What is Aspergillus lung disease?
What are the different classifications of aspergillosis?
What is Invasive aspergillosis (IA)?
What is chronic necrotising aspergillosis?
What is allergic bronchopulmonary aspergillosis (ABPA)?
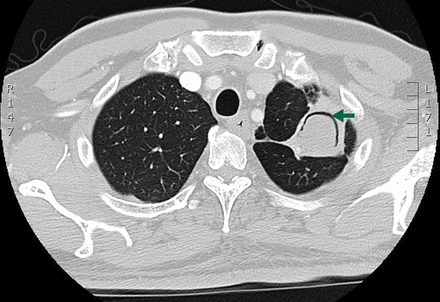
What is aspergilloma?
What is the aetiology of Aspergillus lung disease?
Aspergillus is a ubiquitous environmental mould that grows in organic matter in the soil. The organism grows as a soil mycelium (filamentous form) and forms aerial hyphal stalks.
The conidia (spores) are about 2 to 10 micrometres in diameter. They are formed at the tips of the stalks (conidiophores) by asexual reproduction. Their hydrophobic nature aids in aerosolisation.
Humans routinely inhale the aerosolised conidia. The conidia are promptly eliminated from the respiratory tract, or may lead to colonisation or infection dependent on the underlying local and general immune status of the host.
Approximately 34 of 180 Aspergillus species are known to cause disease in humans. Aspergillus fumigatus is the most common pathogenic species, accounting for 50% to 70% of the aspergillosis syndromes
Rarely, the organism gains entry via direct cutaneous inoculation, particularly after trauma
In aspergilloma, A fumigatus remains the most common species.
Name some risk factors for Aspergillus lung disease
What are some weak risk factors for aspergillus lung disease?
Summarise the epidemiology of Aspergillus lung disease
Aspergillus species are ubiquitous, invasive aspergillosis (IA) is seen in all geographical regions, usually in immunocompromised hosts such as cancer and transplant patients. IA occurs in the following settings:
According to one study, 11% of patients with pulmonary cavities secondary to tuberculosis have radiological evidence of aspergilloma. In most cases the lesions remain stable without invasion of the pulmonary parenchyma or blood vessels
What are the presenting symptoms of Aspergillus lung disease?
Invasive aspergillosis
Invasive sinus disease
Allergic Bronchopulmonary Aspergillosis (ABPA)
Aspergilloma
What are some uncommon presenting symptoms of aspergillus lung disease?
What are the signs of Aspergillus lung disease O/E?
cough =
What are some primary investigations for ?Aspergilloma

What are some possible secondary investigations for ?Aspergilloma
What are some primary investigations for ?ABPA
What are some primary investigations for ?Invasive Aspergillosis
