allegic bronchopulmonary aspergillosis (ABPA)?
Positive skin test to aspergillus
Raied IgE, eosinophils
Hyphae in sputum
Finger in glove x ray sign

What is the treatment for allegic bronchopulmonary aspergillosis (ABPA)?
Steroids, antifungals. brochoscopy to remove plus
Treat underlying disease
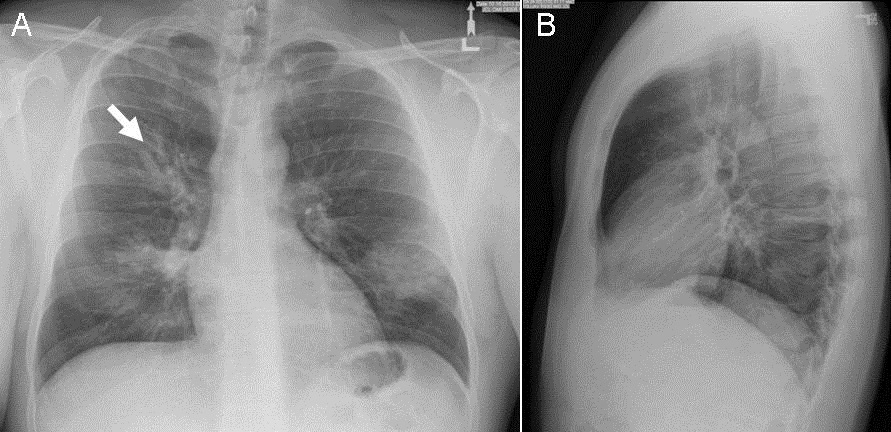
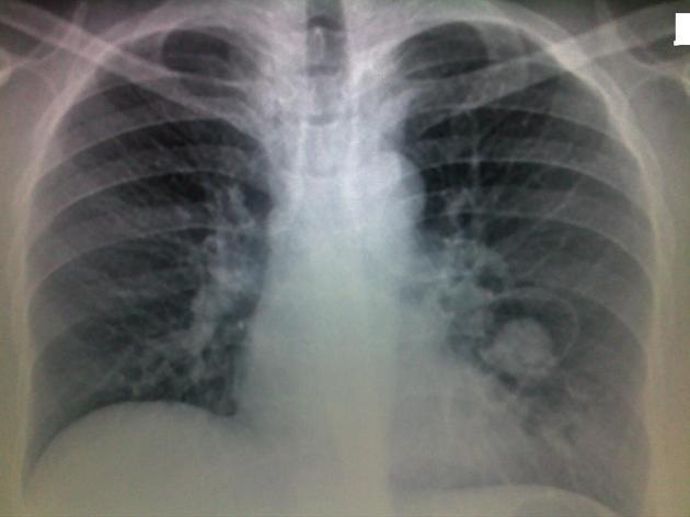
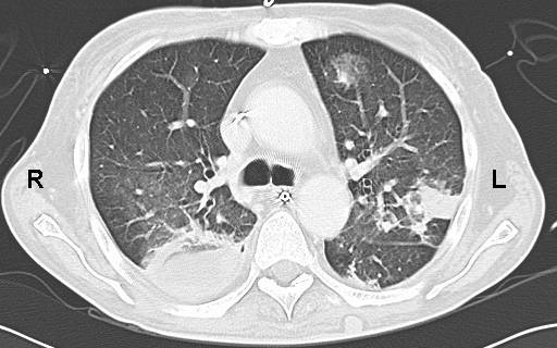
What is a mycetoma and when does it occur?
Fungal ball
occurs when aspergillus gets in to a cavity, eg old TB or abscess
What are the symptoms of a mycetoma?
Maybe none as it does not invade tissue.
But can erode blood vessels causing haemoptysis
flu like symptoms
What tests are there for a mycetoma?
X ray - aspergilloma - opacity with a hole
Hyphae in sputum
Skin sensitivity test
fine needle biopsy

How do you treat a mycetoma?
Antifungals wont reach it
Monitor if asymptomatic
Bronchial artery embolization
Surgical resection
When do you get invasive aspergillosis and what happens?
Immunocomprimised - rapidly takes over lungs and invades blood vessels

How do you treat invasive aspergillosis?
Voriconazole IV
When cancer is aspergillus on nuts linked to and where in the world?
Hepatic cancer
Asia